A middle-aged man was diagnosed with thromboembolic disease just weeks after COVID-19 infection. The disease was more extensive than would have been expected given the patient's risk profile.
A man in his fifties was admitted to a local hospital with pain, pallor, coldness and reduced sensation in both lower extremities. He had had COVID-19 three weeks earlier, with fever, sore throat, chest pain and cough, but no dyspnoea. Following his recovery and quarantine, he had been back at work full-time for a week.
The patient had hypercholesterolaemia, and seven years earlier he had undergone a percutaneous coronary intervention following a myocardial infarction. He had subsequently stopped smoking and had reported no further health issues.
A PCR test on admission was negative for COVID-19 and the patient had no respiratory symptoms. CT angiography showed a filling defect from both popliteal arteries in the knee joint (Figure 1). He also had occlusions distally with localised refilling in the calf arteries, consistent with thrombosis in both lower extremities. The patient was given 5 000 IU dalteparin before being transferred to a regional hospital.
Upon arrival at the regional hospital, the patient had stable respiration and circulation. His lower left extremity was showing signs of acute ischaemia, with pain and reduced sensation, but preserved motor function. The symptoms in his lower right extremity had gradually improved over the course of the day, and the patient now had normal sensation and motor function, but continuing peripheral coldness. An acute bilateral mechanical thromboembolectomy of the popliteal artery and tibiofibular trunk was performed under general anaesthesia. Good circulation was achieved in both lower limbs postoperatively.
A few hours later, however, the patient again reported coldness and pain in his right foot, and no Doppler signal could be detected in the arteries of the foot. The patient was therefore operated on again to clear the arteries in the calf, resulting in the discovery of abundant thrombi.
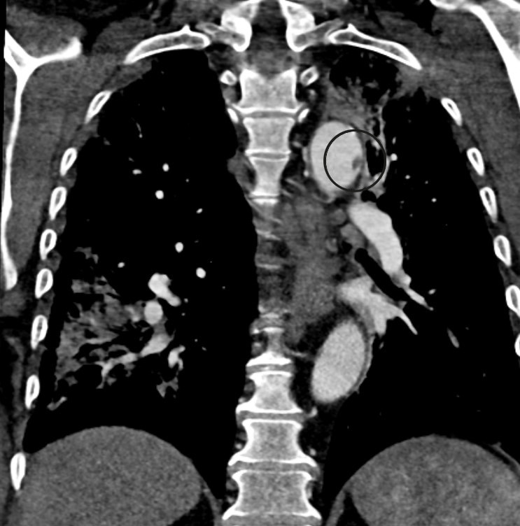
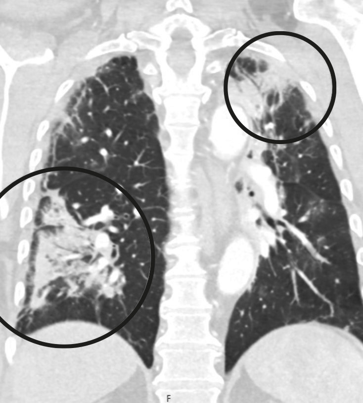
Postoperatively, all symptoms in the lower extremities improved, but the patient's oxygen saturation was noticeably low with SpO2 of 94.5 % (reference range > 99 %). Blood gas analysis while the patient was receiving 3 L O2 via nasal catheter showed pH 7.47 (7.36−7.44), pCO2 4.5 kPa (4.5−6.1) and pO2 8.9 kPa (> 9.6). CT angiography of the thoracic aorta was performed, which revealed several pulmonary emboli in both lower lobes as well as ground-glass opacities typical of previous COVID-19 pneumonia (Figure 2). In addition, a 7 mm pendulating thrombus was seen in the distal aortic arch (Figure 3). Dalteparin was increased to 10 000 IU × 2, and the patient received non-invasive respiratory support in the intensive care unit.
Echocardiography two days later revealed an apical thrombus 1 cm in diameter. Mild apical hypokinesia was observed, but contractility of the left ventricle was otherwise good. There was no evidence of cardiac arrhythmia or of a previous myocardial infarction. Haematological testing for possible antiphospholipid syndrome (including testing for lupus anticoagulant, anti-cardiolipin antibodies and beta-2 glycoprotein I antibodies) revealed no pathology that could explain the emboli. A normal platelet count was seen, along with slightly elevated fibrinogen at 5.3 g/L (1.9–4) and D-dimer at 14.8 mg/L (< 0.57), as would be expected with thrombosis. It was concluded that treatment with dalteparin 10 000 IU × 2 was sufficient, and that the patient should be followed up by a haematologist and eventually switched to a direct oral anticoagulant or warfarin. Nine days after admission, the patient was discharged in good health and able to walk normally. He was referred to the medical department at his local hospital for further follow up.
Discussion
A number of international studies have shown that acute COVID-19 infection can increase the risk of thromboembolic events (1–4). Our patient had multiple risk factors for thromboembolism; nevertheless, COVID-19 cannot be ruled out as the precipitating factor. There is considerable evidence that SARS-CoV-2 infiltrates the endothelium, initiating an inflammatory response to vascular injury that ultimately increases the risk of thromboembolism (2, 4). Patients with COVID-19 also have increased plasma viscosity, which contributes to hypercoagulability (5). This may explain why our patient had thrombi at six different anatomical sites: a phenomenon for which it is difficult to find a single explanation besides COVID-19. We suspect that a local inflammatory response to vascular injury and hypercoagulability as a result of COVID-19 led to thrombosis in the heart and the aortic arch. The thrombi then probably embolised to both lower extremities.
For many patients, COVID-19 results in a mild disease course that does not require treatment in hospital. This increases the likelihood that embolic complications will go undetected and therefore be underreported. It is unclear whether prophylactic antiplatelet or anticoagulant drugs should be given to all patients who have had a symptomatic SARS-CoV-2 infection.
The International Society for Thrombosis & Haemostasis has recently approved the WHO guidelines (6) recommending that all hospitalised COVID-19 patients should be monitored for potential thromboembolism, including stroke, deep vein thrombosis, pulmonary embolism and myocardial infarction, and should receive standard prophylaxis against venous thromboembolism (6). Clinical studies are currently ongoing to determine the optimal dosage of anticoagulants in cases of COVID-19, and the guidelines will be updated when such data are available (7).
In terms of the use of antiplatelets, COVID-19 patients in the United States are now receiving off-label prophylaxis with low-dose acetylsalicylic acid (8). Other European countries, such as Germany (9), are refraining from the prophylactic use of acetylsalicylic acid because of the increased risk of bleeding and lack of evidence of efficacy to date.
Of particular interest for the vascular surgery community in Norway is that COVID-19 patients have up to a 25 % increased risk of spontaneous rethrombosis after primary revascularisation (10). This is consistent with our experience. In a study in Northern Italy of 674 COVID-19 patients who underwent surgery for acute critical ischaemia, patients who also received aggressive anticoagulant therapy (with continuous heparin infusion) were less likely to experience rethrombosis (11, 12).
This case, and an increasing number of new publications, have alerted us to the possible association between COVID-19 and an increased risk of serious arterial and venous thromboembolic events. A vascular surgical assessment should be performed at an early stage if there is clinical suspicion of thromboembolism. While it was not possible to definitively establish a direct causal relationship in the current case, the patient's clinical presentation was undeniably striking and highly unusual in light of his risk profile.
The patient has consented to the publication of this article. The article has been peer-reviewed.
- 1.
Engelmann B, Massberg S. Thrombosis as an intravascular effector of innate immunity. Nat Rev Immunol 2013; 13: 34–45. [PubMed][CrossRef]
- 2.
Miesbach W, Makris M. COVID-19: Coagulopathy, risk of thrombosis, and the rationale for anticoagulation. Clin Appl Thromb Hemost 2020; 26: 1076029620938149. [PubMed][CrossRef]
- 3.
Poyiadji N, Cormier P, Patel PY et al. Acute pulmonary embolism and COVID-19. Radiology 2020; 297: E335–8. [PubMed][CrossRef]
- 4.
Kvåle R, Azrakhsh NA, Mohn KGH et al. Covid-19 og venøs tromboembolisme – profylakse og behandling. Tidsskr Nor Legeforen 2020; 140. doi: 10.4045/tidsskr.20.0440. [PubMed][CrossRef]
- 5.
Panigada M, Bottino N, Tagliabue P et al. Hypercoagulability of COVID-19 patients in intensive care unit: A report of thromboelastography findings and other parameters of hemostasis. J Thromb Haemost 2020; 18: 1738–42. [PubMed][CrossRef]
- 6.
Thachil J, Tang N, Gando S et al. ISTH interim guidance on recognition and management of coagulopathy in COVID-19. J Thromb Haemost 2020; 18: 1023–6. [PubMed][CrossRef]
- 7.
McFadyen JD, Stevens H, Peter K. The emerging threat of (micro)thrombosis in COVID-19 and its therapeutic implications. Circ Res 2020; 127: 571–87. [PubMed][CrossRef]
- 8.
Chow JH, Khanna AK, Kethireddy S et al. Aspirin use is associated with decreased mechanical ventilation, ICU admission, and inhospital mortality in hospitalized patients with COVID-19. Anesth Analg 2020; 132: 930–41. [PubMed][CrossRef]
- 9.
COVID-19. Patienten haben mit „Low dose"-ASS geringes Komplikations- und Sterberisiko. Deutsches Ärzteblatt 23.10.2020. https://www.aerzteblatt.de/nachrichten/117689/COVID-19-Patienten-haben-mit-Low-dose-ASS-geringes-Komplikations-undSterberisiko Accessed 29.6.2021.
- 10.
Mestres G, Puigmacià R, Blanco C et al. Risk of peripheral arterial thrombosis in COVID-19. J Vasc Surg 2020; 72: 756–7. [PubMed][CrossRef]
- 11.
Bellosta R, Piffaretti G, Bonardelli S et al. Regional survey in Lombardy, Northern Italy, on vascular surgery intervention outcomes during the COVID-19 pandemic. Eur J Vasc Endovasc Surg 2021; 61: 688–97. [PubMed][CrossRef]
- 12.
Bellosta R, Luzzani L, Natalini G et al. Acute limb ischemia in patients with COVID-19 pneumonia. J Vasc Surg 2020; 72: 1864–72. [PubMed][CrossRef]
Et vesentlig poeng er utelatt i denne kasuistikken. Var pasienten vaksinert? Jeg kan ikke forstå hvorfor dette poenget er utelatt?
Patofysiologien her er jo dårlig forstått, og inntil vi vet mer må vaksinasjonsstatus i allefall oppgis, da den absolutt kan være av betydning.
Jeg håper dette blir besvart.
Denne pasienten ble behandlet før koronavaksinene hadde kommet til Norge. Så han var ikke vaksinert.