A man in his 80s with arthritis and persistent fever

    ()

    sporsmal_grey_rgb
    Article

    A man in his 80s fell ill with fever, night sweats and weight loss while staying at his summer house in Spain. Two weeks after returning home, he was hospitalised with what was perceived as pneumonia. He had an enlarged spleen and pancytopenia. Despite treatment with broad-spectrum antibiotics and fungicides, his condition deteriorated, and he was almost moribund when the correct diagnosis was made.

    During a stay in Spain, a Norwegian man in his ’80s fell ill with a fever of close to 39oC, chills, night sweats and poor general condition. The man had received the diagnosis anti-CCP-positive rheumatoid arthritis 13 months prior to the event in question. He was initially treated with prednisolone tablets, after three months also with methotrexate tablets, and most recently with 20 mg methotrexate weekly as monotherapy. Screening prior to the start of anti-rheumatic therapy had not revealed tuberculosis or other chronic infection.

    Ten days after his return home he was still in poor general condition, and his breathing had also become laboured. His general practitioner (GP) found normal lung function and CRP 58 mg/l (reference range <5), and gave him penicillin tablets for suspected pneumonia. His GP ordered chest X-rays, which were taken the same day and were normal. The treatment had no effect, and the GP hospitalised the patient in the Medical Department four days later.

    On admission the man was in reduced general condition but was conscious and lucid. His tympanic temperature was 38.9oC. He had chills during admission. His blood pressure was 157/84 mm Hg, regular pulse 98 beats/minute, respiratory rate 18 breaths/minute and slightly prolonged expiration. He reported weight loss from 98 to 94 kg over the past two weeks. A clinical examination revealed no definite infection focus. Samples were taken from blood, urine and nasopharynx for microbiological examination. Blood tests showed haemoglobin 10.0 g/dl (13.4–17.0 g/dl), SR 66 mm/h (1–20 mm/h), CRP 99 mg/l (< 5), leukocytes 1.6 ∙ 109/l (3.5–11 ∙ 109/l), platelets 110 ∙ 109/l (145–348 ∙ 109/l), D-dimer > 4 mg/l (< 0.50 mg/l), ferritin 518 µg/l (34–300 µg/l) and normal electrolyte, liver enzyme, bilirubin and creatinine values. The patient had a sequential organ failure assessment (SOFA) score of one point and did not meet the criteria for sepsis, defined by a SOFA score of two points or more. Chest X-ray was normal.

    The doctor on call perceived his condition as pneumonia, but considered differential diagnoses of methotrexate-triggered pulmonary fibrosis and pulmonary embolism. He also noted bone marrow depression. Because of the failure of oral penicillin therapy and his recent stay in a country with a high incidence of resistant bacteria, the patient was given broad-spectrum antibiotic therapy of cefotaxime 2 g x 3 intravenously.

    The next day the patient's condition was unchanged, and a ward doctor added levofloxacin 750 mg x 1 intravenously to cover Legionella. Blood cultures and antigen testing for pneumococci and Legionella in urine did not reveal the cause. PCR on swabs from the nasopharynx and throat did not detect Legionella, Mycoplasma, Chlamydophila, whooping cough, influenza, parainfluenza, respiratory syncytial virus (RS virus) or human metapneumovirus.

    After three days the man was still highly febrile. His general condition deteriorated and blood tests showed that CRP had risen to 137 mg/l and ferritin to 960 µg/l, while haemoglobin had fallen further to 8.9 g/dl, leukocytes were 0.9 ∙109/l, neutrophil granulocytes 0.3 ∙ 109/l and blood platelets 75 ∙ 109/l. Anaemia was normocytic with MCV, MCH and MCHC values within the reference ranges. Values for reticulocytes and haptoglobin were normal, and for lactate dehydrogenase slightly elevated at 318 U/l (115–255 U/l). No bacteria grew from blood and urine cultures.

    The patient had pancytopaenia. Normal haematological values at a routine check-up two months earlier during ongoing methotrexate therapy made it improbable that methotrexate was the cause of the pancytopaenia. Cancer was suspected, particularly blood cancer. Chest CT on day 3 revealed no enlarged lymph nodes or tumour, but slight fibrosis in the lungs and an enlarged spleen with an axial diameter of 16.8 cm, which could be consistent with lymphoma or leukaemia. The elevated ferritin value was attributed to ferritin’s property as an acute-phase reactant. The ward doctor considered pneumonia due to resistant bacteria more likely and changed the antibiotic treatment to meropenem 1 g x 3 intravenously.

    The patient remained highly febrile, most often with two fever peaks daily of 40.5oC, and he hallucinated when his fever was at its highest. He was mentally lucid between fever peaks. On day 7 his CRP had risen to 173 mg/l and leukocytes had fallen to 0.5 ∙ 109/l, haemoglobin to 7.6 g/dl and platelets to 50 ∙ 109/l. A new lung X-ray was normal. On day 8 the patient received a blood transfusion leading to haemoglobin increasing from 7.6 to 8.8 g/dl, but it fell to 7.8 g/dl a week later. He received filgrastim 48 million units on days 8, 12, 13 and 14 with transient effect on the granulocyte level (0.3, 2.8, 0.3 ∙ 109/l).

    A blood smear was considered, but not carried out because infection still seemed probable. Leukopaenia made the patient susceptible to opportunistic infection. He was given 800 mg fluconazole intravenously on day 8, then 400 mg x 1 to cover for possible systemic fungal infection. On day 9 pneumonia with Pneumocystis jirovecii was considered, but found not probable enough to justify treatment with cotrimoxazole, which might have exacerbated the pancytopaenia.

    The man did not show any improvement in the general clinical condition after the start of fluconazole treatment, but a CRP fall from 212 to 99 mg/l gave the impression that a systemic fungal infection was the most likely diagnosis.

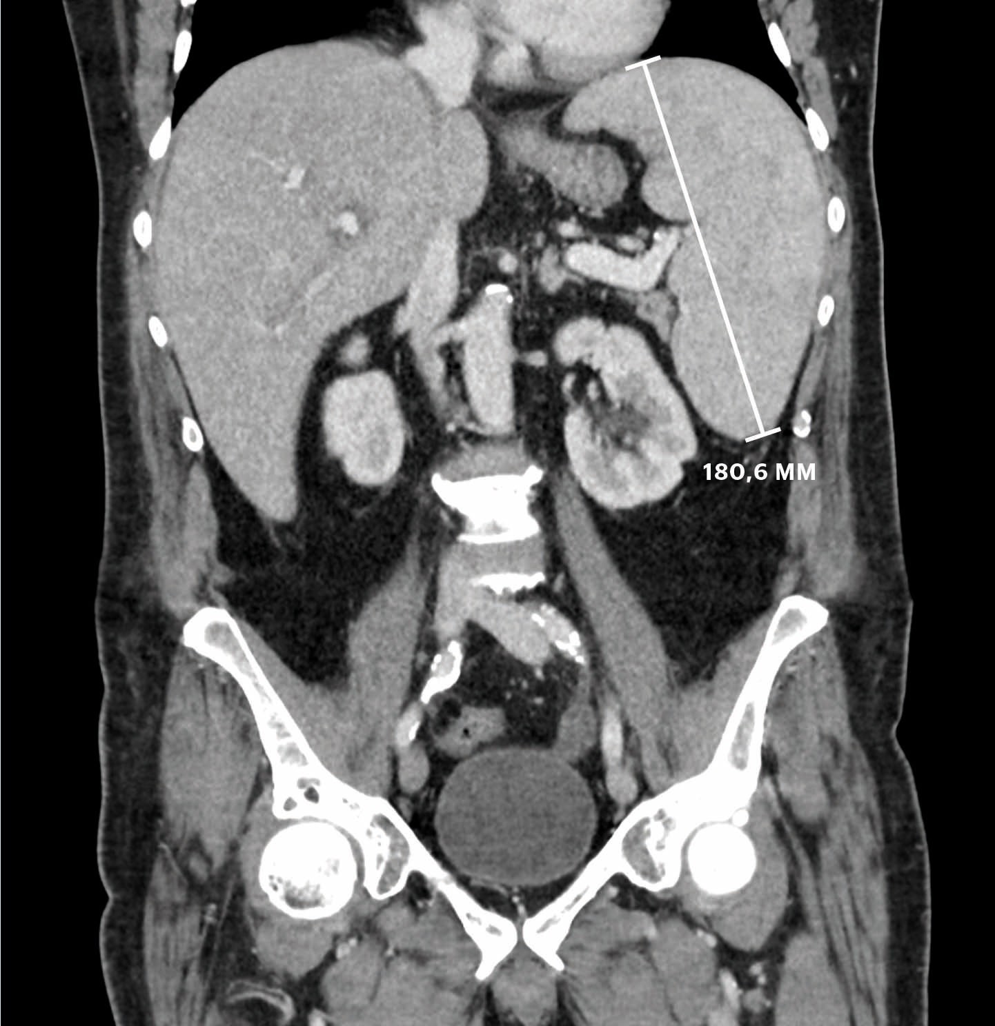
    The patient was referred for MRI of the liver to look for microabscesses, which can be seen with systemic candidiasis. MRI of the liver on day 12 revealed no abscesses, but a possible splenic infarction. To clarify this, CT thorax/abdomen/pelvis was taken with contrast on day 13. The images confirmed splenic infarction and an increase in the size of the spleen to 18 cm (Fig. 1). His liver was enlarged, though this was not commented upon in the primary description. Splenic infarction aroused suspicion of endocarditis. A clinical examination on day 13 revealed no murmur or endocarditis stigmata. A transthoracic echocardiogram on day 15 showed no evidence of endocarditis. On day 21 antibiotic therapy was stopped to increase the chances of positive blood cultures. To exclude the possibility of infection, a total of 28 sets of 4 bottles were taken during his hospital stay. There was no growth of either fungi or bacteria in these cultures.

    Figure 1 CT taken on day 13 showed an enlarged spleen (18 cm) and liver.
    Figure 1 CT taken on day 13 showed an enlarged spleen (18 cm) and liver.

    The patient was increasingly emaciated, with a total weight loss of 13 kg, and parenteral nutrition was therefore started on day 18. An HIV test on day 19 was negative. On day 21 the man was still highly febrile and his general condition was steadily deteriorating. Blood transfusions had only a transient effect. He had elevated immunoglobulin IgG of 35 g/l (6–15 g/l), normal IgM 1.2 g/l and IgA 2.1 g/l. Protein electrophoresis revealed no monoclonal immunoglobulin.

    His stay in hospital was in the middle of the summer holidays, and there was discontinuity in coverage by doctors because of people taking holidays. After three weeks his history of illness was reviewed with fresh eyes. The main features of his medical history were fever, deteriorating general condition, weight loss, enlarged spleen and liver, pancytopaenia, hypoalbuminaemia and hypergammaglobulinaemia. These findings are the cardinal signs of visceral leishmaniasis (also called kala-azar), a life-threatening parasitic disease, which had not been seen in the hospital in the past 20 years.

    On day 20 we sent blood to the Swedish national health authorities in Stockholm to be tested for leishmaniasis antibodies, with an expected response time of two weeks. A bone marrow sample taken on day 21 showed slight fibrosis, but no signs of cancer or parasites. On day 25 a spleen biopsy was taken, which was sent with EDTA blood to Ullevål Hospital for a PCR test for Leishmania. Microscopy of the spleen biopsy on day 26 revealed one to two elements that resembled Leishmania amastigotes, but the finding was uncertain.

    On day 25 the patient spoke of an outbreak of tuberculosis in his childhood, during which everyone in the neighbouring house became infected, and he himself developed a positive tuberculin skin test. A positive tuberculin skin test would mean that he likely had latent tuberculosis, and re-activation of latent tuberculosis was therefore considered as a possible differential diagnosis. Microscopy and PCR of induced sputum on day 26 revealed no mycobacteria. An interferon-gamma release assay (IGRA) was found to be “inconclusive”. Respiratory tract samples and urine were sent for tuberculosis culture, which can take up to six weeks. We considered starting empirical tuberculosis treatment, but decided to wait. Viral infection was still regarded as a possible differential diagnosis, but PCR assay of blood showed undetectable cytomegalovirus and a maximum value of 7250/ml for Epstein-Barr virus.

    Fever, joint pain and ferritin rising from 518 µg/l on admission to 11 502 µg/l on day 25 might fit with Still’s disease, but the patient had little joint pain now and lacked leukocytosis, elevated aminotransferase values and the typical salmon-pink rash. Felty’s disease, characterised by arthritis, splenomegaly and leukopaenia, could not explain the disease picture, as that condition does not give rise to fever. We did not start empirical treatment for rheumatological disease, as steroids could have exacerbated an infection and masked symptoms of lymphoma. There was strong suspicion of cancer, even though the diagnostic imaging did not show a primary tumour, metastases or enlarged glands.

    The patient deteriorated further. He was delirious, and appeared moribund. On day 27 we started treatment for suspected visceral leishmaniasis with liposomal amphotericin B 300 mg daily intravenously (3.5 mg/kg body weight).

    Later that same day we received a call from Ullevål stating that PCR confirmed a Leishmania species in the spleen biopsy and EDTA blood. Subsequent sequencing identified the parasite as Leishmania infantum. Serological analysis revealed “medium-high” antibody titres against Leishmania, interpreted as “probably positive”.

    After 24 hours of treatment with liposomal amphotericin B the patient was non-febrile and clinically improving. He received his last blood transfusion when he started the treatment, this time with lasting effect. His platelet values normalised after five days, his leukocytes after three weeks. The man was discharged on day 46, recovering nicely, but he needed several months of convalescence at home before he was back to normal.

    Discussion

    Discussion

    This medical history shows that a knowledge of tropical diseases is useful. Although the patient had all the cardinal signs of visceral leishmaniasis, it took almost a month from hospitalisation until the diagnosis was made. The delay in making the diagnosis is understandable, as this is a rare condition that requires specific tests for confirmation. In a study from England, the median time from symptoms to diagnosis was a full six months (1), which would have been disastrous for our patient. Visceral leishmaniasis is diagnosed through serology, PCR or detection of parasites in a spleen biopsy, blood or bone marrow. We sent bone marrow, a spleen biopsy and EDTA blood to the Microbiology Department at Ullevål University Hospital for detection of Leishmania by means of PCR and species determination by sequencing. Direct PCR from blood is a fast, simple test to carry out if spleen biopsy should be contraindicated by severe thrombocytopaenia and/or danger of bleeding.

    Leishmania parasites are transmitted by sand flies, which in their turn have acquired the infection by biting infected humans or host animals, such as dogs in the case of L. infantum infection in the Mediterranean area (Fig. 2) (2). After an incubation period of weeks or months, the patient develops fever, weight loss, enlarged spleen and liver, pancytopaenia, oedema, hypoalbuminaemia and hypergammaglobulinaemia.

    Figure 2 The life cycle of the Leishmania parasite 1) Bite from an infected sand fly transmits the Leishmania parasite to…
    Figure 2 The life cycle of the Leishmania parasite 1) Bite from an infected sand fly transmits the Leishmania parasite to the host animal 2) Promastogite parasite forms infect the macrophages 3) The parasite is transformed into the amastigote form in the macrophages 4) The amastigotes divide and infect cells, particularly those of the reticuloendothelial system 5) New sand flies are infected by a blood meal from an infected host animal 6) Infected macrophages release amastigotes into the gut of the sand fly 7) Amastigotes are transformed into promastigotes and multiply 8) The promastigotes move to the sand fly’s proboscis so that they can be transmitted to new individuals. The figure has been produced by the Journal of the Norwegian Medical Association on the basis of an illustration by Bjørn Blomberg.

    Visceral leishmaniasis is a neglected tropical disease. The disease hits people hardest in resource-poor countries where treatment is often not available. Of the 300 000 annual cases, 90 % occur in North-East India, Nepal, Bangladesh, Sudan and Brazil (2, 3). Over the past decade, targeted programmes have led to improved patient therapy, vector control and reduced incidence in high-endemic countries (4). For Norwegians who are fond of travelling, it is interesting to know that Leishmania infantum occurs in the Mediterranean regions, including Spain, where our patient has a summer house, and that it causes several hundred cases of visceral leishmaniasis annually in southern Europe (5).

    The patient received intravenous treatment with liposomal amphotericin B (3 mg/kg body weight) according to guidelines (6). For immunocompetent patients, a total dose of 21 mg/kg is recommended, consisting of seven doses on days 1–5, 14 and 21. We treated the patient according to the recommendation for immunocompromised individuals, with 40 mg/kg consisting of ten doses in the course of 38 days, and the patient received treatment on days 1–6, 11, 17, 24 and 31. The drug is effective, but unfortunately so expensive (about NOK 60 000 per course) that it is unavailable in many resource-constrained areas. A single dose of liposomal amphotericin B (5 mg/kg) followed by a week of oral miltefosine is a less expensive therapeutic option, which is successfully used in Asia (6). Non-liposomal amphotericin B is less expensive, but often causes kidney failure. Pentavalent antimony (element 51), available as sodium stibogluconate and meglumine antimoniate, used to be the first-line treatment, but it is now little used because of resistance and toxicity, except in East Africa, where amphotericin B is less effective. Fluconazole had a biochemical but not a clinical effect on our patient. Fluconazole is used against certain types of cutaneous leishmaniasis, but is not recommended for visceral leishmaniasis.

    Immune suppression with methotrexate may have been a factor that put our patient at risk of illness (1, 2). Many Norwegian pensioners who spend time in Mediterranean areas may be immunocompromised because of medication or disease. Norwegian doctors should consider the possibility of visceral leishmaniasis in cases of unexplained illness accompanied by fever in this patient group and other travellers from endemic areas, and should in such events refer patients to the specialist health service for diagnosis and treatment.

    Thanks to thoracic radiologist Siri Marie Blomberg for help in interpreting images.

    The patient has consented to the publication of the article.

    The article has been peer-reviewed.

    Comments  ( 0 )
    PDF
    Print

    Recent Articles