Vaccine-induced subcutaneous granulomas (aluminium granulomas) can cause prolonged itching and are associated with contact allergy to aluminium. The prognosis is good, but the diagnosis is often overlooked. We describe a child who, due to healthcare personnel's lack of awareness of the diagnosis, was recommended for testing for malignancy.
A healthy 17-month-old girl began scratching a subcutaneous nodule situated laterally on her left thigh. The scratching would sometimes lead to bleeding. The nodule was not tender and varied in size, up to approximately 3 cm. During weeks with transient respiratory infections, the itching became worse and the nodule bigger. Local hyperpigmentation, distinct hair growth and eczematous changes at the nodule site gradually occurred (Figure 1). There were no fluctuations or signs of local infection. Local steroid treatment had a limited effect.
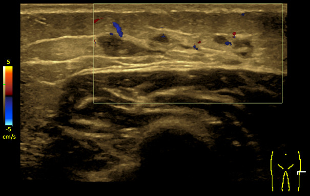
An ultrasound examination three months after the nodule was discovered showed a sharply defined, irregular lobular, multilocular cystic/anechoic lesion (approximately 3 × 0.5 cm) in subcutaneous adipose tissue, without involvement of the muscle fascia. Differential diagnoses were organised haematoma, sequelae after a focal inflammatory process, vascular malformation or other (Figure 2). The lesion remained unchanged at check-ups three and nine months later. The radiologist recommended a paediatric assessment.
Because the girl had had the nodule for a year and no clear cause had been identified, the paediatricians decided to refer the girl for an MRI scan under general anaesthesia to rule out malignancy. Her GP contacted the child health centre to establish her vaccine history and injection sites. The girl's medical records showed that she had been vaccinated for diphtheria, tetanus, pertussis, and polio (DTP-IPV vaccine), as well as Haemophilus influenzae type b (Hib) in the left thigh at three, five and twelve months of age. Thus, her symptoms did not appear until five months after the third dose of the vaccine.
The suspected adverse effect following vaccination was reported to the Norwegian Institute of Public Health, which confirmed a probable causal link and recommended that the GP contact an expert at the University of Gothenburg. The doctor there considered the medical history and clinical course to be typical for vaccine-induced itchy granulomas, and suggested an epicutaneous test with aluminium in order to complete the investigation. The epicutaneous test was performed at the dermatology department when the girl was three years old. It showed a strong reaction (3+) to aluminium chloride hexahydrate and 2+ to 100 % aluminium. The diagnosis of itchy aluminium granuloma was thus confirmed – more than 1.5 years after the girl's first symptoms appeared.
Clinically, the condition slowly improved. The nodule gradually became less palpable, but the itching persisted. An ultrasound four years after onset showed that the subcutaneous lesion had disappeared. Five years after the first symptoms appeared, the girl still has intermittent, but less bothersome itching in connection with respiratory infections. Her skin has a normal appearance now, with no hyperpigmentation or excess hair growth.
No MRI was ever taken of the lesion as it was concluded following other investigations that malignancy seemed unlikely.
Discussion
The girl had a typical medical history and clinical findings consistent with a vaccine-induced long-standing itchy granuloma (1–3). These occur at the injection site of aluminium-containing vaccines and can develop at all ages, but are most common in 1 - 2-year-olds after the DTP-IPV and Hib vaccinations. The frequency was estimated at 0.63–1.18 % among those vaccinated in a Swedish prospective study (3).
The symptoms tend to appear long after vaccination (months to years). The itching can be intense, and can lead to bleeding of the skin, especially at night. One or more firm nodules of 5–30 mm can be palpated subcutaneously where the itching occurs. Locally increased hair growth, hyperpigmentation and eczematous changes are common. In connection with infections, the itching often gets worse and the nodules bigger. The symptoms can be persistent, but will diminish over time, often with long periods of no itching. Contact allergy to aluminium could be detected in 77–95 % of children with aluminium granulomas who had undergone epicutaneous testing (1, 3). The aluminium allergy is a slow type-4 reaction, a delayed immune reaction, and thus does not increase the risk of an anaphylactic (type 1) reaction in vaccinations later in life (4).
If the child has a typical medical history and symptom profile for vaccine-induced itchy granulomas and it can be documented that one or more aluminium-containing vaccine injections have been given at the site, this is sufficient to make the diagnosis. A positive epicutaneous test on aluminium confirms the diagnosis (but a negative test does not rule it out). The itching can be relieved with local steroids or by covering the itchy area with a hydrocolloid bandage, but there is no causal treatment. The children in question do not need to avoid aluminium-containing vaccines, but waiting until the symptoms have regressed reduces the risk of new granulomas (1). The allergy can cause contact dermatitis, for example when using aluminium-containing deodorants and skin creams. New studies found that the allergy was not detectable in most participants after 5 - 10 years (5).
Vaccine-induced itchy granulomas are often overlooked because of the long interval between vaccination and symptom onset, and because healthcare personnel lack awareness of the diagnosis. This can lead to parental concerns and unnecessary clinical examinations for the child (6). In addition, the lack of knowledge about relatively common adverse effects can increase vaccine scepticism. It is therefore important that general practitioners, paediatricians, dermatologists, radiologists and staff at child health centres are aware of the condition. In addition, routines need to be established for the documentation of injection sites in childhood vaccination.
The patient's next-of-kin consented to publication of this article.
The article has been peer-reviewed.
- 1.
Bergfors E, Trollfors B. Sixty-four children with persistent itching nodules and contact allergy to aluminium after vaccination with aluminium-adsorbed vaccines-prognosis and outcome after booster vaccination. Eur J Pediatr 2013; 172: 171–7. [PubMed][CrossRef]
- 2.
Salik E, Løvik I, Andersen KE et al. Persistent skin reactions and aluminium hypersensitivity induced by childhood vaccines. Acta Derm Venereol 2016; 96: 967–71. [PubMed][CrossRef]
- 3.
Bergfors E, Hermansson G, Nyström Kronander U et al. How common are long-lasting, intensely itching vaccination granulomas and contact allergy to aluminium induced by currently used pediatric vaccines? A prospective cohort study. Eur J Pediatr 2014; 173: 1297–307. [PubMed][CrossRef]
- 4.
Rustemeyer T, van Hoogstraten IMW, von Blomberg BME. R.J. S. Mechanisms of Allergic Contact Dermatitis p 153, 168. In: John S., Johansen J., Rustemeyer T., Elsner P., H. M, editors. Kanerva's Occupational Dermatology: Cham: Springer International Publishing; 2020.
- 5.
Gente Lidholm A, Bergfors E, Inerot A et al. Unexpected loss of contact allergy to aluminium induced by vaccine. Contact Dermat 2013; 68: 286–92. [PubMed][CrossRef]
- 6.
Kelly E, Leahy R, McDermott M et al. Persistent pruritic subcutaneous nodules at injection sites and other delayed type hypersensitivity reactions to aluminium adsorbed vaccines in Irish children: A case series. Acta Paediatr 2020; 109: 2692–3. [PubMed][CrossRef]