A man in his late sixties with treatment-resistant relapsing polychondritis and bone marrow failure was found to have a rare and newly identified syndrome not previously reported in Norway.
A man in his late sixties was transferred to a university hospital with a query about underlying rheumatological disease. He had a case history of six months of reduced general condition, chest pain and episodes of iridocyclitis. He also had pain in the back of his head and transient pain in his jaw when chewing. He did not have any visual disturbances or musculoskeletal pain.
Findings of a previous investigation with biopsy of the right and left temporal arteries were normal. CT scanning of the neck, chest, abdomen and pelvis found no pathological lymph nodes, but a non-specific opacity in the left basal lung. Procalcitonin levels were normal, and blood culture results were negative. There had been no effect of treatment with doxycycline for 14 days. CT scan of the aorta found signs of wall thickening in the left subclavian artery. Blood tests revealed elevated levels of acute phase reactants (Table 1), raising suspicion of vasculitis.
Table 1
Blood test results from the first university hospital admission.
| Analysis | Value measured | Reference range |
|---|---|---|
| ESR, mm/h | > 100 | 1–12 |
| CRP, mg/L | 153 | < 4.0 |
| Hb, g/dL | 9.9 | 13.4–17.0 |
| MCV, fL | 96 | 82–98 |
| Leukocytes, × 109/L | 6.0 | 3.5–10 |
| Neutrophils, × 109/L | 6.8 | 1.5–7.3 |
| Lymphocytes, × 109/L | 0.7 | 1.1–3.3 |
| Platelets, × 109/L | 379 | 145–390 |
| Albumin, g/L | 35 | 36–45 |
| ALP, U/L | 245 | 35–105 |
| GT, U/L | 224 | 15–115 |
| CK, U/L | 56 | 40–280 |
| LD, U/L | 193 | 105–205 |
| Troponin T, ng/L | 16 | < 30 |
| Procalcitonin, µg/L | 0.2 | < 0.5 |
| ACE, U/L | 18 | 18–65 |
| Rheumatoid factor IgM, × 103 IU/L | 38 | < 25 |
| Rheumatoid factor IgA, × 103 IU/L | 2 | < 25 |
| Anti-CCP, U/mL | 2.4 | > 10 |
| IgG4, g/L | 3.01 | 0.03–2.01 |
| IgG, g/L | 14.1 | 6.1–14.9 |
| IgA, g/L | 5.4 | 0.7–4.3 |
| IgM, g/L | 1.2 | 0.4–2.1 |
Electrolytes and liver and kidney function tests were all within normal limits. Protein electrophoresis showed indications of acute phase reaction, but not monoclonal gammopathy. Antinuclear antibodies (ANA), antineutrophil cytoplasmic antibodies (ANCA) and HLA-B27 were not detected. Urine test sticks did not indicate blood or protein.
Serum IgG4 levels may be elevated in IgG4-related disease. IgG4-related disease is an immune-mediated systemic disease that leads to inflammation and fibrosis in affected organs (1). The disease may affect a number of organs and large blood vessels. The patient did not have any typical signs of IgG4-related disease, such as swelling of the lacrimal and salivary glands, pancreatitis or retroperitoneal fibrosis. Elevated serum IgG4 levels may also present as an incidental finding in other inflammatory conditions (2). Since there were no other signs of IgG4-related disease besides the finding in the subclavian artery, we moved away from this diagnosis.
Testing for rheumatoid factor IgM may be positive in cryoglobulin-associated vasculitis. Cryoglobulins are immunoglobulins that precipitate in vitro at temperatures below body temperature and redissolve at 37°C. In cryoglobulin-associated vasculitis, immune complexes form, which lead to vasculitis in small to medium-sized blood vessels. The patient did not have Raynaud's phenomenon or rash, which are common in this type of vasculitis.
Furthermore, the patient had no notable pain or morning stiffness in the shoulders or hips, which are common in polymyalgia rheumatica. Levels of angiotensin-converting enzyme (ACE) were normal, and there was nothing else to suggest sarcoidosis.
PET-CT scanning with 18F-fluorodeoxyglucose (18F-FDG) performed on admission showed increased uptake of 18F-fluorodeoxyglucose in the thoracic aorta, aortic arch branches and pericardium (Figure 1).
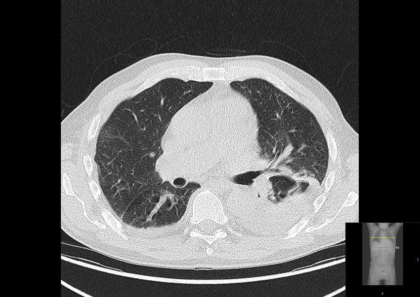
There was also increased uptake of 18F-fluorodeoxyglucose in bone marrow and lymph nodes, which were considered to be reactive changes. In addition, an infiltrate in the lower lobe of the left lung and pleural effusion were also found (Figure 2).
The patient's condition was thought to be extracranial giant cell arteritis. The diagnosis was made based on the following symptoms and findings: reduced general condition, pain in the chest, head and jaw, wall thickening in the left subclavian artery, increased uptake of 18F-fluorodeoxyglucose in large blood vessels and elevated levels of acute phase reactants.
Immunosuppressive treatment was initiated with prednisolone 1 mg/kg. The patient's condition rapidly improved, and acute phase reactant levels fell satisfactorily before he was discharged home (CRP 22 mg/L).
Giant cell arteritis is a form of vasculitis affecting large blood vessels. It typically affects the temporal arteries, and histological examination reveals inflammation of the blood vessel walls. Biopsies of this patient's temporal arteries were normal. When the temporal arteries are not affected, the condition is referred to as extracranial giant cell arteritis (3).
Giant cell arteritis affects people over the age of 50 years, and the annual incidence in Southern Norway is estimated to be 16.8 per 100,000 in the age group ≥ 50 years (4). Pulmonary opacities are not common in this disease. Other causes, such as malignancy and infection, could not explain the findings in the large blood vessels and were considered unlikely. Good response to treatment with prednisolone supported the diagnosis of giant cell arteritis.
Five months after the admission, the patient was on treatment with prednisolone 17.5 mg/day plus methotrexate 15 mg/week as steroid-sparing treatment. Blood tests found ESR 53 mm/h (reference range 1–12), CRP 4 mg/L (< 4), Hb 13.5 g/dL (13.4–17.0), MCV 108 fL (82–98), leukocytes 6.2 × 109/L (3.5–10 × 109), neutrophils 5.1 × 109/L (1.5–7.3 × 109), lymphocytes 0.7 × 109/L (1.1–3.3 × 109) and platelets 221 × 109/L (145–390 × 109).
The patient's response to treatment with prednisolone and methotrexate was not satisfactory. Treatment was attempted with the interleukin-6 inhibitor tocilizumab (8 mg/kg intravenously every four weeks), then the interleukin-1 inhibitor anakinra (100 mg subcutaneously daily) and the TNF-α inhibitor infliximab (5 mg/kg intravenously), but all these treatments were discontinued due to adverse reactions or lack of effect.
The patient experienced a disease flare twenty months after the first admission with swelling and redness of the ear cartilage and bridge of the nose as in chondritis. Blood tests found ESR > 100 mm/h, CRP 79 mg/L, Hb 10.0 g/L, MCV 114 fL, leukocytes 4.4 × 109/L, lymphocytes 0.7 × 109/L and platelets 79 × 109/L. The patient fulfilled the McAdam's criteria for relapsing polychondritis, and therefore the diagnosis was changed. Treatment was started with the TNF-α inhibitor adalimumab (40 mg subcutaneously every other week), but the treatment was soon stopped due to a lack of effect and adverse reactions.
Relapsing polychondritis is a rare immune-mediated systemic disease that can affect all organs of the body containing hyaline cartilage and connective tissue, e.g. ears, nose, eyes, large airways, joints, heart, blood vessels and skin (5). Relapsing polychondritis can be challenging to treat. Most patients will require other immunosuppressive treatment besides glucocorticoids to stabilise the condition. The most commonly used treatments are methotrexate, azathioprine, cyclophosphamide or biological immunosuppressive drugs such as TNF-α inhibitors. Underlying haematological disease, such as myelodysplasia, has been reported to be associated with relapsing polychondritis (6). A study of 200 patients with relapsing polychondritis reported that 22 (11 %) had myelodysplasia, the majority of whom were men (18 out of 22) (6).
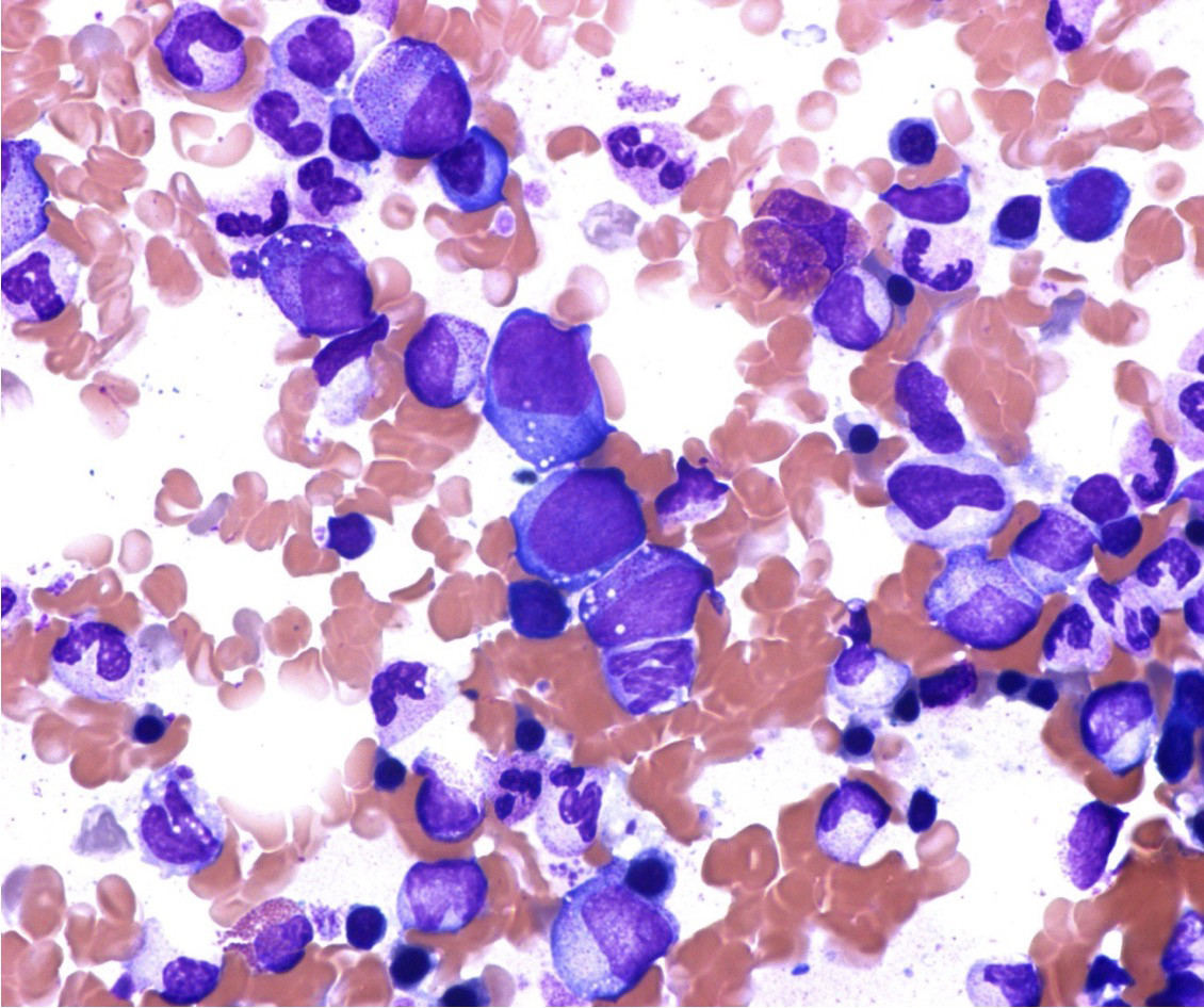
The patient's disease progressed despite ongoing treatment. He developed macrocytic anaemia with Hb 7–8 g/dL and MCV > 105 fL, and thrombocytopenia with platelets 20–30 × 109/L. A bone marrow smear revealed cytoplasmic vacuoles in erythroid and myeloid precursor cells (Figure 3), but repeated bone marrow smears and bone marrow biopsies were considered to be inconclusive as regards myelodysplasia or other bone marrow disease. Investigation with exome sequencing of DNA from blood and mucosa was carried out. The exome data were filtered using a targeted gene panel for hereditary anaemia or bone marrow failure and immunodeficiency diseases (7). The gene panel analysis included inspection of more than 300 genes, and no gene mutations were detected. Results of tests for amyloidosis and Whipple's disease were also negative.
In the following years, various immunosuppressive drugs were tried, such as azathioprine (200 mg/day), cyclosporine (400 mg/day), mycophenolate mofetil (1 g/day) and immunoglobulin (2 g/kg intravenously every four weeks), but all the treatments were stopped due to lack of effect. Throughout the course of the disease, the patient was treated with prednisolone, but doses of over 20 mg daily were usually required. It was attempted to treat the anaemia and thrombocytopenia with erythropoietin, granulocyte-colony stimulating factor (G-CSF) and eltrombopag, but with no effect. In the last few years, he required blood transfusions every 7–10 days.
Eight years after the first admission, the man was admitted to his local hospital with inflammation of the middle ear. He was treated with paracentesis, penicillin, gentamicin and transfusions of red blood cells and platelets, but died during the admission.
The patient was not forgotten. The doctors who treated him suspected that he might have had a newly identified syndrome. In consultation with his spouse, eight months after he died, rapid in silico reanalysis of the exome data was performed. The reanalysis revealed that he had a variant in gene UBA1 (NM_003334.3:c.122T>C) with variant allele frequency (VAF) of 79.5 % in DNA from blood. The variant could not be detected in DNA from mucosa.
The correct diagnosis could finally be made. The missense variant c.122T>C in the UBA1 gene with amino acid change p.Met41Thr has previously been reported as a cause of VEXAS syndrome (8).
Discussion
VEXAS syndrome is a newly identified syndrome (8). VEXAS is an acronym that stands for vacuoles, E1 enzyme, X-linked, autoinflammatory and somatic. Common symptoms and findings of VEXAS syndrome are fever, reduced general condition, ear and nose chondritis, rash, pulmonary infiltrates, venous thromboembolism, macrocytic anaemia, thrombocytopenia, elevated levels of acute phase reactants and vacuoles in bone marrow cells.
The syndrome is caused by an acquired mutation with a change in a specific amino acid, p.Met41, in the gene that codes for ubiquitin-activating enzyme 1 (UBA1). The gene mutation causes a deficiency in the enzyme that initiates ubiquitination, an intracellular process involving post-translational modification of proteins. This leads to activation of the immune system and systemic inflammation.
The UBA1 gene is located on the X chromosome, and therefore the syndrome is most common in men (8). The gene defect is always acquired (and somatic). Beck et al. identified 25 men with a somatic gene mutation in UBA1 (8). Of these, 15 had been diagnosed with relapsing polychondritis, 8 with acute febrile neutrophilic dermatosis (Sweet's syndrome), 3 with polyarteritis nodosa and 1 with giant cell arteritis. A further 6 patients had myelodysplastic syndrome and 5 had multiple myeloma or monoclonal gammopathy of undetermined significance.
Haematological manifestations are common in VEXAS syndrome (8). Cytoplasmic vacuoles in erythroid and myeloid precursor cells can be seen on bone marrow smear (Figure 3). Although these vacuoles are not specific to VEXAS syndrome, the syndrome should be suspected if cytoplasmic vacuoles are found in bone marrow cells. The disorder has many similarities with autoimmune manifestations seen in patients with myelodysplasia (9).
Our patient developed macrocytic anaemia and thrombocytopenia. Ferrada et al. discovered that a finding of ear or nose chondritis accompanied by MCV > 100 fL and platelet levels < 200 × 109/L in men has a 100 % sensitivity and 96 % specificity for VEXAS syndrome (10). The Rheumatology Section at Oslo University Hospital has a registry of patients with systemic connective tissue disease, the Norwegian Systemic Connective Tissue Disease and Vasculitis Registry (NOSVAR). The patient had already been included in the registry during the first admission. Follow-up testing of blood samples taken in connection with registry enrolment found that the gene defect was present at the onset of the disease. There are currently 20 patients with relapsing polychondritis enrolled in the NOSVAR registry (7 men and 13 women). We have reviewed these and not found any further cases of relapsing polychondritis with MCV > 100 fL and platelets < 200 × 109/L, i.e. test results suggestive of VEXAS syndrome.
The pathogenesis of VEXAS syndrome is not fully understood. An acquired gene mutation leading to activation of the immune system and systemic inflammation is an interesting finding. Perhaps somatic variants in other genes will be found for many autoimmune diseases.
VEXAS syndrome may partly explain why haematological disease is reported to occur at higher rates in patients with relapsing polychondritis, especially men.
VEXAS syndrome is a newly identified disorder, and there are no guidelines for treatment. The reported cases have been treated with glucocorticoids and other immunosuppressive drugs, including biologic drugs. The syndrome is generally treatment-resistant and often has a fatal outcome. Of the first 25 patients described with the syndrome, 10 have died (8). Bourbon et al. reported on 11 patients with VEXAS syndrome (11). They found a 5-year survival rate of 63 %. Only 1 patient out of the 11 had not received long-term immunosuppressive treatment (87 months). This may indicate that the syndrome can have an indolent course in a few patients. The remaining patients had received treatment with glucocorticoids and other drugs, with azacitidine, ruxolitinib and tofacitinib seeming to be most promising (11). More experience of treatment will be gained with time. Immunosuppressive treatment does not appear to be adequately effective so far. Treatment with allogeneic stem-cell transplantation has recently shown promising results (12). Although this treatment can be curative, it is not without risk, and it is still uncertain which patients with VEXAS syndrome should be offered it.
Conclusion
VEXAS syndrome should be suspected in middle-aged men with unexplained inflammation accompanied by chondritis, rash and pulmonary infiltrates, especially with the additional findings of levels of MCV > 100 fL and platelets < 200 × 109/L. The diagnosis is confirmed by demonstration of a mutation in the UBA1 gene (13). The syndrome is a newly identified disorder, and our patient died before the syndrome was known about. To the best of our knowledge, this is the first case of VEXAS syndrome reported in Norway. We have subsequently seen 6 new cases of the disorder in the Rheumatology Section of Oslo University Hospital. The syndrome is rare, but presumably underdiagnosed due to lack of knowledge.
For the doctors who had treated the patient for many years, and not least for his relatives, it was a relief to finally be able to make the correct diagnosis.
The authors thank Trine Prescott and Lars Retterstøl for reviewing the article and for their valued comments.
The patient's relatives have given consent for the article to be published.
The article has been peer-reviewed.
- 1.
Vikse J, Håland S, Norheim KB. IgG4-relatert sykdom. Tidsskr Nor Legeforen 2017; 137: 1201–5. [PubMed][CrossRef]
- 2.
Carruthers MN, Khosroshahi A, Augustin T et al. The diagnostic utility of serum IgG4 concentrations in IgG4-related disease. Ann Rheum Dis 2015; 74: 14–8. [PubMed][CrossRef]
- 3.
Lensen KDF, Voskuyl AE, Comans EFI et al. Extracranial giant cell arteritis: A narrative review. Neth J Med 2016; 74: 182–92. [PubMed]
- 4.
Andersen JB, Myklebust G, Haugeberg G et al. Incidence trends and mortality of giant cell arteritis in southern Norway. Arthritis Care Res 2021; 73: 409–14. [PubMed][CrossRef]
- 5.
Lilleby V, Palm Ø, Andersson H et al. En mann i 60-årene med heshet, pustevansker og brystsmerter. Tidsskr Nor Legeforen 2012; 132: 308–11. [PubMed][CrossRef]
- 6.
Francès C, Rassi RE, Laporte JL et al. Dermatologic manifestations of relapsing polychondritis. Medicine (Baltimore) 2001; 80: 173–9. [PubMed][CrossRef]
- 7.
Sørensen IW, Prescott T, F Rustad C et al. Genpaneltesting. Tidsskr Nor Legeforen 2020; 140: 224–7. [PubMed]
- 8.
Beck DB, Ferrada MA, Sikora KA et al. Somatic mutations in UBA1 and severe adult-onset autoinflammatory disease. N Engl J Med 2020; 383: 2628–38. [PubMed][CrossRef]
- 9.
Grignano E, Jachiet V, Fenaux P et al. Autoimmune manifestations associated with myelodysplastic syndromes. Ann Hematol 2018; 97: 2015–23. [PubMed][CrossRef]
- 10.
Ferrada MA, Sikora KA, Luo Y et al. Somatic mutations in UBA1 define a distinct subset of relapsing polychondritis patients with VEXAS syndrome. Arthritis Rheumatol 2021; 73: 1886–95. [PubMed][CrossRef]
- 11.
Bourbon E, Heiblig M, Gerfaud Valentin M et al. Therapeutic options in VEXAS syndrome: insights from a retrospective series. Blood 2021; 137: 3682–4. [PubMed][CrossRef]
- 12.
Diarra A, Duployez N, Fournier E et al. Successful allogeneic hematopoietic stem cell transplantation in patients with VEXAS syndrome: a 2-center experience. Blood Adv 2022; 6: 998–1003. [PubMed][CrossRef]
- 13.
Norsk portal for medisinsk-genetiske analyser. https://genetikkportalen.no Accessed 18.10.2021.