Vestibularisschwannom – diagnostikk og behandling

    ()

    sporsmal_grey_rgb
    Abstract

    Vestibular schwannoma is a benign tumour originating from Schwann cells in the vestibular nerve. Each year, up to 250 patients in Norway are diagnosed with the condition. Treatment options are surgery, gamma knife radiosurgery or observation. The best treatment modality remains a topic of debate, and there are few high-quality comparative studies. With the ageing population and increasing access to MRI scans, the number of patients diagnosed with vestibular schwannoma is expected to rise. This clinical review article focuses on the diagnosis and treatment of vestibular schwannoma.

    Artikkel

    Vestibularisschwannom er en godartet svulst som utgår fra schwannske celler i balansenerven. Hvert år får opp mot 250 pasienter denne diagnosen i Norge. Behandlingsalternativene er operasjon, strålekniv eller observasjon. Det er omdiskutert hvilken behandlingsmåte som er best, og det er få gode komparative studier. Med en aldrende befolkning og økt tilgang på MR-undersøkelser forventes antallet diagnostiserte vestibularisschwannom å stige. I denne artikkelen gir vi en oversikt over diagnostikk og behandling av pasienter med vestibularisschwannom.

    Vestibularisschwannom, tidligere kalt akustikusnevrinom, er en godartet svulst som utgår fra schwannske celler i balansenerven (del av nervus vestibulocochlearis). Svulsten utgjør omtrent 80 % av alle svulster i den cerebellopontine vinkelen. Det er uvisst hvorfor balansenerven er mer utsatt enn andre hjernenerver for å utvikle schwannomer, og man har ikke i store studier klart å påvise ytre årsaker til svulstutvikling (1, 2). Over 95 % av pasientene har ensidige svulster uten sikker arvelighet, og de fleste svulstene har mutasjoner i NF2-genet eller gener forbundet med NF2 (3). Pasienter med klassisk nevrofibromatose type 2 har bilaterale vestibularisschwannomer som en del av sykdomsbildet, men dette omtales ikke videre i denne artikkelen. Insidensen av vestibularisschwannom er omkring 3–5 per 100 000 personår (2), men opp mot fem ganger høyere blant individer over 70 år (4). Over de siste 40 årene har gjennomsnittlig diameter på nydiagnostiserte vestibularisschwannomer minket fra 2,8 cm til 0,7 cm, og pasientenes gjennomsnittsalder har økt fra 49 år til 60 år (5). Ingen studier har vist redusert overlevelse sammenlignet med normalbefolkningen, men svulsten kan medføre betydelige kroniske plager og nedsatt livskvalitet (6).

    Nasjonal behandlingstjeneste for vestibularisschwannom har siden 2012 vært på Haukeland universitetssjukehus. Tjenesten er tverrfaglig og skal sikre et bredt og likeverdig tilbud om medisinsk oppfølging til alle med vestibularisschwannom i Norge. I 2023 ble 497 pasienter henvist for vurdering, hvorav 236 var nydiagnostiserte (7). Over de siste fem årene har antallet nydiagnostiserte vært relativt stabilt, mens antallet kontrollpasienter har økt.

    Formålet med denne artikkelen er å gi en oversikt over de tilgjengelige behandlingsmulighetene og evidensgrunnlaget for disse. Artikkelen er basert på et skjønnsmessig utvalg av litteratur og forfatternes kliniske erfaringer. Flere av forfatterne er tilknyttet Nasjonal behandlingstjeneste for vestibularisschwannom. Det henvises ellers til behandlingstjenestens nettside for informasjon, herunder henvisningsrutiner (8).

    Symptomer og diagnostikk

    Symptomer og diagnostikk

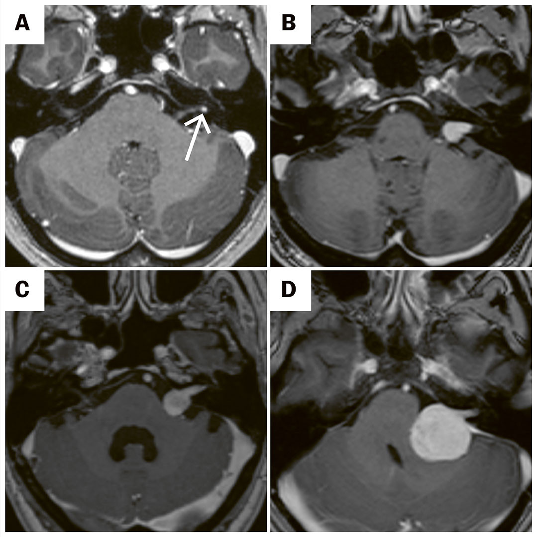
    Vestibularisschwannom er i de fleste tilfeller en saktevoksende svulst (9). De typiske symptomene er ensidig hørselstap, øresus, svimmelhet og balansevansker, som kan relateres til den omliggende anatomien (figur 1) (2). Større svulster kan presse på hjernestammen og lillehjernen og føre til trigeminusnevralgi, ataksi og hydrocefalus. Symptomer fra nervus facialis er sjeldne, selv om denne forløper tett inntil svulsten. Det er verdt å merke seg at det kan være dårlig sammenheng mellom symptomene og svulstens størrelse eller veksthastighet. Små eller langsomtvoksende svulster kan gi like plagsomme symptomer som store eller hurtigvoksende (2, 10).

    Pasienter med ensidig hørselstap som ikke kan forklares av annen årsak, skal utredes med MR av hodet. Typiske funn ved MR regnes som diagnostisk, og biopsi er ikke nødvendig for å stille diagnosen. Svulstens størrelse og påvirkning av omliggende nervevev graderes ut fra Koos' klassifikasjon, som går fra 1 (svulst utelukkende i indre øregang) til 4 (svulst som gir kompresjon av hjernestammen) (11) (figur 2). Størrelsen på svulsten blir vanligvis angitt etter måling av én eller flere diametere på MR-bildene. I senere år har man i økende grad benyttet volumetri for å bedre vurdere vekstmønsteret (12).

    Behandling

    Behandling

    Store svulster (over 2,5–3 cm i største aksiale diameter) som gir trykk på hjernestammen og lillehjernen, blir som regel behandlet kirurgisk. For små og mellomstore svulster er internasjonal behandlingspraksis mer variabel. Ettersom flere svulster blir oppdaget når de er små, og erfaringen med strålekniv og observasjon er god, har det vært en global trend mot at færre opereres (13). I 2023 ble 80 pasienter stråleknivbehandlet og 23 pasienter operert i Norge (7). Over mange år har antallet operasjoner vært stabilt. Antallet stråleknivbehandlinger er imidlertid redusert på grunn av strengere indikasjon for behandling av små og mellomstore svulster som viser vekst (14).

    Mange pasienter utvikler kroniske symptomer som hørselstap, svimmelhet/ubalanse eller utmattelse som bidrar til redusert livskvalitet, og dette er i stor grad uavhengig av behandling (2, 15). Det er derfor viktig med et tverrfaglig behandlingstilbud, og alle aktuelle pasienter får tilbud om samtale med sykepleier/koordinator, balansetrening med fysioterapeut (vestibulær rehabilitering) og hørselshjelpemidler (høreapparat/cochleaimplantat). Det kan være utfordrende å bruke høreapparat, og ved behov tilbys vurdering hos erfaren audiograf. Videre oppfølging av hørselshjelpemidler og balansetrening vil vanligvis foregå på hjemstedet. Lærings- og mestringskurs til pasienter og pårørende arrangeres flere ganger per år.

    Observasjon

    Observasjon

    Den vanligste behandlingsstrategien i Norge for små og mellomstore svulster (Koos' grad 1–2) er å vente og følge opp med regelmessige MR-undersøkelser for å se om svulsten vokser (8). Bakgrunnen for dette er at noen svulster ikke vokser i det hele tatt eller til og med krymper (9, 16, 17). Det er imidlertid vanligst at svulstene vokser. En større kohortstudie viste at to av tre ubehandlete svulster vokste ved observasjon over to år (18). Svulstvekst vil ofte være indikasjon for behandling, men vekstmønsteret kan variere. En svulst som viser vekst på én kontroll, kan ha uendret størrelse på neste (14).

    Mange pasienter med vestibularisschwannom har dårlig hørsel, og det er da sannsynlig at hørselen vil gradvis forverre seg uavhengig av behandling (19). Blant pasienter med god hørsel som enten observeres eller behandles med strålekniv, vil imidlertid 50–60 % fortsatt ha god hørsel etter fem år (20, 21).

    Strålekniv

    Strålekniv

    Nasjonal behandlingstjeneste for gammakniv (strålekniv) er også lokalisert ved Haukeland universitetssjukehus (22). Ved denne behandlingen rettes 192 separate gammastråler, som hver har lav dose, mot svulsten. På grunn av summasjonseffekten blir den totale stråledosen mot svulsten høy, samtidig som stråledosen til omliggende vev blir lav. Hensikten med stråleknivbehandling av vestibularisschwannom er å bremse fremtidig vekst. Svulsten kan på sikt også krympe, men den forsvinner sjelden helt.

    Strålekniv brukes både som primærbehandling og som tilleggsbehandling av rest- eller residivsvulst etter operasjon (23). Det er først og fremst små og mellomstore svulster (Koos' grad 1–2) som er aktuelle for strålekniv, og over 90 % av pasientene oppnår vekstkontroll (24). Dette er en godt tolerert og lite belastende behandling, og den kan derfor også vurderes ved større svulster (Koos' grad 3–4) hos for eksempel eldre eller pasienter med omfattende komorbiditet. Vekstkontrollraten er imidlertid dårligere ved de større svulstene (25).

    De første 2–3 årene etter stråleknivbehandling er det vanlig å se en forbigående volumøkning i svulsten på grunn av behandlingsrespons (bl.a. ødem) (26). Noe volumøkning i denne fasen leder derfor sjelden til ny behandling. Dersom det er vedvarende vekst, kan det derimot være indikasjon for rebehandling i form av enten strålekniv eller kirurgi (2).

    Som akutte komplikasjoner etter stråleknivbehandling er det ikke uvanlig med nyoppstått svimmelhet, gangforstyrrelser og/eller forverring av et allerede eksisterende hørselstap, men med unntak av hørselstapet er plagene oftest forbigående (27). På lengre sikt er symptomene før og etter stråleknivbehandling sammenlignbare (6), med unntak av hørselen. Det er ikke vist en høyere forekomst av malign transformasjon etter stråleknivbehandling (28).

    For pasienter med små og mellomstore vestibularisschwannomer ble det nylig vist i en randomisert studie at stråleknivbehandling ga en signifikant reduksjon i svulstvolum sammenlignet med observasjon. Likevel var resultatene like for hørselstap, vestibulær funksjon og livskvalitet (16).

    Kirurgi

    Kirurgi

    Kirurgisk behandling er først og fremst aktuelt for store svulster (Koos' grad 3–4), og gjennomsnittsstørrelsen på svulster som opereres i Norge er omtrent 3 cm (7). Operasjon av små og mellomstore svulster er imidlertid en mulighet for selekterte pasienter, og dette har blitt ytterligere aktualisert de senere årene av mer avansert nevrofysiologisk monitorering (29, 30). Sanntidsovervåkning av hørsels- og ansiktsfunksjon har blitt viktige verktøy som i større grad muliggjør hørselsbevaring og god facialisfunksjon (enn mer tradisjonelle monitoreringssystemer). På verdensbasis praktiseres ulike indikasjoner for kirurgi, forskjellige kirurgiske teknikker, og det finnes varierende tilbud med overvåkning av nervefunksjon under operasjonen.

    Den kirurgiske behandlingen er teknisk krevende og kan innebære komplikasjoner som lekkasje av cerebrospinalvæske, ødem, blødning, infeksjoner samt facialisskader og andre hjernenerveskader (2). I Norge gjøres alle operasjoner av to kirurger som sitter mot hverandre (firehåndsteknikk) og med avansert nevrofysiologisk monitorering (31, 32). Rutinemessig bruk av disse metodene det siste tiåret har bidratt til gode operasjonsresultater i internasjonal målestokk, med facialisparese hos under 10 % av pasientene og ellers få varige men (7). For pasienter med alvorlig facialisparese kan det være aktuelt med operasjon med nerveanastomose. De fleste pasienter med store svulster har dårlig hørsel og vil miste hørselen ved operasjon (33).

    Ved fullstendig kirurgisk fjerning er risikoen for svulstresidiv svært lav (2). I de senere årene har man derimot i større grad begynt å vektlegge nevrologisk funksjon og livskvalitet fremfor total svulstfjerning. Ved restsvulst etter en operasjon er det usikkert om denne vil vokse videre, forholde seg stasjonær eller i beste fall krympe. Sannsynligheten for vekst øker med størrelsen av restsvulsten (34), men både restvolumet og svulstens vekstmønster er viktig å vurdere med tanke på videre oppfølging. Det å være noe avventende i forhold til tidlig stråleknivbehandling av restsvulst hos selekterte pasienter, er ikke vist å utgjøre noen forskjell på kontroll av veksten (23).

    Avsluttende betraktninger

    Avsluttende betraktninger

    Vestibularisschwannom er en relativt sjelden diagnose, men forekomsten er økende på grunn av en aldrende befolkning og økende bruk av MR-undersøkelser. Observasjon med jevnlige MR-kontroller er den vanligste tilnærmingen ved små svulster, mens strålekniv og operasjon er aktuelt ved voksende eller større svulster. Pasientene kan ha et bredt spekter av plager fra svulsten, og en tverrfaglig tilnærming med god informasjon er viktig. Pasienter som får påvist vestibularisschwannom, skal henvises til den nasjonale behandlingstjenesten for vurdering av videre behandling og oppfølging (8).

    Artikkelen er fagfellevurdert.

    Kommentarer  ( 0 )
    PDF
    Skriv ut
    Kommenter artikkel

    Anbefalte artikler