Lymfeknuter er verken kjertler eller glandler

    ()

    sporsmal_grey_rgb
    Artikkel

    Lymfeknuter kalles av og til for kjertler eller glandler, men disse uttrykkene er foreldet og bør ikke brukes.

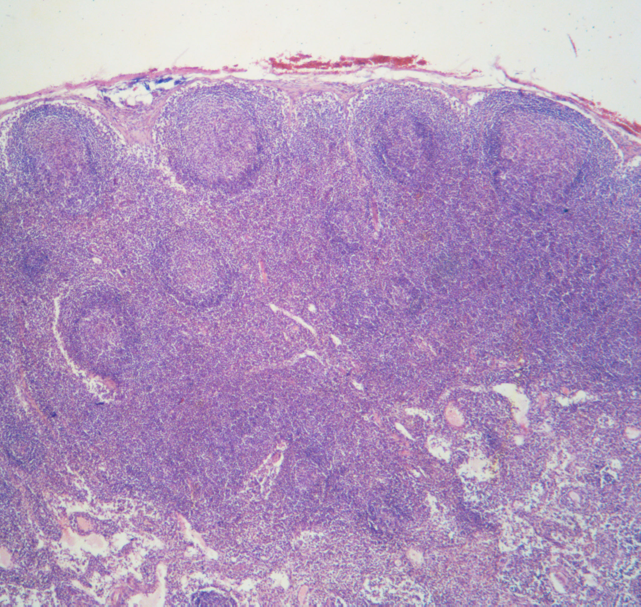
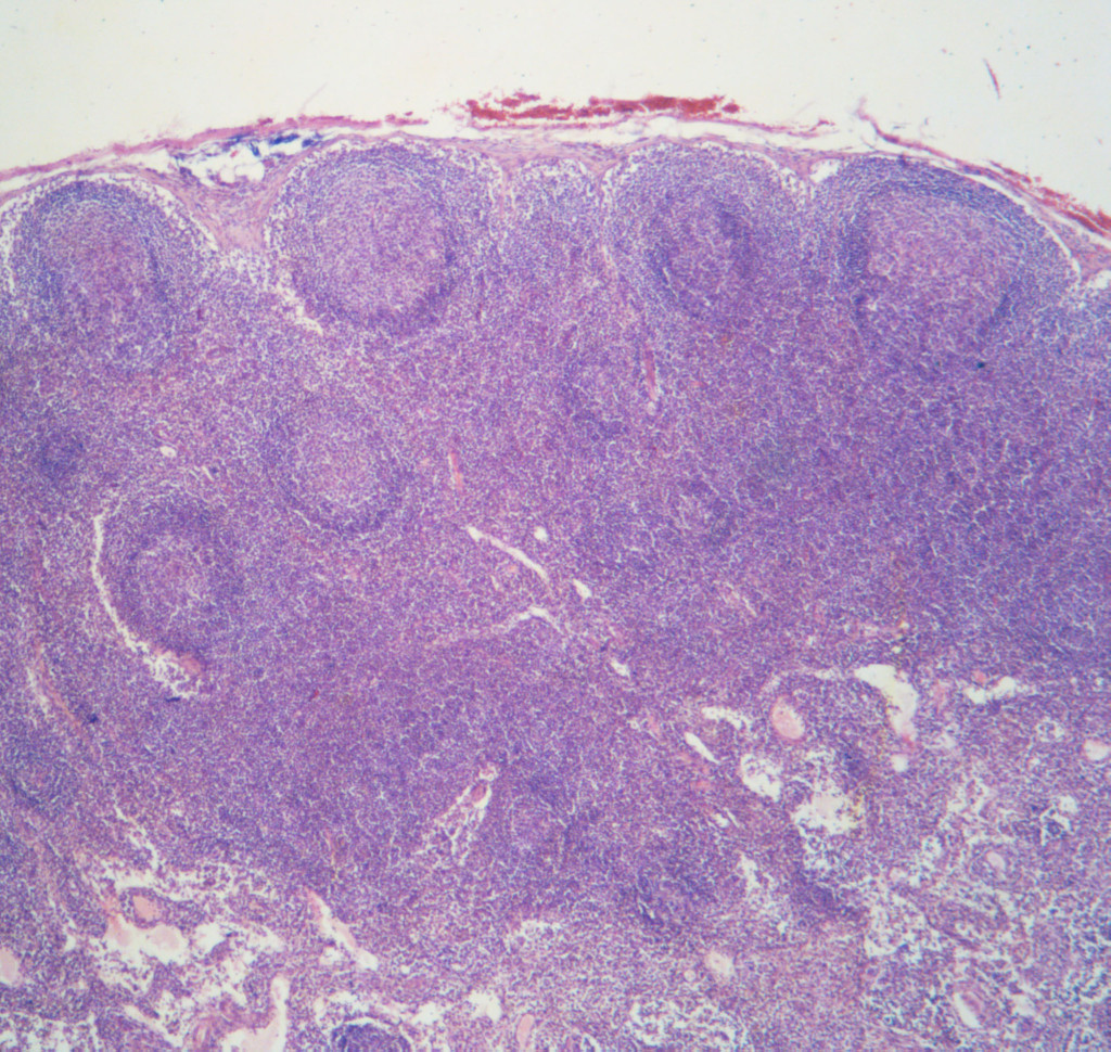
    Lymfeknute, utsnitt fra hematoksylin-eosin-farget preparat som fra toppen og nedover viser kapsel, cortex med follikler,…
    Lymfeknute, utsnitt fra hematoksylin-eosin-farget preparat som fra toppen og nedover viser kapsel, cortex med follikler, paracortex og medulla. Foto: E. Dissen

    Historisk har lymfeknuter blitt omtalt som lymfekjertler (1). I medisinen knytter vi imidlertid ordet kjertel til sekretoriske organer eller vevselementer. Lymfeknuter kan ikke sies å ha en sekretorisk funksjon. Det som skilles ut av signalstoffer eller cytokiner virker lokalt, enten autokrint eller parakrint. Termen lymfekjertel er derfor misvisende og bør avskaffes i norsk medisinsk nomenklatur.

    Allerede i en lærebok i anatomi fra 1927 står det at lymfekjertler er et «uheldig navn» for lymfeknuter (1). Likevel brukes termen av og til fortsatt.

    Glandel

    Glandel

    En annen betegnelse for lymfeknuter har vært lymfeglandler (1). Det stammer fra glandula, «liten glans», som på latin kan bety eikenøtt. Det hadde altså opprinnelig en morfologisk beskrivende rolle, og glandula har vært tatt inn i anatomien for å beskrive små, runde eikenøttlignende organer, mens glans er forbeholdt deler av penis og klitoris.

    Etymologisk er det altså ingen kobling mellom glandula og funksjonen sekresjon, og man kunne slik sett forsvare bruken av glandel om lymfeknuter. Knute er jo også langt på vei en morfologisk sammenligning, der node på engelsk (knutepunkt) ligger nærmere en korrekt anatomisk eller funksjonell beskrivelse. Lymfeknuten er funksjonelt et knutepunkt der lymfocytter, makrofager, antigen og dendrittiske celler møtes. Lymph node er dermed en litt riktigere beskrivelse enn lymfeknute, men det vil neppe være hensiktsmessig å innføre lymfeknutepunkt på norsk.

    I engelsk nomenklatur er det en nærmere kobling mellom gland og sekretorisk funksjon, og man kan fortsatt finne beskrivelser av lymphatic glands, men lymph nodes anses også på engelsk som mer korrekt (2).

    Også termen glandel bør derfor avskaffes i norsk medisinsk nomenklatur. Begrunnelsen er primært at det er upresist, ettersom det henviser til lymfatiske glandler, men kun som en forenkling, og oversatt fra engelsk kan mistolkes som kjertler i en bredere betydning. Sekundært at det, gitt innslag fra engelsk, feilaktig antyder en sekretorisk funksjon.

    Tilsvarende bør gamle betegnelser som Virchows kjertel og Sigmunds glandler omtales som Virchows lymfeknute og Sigmunds lymfeknuter (3, 4).

    Glandelsvulst

    Glandelsvulst

    Også termen glandelsvulst har lang tradisjon i norsk. Et søk i Nasjonalbibliotekets digitalbibliotek gir treff helt tilbake til 1860-årene, og et nettsøk viser at det fortsatt er i bruk, blant annet i en prioriteringsveileder fra Helsedirektoratet (5), på helsenorge.no (6) og i Legemiddelhåndboka (7). Men også denne ordbruken er uheldig. I Tidsskriftets ordliste har man helt siden 1993 frarådet å bruke ordet glandelsvulst (8, 9).

    Til ganske nylig ble imidlertid både medisinstudenter og ferske leger opplært i denne utdaterte ordbruken (10, 11). Mange av oss har lært den generelle pasientbeskrivelsen på rams: «Ingen ødemer, exanthemer, cyanose, icterus eller generell glandelsvulst» (10). I den nyeste utgaven av journalveilederen fra 2020 er glandelsvulst rettet til forstørrede lymfeknuter (12).

    Lymfadenitt

    Lymfadenitt

    Betennelse i lymfeknuter betegnes lymfadenitt. Dette har også røtter i omtalen av lymfeknuten som en kjertel (aden er en gresk parallell til glandula). Siden -itis kommer fra gresk, vil vanligvis det aktuelle organet også betegnes på gresk, slik som pankreatitt, dermatitt, hepatitt. Det er komplisert å erstatte lymfadenitt med en eventuell nydannet gresk ordkombinasjon. Termen er i utstrakt bruk i medisinen internasjonalt. Det fremstår derfor som fornuftig at den brukes som tidligere.

    Konklusjon

    Konklusjon

    Lymfeknuter har fra gammelt av gått under mange navn: kjertel, lymfekjertel, glandel og lymfeglandel. Disse er misvisende og bør ikke lenger brukes.

    Kommentarer  ( 0 )
    PDF
    Skriv ut

    Anbefalte artikler