A woman in her seventies underwent testing owing to pulsatile tinnitus. Two hours later, she suddenly became blind.
The woman had a two-year history of pulsatile tinnitus in her left ear. The sound, which was always present, was extremely annoying and made it difficult for her to sleep, with the result that she had to take sleeping tablets and use background music to drown out the sound at night.
A brain MRI at a regional hospital had shown non-specific T2 white matter hyperintensities, but no other pathology. The regional hospital had also performed digital subtraction angiography (injection into the left common carotid artery and selective injection into the left occipital artery). This had revealed an intracranial dural arteriovenous fistula at the left sigmoid sinus supplied by the left occipital artery.
An intracranial dural arteriovenous fistula is an abnormal direct opening between an artery and a vein in the dura mater. An artery that should supply extradural regions or the dura itself, instead empties directly into a cerebral vein or venous sinus. Intracranial dural arteriovenous fistulae may be idiopathic or may be associated with previous sinus thrombosis, craniotomy or head trauma (1). The patient may be able to hear the blood flowing through the fistula, giving rise to pulsatile tinnitus. The patient may also experience symptoms as a result of increased intracranial venous pressure (such as headaches, epileptic seizures or focal neurological deficits dependent on the location of the fistula), or symptoms secondary to drainage via the ophthalmic veins (exophthalmos, chemosis, visual disturbances). In rare cases, fistulae can cause cerebral haemorrhage. However, they can also be asymptomatic (2).
Dural arteriovenous fistulas are best examined using digital subtraction angiography. This is an invasive procedure in which contrast is selectively injected, via a catheter in the groin or arm, into the internal carotid artery, the external carotid artery and the vertebral artery, including branches. The passage of contrast through the vascular tree is then imaged. Temporal resolution is superior to that of CT and MRI angiography, resulting in a high-quality dynamic representation of blood flow. This is especially useful when mapping blood flow through arteriovenous shunts. Digital subtraction angiography also has better spatial resolution than either CT or MRI.
The patient was admitted to the neurosurgical department for testing with a view to treating the fistula. She was on daily 8 mg candesartan per os for hypertension and had diet-controlled type 2 diabetes mellitus. Her blood pressure was 166/75 mm Hg on admission, and clinical and neurological status were normal. Preliminary blood tests were also normal, except for slightly elevated sodium at 146 mmol/L (reference range 137–144 mmol/L), C-reactive protein at 4.6 mg/L (reference range <4 mg/L) and glucose 8.0 mmol/L (reference range 4.2–6.3 mmol/L).
Digital subtraction angiography was performed in the neuroradiology department, with superselective bilateral catheterisation of the internal carotid artery, external carotid artery with branches, and vertebral artery. A standard volume (120 ml) of the non-ionic contrast agent iomeprol 300 mg/ml was injected. The catheterisation proceeded without complications and at normal speed. Imaging revealed the fistula to be supplied by the right and left occipital arteries, left middle meningeal artery (branches of the external carotid artery) as well as muscular branches from the left vertebral artery. The fistula was located in the wall of the left sigmoid sinus with antegrade blood flow in the venous sinus into the left internal jugular vein.
Following the digital subtraction angiography, the patient was returned to the neurosurgical ward. Two hours later, however, her clinical status changed dramatically. She experienced acute onset of bilateral blindness, along with headache and confusion with hallucinations.
Eye movements were not tested, but a neurological examination was performed which included other tests of visual function. The patient's pupils were equal and reactive to light, but there was complete bilateral loss of vision. The patient herself stated that she could see normally despite objective evidence that she could not. Other than the confusion and vision loss, neurological status was normal.
We considered the possibility that the symptoms were the result of a vascular complication. Acute blindness can occur as a result of an embolus in the retinal artery (a branch of the ophthalmic artery that is supplied by both the internal and the external carotid arteries). However, it is unlikely that a patient would experience acute blindness due to bilateral retinal emboli, without also showing additional neurological deficits as a result of cerebral emboli. The symptoms could also originate from visual (occipital) cortex, which is supplied by the posterior cerebral artery (supplied in turn by the basilar artery or by the internal carotid artery via the posterior communicating artery).
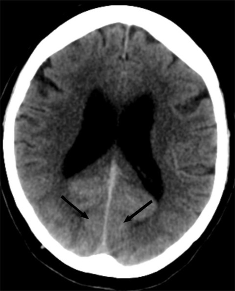
Thirty minutes after the acute onset of blindness, the patient underwent a brain CT and CT angiography of the cerebral arteries. The CT scan showed widespread diffuse contrast enhancement in bilateral (occipital) visual cortex, but no haemorrhage or infarction (Figure 1). CT angiography showed no vascular occlusion or vascular spasms. As expected with an intracranial dural arteriovenous fistula, dural veins showed increased visibility and filling with high-contrast arterialised blood.
Brain MRI (T1- and T2-weighted sequences, FLAIR sequences and diffusion weighted imaging) performed immediately after the CT scan again showed non-specific T2 hyperintensities, but no new lesions (Figure 2). There were no signs of restricted diffusion, which would be expected following a recent cerebral infarction (3).
The patient's CT scans showed contrast retention in bilateral visual cortex. As the CT had been performed without contrast, the visible contrast had to be from the conventional cerebral angiography performed two hours earlier. CT angiography showed open vessels, and there were no new lesions on the MRI. The clinical symptoms and imaging findings were thus inconsistent with cerebral ischaemia due to thromboembolism or vascular spasms.
The patient's comorbidities – hypertension and type 2 diabetes mellitus – were closely monitored to exclude them as contributing factors.
The patient's blood pressure was 166/75 mm Hg on admission, but upon symptom onset two hours after angiography, her systolic blood pressure was 170–190 mm Hg. Intravenous labetolol 5 mg was administered three times to good effect, and 24 hours after the acute onset of blindness, her blood pressure was 140–150/60–80 mm Hg. Her blood glucose levels varied between 6.1 mmol/L and 8.5 mmol/L during her time in hospital.
Epileptic activity in the visual cortex was considered a possible explanation for the loss of vision, although there was no other clinical evidence to support this.
A standard EEG was therefore performed. This showed pathological, intermittent slow delta activity, bilateral and alternating between hemispheres, and most pronounced frontally. There was also probable epileptiform activity and abundant slow-wave activity in the left occipitoparietal cortex.
The EEG findings were interpreted as non-specific, and as reflecting irritative lesions in the occipital cortex. The findings were considered inconsistent with an epileptic origin for the patient's symptoms.
Twenty-four hours after the sudden loss of vision, another neurological examination revealed unchanged complete bilateral vision loss. Eye movements were now tested and were found to be intact. Pupillary reflexes were present. The patient was less confused than the day before, and now acknowledged that she could not see.
After 48 hours, her confusion had lessened further and she reported that her sight had begun to return. A head MRI showed two new punctate frontoparietal lesions, with restricted diffusion as would be expected with new small embolic infarcts. The MRI was otherwise normal.
Conventional angiography frequently results in the introduction of small emboli into the circulation, which may give rise to small cerebral infarcts. Transient mild neurological deficits associated with emboli have been reported in 0.9–4 % of individuals after cerebral angiography (4). Silent emboli, which do not give rise to neurological deficits but which can be seen as small new-onset lesions associated with restricted diffusion on MRI, have been reported in 15–26 % of individuals (5). However, the location of these lesions in our patient meant that they could not account for her symptoms.
After four days, the patient was no longer confused, but was experiencing flashes and trembling vision in both eyes. After six days, she was alert and oriented and had regained normal vision. She was discharged home the same day pending elective treatment of her intracranial dural arteriovenous fistula.
An indication for treatment of an intracranial dural arteriovenous fistula is determined on the basis of the patient's clinical symptoms and imaging results. The choice of treatment type, endovascular or surgical (or both in combination), is made jointly by a neuroradiologist and a neurosurgeon. If the fistula can be closed via endovascular access, this will usually be the first-line treatment.
In our patient, the fistula was not accessible to endovascular management via the feeding arteries. On the venous side, the fistula drained directly into the venous sinus, rather than into a separate venous pouch that could have been closed via endovascular access. The venous sinus itself cannot be closed because it is also a drainage pathway for the brain parenchyma. Surgery was therefore scheduled.
The patient subsequently underwent surgery in which the fistula and parts of the left sigmoid sinus were extirpated. At an outpatient appointment three months after surgery, she had normal neurological status and her troublesome pulsatile tinnitus had completely resolved.
Discussion
The clinical and radiological findings in our patient are typical of a very rare phenomenon called transient cortical blindness, a potential complication of digital subtraction angiography that was first described in 1970 (6). The onset of blindness occurs between a few minutes and 12 hours after angiography, and symptoms fully resolve within 4–5 days.
Transient cortical blindness is a rare complication of cerebral digital subtraction angiography, reported to occur in 0.35 % of patients (7). It occurs even less frequently after coronary angiography.
On account of this rarity, little has been published on transient cortical blindness, and most of the publications that do exist are case reports. In 2019, however, a multicentre study was published in which 18 out of 5 126 patients experienced this complication; the total contrast dose, contrast injection into the posterior circulation, and low body weight were found to be risk factors (7).
There is no evidence that patients who have experienced transient cortical blindness after digital subtraction angiography are at increased risk of another episode should they undergo digital subtraction angiography again. The condition is self-limiting, and treatment is neither possible nor required.
Transient cortical blindness is a diagnosis of exclusion. A brain MRI and a CT scan of the head with CT angiography are indicated to rule out haemorrhagic or ischaemic causes of vision loss. MRI may be negative or may show hyperintensity on T2 and FLAIR sequences, as in vasogenic oedema. CT scans may be normal or may show contrast enhancement in occipital regions. CT angiography will show open vessels and no vascular spasms.
The mechanism underlying transient cortical blindness following digital subtraction angiography is unknown. It may have similarities to that underlying posterior reversible encephalopathy syndrome (PRES) (8). This abnormality arises in the supply area of the cerebral posterior artery and may be related to the fact that sympathetic innervation of the vertebrobasilar artery system is less well-developed than that of the carotid artery system, with the result that sympathetic-mediated vasoconstriction is less able to protect against hypertension (9). The blood-brain barrier is considered more vulnerable in the posterior circulation than the anterior (10). Contrast is suspected to trigger endothelial dysfunction and transient breakdown of the blood-brain barrier, with neurotoxic effects of the contrast then temporarily disrupting neuronal activity (11, 12).
Our patient's medical history provides a clear illustration of the clinical and radiological findings associated with transient cortical blindness, and will serve as a reminder for radiologists and clinicians in departments where cerebral digital subtraction angiography or coronary angiography are performed.
The patient has consented to the publication of this article. The article has been peer-reviewed.
- 1.
Gandhi D, Chen J, Pearl M et al. Intracranial dural arteriovenous fistulas: classification, imaging findings, and treatment. AJNR Am J Neuroradiol 2012; 33: 1007–13. [PubMed][CrossRef]
- 2.
Borden JA, Wu JK, Shucart WA. A proposed classification for spinal and cranial dural arteriovenous fistulous malformations and implications for treatment. J Neurosurg 1995; 82: 166–79. [PubMed][CrossRef]
- 3.
Stadnik TW, Demaerel P, Luypaert RR et al. Imaging tutorial: differential diagnosis of bright lesions on diffusion-weighted MR images. Radiographics 2003; 23: e7. [PubMed][CrossRef]
- 4.
Kaufmann TJ, Huston J, Mandrekar JN et al. Complications of diagnostic cerebral angiography: evaluation of 19,826 consecutive patients. Radiology 2007; 243: 812–9. [PubMed][CrossRef]
- 5.
Brockmann C, Seker F, Weiss C et al. Acetylsalicylic acid does not prevent digital subtraction angiography-related high signal intensity lesions in diffusion-weighted imaging in cerebrovascular patients. A retrospective analysis. Clin Neuroradiol 2012; 22: 15–20. [PubMed][CrossRef]
- 6.
Fischer-Williams M, Gottschalk PG, Browell JN. Transient cortical blindness. An unusual complication of coronary angiography. Neurology 1970; 20: 353–5. [PubMed][CrossRef]
- 7.
Li M, Liang H, Liu C et al. Risk factors of transient cortical blindness after cerebral angiography: a multicenter study. Front Neurol 2019; 10: 1005. [PubMed][CrossRef]
- 8.
Saigal G, Bhatia R, Bhatia S et al. MR findings of cortical blindness following cerebral angiography: is this entity related to posterior reversible leukoencephalopathy? AJNR Am J Neuroradiol 2004; 25: 252–6. [PubMed]
- 9.
Edvinsson L, Owman C, Sjöberg NO. Autonomic nerves, mast cells, and amine receptors in human brain vessels. A histochemical and pharmacological study. Brain Res 1976; 115: 377–93. [PubMed][CrossRef]
- 10.
Merchut MP, Richie B. Transient visuospatial disorder from angiographic contrast. Arch Neurol 2002; 59: 851–4. [PubMed][CrossRef]
- 11.
de Falco A, De Simone M, d'Onofrio F et al. Posterior reversible encephalopathy syndrome overlapping contrast-induced encephalopathy after coronary angiography. Neurol Sci 2019; 40: 1951–3. [PubMed][CrossRef]
- 12.
Sharp S, Stone J, Beach R. Contrast agent neurotoxicity presenting as subarachnoid hemorrhage. Neurology 1999; 52: 1503–5. [PubMed][CrossRef]