A man in his 30s with ulcerative colitis and pancytopenia

    ()

    sporsmal_grey_rgb
    Article

    A man in his 30s was hospitalised with suspected exacerbation of ulcerative colitis. An interdisciplinary assessment revealed a potentially life-threatening condition.

    A man with ulcerative colitis was acutely admitted to the Department of Gastroenterology owing to a deterioration in his general condition and frequent bowel movements. The patient had known bipolar disorder that was under treatment with olanzapine. Management of his ulcerative colitis had been complicated owing to prednisolone-related depression and an infusion reaction to infliximab, but he had been in remission for the past year under combination therapy with mesalazine 2.4 g × 2 and azathioprine 150 mg × 1.

    Upon admission, the man was in good general condition. He described mild gastrointestinal symptoms in the form of episodes of nausea and vomiting, in addition to several loose bowel movements daily without visible blood or mucous. He reported no abdominal pain, rectal tenesmus, nocturnal diarrhoea or weight loss. However, he described significant night sweats and intermittent feverishness in the week prior to admission. He was febrile with a temperature of 39.1 °C and tachycardic with a heart rate of 116 beats/min. Clinical examination revealed normal somatic status, including lymph node stations. His abdomen was soft upon palpation with no rebound tenderness. Biochemically there was mild pancytopenia, with Hb 12.2 g/dl (13.4 – 17.0 g/dl), leucocytes 1.2 × 10⁹/l (3.5 – 8.8 × 10⁹/l), neutrophils 0.9 × 10⁹/l (1.7 – 8.2 × 10⁹/l) and thrombocytes 118 × 10⁹/l (145 – 348 × 10⁹/l). The patient also had CRP of 68 mg/l (< 7 mg/l) and elevated ALT of 173 U/l (10 – 70 U/l) (Table 1). Other indicators of hepatic and renal function were normal. Chest X-ray was normal. Blood cultures, urine and stool samples were taken, including specimens for microbiological testing and for measurement of faecal calprotectin.

    Table 1

    Patient’s blood test results while hospitalised

    Admission

    Day 2

    Day 3

    Day 5

    Day 8

    Day 11

    Day 18

    Haemoglobin (13.7 – 17.0 g/dl)

    12.2

    11.6

    11.0

    10.5

    11.8

    11.5

    Leucocytes (3.5 – 8.8 × 10⁹/l)

    1.2

    1.8

    1.6

    1.9

    2.5

    5.0

    Neutrophils (1.7 – 8.2 × 10⁹/l)

    0.9

    1.0

    0.8

    0.7

    0.8

    0.7

    Thrombocytes (145 – 348 × 10⁹/l)

    118

    86

    118

    266

    INR (0.9 – 1.2)

    1.3

    1.2

    1.2

    Ferritin (17 – 428 μg/l)

    13 308

    10 063

    4 944

    1 458

    ALT (10 – 17 U/l)

    173

    569

    554

    586

    283

    147

    CRP (< 7 mg/l)

    68

    77

    74

    38

    26

    CMV (< 50 mg/kg)

    4 600

    7 840

    17 000

    435

    Calprotectin

    58

    The patient’s gastrointestinal symptoms were interpreted as exacerbation of ulcerative colitis with bacterial superinfection. A decision was made to begin broad-spectrum antibiotics, specifically intravenous piperacillin/tazobactam, 4 g × 3. The blood test results raised suspicion of hepatitis and myelosuppression, and there were also clinical B symptoms in the form of fever and night sweats. This indicated a more complex condition, with an unclear relation between these findings and the patient’s inflammatory bowel disease.

    There was no pertinent travel history, and no known exposure to tuberculosis, malaria or myelotoxic drugs other than his regular medications. The patient denied alcohol abuse. The anamnesis uncovered no risk factors for endocarditis, and examination revealed no stigmata of endocarditis, such as heart murmur or neurological signs, splinter haemorrhages, Roth’s spots, Janeway lesions or Osler’s nodes.

    During the night, the patient experienced fever peaks approaching 39.5 °C. He also had several episodes of vomiting, but only one loose bowel movement. Blood pressure, heart rate and oxygen saturation were normal. During the ward round the day after admission, he had stable circulatory and respiratory function, and his skin was warm and dry. In addition to unchanged pancytopenia, his liver test values had increased, with ALT 569 U/l (10 – 70 U/l), ALP 149 U/l (35 – 105 U/l), GGT 199 U/l (10 – 80 U/l), bilirubin 9 μmol/l ((5) – 25). Liver synthetic function was slightly impaired, with mild hypoalbuminaemia of 28.7 g/l (36 – 48 g/l) and spontaneous INR of 1.3 (0.9 – 1.2). CRP was 77 mg/l (Table 1).

    Elevated ALT, normal bilirubin levels and modestly elevated liver stasis parameters could be consistent with viral hepatitis or with an immunological liver disease, such as autoimmune hepatitis. The patient tested negative for smooth muscle and mitochondrial antibodies, and immunoglobulin levels (IgA, IgM and IgG) were all normal, which argued against autoimmune hepatitis and primary biliary cirrhosis. Primary biliary cirrhosis and primary sclerosing cholangitis were also considered unlikely because the patient’s liver values had previously been normal, but had now shown a rapid and significant increase. A repeat alcohol anamnesis provided no suggestion of high alcohol intake. This, combined with an AST/ALT ratio of less than one, reduced suspicion of alcohol-related liver damage.

    Azathioprine and olanzapine can both induce pancytopenia and hepatitis. It was decided initially to discontinue azathioprine on the first day of hospitalisation. Olanzapine was continued to avoid exacerbating the patient’s bipolar disorder. Although both of these adverse effects have also been described with mesalazine, it was considered less likely that this drug was to blame for the patient’s blood test results. In view of his ulcerative colitis and unexplained infection symptoms, CT of the abdomen with contrast was performed to exclude an intra-abdominal focus of infection, toxic megacolon or a possible abscess. The scan showed normal conditions in the GI tract, liver and bile ducts.

    There was no evidence of significant colitis activity: Faecal calprotectin on day 2 was 58 mg/kg (< 50 mg/kg), and faecal bacteriological tests were negative. The attending gastroenterologist chose to delay colonoscopy because of the patient’s leukopenia and the risk of infectious complications. An infectious or haematological aetiology was now considered the most likely.

    Viral infections represent important differential diagnoses in cases of acute hepatitis and myelosuppression in immunosuppressed patients. Nothing in the patient’s sexual history or substance use history suggested a risk of viral hepatitis or human immunodeficiency virus (HIV). Routine tests were requested for hepatitis A, B and C (HAV, HBV, HCV), as well as cytomegalo-, Epstein-Barr, and varicella zoster virus (CMV, EBV, VZV), parvovirus B19 and HIV.

    On the third day of hospitalisation, the patient’s general condition deteriorated, and his temperature fluctuated throughout the night from 36 to 39.5 °C. CRP remained unchanged at approximately 70 mg/l. The results from the blood cultures, urinalysis, stool samples and pneumococcal and Legionella urinary antigen tests all came back negative. The patient was assessed in consultation with infectious disease specialists, and a ferritin test was ordered as part of further investigations.

    The patient had been treated with intravenous piperacillin/tazobactam for two days with no clear clinical or biochemical response. In patients with pancytopenia and acute hepatitis, haematological and immunological conditions must also be considered. Blood smears, bone marrow aspiration and lymph node biopsy are key tests when acute leukaemia or lymphoma is suspected. The patient had no palpable lymphadenopathy, and supplementary CT of the neck revealed no pathological findings. The patient had no known family history of connective tissue disease or autoimmune disease. Antinuclear antibodies (ANA), anti-Sm and anti-dsDNA were within the reference ranges. A peripheral blood smear revealed few leucocytes and platelets, but no blasts.

    The following night, the patient became tachycardic and tachypnoeic, with a fall in systolic blood pressure from 130 to 100 mm Hg. Due to increasing dyspnoea and hypoxia (SaO₂ 89 – 90 %), he was given oxygen via nasal cannula. Auscultation revealed normal lung sounds. He was briefly placed under observation in the intensive care unit, but was returned to the ward the same day. Blood tests showed significantly elevated serum ferritin, 13 308 μg/l (17 – 428 μg/l).

    The symptoms could conceivably have been related to a pulmonary embolism, to which patients with ulcerative colitis are predisposed (1). However, the patient’s dyspnoea and oxygen saturation improved shortly afterwards without further treatment, and this was not investigated further.

    A rare but serious differential diagnosis for febrile pancytopenia in immunocompromised patients is haemophagocytic lymphohistiocytosis (HLH). The diagnostic criteria for this disorder are listed in Box 1.

    BOX 1

    Diagnostic criteria for haemophagocytic lymphohistiocytosis (22) (Diagnosis: ≥ 5 criteria)

    1. Fever ≥ 38.5 °C

    2. Splenomegaly

    3. Cytopenia with at least two of the following:

      • a)

        Hb < 9 g/dl

      • b)

        Thrombocytes < 100 × 10⁹/l

      • c)

        Absolute neutrophil count < 1.0 × 10⁹/l

    4. Either:

      • a)

        Hypertriglyceridaemia (fasting triglycerides ≥ 3.0 mmol/l) or

      • b)

        Hypofibrinogenaemia (fibrinogen ≤ 1.5 g/l)

    5. Haemophagocytosis in bone marrow, spleen, liver or lymph nodes

    6. Low or absent NK-cell activity

    7. Ferritin > 500 μg/l

    8. Soluble CD25 (IL2-receptor alpha) ≥ 2 400 U/ml

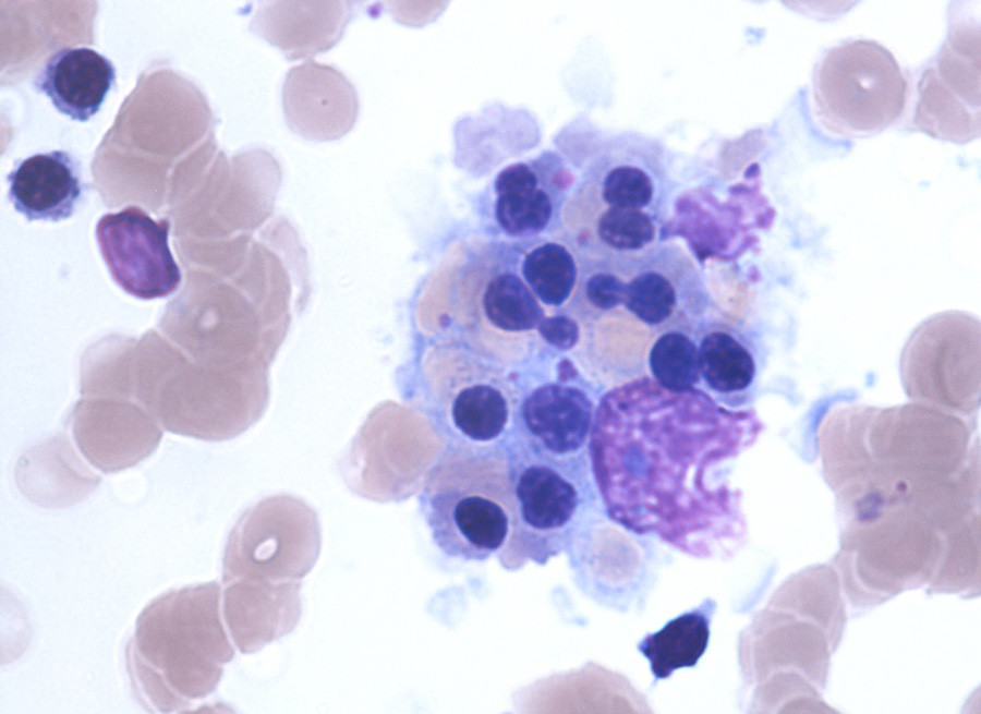
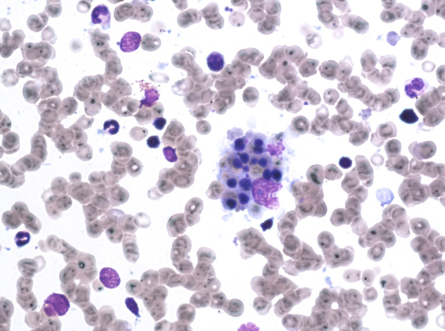
    On suspicion of secondary HLH, bone marrow aspiration was performed. Triglycerides and serum fibrinogen were also analysed, and were within the reference ranges. Reexamination of the patient’s CT abdomen revealed mild splenomegaly (13 cm in longitudinal diameter). The bone marrow aspirate showed occasional stromal macrophages with phagocytosed erythrocytes (Fig. 1 and 2). Quantitative PCR revealed cytomegaloviraemia with 4 600 copies of CMV per millilitre. CMV serology detected IgM and IgG antibodies, with antibody titers showing high IgM and low IgG, consistent with current CMV infection. Other virus tests were negative.

    Figure 1  Image of the patient’s bone marrow aspirate showing occasional stromal macrophages containing phagocytosed…
    Figure 1 Image of the patient’s bone marrow aspirate showing occasional stromal macrophages containing phagocytosed erythrocytes. In the cytoplasm, dark bodies/nuclei can be seen, which are considered to be erythroid precursors, as well as lighter erythrocytes (the same colour as the erythrocytes in the background)
    Figure 2  Magnified section of Figure 1 showing the patient’s bone marrow aspirate
    Figure 2 Magnified section of Figure 1 showing the patient’s bone marrow aspirate

    The patient had ulcerative colitis and was undergoing immunosuppressive treatment with azathioprine. He contracted an intercurrent cytomegalovirus infection and developed probable secondary HLH.

    After five days in the Medical Department, the patient was transferred to the Department of Haematology and Oncology for further treatment and observation. Owing to his stable clinical condition and the fact that the precipitating factor for HLH had been identified, the patient was initially monitored without treatment. Antibiotics were discontinued on the seventh day after admission. CMV PCR revealed increasing viraemia, with 7 800 copies per millilitre, and as targeted treatment for his CMV infection, intravenous antiviral therapy was initiated with ganciclovir 350 mg × 2 for seven days followed by oral valganciclovir 900 mg × 2 for seven days upon discharge.

    Upon discharge after 19 days in hospital, the patient was stable and in good shape clinically. Blood values were almost normalised.

    Discussion

    Discussion

    Ulcerative colitis is an inflammatory bowel disease that affects the colon to a variable extent, with an incidence of 14 cases per 100 000 population (2). Basic treatment consists of 5-aminosalicyclic acid preparations such as mesalazine. Many have an additional need for corticosteroids during periods of moderate to severe disease activity.

    The patient was hospitalised with suspected exacerbation of ulcerative colitis. Increasing disease activity is usually accompanied by more frequent bowel movements, and stools may also contain blood. Colitis with fever indicates significant disease activity. In the present patient, active colitis with bacterial superinfection was suspected upon admission. However, faecal cultivation studies failed to confirm bacterial superinfection, and faecal calprotectin was approximately normal indicating a normal colonic mucosa. There were therefore no grounds for suspecting active ulcerative colitis. It was reasonable to assume that his febrile pancytopenia and hepatitis were the result of complicating conditions not directly linked to active colitis.

    Aminosalicylates are the cornerstone of ulcerative colitis treatment. Aminosalicylates have a favourable adverse effect profile. However, since rare cases of pancytopenia and hepatitis have been described with use of these drugs (3), our patient could probably also have benefited from their discontinuation. Immunosuppressive therapy with thiopurines, in the form of oral azathioprine or 6-mercaptopurine, is often used as part of long-term treatment if the patient does not respond to aminosalicylates, or needs prolonged/repeated steroid treatment to maintain remission (4).

    Azathioprine is a prodrug that is converted in the liver to 6-mercaptopurine, and via further metabolic steps to the biologically active metabolite 6-thioguanine nucleotide (6-TGN). Purine synthesis is inhibited, and proliferation of T- and B-lymphocytes prevented (5). The drug shows variable metabolism and can cause a number of adverse effects, with nausea, vomiting, lethargy, rash, fever and joint pain occurring frequently. Up to 20 – 25 % of patients discontinue treatment owing to intolerance (6). More serious, but rare, adverse effects include pancreatitis, hepatitis, renal failure and myelosuppression. A certain risk of non-melanoma skin cancer has been reported, and also of lymphoma, including hepatosplenic T-cell lymphoma, particularly in men under the age of 40 (7). Weekly blood tests are advised for the first 3 – 4 weeks after treatment initiation, and approximately every third month thereafter as long as the drug is being used. Regular measurement of serum 6-TGN is also advised (5).

    Our patient’s fever, pancytopenia and hepatitis could all be explained by azathioprine use, and such effects can occur both early (days – months) and late (months – years) after the start of treatment (6). The drug was therefore discontinued on admission. Olanzapine is an antipsychotic that may cause pancytopenia (8) and may possibly be hepatotoxic (9). However, it was decided not to discontinue olanzapine because of the risk of exacerbating the patient’s bipolar disorder.

    Significant hyperferritinaemia was detected on the patient’s fourth day of hospitalisation. Viewed in isolation this may be due to hepatocellular damage, haemochromatosis, renal failure or haematological malignancy, but its presence alongside febrile pancytopenia pointed to haemophagocytic lymphohistiocytosis (HLH). The disorder has previously been described in detail in this journal (10). One report stated that ferritin levels above 10 000 μg/l were 90 % sensitive and 98 % specific for HLH in paediatric patients (11), while another study found limited diagnostic value in adults (12). HLH is diagnosed on the basis of specific criteria (Box 1), and at least five of eight criteria must be fulfilled to substantiate the diagnosis. The patient in this case report fulfilled five criteria: fever, splenomegaly, pancytopenia, hyperferritinaemia and haemophagocytes in bone marrow aspirate.

    HLH is a potentially life-threatening condition that occurs in approximately 1 in 1 000 000 people annually. It is caused by dysfunctional immune homeostasis, leading to persistent hyperactivation of macrophages (13, 14). Macrophages secrete large quantities of cytokines, which may explain the clinical and biochemical manifestations of HLH. The condition may be genetically determined (primary HLH), or occur secondary to autoimmune disease, immunosuppression, malignancy or infection (secondary HLH) (15).

    In our patient a systemic CMV infection was detected, which judging by the serological pattern may have been a primary infection. Recent studies report that treating the precipitating factor for presumed secondary HLH is of critical importance (13). HLH-targeted therapy is indicated only for those patients who experience suboptimal efficacy and/or deterioration during treatment of the precipitating factor. A decision was therefore made to treat the patient’s CMV infection, which was the presumed precipitating factor for HLH. Specific treatment of the HLH with etoposide and dexamethasone was considered on an ongoing basis.

    In patients with inflammatory bowel disease under azathioprine treatment, fatal cases have been described in the literature of HLH following intercurrent EBV infection (16). A similarly severe disease course has been described for HLH with CMV viraemia as the precipitating factor, even though the bowel disease was in remission under azathioprine (17). This is consistent with the medical history in our case report.

    The combination of chronic inflammation and immunosuppression – primarily due to use of thiopurines, but also the combination of thiopurines and biological agents or steroids – is assumed to predispose patients to HLH (18, 19). In connection with an acute viral infection, such as cytomegalovirus or Epstein-Barr virus, azathioprine may help trigger secondary HLH in patients with inflammatory bowel disease. Although rare, secondary HLH in inflammatory bowel disease is a serious condition with high mortality, reported to be 30 % (20).

    HLH is mentioned in the guidelines of the European Crohn’s and Colitis Organisation (ECCO), but there is no recommendation for routine screening of EBV and CMV serology prior to initiation of treatment (21).

    In a systematic review from 2013 (19), half (19 of 37) of the cases of HLH in inflammatory bowel disease were triggered by primary infection with Epstein-Barr virus or cytomegalovirus. It may therefore be advisable to refrain from thiopurine treatment in patients with inflammatory bowel disease who are EBV- or CMV-naïve.

    This case report should serve as a reminder of a rare but potentially life-threatening condition that can occur in patients with inflammatory bowel disease who receive immunosuppressive treatment, especially thiopurines. The combination of fever, pancytopenia and very high ferritin levels (> 10 000 μg/l) in thiopurine-treated patients should raise suspicion of HLH. Early diagnosis is crucial owing to the condition’s high mortality.

    The patient has consented to the publication of this article. We wish to thank Ole Gunnar Aasprong, senior consultant at the Department of Pathology, Stavanger University Hospital, for his help in acquiring images of the patient's bone marrow aspirate.

    Comments  ( 0 )
    PDF
    Print

    Recent Articles