Kolloidcyster i tredje hjerneventrikkel

    ()

    sporsmal_grey_rgb
    Abstract

    Third ventricle colloid cysts are benign lesions that can result in obstructive hydrocephalus with accompanying headache and loss of consciousness. In rare cases, colloid cysts can cause sudden, unexpected death. Colloid cysts are most often discovered as an incidental finding on CT or MRI of the head, without the patient having clinical signs of hydrocephalus.

    Artikkel

    Kolloidcyster i tredje hjerneventrikkel er godartede lesjoner som kan gi obstruktiv hydrocefalus med ledsagende hodepine og påvirket bevissthet. I sjeldne tilfeller kan slike cyster forårsake brå, uventet død. Kolloidcyster oppdages hyppigst som et tilfeldig funn etter gjennomført CT og MR av hodet uten at pasienten har kliniske tegn på hydrocefalus.

    Normal transport av hjernevæske forutsetter kommunikasjon mellom hjernens åpne væskefylte rom (ventriklene). Passasjehinder i ventriklene kan resultere i obstruktiv hydrocefalus, som kan gi et alvorlig klinisk bilde med hodepine, kvalme og brekninger og etter hvert redusert bevissthet. I slike tilfeller er drenasje av ventrikkelsystemet påkrevd, da hjernetrykket ellers kan bli kritisk høyt og medføre opphør av blodsirkulasjon til hjernen (hjernetamponade) og dødelig utgang.

    En av flere kjente tilstander som kan gi obstruktiv hydrocefalus er kolloidcyste i tredje hjerneventrikkel. Dette er en histopatologisk godartet cyste som kan behandles kirurgisk med godt resultat.

    Formålet med denne artikkelen er å gi en oversikt over utredning og behandling av pasienter med kolloidcyster. Artikkelen er basert på utvalgt litteratur fra ikke-systematiske søk i PubMed og forfatternes kliniske erfaring.

    Epidemiologi

    Epidemiologi

    Det er få studier på forekomsten av kolloidcyster. I en populasjonsbasert studie fra Finland fant man en insidens på 3,2/1 000 000. I denne studien utgjorde kolloidcyster 2 % av alle intrakraniale svulster som ble operert (1). Gjennomsnittsalderen var 45 år, og 53 % var kvinner. I en norsk studie som inkluderte 32 pasienter operert for kolloidcyster i perioden 2002–15, fant man en noe lavere forekomst. Der var den estimerte insidensen for symptomgivende kolloidcyster 0,9/1 000 000, og kolloidcyster utgjorde 0,5 % av alle opererte intrakraniale svulster (2). Det var flere kvinner (59 %) i det norske materialet, og høyest forekomst ble funnet i aldersgruppen 31–40 år (47 %). Prevalensen av kolloidcyster i ikke-selekterte grupper som undersøkes med MR av hjernen, er 0,04 % (95 % KI 0,01 til 0,07) (3). Årlig gjøres 113 000 MR caput i Norge (4). Uten å justere for at en del av disse er kun for kontroll, vil man derfor anta at det oppdages 30–50 pasienter med kolloidcyster årlig i Norge.

    Patofysiologi

    Patofysiologi

    Kolloidcyster er sfæriske strukturer som består av ett lag epitel omgitt av en tynn kollagenkapsel med et mucinøst innhold. Kolloidcyster er vanligvis festet i taket av tredje hjerneventrikkel og ligger an mot fornix-kolonnene oppad, hypotalamus nedad, vena cerebri interna posteriort og de interventrikulære foramina lateralt (foramina of Monro). Kolloidcyster kan gi forbigående eller vedvarende kommunikasjonshinder mellom sideventriklene og tredje hjerneventrikkel, som så kan resultere i obstruktiv hydrocefalus. Uten behandling kan det medføre trykksymptomer som kraftig hodepine, kvalme, brekninger og etter hvert redusert bevissthet. I verste fall kan hjernetrykket bli kritisk høyt og resultere i opphørt blodsirkulasjon til hjernen.

    Klinisk presentasjon

    Klinisk presentasjon

    Det er vanlig å skille mellom symptomgivende og tilfeldig påviste kolloidcyster. I en studie av 163 pasienter med både symptomgivende og tilfeldig påviste kolloidcyster var de vanligste symptomene ved kolloidcyster hodepine (89 %), kvalme og oppkast (23 %), synsforandringer (22 %), svimmelhet og ataksi (20 %) og kognitiv endring (14 %). For tilfeldig påviste kolloidcyster var det følgende fordeling: hodepine (25 %), kvalme og oppkast (5 %), synsforandringer (2 %), svimmelhet og ataksi (6 %) og kognitiv endring (11 %) (5). I gruppen med tilfeldig påviste kolloidcyster var de hyppigste indikasjonene for CT eller MR utredning i forbindelse med traume (28 %), uspesifikk hodepine (25 %), akutte og kroniske nevrologiske tilstander (20 %) og metabolsk encefalopati (12 %).

    Kolloidcyster kan medføre bevisstløshet og uventet, brå død dersom behandlingen forsinkes. Et systematisk søk på fatale kolloidcyster identifiserte 107 rapporterte tilfeller, en gjennomsnittsalder på 28,5 år, lik fordeling mellom kjønnene og symptomvarighet på 3,3 dager (6). De rapporterte symptomene i studien var typiske for hydrocefalus med hodepine (80 %), kvalme og oppkast (55 %) og bevissthetstap (20 %). Flertallet av pasientene hadde symptomer over 24 timer, slik at det potensielt kunne vært mulig å avlaste hydrocefalus og redde disse pasientene.

    Utredning

    Utredning

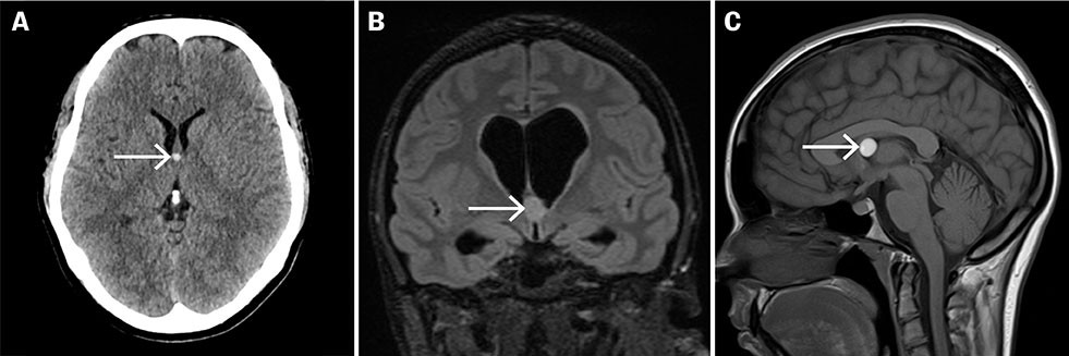
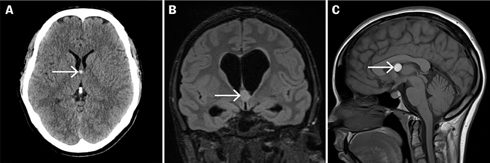
    CT av hjernen med standardsekvenser uten kontrast viser kolloidcyster som en velavgrenset, rundlig, hyperdens lesjon i midtlinjen i tett kontakt med de interventrikulære foramina (figur 1a) (7). Dersom kolloidcystene blokkerer sideventriklene vil man kunne se biventrikulær hydrocefalus og utvisket kortikalt relieff som uttrykk for økt intrakranialt trykk (figur 1b). På MR-undersøkelse av hjernen vil kolloidcyster i to tredjedeler av tilfellene ha et hyperintenst T1-signal, mens T2-signalet ofte er isointenst med omliggende hjerneparenkym (6). Kolloidcyster som er i ferd med å øke i størrelse, har høyere vanninnhold, og i så fall vil de være hypointense på T1-vektede serier og hyperintense på T2-vektede serier (8). Slike funn kan vektlegges når man vurderer videre observasjon eller kirurgi for pasienter med få eller ingen symptomer.

    Behandling

    Behandling

    Symptomgivende kolloidcyster

    Symptomgivende kolloidcyster

    Symptomgivende kolloidcyster har som regel ledsagende hydrocefalus og behøver operativ behandling for å etablere fri flyt av cerebrospinalvæske mellom sideventriklene og tredje hjerneventrikkel. Ved påvist symptomgivende kolloidcyster skal nevrokirurgisk avdeling kontaktes omgående. På nevrokirurgisk avdeling avlastes obstruktiv hydrocefalus med drenasje av begge sideventriklene som øyeblikkelig hjelp. Dersom nevrokirurg med erfaring med denne typen inngrep er tilgjengelig, kan kolloidcyster fjernes direkte uten dreninnleggelse, så lenge avlastning av hydrocefalus ikke forsinkes.

    Tilfeldig påviste kolloidcyster

    Tilfeldig påviste kolloidcyster

    Pasienter som tilfeldig har fått påvist kolloidcyster uten å ha symptomer på hydrocefalus eller ventrikulomegali, bør henvises til nevrokirurgisk poliklinikk for klinisk vurdering, granskning av CT- og MR-bilder og etablering av plan for oppfølging. I en studie av 98 pasienter med tilfeldig påviste kolloidcyster gjennomgikk 57 pasienter repeterte radiologiske undersøkelser (5). Etter en gjennomsnittsoppfølging på 5,1 år var fem pasienter (8,8 %) operert på grunn av volumøkning i kolloidcystene. Ingen av pasientene som ble fulgt opp, utviklet akutt, obstruktiv hydrocefalus eller plutselig nevrologisk forverring.

    I nevnte artikkel (5) ble det foreslått en risikoskår for å avgjøre symptomatisk status og dermed bidra til å klargjøre behov for behandling. Risikoskåren beregnes basert på følgende kriterier: alder < 65 år, hodepine, aksial diameter ≥ 7 mm, MR caput FLAIR-hyperintensitet og risikosone (tabell 1). Risiko ved kolloidcyster knyttes til de anatomiske forholdene i tredje ventrikkel og om det er sannsynlig at kolloidcyster kan blokkere interventrikulær foramen eller akvedukten. For å bedømme denne risikoen benyttes sagittale MR-sekvenser. Dersom kolloidcystene er lokalisert i fremre eller bakre del av tredje ventrikkel, svarer dette til økt risiko og således ett poeng (figur 1c). Denne risikoskåren er validert i en senere studie (9) og er i tråd med en annen retrospektiv studie (10). Ved en risikoskår ≥ 4 poeng foreligger høy risiko og assosiasjon med obstruktiv hydrocefalus, og kirurgi anbefales. Dersom risikoskåren er ≤ 2, foreligger lav risiko. Man kan da avvente kirurgi og heller gjennomføre klinisk og radiologisk kontroll. En innvending mot risikoskåren er at den ikke vektlegger om det foreligger billedmessig hydrocefalus.

    Tabell 1

    Risikoskår for kolloidcyster (5). ≥ 4 poeng = høy risiko, 3 poeng = intermediær risiko, ≤ 2 poeng = lav risiko.

    Kriterium

    Poeng

    Alder < 65 år

    Ja

    1

    Nei

    0

    Hodepine

    Ja

    1

    Nei

    0

    Aksial diameter ≥ 7 mm

    Ja

    1

    Nei

    0

    MR caput FLAIR-hyperintensitet

    Ja

    1

    Nei

    0

    Risikosone

    Ja

    1

    Nei

    0

    Vårt syn er at en slik risikoskår basert på observasjonsdata kan benyttes med forsiktighet og være av en viss nytte for klinikere med liten erfaring med kolloidcyster eller som ledd i forskning på tilstanden. I praksis legger vi mest vekt på hodepineanamnesen sammen med radiologisk vurdering av tegn på obstruktiv hydrocefalus.

    Over hvor lang tid og hvor hyppig kontroller av tilfeldig påviste kolloidcyster skal gjennomføres, er ikke slått fast i vitenskapelige studier. Til støtte for en konservativ tilnærming foreligger det flere studier som viser at tilfeldig påviste kolloidcyster sjelden vokser (5, 9, 10). Det viktigste argumentet for kontroller er å avsløre om det tilkommer symptomer på hydrocefalus, lære pasientene at de må ta kontakt med lege dersom slike symptomer oppstår, samt bidra til at pasienter uten symptomer trygges i at operasjon ikke er nødvendig (11). Basert på vår erfaring anbefaler vi årlig MR og klinisk kontroll ett, tre og fem år etter diagnosen. Dersom man ved kontrollene konkluderer med at det er fravær av symptomer og radiologiske funn på hydrocefalus, bør som regel pasientene ikke opereres. Allerede ved første kontakt på poliklinikken er det viktig å gi lettfattelig muntlig og skriftlig informasjon til pasienten, de pårørende og fastlegen om kolloidcyster, hvorfor det er grunn til oppfølging og hvilke symptomer som gjør at man må ta umiddelbar kontakt med lege.

    Kirurgiske metoder

    Kirurgiske metoder

    For tilgang til tredje hjerneventrikkel kan man benytte kraniotomi og mikrokirurgiske prinsipper eller fullendoskopi (figur 2). Ved kraniotomi kan tilgang etableres transkortikalt via frontallappen på den siden sideventrikkelen er størst, eller i midtlinjen og gjennom corpus callosum. Begge tilgangene legges i forkant av og med god margin til de kortikospinale banene. Den transkortikale tilgangen medfører en kirurgisk korridor fra frontal korteks og via hvit substans til sideventrikkelen. Den transkallosale tilgangen er i midtlinjen langs falx med et vindu i corpus callosum. Ved endoskopi legges tilgangen tilsvarende transkortikal mikrokirurgi. Ved samtlige metoder anbefaler vi bruk av nevronavigasjon for å sikre optimal tilgang og redusere risiko for komplikasjoner (12, 13).

    I og med at endoskopi potensielt kan gi noe mindre vevstraume, har det vært knyttet forhåpninger til at denne metoden skal kunne overta for mikrokirurgi (14, 15). I en metaanalyse der man sammenlignet 1 741 pasienter operert mikrokirurgisk med 1 402 operert endoskopisk, kunne man ikke entydig trekke konklusjon i favør av noen av metodene (16). Behandlingens hovedmål, som er komplett fjerning av kolloidcystene og fravær av residiv, var i favør av mikrokirurgi, mens uønskede hendelser som behov for ventrikuloperitoneal shunt og andre komplikasjoner var i favør av endoskopi. Samlet var komplikasjonsraten ved mikrokirurgi og endoskopi henholdsvis 21 % og 10 %. I et annet materiale der mikrokirurgi ble sammenlignet med endoskopi, var mikrokirugi assosiert med økt komplett fjerning av kolloidcystene og færre reoperasjoner (17). I og med at symptomgivende kolloidcyster skal håndteres akutt, og at det er få tilfeller per år i Norge, anbefaler vi at de nevrokirurgiske avdelingene holder seg til én og samme metode og i utgangspunktet den tilgangen man har mest erfaring med.

    Oppsummering

    Oppsummering

    Kolloidcyster i tredje hjerneventrikkel avdekkes enten ved akutt sykdom med hodepine, kvalme, brekninger og obstruktiv hydrocefalus, eller som et tilfeldig funn på radiologiske undersøkelser av hjernen der pasienten har få eller ingen symptomer på hydrocefalus. Ved symptomer på hydrocefalus skal kolloidcyster håndteres akutt med overflytning til nevrokirurgisk avdeling for avklaring og kirurgi med åpning av passasjehinderet i sideventriklenes utløp. Dersom kolloidcyster er funnet tilfeldig, anbefaler vi henvisning til nevrokirurgisk avdeling for klinisk avklaring. Her kan risikoskåringsverktøy være til hjelp. Dersom den kliniske situasjonen tilsier kun kontrollopplegg, bør pasientene følges opp med årlig MR av hodet og klinisk undersøkelse i ett, tre og fem år før man avslutter kontrollene med god informasjon om å revurdere situasjonen dersom man skulle få symptomer på hydrocefalus i fremtiden.

    Artikkelen er fagfellevurdert.

    Kommentarer  ( 0 )
    PDF
    Skriv ut
    Kommenter artikkel

    Anbefalte artikler