A man in his 40s with headache and blurred vision

    ()

    sporsmal_grey_rgb
    Article

    Headache with increased cell number in the spinal fluid, fever and meningeal thickening immediately gives rise to associations with bacterial meningitis. When there is sub-acute onset of symptoms and an atypical course of disease with poor response to antibiotics, however, differential diagnostic possibilities should be considered. The patient is man in his 40s with severe complications of a rare meningeal condition.

    The patient had had recurrent otitis and episodes of treatment-resistant sinusitis. Apart from that, he was previously healthy. During a flight to Spain he developed left-sided earache and was treated for suspected otitis at a local medical office. After a few days he had increasing global headache, dysarthria and paresthesias in the right half of his body, later also secretion from the left ear. MRI of the head taken at a hospital in Spain revealed fluid in mastoid cells and a rim over the left hemisphere interpreted as chronic subdural haematoma. The patient was treated conservatively.

    Chronic subdural haematomas can arise spontaneously or after trauma. Abuse of alcohol and treatment with anticoagulants are among the predisposing factors. Chronic subdural haematomas sometimes produce limited symptoms and can start in the elderly with gradually increasing confusion. Our patient had neither experienced a trauma nor used anticoagulants. Nor is secretion from the ear a typical symptom of chronic subdural haematoma.

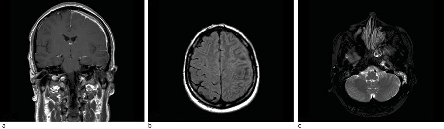
    After his return to Norway, three weeks after the onset of symptoms, the patient developed blurred vision in the right eye, and was hospitalised at the University Hospital of North Norway. On admission he was in a slightly reduced general condition. The patient had significantly reduced right eye vision, tinnitus in the left ear and slight dysarthria. Extensive blood screening showed a sedimentation rate of 74 mm/h (2 – 12 mm/h), CRP of 83 mg/l (< 5 mg/l) and slightly elevated c-ANCA (S-Anti-PR3) of 12 U/ml (negative: 0 – 10 U/ml, positive: 11 – 530 U/ml), but otherwise normal findings. Spinal fluid analysis revealed slight pleocytosis with white blood cells of 29 · 10⁶/l (< 5 · 10⁶/l) and total protein of 686 mg/1 (< 500 mg/l). The opening pressure of the lumbar puncture was normal. The ophthalmologist’s conclusion was infarction of the right optic nerve. The ear, nose throat specialist found crust formation in the left nasal cavity, and there was suspected leakage of cerebrospinal fluid from the left ear. No infectious agent was detected in any of the body fluids (blood, cerebrospinal fluid, ear secretion, nasopharynx or urine). MRI of the head revealed a fluid rim with swelling and contrast enhancement in the meninges over the left hemisphere and fluid in the mastoid area on the left side (Figs 1 a – c). This was interpreted as probable meningeal effusion. The conclusion was bacterial meningitis, and the patient was put on antibiotics.

    Figure 1  MRI caput: a) T1 sequence with contrast. Swelling of the meninges over the left hemisphere with contrast…
    Figure 1 MRI caput: a) T1 sequence with contrast. Swelling of the meninges over the left hemisphere with contrast enhancement. b) T2 sequence. Thickened meninges on the left side and signal changes in adjacent cerebral parenchyma. c) T2 sequence, FLAIR. Fluid in the mastoid area, around the internal carotid artery and the jugular vein at the base of the skull on the left side.

    Bacterial meningitis is most commonly an acute disease with high fever, headache and reduced consciousness. Focal neurological impairment may, for example, be due to meningoencephalitis, increased intracranial pressure or secondary vasculitis. Epileptic seizures may occur. The cell count in the cerebrospinal fluid is usually strongly elevated, and an infectious agent can often be detected in cerebrospinal fluid or blood culture. Bacterial meningitis may occur as a result of haematogenous dissemination of bacteria, but also as a result of local spreading, for example in cases of otitis, following open head trauma or neurosurgical procedures. In our patient, secretion from the ear could point to otogenic meningitis, but the onset of clinical symptoms was subacute and the cell count in the cerebrospinal fluid was very low.

    It was assumed that the low cell count in the spinal fluid was due to the patient having previously been treated for otitis with oral antibiotics. The patient was also examined by a neurologist, whose conclusion was atypical subacute meningitis, which could give rise to suspicion of autoimmune meningitis syndromes, for example hypertrophic pachymeningitis. Antibiotic treatment for suspected bacterial meningitis arising from otitis (or possibly mastoiditis) was nevertheless resumed. The patient was also treated with dexamethasone and had a ventilation tube implanted in his left ear. After two and a half weeks in hospital and a considerable improvement in his condition, he was discharged to home.

    Treatment with steroids in the acute phase of bacterial meningitis due to a pneumococcal infection is well established, as in tubercular meningitis. Secondary vasculitis may also respond to this treatment. With our patient, it was now difficult to determine whether the improvement was due to antibiotics or the steroid treatment.

    Further episodes of global headache with pressure features, CRP rise and sensory symptoms in the right half of the body as well as epileptic seizures in the next three weeks led to two rehospitalisations with new antibiotics and the introduction of antiepileptic medication. Repeated cerebrospinal fluid analyses showed unchanged findings. No infectious agent was found in the cerebrospinal fluid or other body fluids. MRI revealed increasing left-sided cortical brain oedema. Exploratory craniotomy with meningeal biopsy was performed, considering the possibility of epi- or subdural empyema. There were macroscopic findings of a normal coloured, but hard, thick dura, and easily bleeding subdural granulation tissue. Histology revealed a thickened dura with fibrosis and non-specific inflammatory infiltrate (Fig. 2). Microbiological test results were normal. At an interdisciplinary meeting attended by an infection specialist, neurologist, ear, nose, throat specialist, ophthalmologist, rheumatologist, neurosurgeon, neuroradiologist and neuropathologist, it was concluded that the patient’s symptoms were most likely due to intracranial hypertrophic pachymeningitis.

    Figure 2  Biopsy of the dura frontally on the left side. Histopathological examination shows thickened dura with fibrosis…
    Figure 2 Biopsy of the dura frontally on the left side. Histopathological examination shows thickened dura with fibrosis and non-specific inflammatory infiltrate. a) Infiltrate with esosinophil granulocytes, plasma cells and macrophages (H&E × 20). b) Lymphohistiocytic infiltrate with psammoma bodies (arrow) (H&E × 20). c) The arrow points at brain tissue (immunohistochemistry with macrophage antibodies × 20). d) The arrow points to brain tissue with lymphocytes around blood vessels (immunohistochemistry with lymphocyte antibodies × 20)

    The patient was given a thorough examination. Differential diagnostic possibilities as mentioned in the literature (Fig. 3) were eliminated, with the exception of Wegener’s granulomatosis, which could not be excluded with certainty. Further studies were therefore focused on this. The sole positive finding was c-ANCA, which was weakly positive initially, but subsequently within the reference range. Blood tests were otherwise normal. No skin changes or heart or kidney affection were found. CT of the temporal bone showed fluid and soft tissue thickening in the middle ear and denser mastoid cells on the left side. CT of the sinuses showed a hypoplastic left maxillary sinus with thickening of the mucous membrane and an air-fluid level, but no granuloma. The conclusion of a biopsy of the respiratory mucous membrane was non-specific chronic infection, and no vasculitis or granuloma. CT of the thorax showed possible progression of one of the small non-specific nodular opacities found in the left upper lobe at the onset of the illness, but the change was not accessible for biopsy (Fig. 4).

    Thus no clear evidence was found of underlying disease, either Wegener’s granulomatosis or any other condition, and the patient was treated for assumed idiopathic intracranial hypertrophic pachymeningitis. High-dose Solu-Medrol was administered for five days followed by peroral administration of 80 mg × 1 for six weeks, with slow down-titration. This treatment led to regression of both symptoms and changes on the MRI.

    Figure 3  Etiology of intracranial hypertrophic pachymeningitis (2, 3)
    Figure 3 Etiology of intracranial hypertrophic pachymeningitis (2, 3)
    Figure 4  CT thorax. Small, non-specific nodules in left upper lobe
    Figure 4 CT thorax. Small, non-specific nodules in left upper lobe

    Hypertrophic pachymeningitis is a rare condition characterised by aseptic, chronic inflammation that causes pachymeningeal thickening. Since the introduction of CT and MRI technology, cases of this kind have been reported more frequently, but there is still inadequate knowledge about their prevalence. The condition was first described by Charcot and Joffroy in 1869, who found changes in spinal meninges. The early descriptions were related to tuberculosis or syphilis (1). Since then, a number of factors have been found that can lead to inflammatory thickening of the dura mater, including other infections (fungal infection), systemic autoimmune diseases (rheumatoid arthritis, Wegener’s granulomatosis), neurosarcoidosis and neoplasms (2, 3) (Fig. 3).

    It is important to exclude any underlying pathology, but this may be difficult. If a thorough investigation does not reveal a systemic cause of meningeal thickening, the condition is considered to be idiopathic (4) – (7). The idiopathic form occurs very rarely. The average age of onset is 50, with a variation from 20 – 80 years (5, 6). The clinical picture of intracranial hypertrophic pachymeningitis is non-specific and varying. Headache, progressive affection of multiple cranial nerves and ataxia are the most common symptoms, and are manifested in about 90 %, 60 % and 30 % of the cases, respectively (4, 5, 8). Epileptic seizures also occur (9). The headache may be focal or diffuse and may be the only symptom for a number of years (10, 11). The headache is characterised as chronic daily headache and often resembles chronic migraine (12). In many of the reported cases, elevated intracranial pressure is not found, and the headache is then probably related to meningeal inflammation.

    During down-titration of steroid treatment to 30 mg daily, the patient developed symptoms again, including diplopia. Right-side external ophthalmoplegia was found with affection of the oculomotor-, trochlear- and abducens-innervated musculature.

    The patient had also complained of numbness corresponding to the ophthalmic branch of the trigeminal nerve over the affected eye. The headache was now located mainly in the right temple region up towards the forehead. A further MRI of the head and re-examination of the previous scan retrospectively revealed fluid and soft-tissue congestion around the left internal carotid artery and the jugular vein below the skull base (Fig. 1c). The condition was interpreted as being Wegener’s granulamatosis, with weakly positive c-ANCA, thickening of the mucous membrane in the sinuses, small nodular opacities in the lungs, external ophthalmoplegia with affection of several eye muscles and numbness of the forehead – even though no biopsy findings confirmed the diagnosis. The patient was transferred to the Department of Rheumatology. Because of the severity of the disease, he was treated with intravenous cyclophosphamide for six months with plans for a transition to methotrexate as maintenance treatment. However, at the evaluation after the treatment with cyclophosphamide, a further MRI head scan showed increased thickness of the meninges, and the patient was given rituximab. He has responded well to this treatment. Up to now, three rounds of therapy have been administered. The disease is in remission, the patient is free of symptoms and back in full-time work.

    Discussion

    Discussion

    Intracranial hypertrophic pachymeningitis may involve the skull bones, the pericranial soft tissue and, rarely, the cerebral parenchyma (when inflammatory cells infiltrate through the Virchow-Robin spaces) (9). Pachymeningeal thickening may be diffuse or focal/nodular. The nodular type may be divided into two main groups according to their location (4, 13). The first group includes cases located in the area from the parasellar region and cavernous sinus to the superior orbital fissure, and often affects the IInd to VIth cranial nerves and the supraclinoid carotid segment. The second group shows falcotentorial and clival involvement, and can affect the Vth and VIIth–Xth cranial nerves (13).

    Intracranial hypertrophic pachymeningitis of the cerebral convexity, which may mimic convexity meningioma, occurs in about 15 % of the focal conditions (2). Cranial nerve impairment is due to their compression by thickened pachymeninges at the skull-base foramina (14). Such external stenosis at the base of the skull may also lead to occlusion of the internal carotid artery, resulting in cortical deficits (15). These lesions have a mass effect, but the inflammatory perivascular infiltration also plays an important part in the cortical irritative symptomatology (9, 16). Intracranial hypertrophic pachymeningitis may occasionally also lead to occlusion of the venous sinus and obstructive hydrocephalus (15). Spinal hypertrophic pachymeningitis is rare. The cervical and thoracic regions are probably most affected, and the meningeal thickening causes radiculomyelopathy (17).

    The pathogenesis of hypertrophic pachymeningitis remains unclear. The pathologic and laboratory data indicate a close association with autoimmune diseases such as Wegener’s granulomatosis, rheumatoid arthritis and connective tissue diseases, and there has been discussion as to whether the condition is caused by systemic autoimmune inflammation (18). Blood tests usually show a high sedimentation rate (3, 5, 8, 18) and a study from Japan revealed slight to moderately elevated CRP in about half of the cases (18). Several cases have been described of positive antinuclear antibodies (ANA), rheumatoid factor (RF) and p-ANCA (18). Samples of cerebrospinal fluid reveal pleocytosis in 30 – 70 % of patients (5, 8, 18) and elevated total protein in about 80 % (18). The lumbar puncture opening pressure is usually normal, but may be elevated (18).

    A neuroradiological examination plays a key role in the evaluation of the disease. However, it can take two years before there are significant diagnostic imaging findings (19). CT images reveal hyperintense dural lesions with homogeneous contrast enhancement, but in some cases, for example with slight dural thickening, there are no abnormal findings (18). MRI is the best means of identifying the lesions and excluding other disease processes. MRI findings are characteristic, and show various degrees of the lesion’s inflammatory pattern (5, 8). T1-weighted images show iso- or hypointense thickened dura (6, 8, 9, 13) with intense enhancement after injection of paramagnetic contrast medium due to inflammatory reaction in the pachymeninges. The dura mater appears hypointense in T2-weighted images, in some cases surrounded by a hyperintense rim of the lesion (8, 9, 13, 19). The central hypodense area is attributed to a fibrous process, while the peripheral hyperintensity is due to an active inflammatory reaction (9, 13). The use of gadolinium is important for assessing the meningeal enhancement, which can be used to distinguish between pachymeningitis and leptomeningitis. MRI findings may also provide an indication of the clinical course. Diffuse and homogeneous thickening of the dura and well defined T2-weighted borders are often associated with a short clinical course and a good prognosis. A hypointense hypertrophic meninx on T2-weighted series, without a hyperintense rim and with dishomogeneous contrast enhancement, is associated with chronic conditions and an unfavourable prognosis (8).

    The examination should include meningeal biopsy in order to exclude secondary intracranial hypertrophic pachymeningitis (2, 18, 20). According to Bang et al. and Goyal et al. (14), it should be possible to make a diagnosis on a clinical basis of diffuse or skull-base located intracranial hypertrophic pachymeningitis (positive MRI and effective corticosteroid therapy), while in cases with nodular intracranial hypertrophic pachymeningitis with a convexity site and doubts about the diagnosis, a biopsy is essential in order to exclude meningioma and other neoplasms. Kupersmith et al. (3) recommend invasive diagnostics in the event of clinical or radiological deterioration during ongoing treatment. Histopathological examination of thickened dura shows non-specific inflammatory reaction in various phases of evolution, with fibroblastic infiltration of neutrophils, lymphocytes and plasma cells (4, 16). Vasculitis and granulomatous changes have been described (17, 21).

    There is no consensus on the ideal therapeutic approach to intracranial hypertrophic pachymeningitis. Spontaneous resolution of symptoms, findings and meningeal thickening has been reported (22). Corticosteroid therapy is often effective for ameliorating the symptoms and findings and in halting the progression of the disease. In case of treatment resistance or relapse when tapering the dosage, other immune suppressants such as cyclophosphamide, methotrexate or azathioprine can be added (13). Radiotherapy and surgical removal of the affected tissue have been used (3). Because of the risk of irreversible damage to the nervous system due to compressive myelopathy, early surgical intervention appears to be essential when steroid therapy does not prevent the progression of symptoms of spinal hypertrophic pachymeningitis (17).

    The patient has consented to the publication of the article.

    Comments  ( 0 )
    PDF
    Print

    Recent Articles