Vulvar leiomyoma

    ()

    sporsmal_grey_rgb
    Article

    Vulvar leiomyoma is rare and is often misdiagnosed as a cyst or abscess in the Bartholin's glands. Other causes of benign tumours of the vulva are Gartner's duct cysts, fibromas, fibroadenomas, lipomas and hamartomas. Adenoma was the tentative diagnosis is this case history, but the histology showed a benign leiomyoma.

    A woman in her forties was referred to the local hospital by a gynaecologist in private practice, due to a slow-growing, firm, non-tender tumour in the vulva. She was previously healthy and was not using regular medications. She had no previous gynaecological illnesses or surgical procedures, particularly no previous bartholinitis. She had three children, all born vaginally, the first of whom was delivered by vacuum extraction with episiotomy.

    The gynaecological examination and ultrasound performed by the referring gynaecologist revealed normal findings, apart from a swelling to the left of the posterior commissure ('at 4–5 o'clock') extending downward towards the anus. Visually it resembled a Bartholin's cyst, but on palpation it was a firm tumour that was non-tender, smooth and moved freely from surrounding tissue. The tumour was of such a size that it lay close to both the introitus and anus. Upon rectal examination, the rectal mucosa also moved freely over the tumour. Transvaginal ultrasound raised suspicion of a fibrous tumour measuring 4 × 3 cm. The location could be consistent with a cyst/abscess in the Bartholin's glands, but the tumour extended somewhat closer to the anus than is typically observed, and on palpation it was not consistent with a cyst or abscess. Due to the growth and firmness of the tumour, the patient was referred for a CT scan to rule out infiltration of surrounding tissue, and to assess the lymph nodes.

    A CT scan of the pelvis/lower abdomen with intravenous contrast, portal venous phase, taken one month later, showed a heterogenous, solid, contrast-enhanced mass between the anus and introitus on the left side, measuring 4.4 × 3.7 × 3.7 cm. The mass was close to the distal vagina and anal canal, but with no suspicion of colorectal involvement. No enlarged lymph nodes or obvious pathology were observed.

    We planned to excise the tumour under general anaesthesia. This was performed two and a half months after the first gynaecological assessment. The tumour was still freely movable, with only a small area of less than 5 mm on the vaginal side that was considered to be adherent. There was still no sign of colorectal involvement. Primary adenoma of the Bartholin's gland was suspected, and after local anaesthesia infiltration immediately inside the hymenal ring, a 3 cm incision was made with dissection downward to the tumour. The tumour was grasped with two towel clamps and mostly detached spontaneously from surrounding tissue. A small amount of bleeding occurred at its base, but good haemostasis was achieved using three simple interrupted sutures to close the pocket and three simple interrupted sutures in the vaginal mucosa. The sutures were placed with simultaneous rectal support to avoid suture material penetrating the colon.

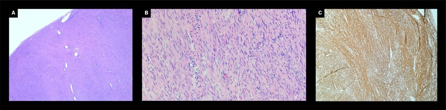
    Macroscopic examination showed a well-defined, smooth-surfaced nodule measuring 5 × 4 × 2 cm and weighing 23 g. Figure 1 shows the greyish-white solid cross-sectional surface seen on dissection of the tumour. Microscopic examination revealed fascicles of spindle-shaped cells with eosinophilic cytoplasma and elongated nuclei without prominent nucleoli (Figures 2a and 2b). There was little mitosis, and necrosis was not detected. This was consistent with a benign tumour. Immunohistochemically, the tumour cells were homogeneously positive for desmin (Figure 2c) and to a lesser degree for DOG-1, consistent with smooth muscle differentiation. There was low proliferation (Ki-67 < 5 %). SOX10, S-100, CD117 and CD34 were negative in the tumour tissue. This result ruled out a tumour with neurogenic differentiation (for example schwannoma) or a gastrointestinal stromal tumour (GIST) outside the gastrointestinal tract, which were considered histological differential diagnoses. The nodule was surrounded by scant collagen fibre with capsule-like appearance. This finding confirmed the clinical assessment that the tumour had been removed in its entirety.

    We concluded that the tumour was a benign leiomyoma. Six months later, the patient has not experienced any relapse or local symptoms.

    Discussion

    Discussion

    Benign solid tumours of the vulva are rare. Despite being the most common histological finding, leiomyoma constitutes only 0.07 % of all vulvar tumours (1).

    Leiomyoma can occur in all tissue with smooth musculature, but is most common in the uterus.

    Vulvar leiomyoma occurs most often in the labia majora and clitoris (2). Bartholin's cysts and abscesses are far more common causes of vulvar masses (3), and leiomyoma posteriorly in the labia majora, as was the case with our patient, will therefore frequently be misdiagnosed as a Bartholin's cyst. However, the treatment differs: solid tumours should be excised, while bartholinitis is often primarily treated in an outpatient clinic with incision, drainage and insertion of a balloon catheter, or with marsupialisation (3). Correct diagnosis is therefore essential to avoid unnecessary and painful attempts at incorrect treatment for these patients.

    To differentiate between a cyst/abscess and a solid tumour, the consistency of the mass must always be considered (4, 5). Differentiating between different types of solid tumours is difficult preoperatively, so a definitive diagnosis is most often made through histological examination of the surgical specimen. To exclude malignancy, for example in cases of rapid growth, persistent skin lesions over the tumour or infiltration into surrounding tissue, a preliminary biopsy may be considered.

    Patient's perspective

    'I found it scary to have a growing "tumour". I felt that the operation went very well and I have had no subsequent symptoms.'

    In our patient, the first examination was performed by an experienced gynaecologist, who on finding a solid tumour referred the patient for a CT scan and surgical excision. The CT scan prior to the surgery provided several important pieces of information, particularly that there was a suspicion of malignancy or infiltration of surrounding tissue. However, few women with a vulvar mass require a CT scan, and this is not normally indicated before assessment by a gynaecologist. Women with a persistent vulvar mass should therefore always be referred to a gynaecologist, but at the same time be reassured that such masses seldom represent malignancy (6). If there are signs of possible malignancy, as mentioned above, the patient should be referred for a prioritised assessment.

    We wish to thank Bjarte Nesvik for the microscope image.

    The patient has consented to publication of this article.

    The article has been peer-reviewed.

    Comments  ( 0 )
    PDF
    Print

    Recent Articles