A woman in her fifties with cirrhosis of the liver and postural dyspnoea

    ()

    sporsmal_grey_rgb
    Article

    A woman in her fifties with advanced cirrhosis of the liver was admitted multiple times with recurrent pleural effusion and ascites. She was accepted for liver transplantation, at which time she developed postural dyspnoea and a drop in oxygen saturation.

    The patient was referred to a university hospital for workup for liver transplantation due to cirrhosis of the liver with refractory ascites and encephalopathy during her admission at the local hospital. She was known to have hypertension and type 2 diabetes, had no previous cardiac or pulmonary conditions, and had no prior history of smoking or exposure to dust with pulmonary toxicity. She had been diagnosed with non-alcoholic steatohepatitis (NASH), but the liver disease had been stable for four years before her condition deteriorated with over ten admissions in a one-year period. Earlier investigations with CT scanning of the liver and abdomen, as well as gastroscopy, had revealed oesophageal varices, portal hypertension and ascites. She had previously undergone assessment for transjugular intrahepatic portosystemic shunt (TIPS), but was rejected due to encephalopathy.

    Three months before her referral for workup for liver transplantation, blood tests had found low platelet count, the lowest count being 50 × 109/L (reference range 145–390 × 109/L), and elevated transaminases with AST 77 U/L (<45) and ALT 54 U/L (<70). D-dimer was 12 mg/L (<0.5). At that time, findings of abdominal and pelvic CT scanning with contrast were negative with a query about portal vein thrombosis, although atypical location of thrombus masses were seen at the confluence of the inferior vena cava, common iliac vein and possibly also in the left internal iliac vein. No underlying malignant or myeloproliferative disease was found as a cause of the abnormal location of thrombi, and the FDG-PET scan was negative.

    Due to coagulopathy, patients with cirrhosis of the liver have both an increased risk of thrombosis and bleeding diathesis, regardless of INR value and platelet count. It is recommended that patients with cirrhosis of the liver who are awaiting liver transplantation undergo CT or ultrasound of the abdomen and liver every two to three months to rule out portal vein thrombosis and other focal liver lesions, such as tumours. The risk of venous thromboembolism is increased in patients with cirrhosis of the liver compared to control subjects without cirrhosis, with an odds ratio of 1.5–2 (1). This, combined with the fact that the liver failure causes low platelet count and bleeding diathesis, results in a high risk of bleeding with anticoagulant treatment.

    Treatment was initiated with low-dose subcutaneous dalteparin 5000 IU twice daily due to thrombocytopenia of 50 × 109/L and bleeding diathesis. The dose of dalteparin was increased over a one-month period, after a rise in platelet count was observed. Due to low levels of antithrombin, antithrombin replacement therapy was added (Prothromplex 1 IU/kg).

    Workup for liver transplantation took place for approximately two months and consisted of an MRI scan of the pancreas, CT scan of the abdomen, transthoracic echocardiography and gastroscopy, with no contraindications to transplantation being detected. Both pleural effusion and ascites contributed to her dyspnoea, but no further pulmonary assessment was carried out at that time because the dyspnoea improved after tapping and was assumed to be related to the fluid accumulation.

    Two months after transplantation workup, she was admitted to hospital and accepted for transplantation. She had decompensated liver failure with jaundice. Biochemical tests found AST 65 U/L (<45), ALT 32 U/L (<70), bilirubin 24 mol/L (<25), albumin 32 g/L (36–45), INR 1.9 (0.8–1.2) and ammonia 87 mol/L (<35), as well as severe hyponatraemia of 128 mmol/L (137–145). Ascites was also detected, and tapping was performed. AST and ALT levels were near-normal, due to advanced decompensated liver cirrhosis and lack of synthesis. Her Child-Pugh score had deteriorated to B (9 points), and her MELD-Na score was 21. She was discharged, but was soon re-admitted to her local hospital due to a deteriorating general condition, decrease in oxygen saturation and recurrence of pleural effusion and ascites. She required care and nutrition, and was admitted until transplantation.

    The Child-Pugh classification is used to assess liver failure based on a score in which 5–6 is class A (well-compensated disease), 7–9 is class B (significant functional compromise) and 10–15 is class C (decompensated disease) (2). Decompensated liver failure is defined as symptoms such as jaundice, ascites, variceal haemorrhage, possibly encephalopathy or other complications related to liver failure in patients with cirrhosis of the liver.

    The Model for End Stage Liver Disease (MELD) score stratifies severity/prognosis in liver disease and is used when patients are referred for transplantation evaluation. Sodium is a negative prognostic marker for cirrhotic patients, which led to the development of the MELD-Na score. The Child-Pugh score is most commonly used in the clinical follow-up of patients with cirrhosis, while the MELD-Na score is more widely used in transplantation evaluation because it contains serum creatinine and sodium levels. This is important because decreasing serum creatinine and sodium in cirrhotic patients are associated with short life expectancy, which may require urgent transplantation. Patients with cirrhosis of the liver are often considered for referral for transplantation evaluation if their MELD score is > 15, but there is no exact score that determines this (3). The Child-Pugh and MELD scores do not take account of several other complicating factors (for example age, pruritus, pulmonary hypertension, hepatopulmonary syndrome, variceal haemorrhage, etc.).

    After five months of hospitalisation, expedited transplantation was requested due to serious progression of her disease. She had massive production of ascites and pleural effusion, and was therefore undergoing regular tapping and dewatering with diuretics. In addition, the patient required haemodiafiltration due to encephalopathy and serum ammonia of 217 µmol/L (<35). The patient was bed-bound, dependent on total parenteral nutrition and in a generally debilitated condition. She underwent thoracentesis a total of 14 times (> 1 L pleural fluid each time) and paracentesis six times (2.5–3.7 L each time). The pleural fluid was consistent with transudate (total pleural fluid protein <30 g/L and pleural LD <200 U/L). Findings of cytology were negative. She remained admitted to the local hospital while awaiting a suitable liver.

    During the admission prior to liver transplantation, a decrease in peripheral oxygen saturation (SpO2) was observed, measured on pulse oximetry as 70–80 % without supplemental oxygen, from her usual levels of 92–95 %. With oxygen supplementation of 2–3 L/min via nasal specs, SpO2 rose to 90–95 %. The patient reported increasing shortness of breath when she stood upright, and it was observed that she had SpO2 of 95 % with O2 3 L/min while lying down, but SpO2 of 85 % with the same oxygen supplementation in a standing position. Arterial blood gas analysis with O2 3 L/min (standing) found pH 7.51 (7.35–7.45), pCO2 4.5 kPa (4.64–6.40), pO2 6.6 kPa (10.0–14.0 kPa) and SO2 85 %. She was therefore referred for echocardiography with queried hepatopulmonary syndrome with shunting or portopulmonary hypertension.

    Throughout the course of her illness, the symptoms of increasing dyspnoea were attributed to the pleural effusion and, therefore she underwent tapping multiple times. However, a considerable fall in oxygen saturation was observed in a standing position, with improvement when lying down. The patient had typical symptoms of orthodeoxia, with a fall in SpO2 in an upright position, and platypnoea, defined as dyspnoea in a standing position with improvement or resolution in a recumbent position. Orthodeoxia is defined as a decrease of > 4 mmHg in PaO2 (equivalent to > 0.53 kPa) or > 3 - 5 % in SpO2 when moving from the recumbent to standing position (4). Orthodeoxia and platypnoea are associated with intracardiac shunting related to patent foramen ovale, interatrial defects or intrapulmonary shunting, the latter being a known complication of advanced cirrhosis of the liver, which explained the patient's symptom presentation.

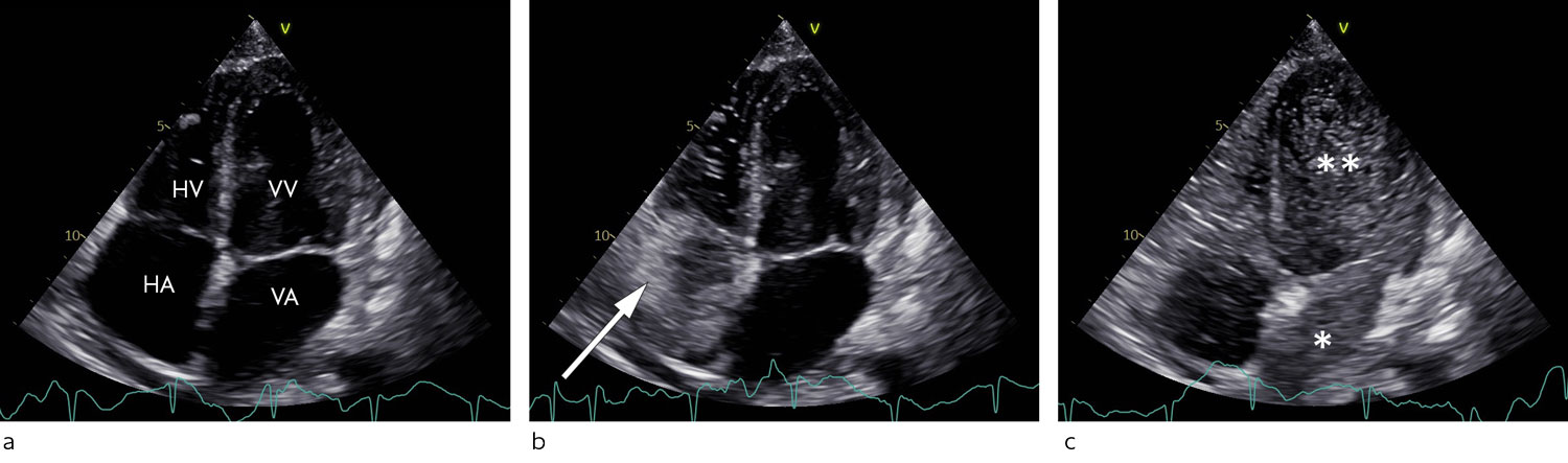
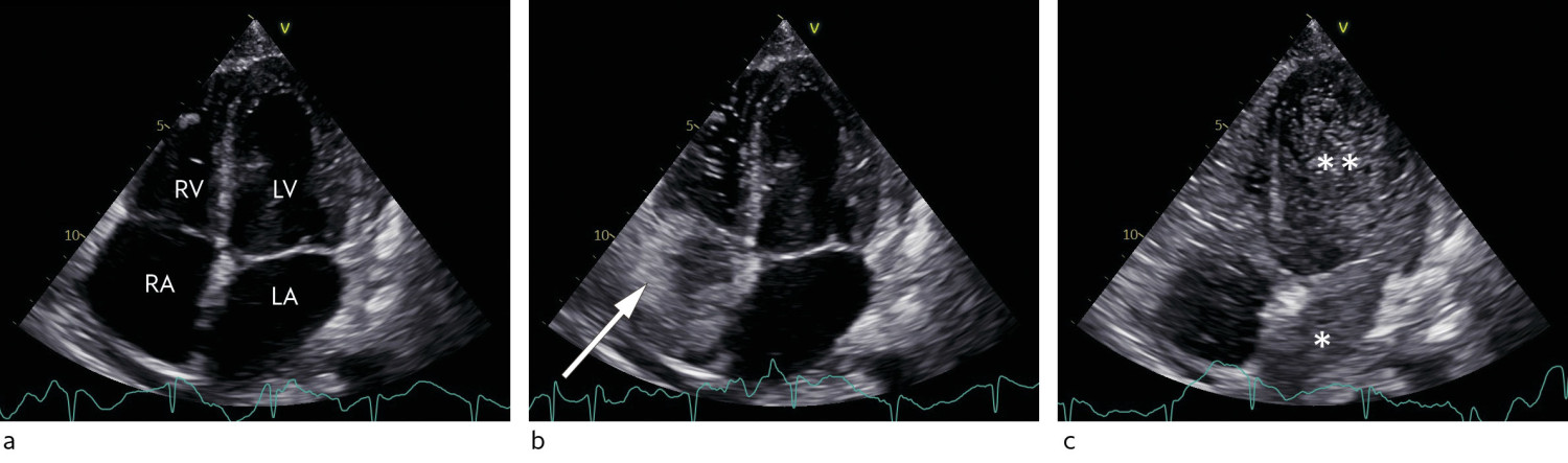
    Transthoracic echocardiography (TTE) with and without agitated saline contrast (also referred to as bubble contrast) revealed normal dimensions of the left ventricle with good contraction and ejection fraction (EF) of 55 % with no significant valve defects. The right ventricle was dilated with good contraction, mild pulmonary hypertension and mild biatrial dilation. Agitated saline contrast echocardiography revealed a large atrial shunt with abundant passage of agitated saline contrast from the right to left side of the heart via the pulmonary veins after three consecutive heartbeats. This suggested a large intrapulmonary right-to-left shunt, consistent with intrapulmonary vascular dilation.

    TTE with agitated saline contrast, also referred to as bubble contrast, is the first choice to evaluate right-to-left shunt because the method is less invasive than other methods (4, 5). Other methods for shunt evaluation with invasive testing are rarely necessary unless TTE with agitated saline contrast is ambiguous or unavailable, or the diagnosis is uncertain. In healthy individuals, the contrast will only fill the right heart chambers before being filtered by the pulmonary capillary bed. In patients with intrapulmonary shunt, bubble contrast will usually appear in the left side of the heart within 38 heartbeats after contrast administration (6, 7) (Figure 1) (see the video and note the saline contrast from the 13th second). Bubble contrast echocardiography can be more sensitive when performed in an upright position than a recumbent position (8).

    One month after the transplantation was expedited, the patient was diagnosed with hepatopulmonary syndrome. Since the patient had liver dysfunction with portal hypertension, unexplained hypoxaemia and intrapulmonary vascular dilation, it was concluded that she had the diagnostic triad of symptoms for hepatopulmonary syndrome. Dilation of the pulmonary capillaries in hepatopulmonary syndrome causes overperfusion relative to ventilation, leading to ventilation-perfusion mismatch and hypoxaemia.

    The patient had not been referred to the pulmonary medicine department during the workup for liver transplantation. It might have been possible to make the diagnosis of hepatopulmonary syndrome sooner if pulmonary specialists and cardiologists had been involved at the local hospital at an earlier stage and if we had been aware of the postural change in dyspnoea and oxygen saturation. The workup could additionally have included pulmonary ventilation/perfusion scintigraphy with injection of 99mTc-MAA, but it was not possible to perform this due to the patient's diminished general condition.

    While awaiting transplantation, the patient received primary treatment with supplemental oxygen for hepatopulmonary syndrome. After another three months, so a total of nine months after she was put on the transplantation list, the patient underwent transplantation without complications.

    Hepatopulmonary syndrome strengthens the indication for rapid liver transplantation to avoid increased mortality associated with severe liver disease (9). Following liver transplantation, clinical follow-up with echocardiography is recommended to assess whether there has been an improvement in intrapulmonary shunting and the patient's clinical symptoms of decreased oxygen saturation and postural dyspnoea, which was the case in this patient. Patients with hepatopulmonary syndrome often require longer convalescence than other liver transplantation patients, and oxygenation/shunting improves or returns to normal in most patients within 6 - 12 months. Survival following liver transplantation is the same for patients with and without hepatopulmonary syndrome (10).

    Discussion

    Discussion

    Hepatopulmonary syndrome is a cardiopulmonary complication that can arise secondary to chronic liver disease, particularly in complicated portal hypertension. The condition is defined as a triad of the following factors: Liver disease (liver dysfunction or portal hypertension), intrapulmonary vascular dilation (10) and unexplained hypoxaemia (11). The syndrome occurs in approximately 5 - 32 % of patients with cirrhosis of the liver (5). The diagnosis is often made late in the disease course, and it is likely that the condition is underdiagnosed. The condition has been reported previously in the Journal of the Norwegian Medical Association (Tidsskriftet) (12).

    It is assumed that hepatopulmonary syndrome is caused by increased production or reduced hepatic degradation of pulmonary vasodilators and/or decreased production or sensitivity to factors that play a key role in pulmonary vasoregulation, including nitric oxide (NO) and endothelin-1. Nitric oxide appears to cause chronic changes in pulmonary vessels, which is referred to as pulmonary vascular remodelling (5). The hypoxaemia may be mild or severe, depending on the extent of intravascular shunting.

    Hepatopulmonary syndrome is an exclusion diagnosis, and other conditions that present with shunt must be ruled out, e.g. arteriovenous malformation, postpneumonectomy syndrome, recurrent pulmonary emboli, atrial septal defect and patent foramen ovale (13). Other conditions that cause hypoxaemia, such as atelectasis, hepatic hydrothorax, portopulmonary hypertension and underlying cardiopulmonary disease, must also be excluded (14). Most of these can be ruled out using multimodal diagnostic imaging, including echocardiography with bubble contrast, and pulmonary physiology tests. These conditions were ruled out in our patient. A pulmonary specialist should be involved at an early stage of screening for pulmonary complications associated with chronic liver disease, with active screening for hepatopulmonary syndrome, portopulmonary hypertension and hydrothorax.

    Portopulmonary hypertension is another vascular complication secondary to liver disease which can resemble hepatopulmonary syndrome. Both result in abnormal pulmonary circulation secondary to the liver disease. Hepatopulmonary syndrome causes vasodilation and hypoxaemia, while portopulmonary hypertension is characterised by vasoconstriction in pulmonary vessels and pulmonary arterial hypertension. Our patient only had very slightly increased pressure in the pulmonary circulation on echocardiography, and the symptoms of dyspnoea were related to platypnoea and orthodeoxia. Therefore, the symptoms were most consistent with hepatopulmonary syndrome.

    If echocardiography reveals findings of pulmonary hypertension (dilated right ventricle, septal flattening/paradoxical motion, estimated systolic pulmonary arterial pressure > 55 mmHg), invasive right heart catheterisation may be indicated to investigate portopulmonary hypertension (4, 15, 16).

    Patients with liver disease may have subclinical pulmonary vasodilation, and therefore bubble contrast echocardiography may be positive even in the absence of hypoxaemia (14). Confirmation of intrapulmonary shunt alone is not sufficient to diagnose hepatopulmonary syndrome in patients with liver failure; decreased oxygenation must also be demonstrated (17).

    The majority of patients with hepatopulmonary syndrome have symptoms of liver disease, but some develop pulmonary symptoms first. Approximately 95 % of these patients have symptoms of progressive dyspnoea at rest and/or on exertion, which develop gradually following years of liver disease. However, there can be many causes of symptoms of dyspnoea in patients with cirrhosis of the liver, and it is easy to overlook hepatopulmonary syndrome, as in our patient's case. Early referral of patients with advanced liver disease and dyspnoea to the pulmonary and cardiology departments can be key in reaching the diagnosis of hepatopulmonary syndrome. Patients with hepatopulmonary syndrome have had respiratory symptoms for an average of 4.8 years before being diagnosed (18).

    Patients with hepatopulmonary syndrome are monitored clinically with pulse oximetry and possibly arterial blood gas analysis. Only two mechanisms can explain the fall in oxygenation when moving from a recumbent to a standing position: intracardiac or intrapulmonary shunting. The latter is often the explanation in patients with chronic liver disease. The treatment of hepatopulmonary syndrome in patients with advanced liver disease consists of supplemental oxygen and tapping to alleviate symptoms and rapid referral for liver transplantation.

    Patients with intrapulmonary vascular dilation have a substantial risk of developing oxygenation impairment over time and hepatopulmonary syndrome (19). This diagnosis is highly significant for the timing of liver transplantation. It can be both a relative contraindication for liver transplantation or an additional indication for liver transplantation, depending on a comprehensive evaluation by specialists in hepatology, transplantation and anaesthesia at a transplantation centre (20). Echocardiography with bubble contrast should be considered in advanced cirrhosis of the liver and dyspnoea.

    Clinicians working with patients with liver disease should consider hepatopulmonary syndrome in patients with dyspnoea, platypnoea/orthodeoxia, spider nevi and/or unexplained oxygen saturation <96 %. Platypnoea and orthodeoxia are classical, but not pathognomonic symptoms of hepatopulmonary syndrome (5, 21-23). However, the combination of chronic liver disease and hypocapnic respiratory failure (low pCO2) is seen almost exclusively in hepatopulmonary syndrome. Decreased diffusing capacity for carbon monoxide (DLCO) is often seen, but this finding is non-specific for the condition (24).

    With this case report, we wish to highlight the importance of early referral for cardiac and pulmonary investigation of patients with advanced liver disease and dyspnoea. Bubble contrast echocardiography is a good, non-invasive method to evaluate patients with queried hepatopulmonary syndrome.

    The patient has consented to the publication of the article.

    The article has been peer-reviewed.

    Comments  ( 0 )
    PDF
    Print

    Recent Articles