Fatal cerebral haemorrhage after COVID-19 vaccine

    ()

    sporsmal_grey_rgb
    Abstract
    BACKGROUND

    BACKGROUND

    New vaccines against COVID-19 are being rolled out globally. AstraZeneca's vaccine ChAdOx1 nCoV-19 was not known to cause vaccine-induced immune thrombotic thrombocytopenia (VITT) at the time of this case.

    CASE PRESENTATION

    CASE PRESENTATION

    The patient was a previously healthy woman in her thirties with headaches that developed one week after vaccination with ChAdOx1 nCoV-19. Three days later, her condition deteriorated rapidly, and she presented to the emergency department with slurred speech, uncoordinated movements and reduced consciousness. Symptoms progressed to left-sided hemiparesis and her level of consciousness deteriorated. Computed tomography (CT) of the head showed a large right-sided haemorrhage and incipient herniation. She was found to have severe thrombocytopenia 37 x 109/l, (ref 145 - 390 x 109/l). In spite of efforts to reduce intracranial pressure, the patient died the following day. Post mortem examination revealed antibodies to PF4, and fresh small thrombi were found in the transverse sinus, frontal lobe and pulmonary artery.

    INTERPRETATION

    INTERPRETATION

    Severe thrombocytopenia and antibodies to PF4 make a diagnosis of vaccine-induced immune thrombotic thrombocytopenia (VITT) likely.

    Article

    A young woman had a headache for a few days, before developing a fatal cerebral haemorrhage ten days after vaccination with the ChstraOx1 nCoV-19 vaccine from AstraZeneca.

    The patient was a female healthcare worker in her thirties, with no known heredity for cerebrovascular disease. Eleven months before the event in question, she had undergone an uncomplicated childbirth, but with 1500 ml of bleeding. At the end of her pregnancy, she had mild preeclampsia, which was treated with labetalol 100 mg × 2. Her blood pressure improved quickly after childbirth, and labetalol was discontinued. At the one-month check-up, her blood pressure was normal without treatment (110/70 mm Hg). For the three months preceding the incident, she was being treated with duroferon 100 mg × 2 for iron deficiency, and she used desloratadine 5 mg for allergies.

    As a healthcare worker with patient contact, the woman was offered a vaccine against COVID-19. She was vaccinated with the ChAdOx1 nCoV-19 vaccine from AstraZeneca. Seven days after vaccination, she developed a headache. The headache had a relatively abrupt onset and steady intensity. The patient attributed this to stress and used paracetamol as an analgesic, but this did not alleviate the pain completely.

    Three days later, i.e. ten days after vaccination, her condition suddenly worsened. The patient's partner had been out for a while, and when he returned home, the woman was lethargic and had slurred speech and uncoordinated walking and movements. They then went to the emergency department, where examination showed that the patient was temporally and spatially disoriented. She needed support to walk. It quickly became clear that she needed to be hospitalised, and a preliminary neurological examination was performed. The patient was able to extend her tongue, which deviated slightly to the left. The pupils were of equal size and reacted equally to light. Her grip was significantly reduced in both hands. She had no signs of neck stiffness or rash. Vital parameters showed blood pressure 122/70 mm Hg, heart rate 80 beats/min. and respiratory rate 18/min. Blood glucose was 6.8 mmol/L (reference range 4.0–6.0), haemoglobin 12.2 g/dL (11.7–15.3), while CRP was negative (<5 mg/L).

    A cerebrovascular event was suspected, and the patient was immediately admitted to the local hospital in the same building as the emergency department. She was placed directly in the intermediate care unit.

    Upon admission, reduced consciousness was confirmed, with a GCS (Glasgow Coma Scale) score of 10–11. She had expressive aphasia, but was able to cooperate in the examination and follow instructions. There was no neck stiffness. The pupils were of equal size and reactive to light bilaterally. She had central left-sided facial paresis with gaze deviation to the right, and complete left-sided hemiparalysis. She was able to spontaneously move her right extremities, follow instructions and lift her right lower extremity in a controlled manner on request. She was also able to move her right upper extremity and squeeze her right hand.

    The plantar reflexes were inverted bilaterally. The NIHSS stroke scale was calculated to be 22. Blood pressure now measured 132/80 mm Hg, and oxygen saturation was 97 % without oxygen. The respiration rate was 12/min. and the body temperature 36.5° C. An ECG showed sinus bradycardia with a frequency of 48/min., transient sinoatrial (SA) block and third-degree atrioventricular (AV) block. The findings were interpreted as secondary to the cerebral pathology.

    Intracerebral haemorrhage was strongly suspected, and the stroke alarm was triggered. A CT of the head was requisitioned and showed a large intracerebral haemorrhage in the right temporoparietal region in the supply region to the middle cerebral artery, incipient oedema with displacement of midline structures and severe compression of the right lateral ventricle. Both subarachnoid blood and some fresh blood were found in the brain parenchyma (Figure 1), but there was no visible blood in the ventricular system. CT angiography showed no evidence of an aneurysm.

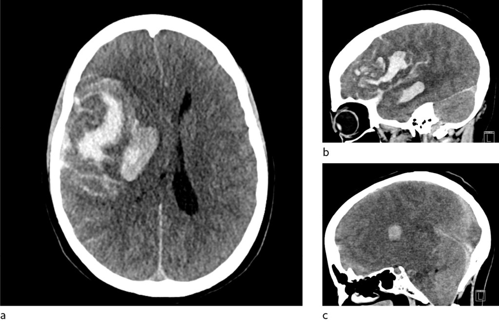
    Figure 1 CT of patient's head at a local hospital shows major parenchymal bleeding in the right hemisphere with breakthrough…
    Figure 1 CT of patient's head at a local hospital shows major parenchymal bleeding in the right hemisphere with breakthrough into the subarachnoid space, b) axially, c) coronally and d) sagittally. There is a significant mass effect with midline displacement and incipient transtentorial herniation. Angiography (a) did not reveal focus of bleeding. The image was taken during the arterial contrast phase and is not suitable for ruling out cerebral venous thrombosis.

    The duty officer at the laboratory called while the patient was undergoing the CT examination and reported very low platelet levels in the admission tests, 37 × 109/L (145–390). Due to findings of a major intracerebral haemorrhage and relatively pronounced thrombocytopenia, 1 g of tranexamic acid (Cyclocapron) was administered intravenously. The local hospital has whole blood, but does not have access to platelets for transfusion.

    Blood sample analyses upon admission showed several deviating test results (indicated in italics): b-Hb 14.5 g/dl (11.7–15.3), b-leukocytes 12.5 × 109/L (3.5–10.0), b-neutrophils granulocytes 10.7 × 109/L (2.0–7.5), b-lymphocytes 1.1 × 109/L (1.5–4.0), b-monocytes 0.7 × 109/L (0.2–0.8), b-platelets 37 × 109/L (145–390), b-MCV 94 fL (86–102), b-MCH 32 pg (27–33), p-INR 1.0 (0.9–1.2), p-activated partial thromboplastin time 27 s (25–36), p-fibrinogen 2.2 g/L (1.7–4.0), p-FDP-D-dimer > 7.0 mg/L (0–0.5), s-CRP 8 mg/L (0–5) and s-haptoglobin 2.43 g/L (0.40–2.10). Electrolytes and other admission samples showed normal levels.

    Transfer to a university hospital was immediately decided. The duty haematologist at the university hospital was consulted by telephone and no indication was found for administering other blood products prior to transport. The patient was informed of the CT findings and the planned transfer to the university hospital while she was still in the CT machine. She was awake and seemed to understand the information that was imparted to her.

    On the way from the CT room to the intermediate care unit, the patient became noticeably worse, her GCS score dropped to 5–6 and she had a seizure, which was stopped with midazolam intravenously. Whilst awaiting helicopter transport, she received general anaesthesia with fentanyl and propofol as well as a muscle relaxant (rocuronium). She was intubated and connected to a ventilator. Attempts were made to reduce the intracranial pressure through heavy sedation and hyperventilation. Arterial blood gas after intubation showed pCO2 3.92 kPa (4.5–6.1 kPa). The ventilator settings were adjusted before transport in an effort to reduce pCO2 to 4–4.5 kPa. Attempts were made to steady the cerebral perfusion with high arterial blood pressure (MAP), which was around 90–100 mm Hg before transport. The patient received a noradrenaline infusion and invasive blood pressure monitoring was used. Despite attempts to lower the intracranial pressure, both pupils were dilated and tonic on departure from the local hospital.

    Weather conditions were poor and the helicopter had to land before reaching the hospital. The patient was transported from there to the university hospital by ambulance.

    The patient arrived at the university hospital three hours after notification by the local hospital. Upon admission, the patient had bilateral mydriasis with no reaction to light. Treatment with mannitol was initiated, and a CT of the head taken immediately after arrival showed progression of a major intracranial haemorrhage with incipient herniation (Figure 2). Cerebral angiography (TCD) was consistent with cessation of blood circulation in the brain, and further interventions were considered futile.

    Figure 2 CT of the patient's head at the university hospital showed increased haematoma, a) axially, b) sagittally and c)…
    Figure 2 CT of the patient's head at the university hospital showed increased haematoma, a) axially, b) sagittally and c) sagittally near the midline. There is now both transtentorial herniation and herniation of cerebellar tonsils through the foramen magnum. Low density in the cerebral cortex and reduced differentiation between grey and white matter are signs of global hypoxia.

    Clinical tests showed no signs of cerebral activity, and plans were therefore made for organ donation. Malignancy had to be ruled out prior to organ donation, and the patient was referred for haematological examination due to thrombocytopenia. The patient's medical record showed that her platelet levels had been normal in earlier measurements; the last was from approximately one year before the latest one, 325 × 109/L (145–390). Blood smears and bone marrow aspirates were performed, which showed no signs of malignancy. Her thrombocytopenia was considered most likely to be due to peripheral consumption, either through disseminated intravascular coagulation (DIC) or immunologically mediated thrombocytopenia. It was noted that the blood tests did not indicate a condition with disseminated intravascular coagulation.

    The patient remained sedated until termination of the ventilator treatment. The incident was reported to the Norwegian Medicines Agency as a possible adverse effect on the basis of thrombocytopenia and cerebral haemorrhage ten days after vaccination.

    An autopsy, requested by the Norwegian Institute of Public Health, confirmed the cause of death as a major intracranial haemorrhage. No signs of an aneurysm were found in the area where the bleeding started. Neither were there any signs of visible thrombi in other large blood vessels, including the femoral arteries, and organ findings were also normal. In light of the occurrence of several similar cases (1), new investigations were subsequently carried out in which fresh small thrombi were found in the transverse sinus, frontal lobe and pulmonary artery. Antibodies to PF4 were also detected.

    The incident described in this case study is still being investigated by the Norwegian Medicines Agency, and no final conclusion is therefore available yet.

    Discussion

    Discussion

    The case study describes a young woman who had a fatal cerebral event following vaccination with AstraZeneca's ChAdOx1 nCoV-19 vaccine against COVID-19. At that point, no similar incidents or incidents of the same severity had been reported in Norway (2), and it was not a known adverse effect from the vaccine. However, rare cases of thrombocytopenia from COVID-19 vaccines using mRNA technology (3) were reported, and immunologically mediated thrombocytopenia was reported as a complication of COVID-19 (4).

    A few days after this incident, Oslo University Hospital, Rikshospitalet reported multiple cases of severe blood clots and bleeding in patients who had received an identical vaccine. These patients also had low platelet counts, and in these cases a link was found between the events and the vaccine (1). Since then, the condition has been referred to as vaccine-induced immune thrombotic thrombocytopenia (VITT), which is characterised by low platelet counts, thrombus formation and antibodies to PF4 (1, 5). In light of this knowledge, new investigations were carried out, and our patient was also found to have a tendency towards thrombus formation with small thrombi in the transverse sinus, frontal lobe and pulmonary artery. Antibodies to PF4 were also detected. Overall, there is therefore a strong indication that this was a case of VITT. Retrospectively, it has to be asked whether the bleeding seen on the CT images represented a venous haemorrhagic infarction similar to that seen in several patients at Rikshospitalet (1), and whether the bleeding component may have been predominant as a result of VITT. A venous infarction might explain the patient's headache.

    Experience with the condition is still limited, and this case study describes how a probable case of VITT can manifest itself clinically, radiologically and in the laboratory. An early symptom of this condition may be a headache, as in our patient, or visual disturbances, epileptic seizures, abdominal pain, chest pain, dyspnoea, or swelling or pain in the leg (6). Treatment is available (7), and the prognosis is significantly improved if the condition is identified before serious and irreversible complications occur.

    Several countries are now reporting similar incidents after vaccination. The condition is rare, which is why it is important to shed light on these events. The vaccine is new and is an important part of the vaccine programme in many parts of the world. Following these incidents, the Norwegian Institute of Public Health issued a warning about potentially serious adverse effects of the vaccine (8). The AstraZeneca vaccine is now on hold in Norway. The government has appointed an expert panel to carry out a comprehensive risk assessment before any potential re-introduction of the vaccine. The Norwegian Institute of Public Health has reported that as the number of deaths from COVID-19 is now low in Norway, it seems that vaccination with the AstraZeneca vaccine entails a higher risk of death, particularly for younger people, than the risk of dying of the disease (9). Although thought-provoking, this was not known at the time our patient was offered the vaccine.

    The patient's next of kin has consented to the publication of this article.

    The article has been peer reviewed.

    Comments  ( 0 )
    PDF
    Print

    Recent Articles