Alveolær ekinokokkose

    ()

    sporsmal_grey_rgb
    Artikkel

    Alveolær ekinokokkose er en fryktet parasittær zoonose som forårsakes av larvestadiet til revens dvergbendelmark, Echinococcus multilocularis. Fastlands-Norge er smittefritt, men alveolær ekinokokkose importeres en sjelden gang fra endemiske områder. Infiserte personer utvikler langsomtvoksende og multicystiske tumorer, som klinisk og radiologisk minner om malign sykdom. Sykdommen angriper i hovedsak leveren. Behandlingen består ofte av omfattende reseksjonskirurgi i kombinasjon med langvarig bruk av albendazol. I denne kliniske oversiktsartikkelen oppsummerer vi livssyklus, kliniske funn, diagnostikk, behandling og epidemiologi ved alveolær ekinokokkose, og eksemplifiserer sykdomsforløpet med to pasientkasuistikker.

    Ekinokokkoser er parasittære zoonoser som skyldes larvestadiet til dvergbendelmark, og som karakteriseres av langsomtvoksende cystiske lesjoner i infisert vev, hovedsakelig i lever. Ekinokokkose forekommer i to hovedformer: cystisk ekinokokkose, som forårsakes av hundens dvergbendelmark (Echinococcus granulosus), og som gir opphav til enkeltstående og etter hvert store cyster, samt alveolær ekinokokkose, som skyldes revens dvergbendelmark (E. multilocularis), og som utvikler konglomerat av småcyster og nekroser som radiologisk kan minne om maligne lesjoner.

    Ingen av sykdommene er endemiske på det norske fastlandet, men diagnostiseres av og til som importtilfeller. I en retrospektiv studie av 92 pasienter med ekinokokkose behandlet ved Oslo universitetssykehus i perioden 2000–20, hadde 90 pasienter cystisk ekinokokkose, mens to hadde alveolær ekinokokkose (1). Senere er ytterligere fire pasienter diagnostisert med alveolær ekinokokkose i Norge. Av de totalt seks norske tilfellene som ble påvist i perioden 2017–23, er fire ervervet i Litauen, ett i Polen og ett i Sør-Frankrike. Denne kliniske oversiktsartikkelen er basert på et ikke-systematisk litteratursøk samt forfatternes egne erfaringer. Sykdomsforløpet er eksemplifisert ved to pasientkasuistikker.

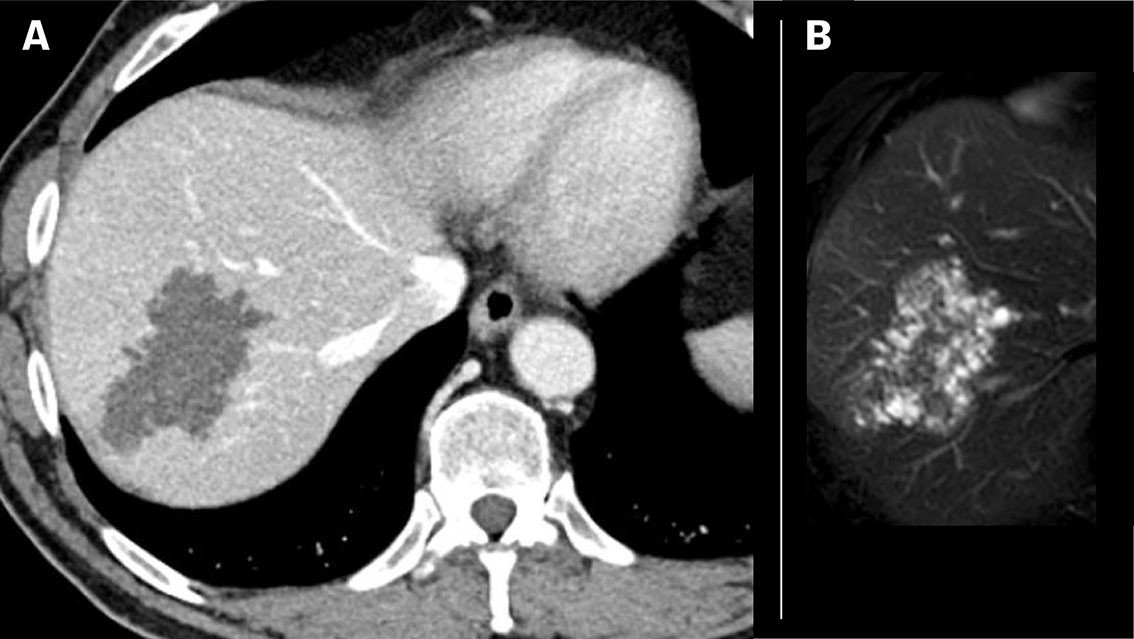
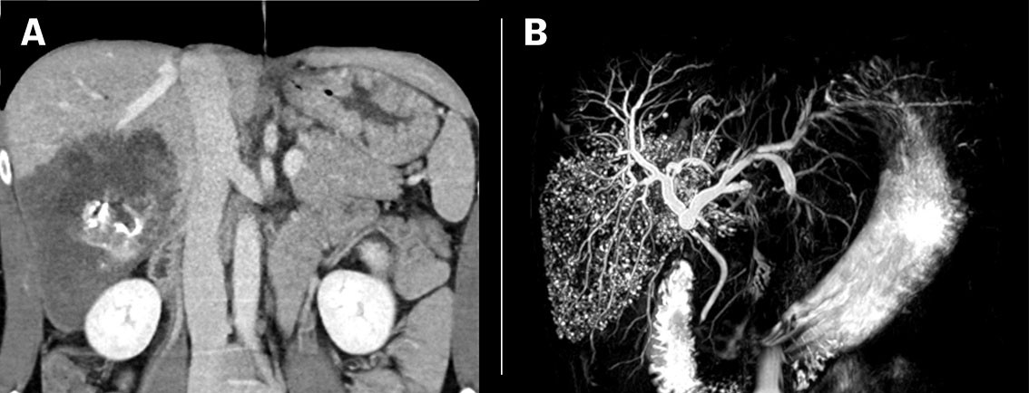
    Pasient 1: En mann i 30-årene fra Øst-Europa som hadde bodd flere år i Norge, utviklet ikterus og smerter under høyre kostalbue. CT abdomen avdekket en 13 cm stor uregelmessig lavattenuerende forandring med sentral nekrose og forkalkninger i leversegmenter 6 og 7, mens MRCP-undersøkelse viste at alle affiserte leversegmenter var gjennomsatt av små cyster (figur 1). Serologi påviste antistoffer mot E. multilocularis, og det ble startet behandling med albendazol per os. Han ble operert med en omfattende reseksjon av høyre lever. Makropatologi bekreftet en stor multilokulær cyste (figur 2), og histologisk undersøkelse påviste cyster med laminerte membraner, nekrose og fibrose. Radikaloperasjon var ikke teknisk mulig, og det var restforandringer omkring leverhilus og retroperitonealt. Pasienten er derfor forespeilet livslang behandling med albendazol.

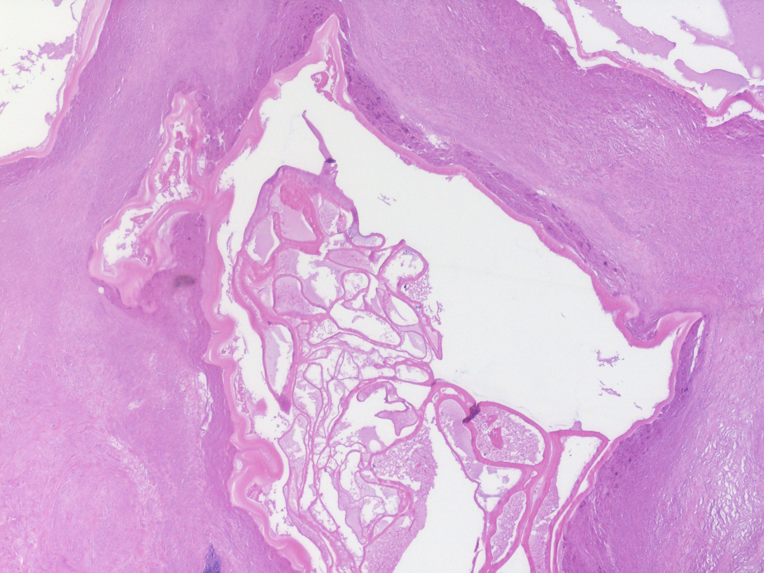
    Pasient 2: En mann i 60-årene fra Øst-Europa som har bodd i Norge i mange år, fikk under utredning av en nydiagnostisert tarmkreft påvist en 3 cm stor lobulær lesjon i leversegment 7 ved CT abdomen. Lesjonen ble oppfattet som hemangiom. Ved CT-kontroll ett år senere hadde lesjonen vokst til 6,5 cm, og man mistenkte først metastase, men MR-undersøkelse av leveren avdekket overraskende multiple små cyster (figur 3). Serologi påviste antistoffer mot E. multilocularis. Pasienten startet med albendazol og ble operert med høyresidig hemihepatektomi. Operasjonspreparatet inneholdt en stor multicystisk tumor (figur 4). Histologiske funn var typiske for alveolær ekinokokkose (figur 5). Pasienten utviklet moderat økte levertransaminaser, og albendazol ble midlertidig seponert. Etter flere forsøk på reintroduksjon, ble albendazol endelig seponert syv måneder etter operasjon. Vi planlegger halvårlige kontroller i flere år med radiologi og serologi med tanke på eventuelt residiv.

    Livssyklus

    Livssyklus

    Livssyklusen til E. multilocularis involverer, som hos andre bendelmarkinfeksjoner, en hovedvert og en mellomvert. Rev er den vanligste hovedverten, men også hund og mårhund kan ha denne rollen. Hovedverten bærer den om lag fem mm lange voksne dvergbendelmarken i tynntarmen og skiller ut egg i feces. Smågnagere er mellomverter og smittes via kontaminert føde. I mellomverten utvikles alveolær ekinokokkose, en multicystisk tumor som inneholder parasittens larvestadium. Hvis den syke gnageren senere blir spist av en rev eller annen karnivor, vil voksne bendelmarker kunne utvikles i tarmen til den nye hovedverten, slik at bendelmarkens livssyklus fullføres. Mennesker utgjør en tilfeldig mellomvert og smittes enten indirekte via inntak av kontaminerte bær, sopp eller andre naturprodukter, eller ved direkte kontakt med smittet hovedvert (2).

    Kliniske funn

    Kliniske funn

    Human alveolær ekinokokkose rammer som regel høyre leverlapp, hvor det oppstår en langsomtvoksende multicystisk tumor. De enkelte cystene måler 5–20 mm og formeres via knoppskyting slik at det etter hvert oppstår et drueklaselignende konglomerat. Til forskjell fra cystisk ekinokokkose, hvor den enkelte cyste er distinkt avgrenset av en dobbeltsjiktet membran, er veksten ved alveolær ekinokokkose diffus og malignitetslignende, og infiltrerer gradvis tilgrensende vev. Inkubasjonstiden er lang, fra 5–15 år. Hematogen spredning kan gi opphav til ekstrahepatiske lesjoner i milt, lunger, hjerne og andre organer. På diagnosetidspunktet vil ca. 70 % av pasientene ha smerter, vekttap og/eller ikterus (jf. vår pasient 1), mens de resterende pasientene får diagnosen stilt tilfeldig (jf. pasient 2). Den langvarige asymptomatiske fasen gir en betydelig risiko for at utbredelsen ved diagnosetidspunktet er omfattende og at radikal kirurgi ikke er mulig. Ubehandlet er sykdommen dødelig hos nesten alle (2).

    Diagnostikk

    Diagnostikk

    Diagnostikk ved alveolær ekinokokkose baseres på en kombinasjon av typiske radiologiske funn og positiv serologi. Endelig diagnose stilles ved histopatologisk undersøkelse og/eller PCR-analyser av operasjonsmateriale. Alveolær ekinokokkose klassifiseres radiologisk etter funn på CT (Alveolar Echinococcosis Ulm Classification for Computed Tomography, AEUC-CT) og MR (Kodamas klassifikasjon) (3, 4). På CT fremstår forandringene ofte som uskarpt avgrensete lobulerte oppfylninger med uregelmessig sentral nekrose og spredte forkalkninger suspekt på malign tumor, mens de karakteristiske mikrocystiske komponentene fremkommer tydeligere på MR (figur 1 og 3). MR egner seg best for karakterisering samt lokoregional utbredelse. Diagnosen stilles vanligvis ikke basert på bildediagnostikk alene, da flere andre fokale leverlesjoner, inklusive premaligne og maligne tumorer, kan ha lignende karakteristika (5). FDG PET er nyttig ved initial diagnostikk, samt for postoperativ monitorering og ved mistanke om residiv (6).

    Serologiske undersøkelser kan påvise spesifikke antistoffer med to metoder, Western Blot og enzyme-linked immunosorbent assay (ELISA). Metodene har høy sensitivitet og er positive i over 95 % av tilfellene. Antistoffer mot E. granulosus og E. multilocularis kryssreagerer i begge metoder, men båndmønsteret som dannes i Western Blot-metoden, vil ofte indikere hvilken form for ekinokokkose det dreier seg om (7).

    Ved makroskopisk patologisk undersøkelse fremstår lesjonene som multilokulære cystiske kaviteter med nekrose og innhold av tykt, grøtet materiale (figur 2 og 4). Ved mikroskopisk undersøkelse ses cystiske kaviteter med laminerte membraner (figur 5), og i omkringliggende vev ses ulike forandringer som kan inkludere granulomatøs reaksjon, nøytrofile og eosinofile granulocytter, nekrose, fibrose og forkalkning. I motsetning til funn ved infeksjon med E. granulosus, ses ingen germinalmembran eller larver (protoscoleces) (8). Veterinærinstituttet tilbyr PCR-undersøkelse av infisert vev. Instituttet er nasjonalt referanselaboratorium for en rekke zoonotiske smittestoff, og har molekylære verktøy for påvisning og identifikasjon av DNA fra E. multilocularis.

    Kirurgisk behandling

    Kirurgisk behandling

    Alle pasienter må vurderes for radikal reseksjon, som er den eneste kurative behandlingsmetoden. Alveolær ekinokokkose opereres etter de samme prinsippene som maligne leversvulster, da gjenværende infisert vev vil kunne infiltrere naboorganer og kar. Det anbefales 2 cm reseksjonsmargin rundt infisert vev. Dette er imidlertid ikke alltid teknisk mulig grunnet nærhet til andre vitale strukturer, men fri margin tilstrebes alltid. Alveolær ekinokokkose vokser langs gallegangene og kan derfor diffust infiltrere levervev og dermed være årsaken til raskt tilbakefall av sykdom selv etter komplett kirurgisk reseksjon (9).

    Medikamentell behandling

    Medikamentell behandling

    Alle pasienter bør behandles med peroralt albendazol 10 mg/kg/døgn fordelt på to doser. Ved kroppsvekt under 80 kg er anbefalt dosering 400 mg × 2, og ved vekt over 80 kg er den 600 mg × 2. Albendazol er ikke markedsført i Norge. Behandlende lege bør søke HELFO om refusjon på blå resept, paragraf 3. Anbefalt behandlingslengde er minimum 2 år postoperativt. Hvis pasienten ikke kan radikalopereres, bør albendazol vurderes som livsvarig suppresjonsbehandling (jf. vår pasient 1) (9). Bivirkninger inkluderer reversibelt hårtap, hodepine og kvalme. Ca. 15 % utvikler en medikamentindusert hepatitt som kan nødvendiggjøre seponering (jf. vår pasient 2) (10). Hvis det oppstår bivirkninger, bør konsentrasjonsbestemmelse av metabolitten albendazol sulfoksid utføres, noe som tilbys ved utenlandske laboratorier. Grunnet manglende data om teratogen effekt, frarådes graviditet i behandlingsperioden.

    Kontroller

    Kontroller

    Postoperativt bør CT eller MR utføres hver 6. måned de første årene, deretter sjeldnere. Serologi bør utføres hver 6. til 12. måned. Etter vellykket behandling vil antistoffnivåene vanligvis synke sakte, ofte over flere år. En eventuell titerstigning kan indikere tilbakefall av sykdommen. Ved flere europeiske sentre benyttes en mer spesifikk serologisk metode (Em18-ELISA) ved kontrollene. Resultat som går fra positivt til negativt i Em18-ELISA postoperativt, brukes som støtte for når man kan avslutte albendazolbehandling (7).

    Epidemiologi

    Epidemiologi

    Alveolær ekinokokkose er begrenset til den nordlige halvkule. Prevalensen av human sykdom følger utbredelsen av E. multilocularis hos rev. I Europa påvises alveolær ekinokokkose årlig hos ca. 120 pasienter, med tyngdepunktet i alpeområdet hvor inntil 60 % av undersøkte rødrev er infisert med dvergbendelmarken. Andre europeiske kjerneområder er i Polen, Baltikum og Russland (11). I Sverige, hvor E. multilocularis ble påvist hos rødrev i 2011, er alveolær ekinokokkose nylig diagnostisert hos seks pasienter hvor man ikke kan utelukke innenlandssmitte (12). Revens dvergbendelmark er påvist i faunaen ved Grumantbyen, en fraflyttet sovjetrussisk bosetning på Svalbard sørvest fra Longyearbyen. Her er polarrev hovedvert og østmarkmus mellomvert (13). Siden 2002 har Veterinærinstituttet gjennomført et overvåkingsprogram for E. multilocularis hos rødrev på Fastlands-Norge. Så langt er over 8 100 dyr blitt undersøkt uten positive funn (14).

    Juridiske aspekter

    Juridiske aspekter

    Human alveolær ekinokokkose er en nominativt meldepliktig sykdom, og bekreftede tilfeller skal meldes til Meldingssystem for smittsomme sykdommer (MSIS) ved Folkehelseinstituttet. Tilstanden er klassifisert som en Nasjonal liste 2-zoonose på grunn av faren for spredning til norsk fauna. Fastlands-Norge har status som fritt for E. multilocularis, og det er derfor innført strenge regler for å unngå aksidentell importsmitte fra kjæledyr. For hund som innføres til Norge, må man (med få unntak) dokumentere at parasittbehandling er utført av veterinær 1–5 døgn før innreise.

    Konklusjon

    Konklusjon

    Alveolær ekinokokkose er en sjelden, men potensielt meget alvorlig parasittsykdom. Diagnosen bør vurderes ved utredning av multicystiske leverlesjoner, særlig hos pasienter fra endemiske områder. Behandlingen er komplisert og bør skje i samråd med erfarne kirurger og infeksjonsmedisinere.

    Pasientene har gitt samtykke til at artikkelen blir publisert.

    Artikkelen er fagfellevurdert.

    Kommentarer  ( 0 )
    PDF
    Skriv ut

    Anbefalte artikler