Treatment of malaria in Norway

    ()

    sporsmal_grey_rgb
    Article

    Each year, 30 – 60 patients with malaria arrive in Norway. In about two thirds of the cases, the disease has been caused by Plasmodium falciparum. Falciparum malaria can easily be life-threatening, and drugs for the treatment of severe malaria must be available at all Norwegian hospitals. The purpose of this paper is to provide recommendations for treatment of malaria in Norway.

    For the past eight years, 28 – 61 cases of malaria have been reported annually to the Norwegian Surveillance System for Communicable Diseases (MSIS) at the Norwegian National Institute of Public Health (1). Of these, 57 – 75 % were caused by Plasmodium falciparum, an infection that carries a considerable risk of a fatal outcome if it is not swiftly diagnosed and effective treatment administered (2). It is important to be aware that life-threatening disease can develop quickly even if the patient appears relatively unaffected at presentation (3). Of 222 patients with falciparum malaria who were diagnosed in Oslo and Akershus in the period 1988 – 97, 95 % had been infected in Africa (4). The situation has remained largely unchanged, and a particularly large number acquire the infection in West Africa (1).

    Doctors faced with patients whom they suspect of having malaria must send the patients to hospital immediately. It is the responsibility of the hospital to determine quickly whether the patient has malaria, which plasmodium species the patient is infected with, and to apply the correct treatment without delay. Hospitals that do not have the resources to perform malaria diagnostics with the aid of microscopy 24 hours a day should have rapid antigen detection tests available.

    The Norwegian Medicines Manual for health personnel (2010, Norwegian text) contains a chapter on malaria that includes treatment (5). The purpose of this paper is to provide a comprehensive description of drug treatment of malaria. We assume that the choice of medicines can provide guidelines for all those who deal with malaria patients in Norway. The guidelines issued by the Norwegian Paediatric Association (6) should be used for treating children. We stress that this review does not cover non-medicinal management of severe malaria.

    As falciparum malaria is a potentially fatal infection that requires rapid diagnosis and treatment, and sometimes extensive management, the main part of this article is devoted to the treatment of this species.

    The article is based on a review of literature found through searches in PubMed and the Cochrane Library, epidemiological data from the Norwegian National Institute of Public Health and the authors’ own clinical experience. It also refers to the World Health Organisation’s treatment recommendations of 2010 (7), but is adapted to Norwegian conditions.

    Plasmodium falciparum

    Plasmodium falciparum

    Severe falciparum malaria

    Severe falciparum malaria

    A patient with P. falciparum who is incapable of swallowing tablets, has signs of dysfunction in vital organs or high parasitaemia (> 4 %), has severe malaria.

    Specifically, severe falciparum malaria is normally defined as findings of P. falciparum in thick and thin drops or by positive antigen tests and one or more of the following criteria: impaired consciousness, multiple cramps, pulmonary oedema or acute respiratory distress syndrome (ARDS), shock, abnormal bleeding, kidney failure, severe anaemia, icterus, hyperlactataemia, metabolic acidosis, hypoglycaemia, haemoglobinuria or parasitaemia > 4 % (2, 8).

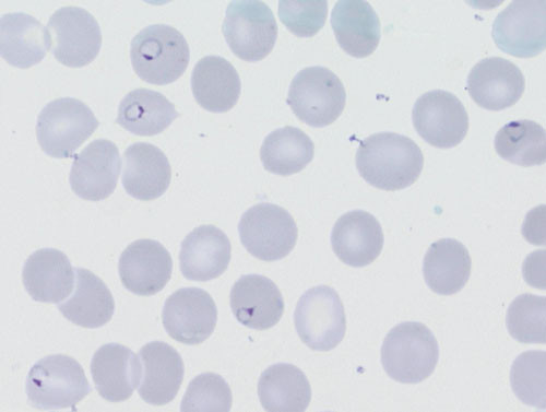
    Patients with severe malaria must be monitored closely and should be treated in an intensive care unit. Figure 1 shows a blood smear from a patient with severe falciparum malaria.

    Figure 1 Plasmodium falciparum ring forms in peripheral blood smear from pregnant woman with severe malaria and 14 %…
    Figure 1 Plasmodium falciparum ring forms in peripheral blood smear from pregnant woman with severe malaria and 14 % parasitaemia. Photo: Kristine Mørch

    Intravenous administration of artesunate should be the first choice of treatment for severe falciparum malaria (7, 9). Artesunate has limited side effects and patients treated with this medicine had a higher survival rate than those treated with quinine in randomised studies in Asia and Africa (10, 11). The medicine kills parasites more rapidly than quinine because it is effective against both early ring forms and the mature stages of the parasite (schizonts) which cause organ failure by obstructing the microcirculation (12). Experience in Norway of treating severe malaria with artesunate has been positive so far (13).

    Intravenous quinine was the obvious choice until a few years ago, and should still be used if there is no artesunate available, but it should be noted that in some patients quinine gives rise to troublesome tinnitus and dizziness (cinchonism), and that the drug must be infused slowly because of the risk of arrhythmia (7). Glucose infusion should be administered concurrently because quinine treatment carries a risk of severe hypoglycaemia.

    As long as the patient receives intravenous treatment, both artesunate and quinine can be administered as monotherapy. After 1 – 3 days of intravenous treatment, when the patient shows clinical improvement and has parasitaemia of < 1 %, treatment is changed to one of the oral anti-malaria drugs that are also used with uncomplicated falciparum malaria, for a period equivalent to a full oral course (Tables 1 and 2) (12, 14). One should be aware of potential side effects of artesunate, particularly if intravenous therapy is administered in rare cases for more than three days. Severe haemolysis has been observed in some patients for up to four weeks after treatment in which a cumulative artesunate dose was a risk factor (15).

    Table 1  

    Recommended medication for different species of malaria, and for severe and uncomplicated malaria

    Species (Plasmodium)

    Intravenous artesunate

    Intravenous quinine

    ACT¹

    Proguanil-atovaquone

    Mefloquine

    Hydroxychloroquine

    Primaquine

    P. falciparum

     Severe

    1st choice

    2nd choice

    Must not be used

    No

     Uncomplicated

    1st choice

    2nd choice

    2nd choice

    Must not be used

    No

    P. vivax

     Severe

    1st choice

    2nd choice

    Yes

     Uncomplicated

    1st choice

    Yes

    P. ovale

    1st choice

    Yes

    P. malariae

    1st choice

    No

    P. knowlesi

     Severe

    1st choice

    2nd choice

    No

     Uncomplicated

    1st choice

    2nd choice

    2nd choice

    2nd choice

    No

    Double infection or undetermined species

    If suspected P. vivax or P. ovale

     Severe

    1st choice

    2nd choice

    Must not be used

     Uncomplicated

    1st choice

    2nd choice

    2nd choice

    Must not be used

    [i]

    [i] ¹ Artemether-lumefantrine or dihydroartemisinin-piperaquine

    Table 2

    Dosage of recommended medication for adult patients with malaria (Table 1) (5, 7)

    Drug

    Dosage

    Artesunate

    2.4 mg/kg intravenously immediately and after 12 and 24 hours, then once daily, normally for up to 3 daysChange to peroral drug as with uncomplicated falciparum malaria when the patient can swallow tablets and parasitaemia < 1 %

    Quinine

    1 200 mg (20 mg/kg) infused over 2 – 4 hours as saturation dose, then 600 mg (10 mg/kg) at 8-hour intervals. The total dose per day should not exceed 1 800 mgChange to peroral medication as for uncomplicated falciparum malaria when the patient can swallow tablets and parasitaemia < 1 %

    Artemether–lumefantrine (artemether 25 mg, lumefantrine 120 mg)

    4 tablets at 0, 8, 24, 36, 48 and 60 hoursShould be taken with fatty food

    Dihydroartemisinin-piperaquine (dihydroartemisinin 40 mg, piperaquine tetraphosphate 320 mg) (14)

    36 – 75 kg: 3 tablets once a day for three days75 – 100 kg: 4 tablets once a day for three daysTo be taken between meals

    Mefloquine

    Initially 750 mg (3 tab.), after 6 – 8 hours 500 mg (2 tab.) and for patients > 60 kg after a further 6 – 8 hours 250 mg (1 tab.)To be taken with food

    Proguanil-atovaquone (proguanil 100 mg, atovaquone 250 mg)

    4 tablets once a day for three daysShould be taken with fatty food

    Hydroxychloroquine

    Initially 600 mg (4 tab.), after 6 hours 300 mg (2 tab.). Then 300 mg daily for 2 daysTo be taken with food

    Primaquine

    15 mg per day for 14 daysIf acquired in areas with primaquine resistance (see text) or in areas where relapses have been recorded after normal dosage: 22.5 mg or 30 mg or 0.5 mg/kg per day for 14 daysPrimaquine is contra-indicated during pregnancy or in cases of G6PD deficiency¹

    [i]

    [i] ¹ Glucose-6-phosphate-dehydrogenase deficiency

    Both artesunate and quinine must be procured with exemption from registration, and all acute care hospitals in Norway must have one of these medicines available, preferably artesunate.

    Blood exchange transfusion or erythrocytapheresis may be indicated for severe malaria, although efficacy has not been documented in randomised trials (16). The procedure entails a certain risk, and we support British guidelines that recommend considering this treatment if the patient has > 30 % parasitaemia, or > 10 % parasitaemia in addition to organ dysfunction (17, 18), particularly if the patient is being treated with quinine. Because of artesunate’s rapid parasiticidal action, exchange transfusion will be less indicated when this drug is being used even in cases of high parasitaemia.

    Uncomplicated falciparum malaria

    Uncomplicated falciparum malaria

    Patients with P. falciparum parasitaemia < 2 % without organ dysfunction can be treated with oral drugs (Tables 1 and 2) as long as the patient does not vomit, but must be closely monitored due to the risk of exacerbation (3).

    Artemisinin combination therapy (ACT) is now widespread as the first choice of treatment of uncomplicated falciparum malaria worldwide, because of the rapid and potent effect, low resistance and limited side effects (7, 18) – (22). In Norway, ACT, for example artemether-lumafantrine or dihydroartemisinin-piperaquine (14), must be procured with exemption from registration. But if it is available, the drug will be the first choice for oral treatment of uncomplicated falciparum malaria for many also in Norway because of its rapid action in reducing parasite burden.

    Proguanil-atovaquone and mefloquine are effective alternatives (18, 23), but both are slower-acting than ACT. Given a choice, proguanil-atovaquone is to be preferred, because mefloquine causes troublesome neurotoxic side effects in some patients (18, 24). The second author has not experienced significant side-effect problems at the Department of Infectious Diseases at Oslo University Hospital, Ullevål, which treats about half of the malaria patients in Norway.

    Patients have occasionally used prophylaxis and still contracted malaria, and then a different medicine should be used for treatment from the one that was administered as a prophylactic.

    Proguanil-atovaquone should be chosen if the patient was infected in the area where Thailand borders on Myanmar and Cambodia, as widespread resistance to mefloquine has been reported there (25), and likewise in Western Cambodia, where there are some reports of resistance to artemisinin (26).

    Chloroquine should never be used for treating falciparum malaria, regardless of the place of infection, because of widespread resistance to chloroquine.

    Falciparum malaria in pregnancy

    Falciparum malaria in pregnancy

    Pregnant women with falciparum malaria are particularly susceptible to severe manifestations, particularly pulmonary oedema, hypoglycaemia and cerebral malaria. Because it is not clear whether medicines used for malaria can harm the fetus, the risk of a fatal outcome in mothers must be weighed up against the risk of medicines harming the fetus. According to WHO, quinine and clindamycin are the only appropriate medicines for falciparum malaria that can be safely used throughout pregnancy (7). Artemisinin derivates and ACT have not been found to have a harmful effect on the fetus (27) – (29), but WHO is urging that more studies be conducted on the administration of the medicines in early pregnancy.

    Severe malaria must be treated without delay in pregnant as well as non-pregnant women with parenteral medicines, artesunate or quinine (7). Artesunates should also be the first choice for pregnant women, although there is some uncertainty at present associated with safety in the first trimester (7, 28, 29). As therapy following intravenous treatment with artesunate (or quinine), we would give artemether-lumefantrine, which is the ACT of which there is most experience in the treatment of pregnant women (27), or mefloquine in the second and third trimesters.

    For uncomplicated falciparum malaria, WHO recommends oral treatment with quinine combined with clindamycin for seven days in the first trimester, but indicates artemether-lumefantrine as an alternative (7). In the second and third trimesters, artemether-lumefantrine is recommended for reasons of both effectiveness and safety (7, 27). As quinine can cause troublesome side effects in the form of cinchonism, and oral quinine is seldom available at Norwegian hospitals, we would give artemether-lumefantrine throughout pregnancy in the case of uncomplicated falciparum malaria, alternatively mefloquine in the second and third trimester.

    Other plasmodia

    Other plasmodia

    In recent years, only 5 – 10 cases annually of infection with plasmodia other than P. falciparum have been reported to MSIS (1). Most of them are due to P. vivax, which is the most common malaria parasite outside Africa. Infections with P. ovale and P. malariae are very rare in Norway, and we have not yet had a single imported case of P. knowlesi.

    Treatment of infections with plasmodia other than P. falciparum is fairly straightforward as a rule. The patients do not usually present severe clinical symptoms, except in the case of P. knowlesi infection, and in very rare cases of P. vivax malaria.

    Patients can often receive ambulant treatment with oral drugs. Chloroquine is still the main drug used for treatment, and resistance to chloroquine is as yet a limited problem.

    Plasmodium vivax

    Plasmodium vivax

    Most of the P. vivax patients seen in Norway have acquired their infection in Asia. The standard treatment is chloroquine. Since the deregistration of chloroquine phosphate tablets in 2009, hydroxychloroquine is the only registered chloroquine drug (Table 1).

    Chloroquine-resistant P. vivax is widespread in Oceania, Indonesia and Peru, and P. vivax patients should therefore be treated with mefloquine, proguanil-atovaquone or an ACT drug, for example artemether-lumefantrine (30).

    Treating vivax malaria also entails treating parasites in the liver (hypnozoites), which are not affected by chloroquine. It is necessary to eliminate the hypnozoites with primaquine to prevent relapse. The standard treatment of vivax malaria is therefore hydroxychloroquine plus primaquine.

    The standard dosage of primaquine is 15 mg daily for 14 days. However, patients from some areas of Oceania and South-East Asia have been found to suffer relapses after completing 14 days of primaquine treatment. Patients from these areas should therefore be given a higher dose (Table 1) (7).

    Primaquine can cause haemolytic anaemia in persons who have glucose-6-phosphate-dehydrogenase (G6PD) deficiency. The prevalence of the deficiency varies considerably around the world, and is highest in Africa, the Middle East and South-East Asia. The prevalence in Norway is very low, but as a result of emigration from high-endemic areas, there is G6PD deficiency in some population groups. We recommend that persons with a genetic background from areas with a high prevalence of G6PD deficiency be tested before primaquine is administered. Primaquine must not be given to pregnant women.

    P. vivax, which normally causes moderate disease, may occasionally and for unknown reasons result in very severe clinical manifestations with cerebral affection, anaemia, icterus, severe thrombocytopaenia etc. (30) – (32). Patients with severe vivax malaria should be given the same treatment as for severe and complicated falciparum infection (7). In addition primaquine should be administered.

    Plasmodium ovale

    Plasmodium ovale

    P. ovale is sensitive to chloroquine, irrespective of where the infection is acquired (7, 33). Hydroxychloroquine is therefore used for treatment, and since P. ovale, like P. vivax, forms hypnozoites, the patients must also take primaquine for 14 days (7). There have been no reports of P. ovale having reduced sensitivity to either chloroquine or primaquine (7).

    Plasmodium malariae

    Plasmodium malariae

    P. malariae malaria is treated with hydroxychloroquine (Table 1) since there has so far only been a single reported case of chloroquine–resistant P. malariae in Sumatra, Indonesia (7, 34). P. malariae does not form hypnozoites, and the patient therefore does not need primaquine treatment.

    Plasmodium knowlesi

    Plasmodium knowlesi

    At present there are no international guidelines for treating knowlesi malaria. A recent report from Malaysia showed that peroral chloroquine and quinine were effective in uncomplicated cases, but that patients became parasite-free more rapidly with ACT, and in cases of severe knowlesi malaria, artesunate killed the parasites faster than quinine (35).

    Rapid killing of parasites is important because P. knowlesi have a short life cycle (24 hours), and in the course of a few days patients can develop extensive parasitaemia and clinical and laboratory signs of severe disease. In such patients, the disease must be treated like a severe P. falciparum infection and parenteral treatment with artesunate or quinine must be administered immediately (35) – (37).

    Treatment when the species diagnosis has not been made

    Treatment when the species diagnosis has not been made

    With the aid of microscopy and/or rapid tests, plus information elicited from the patient and clinical observation, it is possible as a rule to determine with a fair amount of certainty which plasmodium species the patient is infected with. With low parasitaemia it can occasionally be difficult, however. What treatment does one administer then?

    As a rule it is not possible to exclude infection with P. falciparum with certainty, particularly when it comes to patients from Africa, and treatment that is effective against P. falciparum must be chosen (Table 1).

    Whether the patient should get primaquine treatment must be decided in each individual case.

    Treating double infections

    Treating double infections

    Double infection, i.e. concurrent infection with two different plasmodia, is reported to be common in endemic areas (7). If double infection is suspected, the patient should be given effective treatment for a possible P. falciparum infection. Falciparum drugs will be effective against all species, but will not eliminate hypnozoites. If it is concluded that the patient is infected with P. vivax or P. ovale, it is therefore necessary to supplement with primaquine.

    Comments  ( 0 )
    PDF
    Print

    Recent Articles