Former cancer patient in her 40s with chest pain and increasing dyspnoea

    ()

    sporsmal_grey_rgb
    Article

    Dyspnoea is not uncommon in patients with a cancer diagnosis, and can represent several differential diagnostic possibilities. We describe a case of persistent and increasing dyspnoea in a woman in her 40s who previously had been treated for breast cancer with metastasis to lymph nodes.

    A woman in her 40s was admitted to the Medical Department after a two-month history of chest pain radiating to both axillae. On the day prior to admission, the patient experienced escalating exacerbation of chest pain, particularly in connection with inspiration and lying on her side in bed. For the first 2 – 3 weeks before hospitalisation she was additionally troubled by dyspnoea on exertion and on the day of admission also by speech dyspnoea.

    Two years previously, the patient had been treated for locally advanced cancer of the left breast with metastases to the lymph nodes in the left axilla. She was given neoadjuvant treatment, with four cycles of cyclophosphamide and epirubicin prior to left-side ablatio and axillary lymph node dissection, and a cycle of treatment post-operatively. She also received post-operative radiation therapy of the thoracic wall and regional lymph nodes, according to current guidelines. Ultrasound of liver, chest X-ray and skeletal scintigraphy showed no sign of metastatic disease before the start of the neoadjuvant therapy. The tumour was negative for oestrogen and progesterone receptors. Fluorescence in situ-hybridisation showed amplification of the HER2 gene (HER2/chromosome 17 ratio 4 in about 10 % of the tumour cells). High resolution CT of the thorax, multiple gated acquisition angiography (MUGA scanning) of the heart, spirometry, ECG and clinical examination were conducted prior to the start of radiation treatment as part of an ongoing clinical trial at the Cancer Department. This was repeated after three, six and twelve months. At all of these follow-ups, spirometry, ECG and image diagnostics were normal. At the 12-month follow-up in connection with the trial, about two months before her first admission for the current illness, the patient complained of chest pain. The pain was interpreted as muscular, and further assessment was not carried out for the time being.

    Dyspnoea is not unusual in cancer patients, and several differential diagnoses may be possible, such as infection, thromboembolic disease, tumour emboli, solitary lung metastases, carcinomatous lymphangitis, side effects of chemotherapy, heart failure, cardiac tamponade etc.

    ECG on admission showed sinus rhythm. Of the blood tests taken on admission, troponin t and CK-MB were negative. D-dimer was elevated to 5.7 mg/l (0 – 05 mg/l, CRP was normal (< 10 mg/l). Arterial blood gases were not taken.

    Because of her history of illness with dyspnoea and elevated D-dimer, a pulmonary embolism was suspected. A CT of the pulmonary arteries did not reveal pulmonary emboli, but because of the suspicion of peripheral pulmonary emboli, lung scintigraphy was also carried out.

    Lung scintigraphy showed even ventilation bilaterally and no ventilation defects, but uneven perfusion in both lungs, with small, peripheral perfusion defects bilaterally. These were interpreted as peripheral emboli.

    The possibility of heart/coronary affection due to previous chemotherapy and radiation near the heart was also considered. As part of the assessment, the patient was also referred for spirometry and a walking test with the lung specialist.

    Echocardiography findings were normal. Spirometry and walking test with the lung specialist revealed slight dyspnoea (dyspnoea index 3) and a fall in O₂ saturation under stress from 98 – 97 % to 90 – 89 %, which can be seen in pulmonary hypertension, among other disorders.

    Pulmonary embolism was still regarded as the most probable diagnosis.

    The patient was put on warfarin and low-molecular heparin (Klexane) according to the usual guidelines and discharged after a few days. Re-examination of the CT of the pulmonary arteries after discharge showed a suspected metastatic lesion in the sternum and right lung and marginally enlarged lymph nodes in the mediastinum and fossa supraclavicularis. The patient was hospitalised again and treatment with chemotherapy with docetaxel (Taxoterel) was considered.

    Experience shows that warfarin can be difficult to monitor with metastatic disease and can intereact with chemotherapy. Warfarin was therefore discontinued. Treatment with a therapeutic dose of low-molecular heparin was continued. The suspected metastatic lesions were considered to be too small to explain the patient's dyspnoea and chest pain, and supplementary CT abdomen showed no other metastases. The patient reported subjective improvement after the start of anti-coagulation treatment, and the diagnosis of pulmonary embolism was retained. The patient had a strong wish to go abroad on holiday, and it was therefore decided to postpone chemotherapy until she returned.

    Just before the patient was due to go on holiday (one month after her first admission for assumed pulmonary embolism and two weeks after her previous discharge) she was hospitalised for the third time. She had then had a couple of days of reduced general condition, dry cough, chills, tremors, chest pain and increasing dyspnoea. On admission the patient had a temperature of 38.4°C and pO₂ 8.5 kPa (11.0 – 14.0 kPa) and pCO₂ 3.3 kPa (4.5 – 6.0 kPa). During her stay she had a temporary rise in CRP, from 44 mg/l on admission to 123 mg/l.

    A bronchial infection was considered the most probable cause of the patient’s problems.

    Because of a fall in CRP (from 123 mg/l to 103 mg/l) and a slight subjective improvement of her symptoms, the patient was initially observed, without antibiotics treatment. CT of pulmonary arteries was negative for pulmonary emboli, but showed a wide truncus pulmonalis (33 mm compared with 27 mm at her previous examination) which aroused suspicion of pulmonary hypertension. Modest growth of metastases was also detected.

    The X-ray finding caused suspicion of pulmonary hypertension, and this was assumed to be associated with pulmonary emboli.

    Immediately after her discharge, the patient went on holiday. She was hospitalised already the day after her arrival at the holiday destination because of shortness of breath. After about 14 days she was transported to Norway by air ambulance. During the flight the patient had a fall in O₂ saturation in connection with exertion and she needed a continuous supply of oxygen.

    According to the discharge summary from abroad, her condition was perceived as an acute asthma attack complicated by concomitant infection. She was treated with broad-spectrum antibiotics, anti-obstructive drugs and prednisolone. Elevated liver markers were also found, and believed to be due to possible acute hepatitis due to the use of low-molecular heparin. This was therefore discontinued.

    Supplementary tests on her admission to the hospital revealed normal ECG, CRP < 5 mg/l, leukocytes 19.3 · 10⁹/l (3.7 – 10 · 10⁹/l), D-dimer 8.7 mg/l (0 – 0.5 mg/l), normal transaminases and normal gamma-glutamyl transferase (GGT), alkaline phosphatase (ALP), electrolytes and creatinine. Arterial blood gas showed pO₂ 6.0 kPa and pCO₂ 3.7 kPa. The MRSA test was negative. The thrombocyte value on admission was 84 · 10⁹/l (145 – 390 · 10⁹/l). Low-molecular heparin was re-started when she was admitted. Because of a further fall in thrombocytes over the next few days, the patient was also assessed by a haematologist.

    Her condition was considered to be heparin-induced thrombocytopaenia, and low-molecular heparin was therefore replaced with an inhibitor of factor X/Xa, fondaparinux (Arixtra). Bone marrow smears and crista biopsy yielded normal findings. Disseminated intravascular coagulation (DIC) was also considered as a possible cause of thrombocytopaenia, but the blood tests yielded no evidence to support this.

    The patient continued to have breathing difficulties, and CT thorax showed dilated truncus pulmonalis (34 mm), consistent with pulmonary hypertension. In addition, diffusely scattered, heterogeneous ground-glass opacities had developed in the lungs, and X-rays aroused suspicion of atypical infection or acute/subacute hypersensitivity pneumonitis. Treatment with intravenous piperacillin sodium (Tazocin) and prednisolone was therefore started. Bronchoscopy with bronchoalveolar lavage was also carried out because of suspected infection. Because the X-ray images raised suspicion of an interstitial pulmonary disease, a lung biopsy was considered, but because of acute exacerbation and a fall in O₂ saturation, the procedure had to be halted before a biopsy was taken. Microbiological tests of bronchial lavage fluid showed growth of Klebsiella pneumoniae, and piperacillin sodium was replaced with imipenem/cilastatin (Tienam). After the change of antibiotics the patient showed a transient, brief improvement, with stable CRP of about 27 – 45 mg/l and normal temperature. Three to four days after the change of antibiotics, the patient again developed increasingly laboured breathing, despite continuous treatment for pulmonary emboli and infection and prednisolone in gradually increasing doses.

    Because of clinically dominant dyspnoea without improvement, the CT images of the thorax were reviewed by the radiologist on suspicion of carcinomatous lymphangitis. No evidence was found for this, or for significant progression in the patient's cancer.

    CT thorax on the 16th day from admission showed a further expanded truncus pulmonalis, 37 mm (fig. 2) and newly developed scattered, consolidating opacities in the upper lobe of the left lung. Compared with previous ECGs, a new ECG showed findings as with right-side strain and a QR pattern in V₁, negative T in V₂ and pronounced R-loss in the anterior wall leads. The patient was referred for echocardiography, which was planned for the next day. From the same day she had increasing tachycardia and hypotension and after a while was transferred to the Pulmonary Ward's observation department for BiPAP respiratory support. On the morning of the 18th day since admission (about ten weeks after the very first hospitalisation for dyspnoea) the patient suddenly suffered respiratory arrest and was unresponsive. Advanced heart-lung resuscitation was initiated, but it was not possible to re-establish independent circulation. The patient was declared dead about 30 minutes after the start of resuscitation.

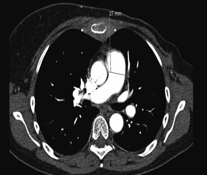
    Figure 1  Volume CT thorax with intravenous contrast taken during the first admission to hospital. The truncus pulmonalis…
    Figure 1 Volume CT thorax with intravenous contrast taken during the first admission to hospital. The truncus pulmonalis has normal dimensions
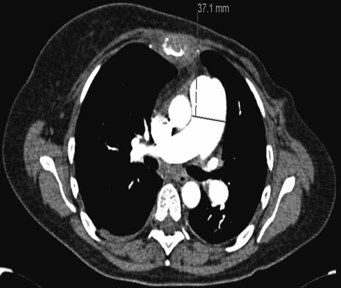
    Figure 2  Volume CT thorax with intravenous contrast taken during last hospitalisations shows pronounced truncus pulmonalis…
    Figure 2 Volume CT thorax with intravenous contrast taken during last hospitalisations shows pronounced truncus pulmonalis with diameter 37 mm causing suspicion of pulmonary hypertension

    An autopsy was ordered to investigate the cause of the patient's persistent dyspnoea, hypoxia and subsequent death.

    The autopsy revealed fluid in both pleural cavities and in the abdominal cavity. There were two suspected metastatic lesions in the lungs, several in the liver, one in the sternum and in lymph nodes in the lung hilum, mediastinum, along the trachea and the aorta. The lungs weighed 1 100 g (average weight for women is 750 g). They were of normal size and shape, but with darker patches and haemorrhagic areas in all lobes. No thrombi were found in the pulmonary arteries. Her heart weighed 330 g (normal weight for women 200 – 350 g). The left ventricle was normal. The right ventricle was dilated and had a thickened wall (10 mm) with pronounced trabecular marking on the inside, consistent with cor pulmonale. Heart valves, endocardium and coronary arteries were normal.

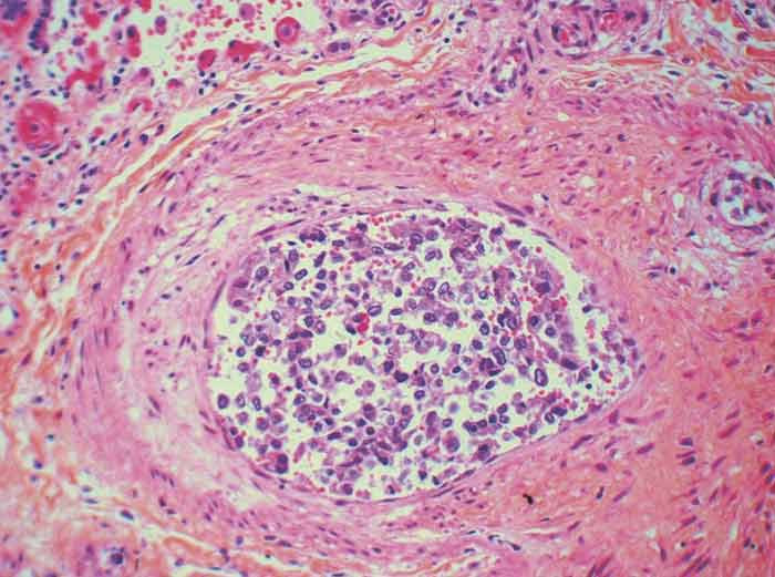
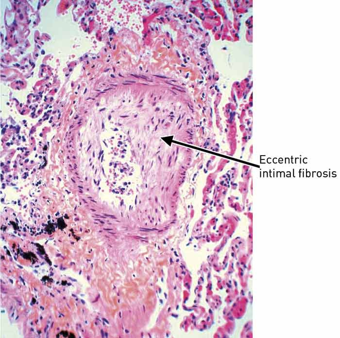
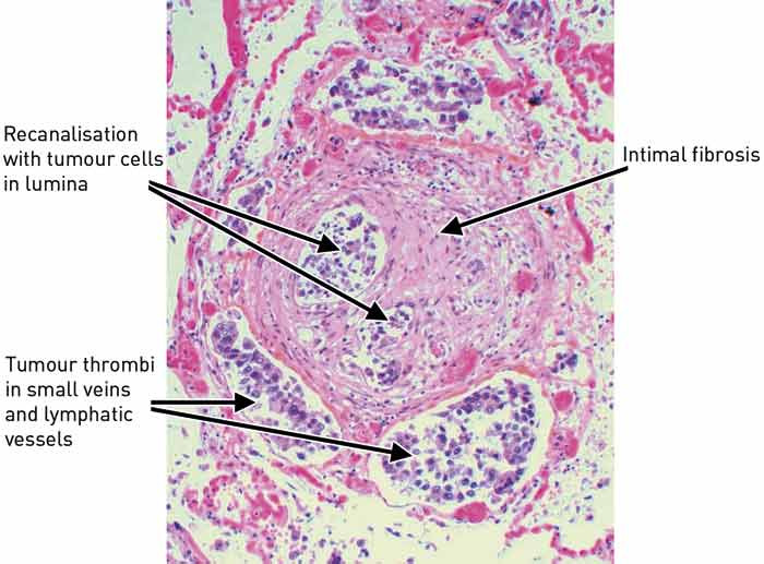
    A microscopic examination of tissue from suspected metastatic lesions in lungs, liver, sternum and lymph nodes confirmed metastases from adenocarcinoma of the breast. There were several fresh haemorrhagic infarctions in the lung tissue. In the small arteries and arterioles, there were multiple tumour emboli in various stages of organisation (fig. 3, fig. 4). The wall of small arteries and arterioles was considerably thickened, with narrowed lumina. The changes were dominated by eccentric intimal fibrosis (fig. 5), but there was also hypertrophy of the muscularis media.

    Figure 3  Small pulmonary artery with tumour cells in the lumen (haematoxylin erythrosine saffron (HES))
    Figure 3 Small pulmonary artery with tumour cells in the lumen (haematoxylin erythrosine saffron (HES))
    Figure 4  Artery with intimal fibrosis, recanalisation and tumour thrombi in both artery and associated veins/lymph vessels …
    Figure 4 Artery with intimal fibrosis, recanalisation and tumour thrombi in both artery and associated veins/lymph vessels (HES)
    Figure 5  Small pulmonary artery with eccentric intimal fibrosis (HES)
    Figure 5 Small pulmonary artery with eccentric intimal fibrosis (HES)

    The vascular changes that were found are consistent with pulmonary arterial hypertension, WHO Group 5 (1), with tumour emboli in small pulmonary vessels as underlying causes. All in all, this is consistent with pulmonary tumour thrombotic microangiopathy (PTTM).

    Discussion

    Discussion

    Pulmonary tumour thrombotic microangiopathy is difficult to diagnose and often misinterpreted as thromboembolic disease. Other designations used are carcinomatous microangiopathy, carcinomatous arteriopathy, carcinomatous endarteritis and pulmonary tumour emboli. This condition differs from ordinary tumour emboli in that there are also vascular changes as with pulmonary hypertension.

    The histopathological changes differ little from changes associated with pulmonary hypertension as a consequence of thromboembolic disease. Characteristically, eccentric, but also concentric, intimal fibrosis is seen (2), mild or absent hypertrophy of muscularis media (as opposed to idiopathic pulmonary arterial hypertension), and recanalisation of tumour thrombi. The condition was first described by Brill & Robertson in 1937, as rapid development of right-sided heart failure due to tumour emboli (3). The typical patient often has pronounced dyspnoea (3, 4), while clinical and imaging diagnostic findings may be relatively limited.

    The condition is seldom diagnosed ante mortem, and is normally found at autopsy. In an autopsy study of 630 patients with adenocarcinoma, the disease was found in 3.3 % of patients with solitary tumours (5). In another autopsy study of patients with carcinoma, tumour emboli were found in the lungs of 40 % of those who were autopsied (6), but in this study the number who also had changes as in PTTM is not reported.

    The condition has been described with several types of cancer, but is most commonly associated with primary tumour in lung, breast or stomach (4, 5). The frequent association between breast and lung cancer can probably be attributed to the fact that they are two of the most common forms of cancer (7). The pathophysiological mechanisms underlying the development of pulmonary hypertension secondarily to tumour emboli in lungs is largely unknown, but two hypotheses have been described. First, dysregulation of signal pathways that are normally activated by ordinary emboli, may result in remodelling of vasculature and thereby contribute to the development of pulmonary hypertension. The other hypothesis describes increased vascular resistance as a result of mechanical occlusion of arterial pulmonary vessels due to tumour emboli. When the obstruction has reached a certain threshold level, the capacity of the pulmonary vessels to compensate is weakened and symptoms arise (7).

    Chest X-rays can provide information about any infections, solitary lung metastasis, interstitial fibrosis and any carcinomatous lymphangitis, but findings that may indicate pulmonary hypertension and cor pulmonale are seen in fewer than 50 % of the patients with PTTM (4, 8). CT thorax also contributes little, but in a few cases may show changes peripherally in the pulmonary arteries, particularly subsegmentally, in the form of dilation and beading of peripheral blood vessels (9). Pulmonary angiography is often normal (7, 10). Lung scintigraphy can show characteristic, abundant, symmetrical and peripheral, often subsegmental perfusion defects (11).

    Multifocal abnormal absorption of fluorodeoxyglucose (FDG) has been described in connection with positron emission tomography (PET), and this is a test that may be useful in assessing cases of suspected PTTM (12). However, there is very limited information on the use of PET for such an assessment. Lung biopsy is very useful for diagnosis, but is contra-indicated with pulmonary hypertension because of the risk of haemorrhaging (13, 14). Right-side heart catheterisation is necessary for diagnosing pulmonary arterial hypertension, for determining the degree of affection of the right ventricle pumping function and for testing the vasoreactivity of pulmonary circulation to, for example, nitric oxide. With a pulmonary arterial catheter it is also possible to aspirate blood from pulmonary microvasculature for cytological testing (15) – (17). A pathologist with cytology experience should be consulted in advance, so that the material can be optimally secured and prepared. Smears and cell blocks can be made from the material. If there are sufficient tumour cells in a cell block, supplementary special staining, immunohistochemical and molecular pathology tests are possible. In conventional smears, the tumour cells tend to lie peripherally, so that they may be difficult to detect. It must be borne in mind that there may be relatively abundant megacaryocytes in pulmonary vasculature, and that these may be mistakenly identified as tumour cells (16).

    PTTM is an aggressive disease with rapid progression. The median survival from the onset of symptoms with dyspnoea until death is estimated at 4 – 12 weeks (2). There is no established treatment for the condition. We assume that early diagnosis may enable more aggressive, tumour-focused treatment, and that reduction of tumour cells in the pulmonary circulation may possibly limit the risk of fibrointimal proliferation and the development of pulmonary hypertension. However there are no reliable studies that can confirm this, although a case of successful treatment of a patient with adenocarcinoma in the ventricle has been described (18).

    Conclusion

    Conclusion

    Dyspnoea in cancer patients is not unusual, and offers many diagnostic possibilities. On suspicion of pulmonary emboli, with or without signs of pulmonary hypertension, the possibility of tumour thrombi must be considered in the event of lack of response to treatment if there is no consistency between the patient's symptoms and the diagnostic imaging findings. The possibility of PTTM should also be considered in patients with persistent dyspnoea who do not have known cancer. Even though the patients often have advanced cancer, efforts should be made to achieve rapid assessment. We regard cross-disciplinary cooperation early in the course as essential, both in order to establish a diagnosis as quickly as possible and to avoid unnecessary assessment and treatment of other conditions.

    The patient’s family have consented to the publication of the article.

    Comments  ( 0 )
    PDF
    Print

    Recent Articles