Temporal lobe epilepsy

    ()

    sporsmal_grey_rgb
    Article

    The temporal lobes are the part of the brain most likely to give rise to epileptic seizures. Seizures originating in the temporal lobes vary greatly in character; some may be so unusual that they are not even recognised as epileptic. For patients who have been diagnosed with hippocampal sclerosis and whose seizures cannot be controlled with drugs, epilepsy surgery may be a good treatment option. In this brief clinical review, we summarise the key features of epilepsy and highlight the importance of accurate and early diagnosis for achieving good clinical outcomes.

    All patients who have had a suspected epileptic seizure should undergo a thorough assessment. The aim of this assessment is to answer the following questions: Was the seizure epileptic? If so, what type of seizure was it? Is the seizure part of a known epilepsy syndrome? What triggered the seizure? Does the patient require treatment for comorbidities?

    For around one third of patients with epilepsy, the temporal lobe is the site of the seizure onset zone. But although temporal lobe epilepsy is by far the most common of the focal epilepsies, we still see cases of misdiagnosis and missed diagnosis. The aim of this article is to illustrate the varying manifestations of temporal lobe seizures, and to provide a reminder that epilepsy surgery can be a good treatment option for those who do not achieve adequate seizure control with medications.

    The article is based on a discretionary review of the literature and the authors' own clinical experience.

    Causes and pathophysiology

    Causes and pathophysiology

    The temporal lobes are the most epileptogenic area of the brain, primarily because they are frequently the site of seizure-causing insults, for example, hypoxia and head trauma. Other causes of epilepsy can include low-grade gliomas, arteriovenous malformations, cortical malformations, autoimmune or viral encephalitis, genetic abnormalities, and hippocampal sclerosis (1).

    As early as 1825, autopsies had shown the hippocampus to be shrunken and calcified in people with epilepsy, and in 1880 Sommer published the first microscopic account of changes in the hippocampus of a 25-year-old man with frequent focal seizures. During the seizures, the man was told by God that he could fly, and on one occasion he jumped from a roof. He survived the fall but died a few years later from an infection (2).

    Histologically, a loss of neurons – particularly pyramidal cells – is seen in specific subregions of the hippocampus (Figure 1). This is accompanied by astrocyte proliferation, which forms the basis for the scarring/sclerosis. There are also changes in other neurons and glial cells, and in some patients the sclerosis additionally affects nearby structures such as the amygdala, entorhinal cortex and parahippocampal gyrus (3).

    These morphological changes are thought to give rise to epileptic cell networks via a dysfunctional synaptic reorganisation or by changing the internal properties of neurons and glial cells (4).

    The causes of hippocampal sclerosis have been the subject of intense debate for many years. In children, prolonged febrile seizures have been shown to increase the risk of subsequent hippocampal sclerosis and epilepsy (1). Genetic vulnerability probably plays a role here. An association has been found, for example, between mutations in the SCN1A gene, prolonged febrile seizures, and hippocampal sclerosis (5). It is now generally accepted that hippocampal sclerosis can both cause and be caused by epileptic seizures.

    Classification and clinical presentation

    Classification and clinical presentation

    There are two main types of temporal lobe epilepsy: the mesial, limbic form, which is by far the most common, and the lateral, neocortical form. Temporal lobe epilepsy with hippocampal sclerosis is a subtype of the limbic form and is today considered a distinct electroclinical syndrome (6). It is difficult to distinguish the two forms of temporal lobe epilepsy clinically, but patients with the neocortical form usually have auditory hallucinations prior to seizures.

    Prolonged febrile seizures in early childhood appear to increase the risk of the limbic form of temporal lobe epilepsy caused by hippocampal sclerosis (1). After a number of years without seizures, the patient begins to experience seizures characteristic of the temporal lobe in late childhood or early adolescence. The seizures can initially be controlled with drugs, but in many cases eventually become medically refractory. A family history of temporal lobe epilepsy is sometimes seen.

    Focal seizures lasting 1–2 minutes are typical for patients with temporal lobe epilepsy, irrespective of aetiology and the location of the pathological network. During the initial aura phase, the patient remains conscious, with most individuals experiencing a rising sensation from the stomach area (epigastric aura). Consciousness is then reduced. The patient halts all activity and may show a blank stare, pupil dilation, and automatisms such as chewing, smacking the lips, or swallowing. Ipsilateral hand automatisms (fumbling, picking) and dystonic posturing of the arm contralateral to the seizure focus are often seen.

    Patients can recall the initial phase but have little or no recollection of the period of reduced consciousness. The postictal phase is usually marked by confusion. Ictal and postictal dysphasia are common when the seizure focus is in the language-dominant temporal lobe. Occasionally, focal seizures may develop into a tonic-clonic seizure.

    The initial symptoms of the seizure depend on which temporal lobe is affected, the location and function of the seizure network and the seizure propagation pattern. Initial symptoms may be autonomic, cognitive, emotional, or sensory (Table 1) (7–10).

    Table 1

    Possible seizure patterns that may be seen in patients with temporal lobe epilepsy.

    Seizure type

    Possible symptoms

    Seizure with autonomic symptoms

    Rising discomfort from the stomach (epigastric aura), pupillary changes, nausea, vomiting (emetic seizures), flushing, goosebumps, palpitations, altered bowel function, cold, warmth

    Seizure with motor elements

    Behavioural arrest, automatisms, strange behaviour

    Seizure with sensory symptoms

    Unpleasant smell (uncinate seizures), peculiar taste in the mouth, auditory or visual disturbances (illusions à la Alice in Wonderland syndrome or hallucinations) (79)

    Seizure with emotional symptoms

    Anxiety, despondency, despair, laughter (gelastic seizures), crying (dacrystic seizures), intense happiness, ecstasy (Dostoevsky seizures) (10)

    Seizure with cognitive symptoms

    Déjà vu, jamais vu, forced thinking, memory disturbance, dysphasia, dyspraxia, neglect

    In our experience, it is seizures with neuropsychiatric symptoms that are most often misinterpreted. Some individuals, for example, may experience a dream-like state in which they see an image of themselves in extra-personal space, a so-called autoscopic seizure (11). Others have repeated impressions of déjà vu or experiences of a religious nature, almost in the form of revelations (7). Hallucinations and delusions may also occur as ictal symptoms (8).

    We have seen patients who refuse to speak about their seizures for fear of being considered 'crazy'. The experiences they have during seizures may be so bizarre that they are difficult to describe. Others report perceiving themselves as different and odd. Some have problems with concentration and memory.

    In a case report from 2010, a patient describes having episodes in which she felt that she was someone else. On other occasions she experienced great difficulty in finding words, felt abnormally hot or cold, or had the sensation that her thoughts were stuck on a loop. She also had episodes from which she could not recall anything. The symptoms were long considered part of a mental illness, until eventually she received the correct diagnosis (12).

    Many patients, especially those with hippocampal sclerosis, have cognitive difficulties in addition to seizures. If the sclerosis is localised to the language-dominant hemisphere, difficulties with memory for language are often seen. Many people struggle to remember information related to time and place. If the sclerosis is localised to the non-dominant hemisphere, patients may have difficulties with visual memory, for example remembering faces or places they have been (13). Some people have trouble understanding irony. The prevalence of mental illness, particularly anxiety and depression, is higher in this patient group than in the general population (14).

    Diagnosis

    Diagnosis

    A thorough medical history usually raises suspicion of the diagnosis. Neurological examination is generally unremarkable, and standard electroencephalography (EEG) is either normal or reveals only non-specific abnormalities in around half of patients. Repeated recordings, possibly while the patient is sleep-deprived, increase the likelihood of pathological findings. In a typical case, focal epileptiform activity is seen over the anterior temporal regions, often in combination with slow-wave activity. Ictal recordings show 4–7 Hz rhythmic spiking activity over the affected temporal lobe.

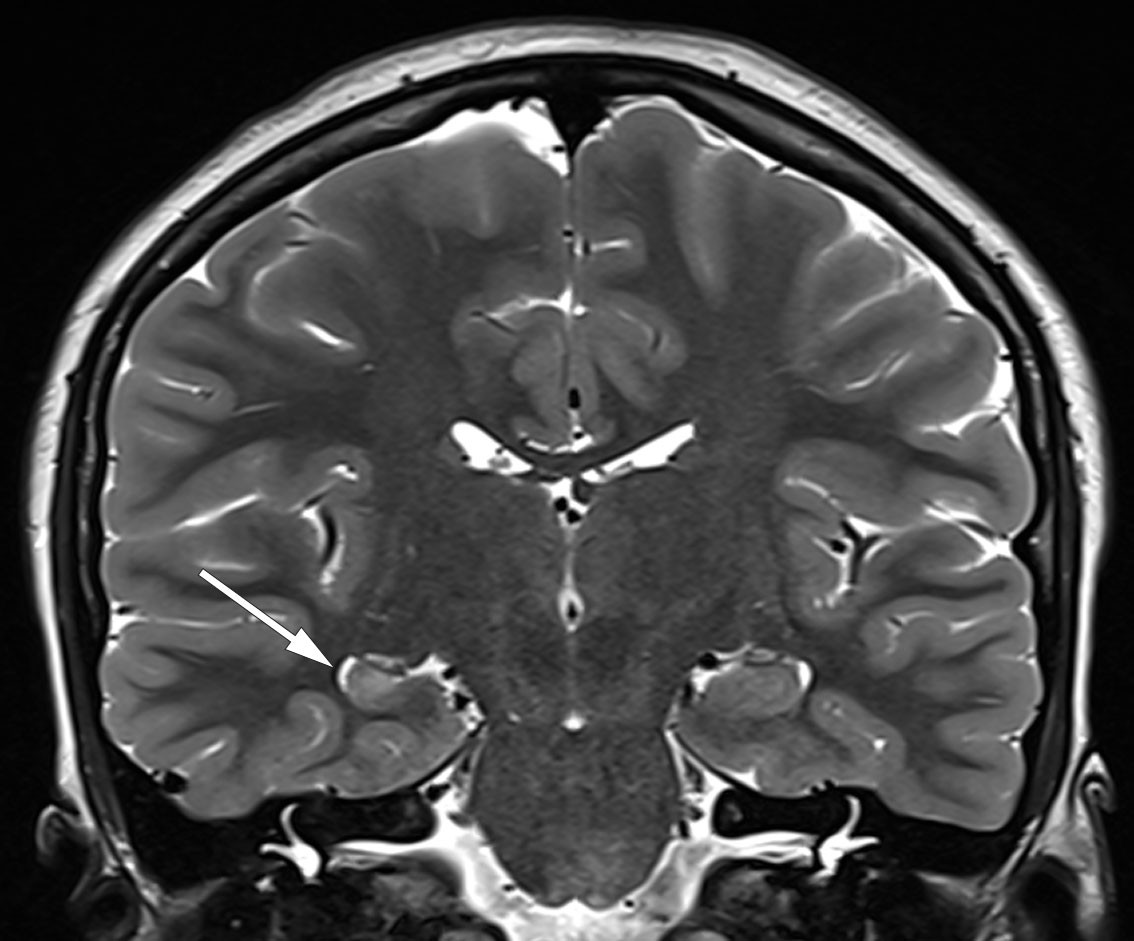
    Magnetic resonance imaging (MRI) of the brain, preferably using a 3 Tesla scanner and an epilepsy protocol, reveals an epileptogenic lesion in around 70 % of this patient population (15). The lesion may, for example, be a glioma, a cortical dysplasia, or hippocampal sclerosis with atrophy of the hippocampus and increased signal intensity on T2-weighted series (Figure 2). Positron emission tomography (PET) may show hypometabolism over anterior medial areas of the affected temporal lobe.

    Differential diagnosis

    Differential diagnosis

    Temporal lobe epilepsy is easy to diagnose if the medical history, seizure characteristics, and EEG and MRI findings are typical. But that is not always the case. Episodes in which an individual appears distant and shows discrete automatisms may be mistaken for absence seizures. Intense ictal anxiety may be mistaken for a panic attack. Seizures with strange behaviour and/or psychiatric symptoms are not infrequently considered to be part of a mental illness, possibly even psychogenic non-epileptic seizures. In the event of doubt, patients should be referred for diagnostic testing at a university hospital, for example the National Centre for Epilepsy in Oslo.

    Treatment

    Treatment

    Medical options for the treatment of temporal lobe epilepsy include drugs such as lamotrigine, levetiracetam, carbamazepine and oxcarbazepine. This form of epilepsy has previously been considered highly drug-resistant, but a study from 2016 showed that 29 % of patients were able to achieve long-term seizure freedom with drugs (16). If two different antiepileptic drugs both have inadequate effects, a non-pharmacological treatment method should be considered, primarily epilepsy surgery.

    Two randomised trials and numerous observational studies have shown that in difficult-to-treat temporal lobe epilepsy, surgery is significantly more effective than continued medical treatment. The largest randomised controlled trial showed that 58 % of patients were seizure-free one year after surgery, compared with 8 % of those who remained on medication (17).

    The results of surgery are particularly good if the patient has hippocampal sclerosis. Around 70 % of these patients achieve long-term seizure freedom after surgery (18). However, it is important that these patients are referred for surgical assessment early in the disease course, as a long disease duration reduces the likelihood of a good outcome (19).

    In Norway, epilepsy surgery has been centralised to Rikshospitalet and the National Centre for Epilepsy, both in Oslo. Here, potential candidates for surgery undergo comprehensive pre-operative testing with the aim of localising the epileptogenic network as precisely as possible. Interventions are personalised for each patient based on these findings (20).

    Summary

    Summary

    Temporal lobe epilepsy can manifest in very different ways, and seizures with neuropsychiatric symptoms often go unrecognised or are misdiagnosed. Temporal lobe seizures are among the most drug-resistant forms of epilepsy, and surgery can be a good treatment option, especially in those with known hippocampal sclerosis.

    This article has been peer-reviewed.

    Comments  ( 0 )
    PDF
    Print

    Recent Articles