En seks år gammel jente med dyspné etter operasjon på halsen

    ()

    sporsmal_grey_rgb
    Abstract

    Background.

    A few patients develop prominent scars combined with persistent fistula after the removal of a long-standing tracheostomy tube. The procedure needed to correct the condition is generally considered minor surgery, normally without any significant complications. We describe, however, a patient who developed a particularly complicated postoperative course.

    Material and methods.

    The patient was a six-year-old girl who underwent surgery because of significant scar formation and a persistent small tracheocutaneous fistula eight months after removal of the tube. Postoperatively she had a cough attack and developed spontaneously subcutaneous emphysema, pneumomediastinum and bilateral pneumothorax. She required intensive care, thoracic drainage and antibiotic prophylaxis. Over the next days her situation improved and she was discharged on the sixth day.

    Interpretation.

    Operative treatment of scarring after tracheostomy in which the surgeon also confronts a tracheocutaneous fistula or an opening into the tracheal lumen requires postoperative observation so that any severe complications can be managed.

    Artikkel

    En seks år gammel pike var født prematurt i uke 25. De første levemånedene hadde hun vært intubert flere ganger på grunn av respirasjonsproblemer i forbindelse med bronkopulmonal dysplasi. Hun utviklet subglottisk stenose og fikk trakeostomi fra fire måneders alder. Det ble gjort forsøk på å fjerne trakeostomikanylen da hun var tre år gammel, men hun fikk på nytt respirasjonsbesvær og måtte rekanyleres i løpet av få minutter. To år senere ble hun imidlertid vellykket dekanylert. Dette gav ingen respirasjonsproblemer i hvile, men ved større fysisk aktivitet ble det bemerket lett inspiratorisk stridor. Hun utviklet arrinndragning med en vedvarende liten trakeokutan fistel beliggende 4 cm over jugulum.

    Hun ble derfor henvist til plastikkirurgisk avdeling for korreksjon av arr og fistel. Preoperativt ble det gjort prøvetetting av fistelen, noe som ikke medførte respirasjonsproblemer i hvile. Hun ble deretter ukomplisert intubert med tube nr. 5,0 med mansjett. Man utførte transvers elipseincisjon rundt fistelen. Fistelgangen ble dissekert fri og etterlot et hull i trachea på ca. 3 mm. Lukningen ble utført med hjelp av forsterkende overlapping av de rette halsmusklene (m. sternohyoideus). Huden ble lukket subdermalt og intrakutant. Det ble ikke innlagt dren. Varighet av intubasjonen var to timer og 40 minutter. Det ble ikke gitt profylaktisk antiødembehandling.

    Postoperativt fikk pasienten respirasjonsproblemer med inspiratorisk stridor. Hun ble behandlet med racemisk adrenalin via inhalasjon og steroider intravenøst. Da plagene vedvarte, ble hun overflyttet til barneintensivavdelingen, men det ble ikke nødvendig med reintubasjon.

    Respirasjonsproblemer oppstår sjelden før det er mer enn 50 % forsnevring av tracheas lumen (1). Pasienten utvikler da dyspné og inspiratorisk stridor. Når det postoperativt umiddelbart oppstår respirasjonsproblemer, bør man differensialdiagnostisk tenke på larynx- eller bronkospasme. Videre forekommer ødem/hevelse, fremmedlegemer (tampong) og/eller slim i luftveiene. Øvre luftveier bør inspiseres med laryngoskop, slim suges ut og fremmedlegemer fjernes. Racemisk adrenalin kan gis for slimhinneavsvelling og dilatasjon av luftveiene. Kortikosteroider motvirker slimhinnehevelse. Hos denne pasienten oppstod de initiale respirasjonsproblemene sannsynligvis på bakgrunn av hennes allerede reduserte lumen i trachea kombinert med postoperativ slimdanning og muligens hevelse i trakealveggen.

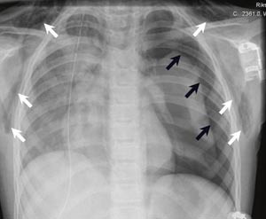
    Under et kraftig hosteanfall senere på kvelden utviklet hun i løpet av få sekunder betydelig subkutant emfysem over hele halsen. Etter noen minutter spredte emfysemet seg opp mot høyre kinn og øye. Oksygenmetningen sank i løpet av noen minutter og røntgen thorax viste høyresidig pneumothorax og pneumomediastinum (fig 1). Det ble lagt inn thoraxdren.

    Hyperakutt subkutant emfysem oppstår alltid på grunn av luftlekkasje. Subakutt subkutant emfysem kan imidlertid ses ved enkelte svært aggressive bakterielle infeksjoner med høy morbiditet og mortalitet (2). Vår pasient hadde ingen øvrige tegn til infeksjon, og da emfysemforandringene tilkom i løpet av sekunder, talte dette sterkt for at luftlekkasje var årsaken.

    Hos denne pasienten kunne emfysemet gi ytterligere kompresjon av luftveiene og dermed forklare den synkende oksygenmetningen. I en situasjon preget av akutt respirasjonssvikt må imidlertid lungene undersøkes med tanke på akutt patologi som pneumothorax, fortetninger i bronkialtreet eller hevelse/infiltrater i lungeparenkymet. Ved påvist pneumothorax er det indikasjon for dreninnleggelse hvis avstanden mellom lunge og ytre pleura er om lag 2 cm eller mer samtidig som respirasjonen er klinisk besværet og oksygenmetningen redusert. Hos pasienter som har pådratt seg pneumothorax etter barotraume, er det nesten alltid indikasjon for drenasje uavhengig av pneumothoraxens størrelse og de kliniske funnene.

    Kontroll røntgen viste ekspansjon av høyre lunge som stod i vegg, men det var nå tilkommet pneumothorax på venstre side (fig 2). Det ble lagt inn thoraxdren også på venstre side, og nytt bilde viste nå at begge lungene stod i vegg. Pasienten fikk bredspektret antibiotikaprofylakse, særlig for å forhindre mediastinitt.

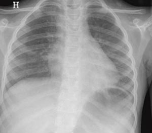
    Første postoperative dag fikk pasienten 100 % oksygen via puritanfukter og kontinuerlig inhalasjon med racemisk adrenalin. Hun hadde perifer oksygenmetning på 95 – 100 %. Det subkutane emfysemet gikk betydelig tilbake. Røntgen thorax andre postoperative dag viste tilkommet atelektase apikalt på høyre lunge og fortetning basalt i venstre lunge. Pasientens kliniske tilstand bedret seg imidlertid gradvis og røntgenforandringene forsvant i løpet av 3 – 4 dager. Thoraxdrenene kunne fjernes fjerde postoperative dag og pasienten kunne utskrives fra sykehuset sjette dag etter operasjonen. Røntgen thorax viste da normalisering av de tidligere påviste forandringene (fig 3).

    Diskusjon

    Diskusjon

    Ved forsnevringer i øvre del av luftveiene eller ved langvarig behov for respiratorbehandling kan det være aktuelt å anlegge trakeostomi. Etter fjerning av trakeostomikanylen er det fare for at kanalen ikke lukker seg og at det dannes en trakeokutan fistel. Hos disse pasientene har det som oftest oppstått en epitelialisering av trakeostomikanalen. Selv når åpningen lukkes, kan det eventuelt gjenstå en utposning i trachea tilsvarende en liten divertikkel. I tillegg vil noen pasienter utvikle skjemmende arr med inndragninger subkutant.

    Pasienter som har hatt langvarig trakeostomi, har fått høye steroiddoser, har dårlig ernæringstilstand eller har hatt infeksjon rundt stomien, er spesielt utsatt for utvikling av persisterende trakeokutan fistel (3). Andre komplikasjoner er trakeoøsofageal fistel, trakeal stenose, talevansker, lokale hudproblemer og infeksjoner (3).

    Plastikkirurgisk avdeling får henvist pasienter med spørsmål om arrbehandling etter tidligere anlagt trakeostomi. Dersom det foreligger isolert arrhypertrofi eller keloiddanning, behandles dette etter gjeldende retningslinjer (4). Hvis arrdanningen har store inndragninger eller pasienten har vedvarende fistel, er det aktuelt med operativ behandling. Arr og fistelkorreksjonen er vanligvis et lite inngrep som utføres uten komplikasjoner.

    Isolerte arrinntrekninger korrigeres vanligvis med transvers anlagt elliptisk incisjon langs de naturlige hudfurene (Langers linjer), deretter eksisjon av arrvevet og lukning med subdermale og intrakutane suturer. Foreligger trakeokutan fistel, legges tilsvarende hudincisjon, men fistelen dissikeres fri ned til trachea. Den etterlatte trakealåpningen lukkes vanligvis med subepiteliale suturer i trachea, deretter skjer adaptasjon av de rette fremre halsmusklene over midtlinjen og til slutt lukning av platysma og dermis (3, 5). Alternative lukningsmetoder ved store trakeale defekter er beskrevet med bruk av lokale hud- og muskellapper (6, 7).

    Vår pasient utviklet respirasjonsproblemer i den postoperative oppvåkningsperioden i forbindelse med en hosteepisode. Det høye intratrakeale trykket kan ha presset luften gjennom den tidligere trakeostomiåpningen og forårsaket pneumomediastinum og subkutant emfysem. Videre kan luften ha presset seg ned langs trakeal- og bronkialtreet i mediastinum og til slutt nådd pleurahulen. Spontan pneumothorax kan også ha oppstått delvis på bakgrunn av bronkopulmonal dysplasi. Det er imidlertid mindre sannsynlig at dette skulle opptre bilateralt samtidig som pasienten fikk subkutant emfysem på grunn av lekkasje gjennom den tidligere trakeale fistelåpningen.

    Korreksjon av trakeokutane fistler er relativt sjelden kirurgi. Alvorlig subkutan spredning av luft etter operasjonen oppstår bare unntaksvis. Det er derfor få fagmiljøer som har erfaring med tilsvarende problemstillinger. Et forløp som hos vår pasient, med utvikling av bilateral pneumothorax, pneumomediastinum og uttalt subkutant emfysem som komplikasjon, er ikke tidligere registrert i PubMed. Basert på kasuistikker med liknende komplikasjoner anbefaler imidlertid enkelte forfattere innleggelse av dren i såret inntil trakealslimhinnen har tilhelet for å forhindre alvorlig luftspredning (8, 9). Basert på vår erfaring synes innleggelse av dren å være fornuftig.

    Sykehistorien illustrerer nødvendigheten av observasjon på sykehus med tilstrekkelig kompetanse for å kunne ta hånd om alvorlige komplikasjoner i forbindelse med kirurgi som involverer trachea. Vi anbefaler at trakealslimhinnen får tilhele slik at den tåler det intratrakeale trykk som oppstår ved daglig aktivitet innen pasienten utskrives fra sykehuset.

    Slipp luften ut!

    Pasienthistorien fra Rikshospitalet er virkelig noe å lære av. Etter et tilsynelatende enkelt kosmetisk inngrep oppstår et livstruende respiratorisk problem. Kan dette unngås?

    Som Tønseth og medarbeidere påpeker, er korreksjon av trakeokutane fistler sjelden kirurgi. Ifølge Norsk pasientregister (SINTEF Helse) ble det i årene 1999 – 2003 utført til sammen ti lukninger av trakeostomier hos barn 12 år eller yngre. Lukningene fordelte seg omtrent likt på de fem helseforetakene og varierte mellom null og to per år. Det er derfor til stor hjelp at PubMed utvider erfaringsgrunnlaget. Søkeordene «(tracheocutaneous OR tracheo-cutaneous) fistula* child*» finner 26 artikler. 14 av disse er relevante (e-ramme 1), hvorav 12 er opptatt av de til dels dramatiske situasjoner som kan oppstå ved hoste etter fistellukning.

    Fordi huden på halsen er tett lukket, kommer ikke luft fra det gamle, ennå ikke tilhelte trakealhullet ut, men dissekerer seg opp eller ned på halsen. Det subkutane og submukøse emfysemet endrer noen ganger anatomien, slik at oral intubasjon ikke lar seg gjennomføre (1). Det er beskrevet flere tilfeller der luftveistilgang ble oppnådd først ved gjenåpning av trakeostomien (2), og der luften gikk videre ut i mediastinum og pleurahulene (3, 4). Wheeler og medarbeidere beskriver bilateral pneumothorax hos et 30 måneders gammelt barn som fikk lukket sin trakeokutane fistel uten at det var lagt inn dren (1). Det er mulig at luften sprenger pleurabladene ved lungehilus og dermed gir pneumothorax.

    I to av 14 artikler om tett hudlukning uten dren er enten ikke luftspredning omtalt eller det er brukt trykkbandasje for å motvirke slik spredning. Intubasjonens lengde er heller ikke omtalt. Noen av de 14 artiklene beskriver 24 timers postoperativ intubasjon for at trachea eller fistelgangen skal tilhele noe og dermed kunne stå imot lufttrykket ved hoste.

    De eldste artiklene sier at disseksjon eller diatermi av den trakeokutane fistelen med sekundær tilheling uten hudlukning er det sikreste alternativet. Hudkorreksjon kan så gjøres senere. De nyere artiklene fraråder ikke å gjøre fistel- og hudlukning i en seanse dersom hensynet til luftkomplikasjoner ivaretas. Artikkelen med størst antall barn (n = 98) understreker viktigheten av dren som sikkerhetsventil for luft dersom fistelen skal lukkes i en seanse (5).

    Ved å løsne hudsuturene umiddelbart kan man oppnå å slippe luften ut og dermed forebygge penumothorax (6). Det kan gjøres raskt og er kanskje det viktigste strakstiltaket?

    Oppgitte interessekonflikter: Ingen

    Kommentarer  ( 0 )

    Anbefalte artikler