Spontan øsofagusruptur

    ()

    sporsmal_grey_rgb
    Abstract

    Background

    Spontaneous rupture of the oesophagus is a potentially fatal condition. Symptoms can vary and diagnosis can be challenging.

    Case presentation

    A woman in her seventies presented to the emergency department with sudden-onset epigastric pain after a meal. A computed tomography (CT) showed signs of oesophageal rupture. Upper gastrointestinal endoscopy revealed an oesophageal rupture, and a stent was placed. The patient developed fever, dyspnoea and hypotension after the procedure. Additional CT revealed increasing pleural effusion, pneumomediastinum and loculaments of air in the peritoneum, and a mediastinal abscess. Laparoscopy with lavage and debridement was performed. A catheter was placed in the abscess and a chest tube in her right hemithorax. The stent was removed after 27 days. Further investigation revealed eosinophil oesophagitis as the likely cause of her oesophageal rupture.

    Interpretation

    This case highlights the importance of early diagnosis and proper treatment of spontaneous oesophageal rupture. Treatment depends on the cause of the rupture and severity of the patient's condition.

    Artikkel

    Spontan øsofagusruptur er potensielt livstruende og kan feiltolkes som hjerte-, lunge- eller annen gastrointestinal sykdom. Bildediagnostikk er ofte nødvendig for å stille diagnosen, og rask behandling er avgjørende for å unngå komplikasjoner.

    En tidligere frisk kvinne i 70-årene ble innlagt i akuttmottak ved lokalsykehus på grunn av akutte smerter i epigastriet etter matinntak. Hun anga en følelse av at mat satt fast i spiserøret. Smertene strålte mot venstre side av halsen og ble verre ved dyp inspirasjon. Hun var tungpustet, men hadde ikke kvalme eller oppkast. EKG og troponin T-nivå i serum var normale, og hun var respiratorisk og sirkulatorisk stabil.

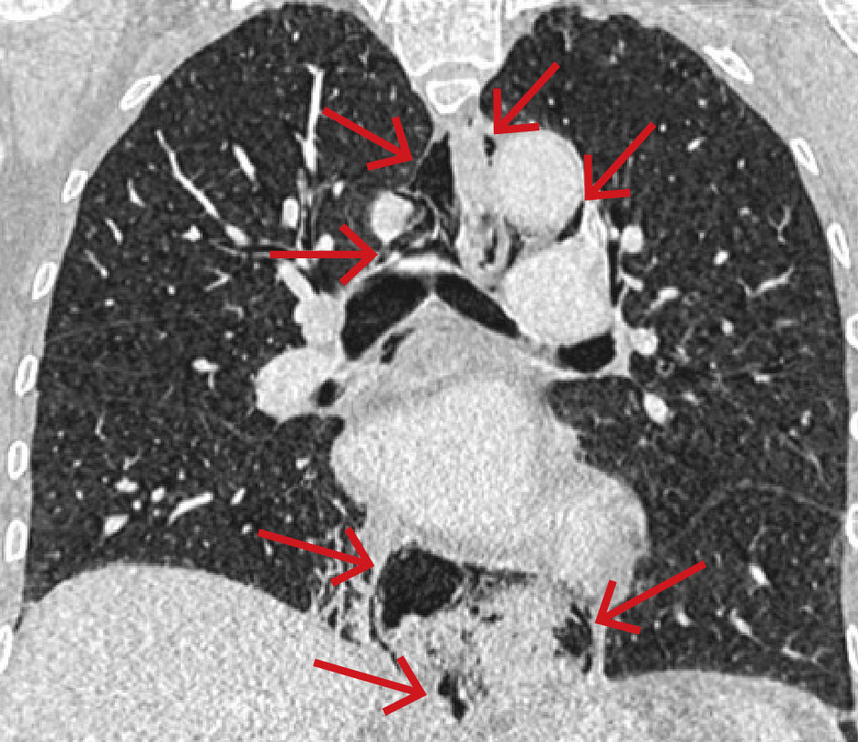
    På grunn av uavklarte smerter ble kvinnen undersøkt med CT toraks, abdomen og bekken med intravenøs kontrast. Undersøkelsen viste spredte små luftlokulamenter i bløtdeler på hals, i mediastinum, langs øsofagus og i øvre abdomen i tilslutning til cardia ventriculi (figur 1). Hun hadde også beskjedne mengder pleuravæske bilateralt og beskjedne fortetninger deklivt i høyre underlapp.

    Samlet ga funnene mistanke om ruptur av distale øsofagus, og hun ble samme dag overflyttet til universitetssykehus, der det ble gjort gastroskopi. Denne viste en vel 5 mm stor ikke-blødende perforasjon i øsofagus omtrent 40 cm fra tannrekken (figur 2). Perforasjonen ble behandlet med stent. Det ble ikke sett patologi i ventrikkel eller duodenum.

    Det påfølgende døgnet etter prosedyren fikk pasienten feber, økende tungpustethet og redusert allmenntilstand. Dette ble oppfattet som tegn på lekkasje av øsofagusinnhold til mediastinum og øvre abdomen. For å avklare forverringen med henblikk på utvikling av mediastinitt, ble det gjort ny akutt CT-undersøkelse med intravenøs kontrast. Denne viste økning av subkutant emfysem, pleuravæske, pneumomediastinum og luft i fettvevet i øvre abdomen. I tillegg var det tilkommet et 4,5 cm lokulament med luft og lavattenuerende innhold samt kontrastladende avgrensning forenlig med abscess i høyre mediastinum paraøsofagealt med tilgrensning til diafragma, pleura og perikard.

    Abscesshulen ble vurdert å være kirurgisk tilgjengelig via transhiatal tilgang. Pasienten ble derfor tatt til laparoskopisk skylling av peritoneum og mediastinum på diagnostisk og terapeutisk indikasjon. Alvorlig kontaminering fra øsofagus til mediastinum ble bekreftet peroperativt, og det ble etter skylling anlagt Blake-dren i abscesshulen samt dren i høyre pleurahule (størrelse 20 charrière). Under inngrepet var pasienten takykard, med behov for vasopressor (noradrenalininfusjon på 0,06–0,26 µg/kg/min) for å opprettholde adekvat blodtrykk.

    Postoperativt ble pasienten stabilisert sirkulatorisk med væskeinfusjon og vasopressor (noradrenalininfusjon på 0,02–0,20 µg/kg/min). På grunn av kontamineringen fikk hun behandling med antibiotika (piperacillin/tazobaktam intravenøst 4 g/0,5 g hver 6. time) og antimykotika (anidulafungin intravenøst 200 mg dag 1, deretter 100 mg daglig). Det ble gitt høydose protonpumpehemmer (esomeprazol intravenøst 40 mg hver 8. time) for å fremme tilheling av øsofagusrupturen. Pasienten ble holdt sedert og intubert i to døgn i intensivavdeling med nasogastrisk sonde.

    Tre døgn postoperativt ble hun overflyttet til sengepost og mobilisert. Etter 15 døgn i universitetssykehuset ble hun tilbakeført til lokalsykehus. Drenene ble seponert og stenten i øsofagus fjernet 12 dager senere. Røntgenundersøkelse av øsofagus med peroral kontrast var uten tegn til lekkasje. Biopsier fra midtre del av øsofagus tatt ved gastroskopi etter at stenten var fjernet, viste infiltrasjon av epitelet med eosinofile granulocytter. Funnet var forenlig med eosinofil øsofagitt, som var sannsynlig årsak til hennes spontane øsofagusruptur.

    Diskusjon

    Diskusjon

    Spontan øsofagusruptur forekommer sjelden, men er potensielt livstruende (1). Mortalitet er 4–80 % (1). Tilstanden kan feiltolkes som hjerte-, lunge- eller annen gastrointestinal sykdom, og bildediagnostikk er ofte nødvendig for å stille diagnosen (2). Riktig diagnose og rask behandling er avgjørende.

    Behandlingen kan være både endoskopisk og kirurgisk og må vurderes individuelt hos hver enkelt pasient på bakgrunn av alvorlighetsgrad (1, 2). Stent hindrer ytterligere lekkasje, men har ikke effekt på allerede begynnende abscedering. Drenasje og kirurgisk debridement må derfor alltid vurderes. De senere årene er endoskopiske teknikker i kombinasjon med ekstern drenasje tatt i bruk (3). Som hos vår pasient er det ofte behov for medisinsk og intensiv støttebehandling, inkludert hemodynamisk stabilisering (2). Eksterne dren seponeres når drenproduksjonen er lav og infeksjonen er under kontroll. Stenter fjernes endoskopisk etter 4–6 uker for å unngå komplikasjoner som stentmigrasjon, erosjoner og aortoenterisk fistel. Ved tilheling kan vanlig ernæring startes.

    Utredning for å finne bakenforliggende og utløsende årsaker gjøres sjelden i akuttfasen. Hos vår pasient ble det påvist en ikke-erkjent eosinofil øsofagitt. Andre utløsende årsaker inkluderer kreftsykdom, hiatushernie, stenose og motilitetsforstyrrelser. Behandlingsforløpet ved spontan øsofagusruptur kan bli langtrukket ved kontaminering med øsofagusinnhold til mediastinum og peritoneum, og langtidskomplikasjoner med mediastinitt, svelgvansker og stenoser i øsofagus er beskrevet (4).

    Pasienten har gitt samtykke til at artikkelen blir publisert.

    Artikkelen er fagfellevurdert.

    Kommentarer  ( 0 )
    PDF
    Skriv ut

    Anbefalte artikler