En kvinne i midten av 30-årene ble innlagt med forvirring og tiltaksløshet, vekttap og søvnvansker. Vi beskriver her flere etiske dilemmaer ved utredning og behandling.
En tidligere stort sett frisk kvinne i midten av 30-årene oppsøkte lege på grunn av forvirring, tiltaksløshet, søvnvansker og ufrivillig vekttap av en måneds varighet. Behandling med peroralt escitalopram 10 mg daglig ble startet på mistanke om depresjon. To uker senere ble pasienten innlagt akutt på sykehus. Da hadde hun betydelig latenstid ved samtale, og kunne ikke forklare seg sammenhengende. Allmenntilstanden var god, og vitalia var normale. Somatisk status og orienterende blodprøver var upåfallende. Det ble ikke påvist fokalnevrologiske utfall.
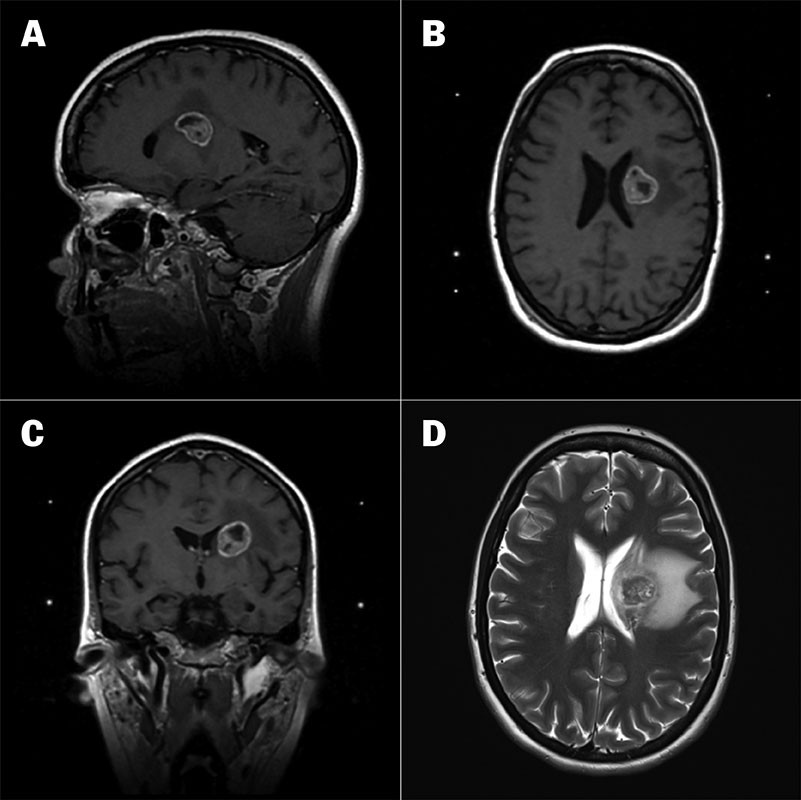
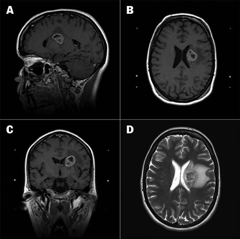
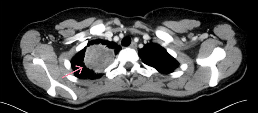
CT- og MR-undersøkelser av hodet avdekket en 23 mm stor ekspansiv prosess med omgivende ødem i venstre talamus som utøvet masseffekt på tilstøtende venstre sideventrikkel (figur 1a–d). CT-undersøkelse av brysthulen avdekket en 5,6 cm stor svulst i høyre lunges overlapp (figur 2). Det forelå forstørrede lymfeknuter paratrakealt på høyre side (stasjon 4R) og paraaortalt (stasjon 6R).
Man mistenkte nå lungekreft med spredning til lymfeknuter og hjerne. Finnålsaspirasjonscytologi etter bronkoskopisk prøvetaking fra lymfeknute 4R viste metastase fra lavt differensiert ikke-småcellet karsinom og bekreftet diagnosen.
Lungekreft er den kreftformen som tar flest liv i Norge (1). Fortsatt blir de fleste pasientene diagnostisert i et sykdomsstadium der kurativ behandling ikke er mulig. På den annen side kan moderne behandling med blant annet immunsjekkpunkthemmere gi langvarig sykdomsstabilisering hos noen pasienter med avansert sykdom (2). Hjernemetastaser kan behandles med kirurgi, stereotaktisk strålebehandling og helhjernebestråling. Noen ganger kan systemisk kreftbehandling med regelmessig MR-kontroll være tilstrekkelig dersom de påviste metastasene er asymptomatiske (3, 4). Vår pasient ble søkt innlagt for stereotaktisk stråleknivbehandling av hjernemetastasen og ny bronkoskopisk prøvetakning, da man etter første undersøkelse hadde for lite materiale til supplerende utredning.
Pasienten startet med ødemdempende behandling med peroralt deksametason 4 mg x 4 i nedtrapping. Hun var hjemme på permisjon hos foreldrene sine, som nå tok seg av pasientens barn, da pasientens mor ringte til sykehuset og fortalte at pasienten var økende tiltaksløs, hadde vansker med å uttrykke seg og ikke ville tilbake til sykehuset for stråleknivbehandling og ny prøvetaking. Etter drøfting mellom leger og sykepleiere ved Lungeavdelingen som hadde møtt pasienten, ble hun vurdert som ikke samtykkekompetent. Vurderingen var basert på redusert evne til å uttrykke et bevisst valg, vansker med å forstå relevant informasjon og de sannsynlige følgene av å ikke gi samtykke til utredning og behandling. Det ble fattet et vedtak etter pasient- og brukerrettighetsloven, kapittel 4A (5), og det ble besluttet å hente pasienten med ambulanse, om nødvendig med tvang, for å gjennomføre ytterligere utredning og kreftbehandling.
Da pasienten ble hentet av ambulansepersonell, ble det journalført at hun ikke ønsket å bli med, men gikk noe motvillig inn i ambulansen uten behov for tvangsbruk. Dagen etter mottok pasienten stråleknivbehandling og samarbeidet godt under gjennomføringen. Ny bronkoskopisk finnålsaspirasjon fra lymfeknute 4R ble gjennomført i narkose. Cytologien viste ikke-småcellet karsinom uten entydig adeno- eller platedifferensiering, forenlig med ikke-småcellet karsinom NOS (not otherwise specified). Immunhistokjemisk undersøkelse for ALK og ROS1 var negative, og utredning med nestegenerasjonssekvensering (NGS) påviste ingen mutasjoner tilgjengelig for målstyrt behandling. PD-L1-ekspresjon ble estimert til < 75 %. Blodprøveutredning med tanke på paraneoplastiske syndromer var negativ.
Under oppholdet var pasienten preget av impressiv og ekspressiv afasi, apraksi og mulig forvirring med noe angst. Mat- og væskeinntaket var så redusert at hun gikk raskt ned i vekt, og hun hadde behov for supplerende intravenøs ernæring og væske. Tverrfaglig vurdering av psykiater, nevrolog, nevrokirurg og lungelege konkluderte med at pasienten ikke var samtykkekompetent. Man forsøkte i det lengste frivillig helsehjelp, men det ble også gjennomført tvang. Blant annet holdt sykepleiere på sengepost henne fysisk tilbake når hun prøvde å forlate avdelingen, gav beroligende med intravenøst eller subkutant midazolam, administrerte intravenøs ernæring og gjennomførte stell uten samtykke. En sykepleier skrev avviksmelding om mangelfull begrunnelse av tvangsvedtaket fordi flere var usikre på hvor mye tvang som kunne utøves, og hva som var overgrep mot pasienten. Statsforvalteren ble kontaktet for rådgiving, og et mer utfyllende tvangsvedtak ble laget med grundigere beskrivelser av hvilke tiltak som var helt nødvendige for pasientens helsehjelp. Sosionom hadde en sentral rolle i behandlingsteamet og bistod pasientens foreldre med søknad om støtteordninger innenfor NAV og midlertidig vergemål.
Saken og tvangsbehandlingen ble drøftet med representanter fra Klinisk etikk-komité og lungelegegruppen. Det ble spesielt diskutert om man skulle gi immunsjekkpunkthemmere som monoterapi, eller i kombinasjon med cellegift. Vi valgte å gi maksimal tilgjengelig behandling, selv om dette kunne gi henne mer bivirkninger. Fem uker etter innleggelsesdato startet pasienten med systembehandling i form av intravenøst administrert pembrolizumab 200 mg, pemetreksed 750 mg og karboplatin 630 mg gitt hver tredje uke i fire sykluser. Deksametason ble kontinuert mot ødem rundt hjernemetastasen.
Bruk av tvang i kreftbehandling skjer etter vår erfaring ytterst sjelden. Det var svært inngripende og tøft for pasienten, og krevende for helsepersonell som var involvert. I ettertid kom det frem at pasienten hadde opplevd den første bronkoskopien som svært ubehagelig. Hun var også bekymret for stråleknivbehandlingen, som var forklart for henne som «strålekniv mot hodet», noe det var vanskelig å forstå omfanget av. Hun forklarte senere at dette var bakgrunnen for at hun helst ikke ville returnere til sykehuset. Dette ble imidlertid ikke fanget opp av helsepersonell som fattet tvangsvedtaket på det tidspunktet. Hennes afasi gjorde det svært vanskelig å vurdere om hun hadde fått med seg at andre gangs bronkoskopi skulle utføres i narkose for å unngå ubehag.
Pasientens tilstand under innleggelsen ble gradvis forverret med vekslende apati og uro, afasi og ernæringssvikt. Det oppstod utfordrende episoder på sengepost, der sykepleiere måtte holde pasienten tilbake i avdelingen. Personalet rapporterte dette som svært belastende, særlig fordi de var usikre på hva pasienten forstod og kunne kommunisere.
Den anatomiske plasseringen av hjernemetastasen samsvarte med symptomene. Det ble likevel diskutert hvorvidt pasienten også kunne ha alvorlig depresjon, angst og/eller krisereaksjon, og hvilke medikamentelle tiltak som i så fall kunne hjelpe. Ved gjentatte psykiatriske tilsyn ble tilstanden hovedsakelig vurdert som betinget i hjerneorganiske forandringer. Antipsykotika ble frarådet fremfor behandling med benzodiazepiner i form av peroralt diazepam 5 mg inntil x 4, subkutant/intravenøst midazolam 1–2 mg og fortsatt behandling med peroralt escitalopram 10 mg daglig.
Tre uker etter innleggelsesdato viste EEG ingen sikker abnormalitet. MR caput tatt fire uker etter stråleknivbehandlingen, viste vedvarende perifokalt ødem rundt den største metastasen. Etter grundig diskusjon med onkolog og nevrokirurg ble det besluttet å gi intravenøst bevacizumab 400 mg hver fjortende dag, totalt fire kurer, som ødemdempende behandling.
Bevacizumab er et monoklonalt antistoff som binder seg til vaskulær endotelial vekstfaktor (VEGF) og reduserer vaskularisering av tumorer. Bevacizumab som behandling mot tumor- og stråleindusert hjerneødem, blir benyttet flere steder, blant annet i USA, men er omdiskutert (6). Antistoffet brukes som andrelinjebehandling i tilfeller hvor deksametason ikke gir tilstrekkelig ødemdempende effekt eller uholdbare bivirkninger, for å prøve å redusere symptomer assosiert med strålebetinget nekrose og tumorassosiert ødem (7). I Norge har ikke bevacizumab godkjent indikasjon som ødemreduserende medisin. Man konfererte derfor med onkologer som hadde erfaring med bruk av dette medikamentet, før behandlingen ble startet.
To måneder etter første innleggelse i sykehus ble pasienten overført til rehabiliteringsinstitusjon, også dette under tvangsvedtak. To uker senere forverret tilstanden seg med økende uro og fortvilelse. Hun opplevde syns- og hørselshallusinasjoner, og selvmordsfaren ble vurdert som forhøyet. Hun ble derfor flyttet til Psykiatrisk klinikk for tvungen observasjon, i henhold til psykisk helsevernloven, kapittel 3 (8). Her avkreftet pasienten suicidale tanker, og det ble ikke observert psykotiske symptomer, utagering eller vrangforestillinger. Hun fremholdt ønske om å gjennomføre kreftbehandling og hadde fremtidshåp om å kunne reise hjem etter hvert. Etter seks dager ble det fattet vedtak om opphør av tvungen observasjon i psykiatrisk institusjon, da man ikke hadde holdepunkter for at pasienten hadde en alvorlig sinnslidelse. Likevel ble det vurdert til at hun var for svekket av apati, afasi og orienteringsvansker til å kunne returnere til rehabiliteringssenteret. Hun ble på nytt overført til Lungeavdelingen, før nytt rehabiliteringsopphold ble forsøkt etter to ukers innleggelse der. Etter tre uker på rehabilitering, ble hun overført videre til kommunal omsorg, da man konkluderte med at hennes funksjonsnivå fremdeles var for fluktuerende og redusert til at hun kunne bo hjemme. Hun hadde ennå lang latenstid, men kommuniserte mer med personalet. Da det ikke fantes annet kommunalt tilbud, ble hun flyttet til sykehjem i hjemkommunen. To måneder senere fikk hun tilbud om omsorgsbolig sammen med eldre pasienter, men verken pasient eller pårørende ønsket dette. Pasienten flyttet i stedet hjem til foreldrene sine og barnet sitt etter totalt seks måneder på institusjon. Tvangsvedtaket om behandling gikk ut én måned etter dette.
Det var vanskelig å avgjøre hvor pasienten skulle plasseres for best mulig helsehjelp gjennom forløpet. Lungeavdelingen har liten erfaring med tvangsbehandling, men lungekreft som grunndiagnose medførte at det var vanskelig å finne et annet egnet sted. Kommunen hadde ikke tilstrekkelige ressurser til å tilby rehabilitering for en ung pasient med et så sammensatt symptombilde, og underveis ble hun også vurdert som for svekket til rehabilitering i spesialisthelsetjenesten. Usikkerhet og diskusjoner om hvor pasienten ville få best mulig hjelp, ble en stor belastning både for pasienten og hennes pårørende. Det var også utfordrende å forholde seg til prognostisk usikkerhet med tanke på planlegging og optimalisering av pasientforløpet. Kunne hun være blant dem som får mange års levetid, eller skulle man planlegge for uhelbredelig sykdom og omsorgsovertakelse for barnet?
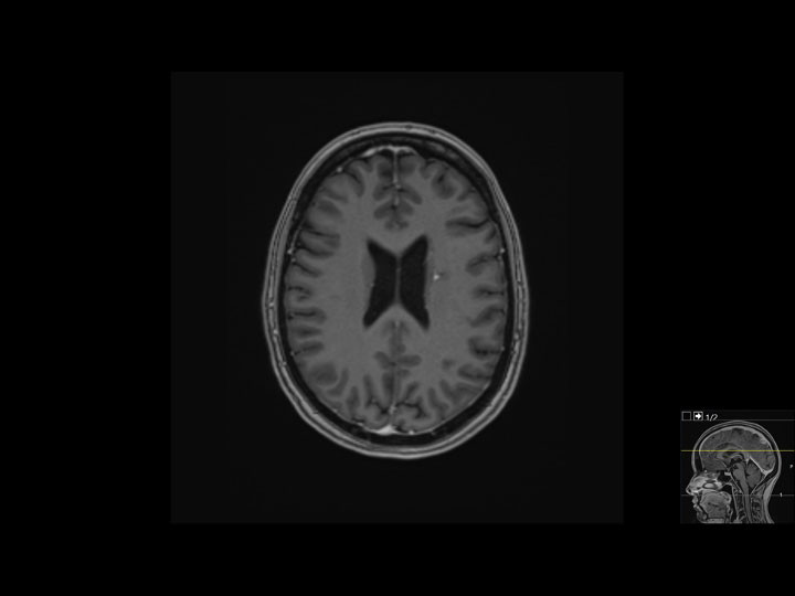
Pasienten var etter utskrivelse i psykisk bedring og gjenvant normalvekt. Etter initial systemisk behandling, som også inkluderte karboplatin og bevacizumab, mottok hun intravenøst pembrolizumab og pemetreksed hver tredje uke i totalt to år. Til å begynne med husket hun lite av det hun hadde gjennomgått. Hun har i ettertid uttrykt behov for å bearbeide og forstå det hun har vært gjennom, og minnene har gradvis dukket opp som «flashbacks». Prognose har vært et tema ved flere konsultasjoner, der pasienten spør om hun er frisk. Vi har svart henne at når hun fire år etter symptomdebut og to år etter behandlingspause ikke har tegn til residiv, gir det håp om langvarig effekt. Billedmessig har hun kun små restforandringer (figur 3). Pasienten bor nå i egen leilighet med barnet sitt, er arbeidssøkende og i funksjonsklasse 0 (ingen begrensninger i dagliglivet).
Diskusjon
Å vurdere gjennomføring av kreftbehandling uten pasientens samtykke medfører flere etiske og juridiske dilemmaer, særlig dersom det er uenighet mellom pårørende og helsepersonell om hva som er det beste for pasienten (9). I dette tilfellet var det enighet med familien om at kreftrettet behandling var det riktige, ikke minst på grunn av pasientens unge alder. Pasienten selv bekreftet at hun ønsket behandling da tilstanden hennes bedret seg.
Det kan stilles spørsmål ved hvor langt man skal gå for å gi kreftbehandling når det fordrer bruk av tvang, ikke minst siden behandlingen kan medføre potensielt livstruende og plagsomme bivirkninger. Vilkårene for å oppfylle helsehjelp under tvang innbefatter at unnlatelse av å gi helsehjelp medfører vesentlig helseskade, at helsehjelpen anses nødvendig og at tiltaket står i forhold til behovet for helsehjelpen, jf. paragraf 4A-3 i pasient- og brukerrettighetsloven (5). Legekollegiet og de pårørende var enige om at disse vilkårene var oppfylt, i og med at pasienten ville dø innen kort tid uten behandling av hjernemetastasen og ernæringssvikt.
Kapittel 4A i pasient- og brukerrettighetsloven omfatter bare pasienter som ikke er samtykkekompetente. I dette tilfellet var samtykkekompetansen vanskelig å vurdere grunnet impressiv og ekspressiv afasi. Det kan være utfordrende å sikre autonome valg og informert samtykke ved livstruende sykdom, også hos pasienter man anser som samtykkekompetente (10). Lovverket krever også at tillitsskapende tiltak forsøkes slik at man legger til rette for helsehjelp uten bruk av tvang. Det kan stilles spørsmål ved om dette ble gjort i tilstrekkelig grad. Kunne vi for eksempel ha informert om «strålekniv» på en måte som hadde gjort henne mindre engstelig, og beroliget mer med at ny bronkoskopi skulle gjennomføres i narkose? Å vurdere samtykkekompetanse på bakgrunn av pårørendes beskrivelser er også problematisk, selv om det ble gjort av helsepersonell som nylig hadde undersøkt pasienten. Kasuistikken illustrerer hvor viktig det er å prøve å styrke pasientens autonome kapasitet og mulighet for samvalg også i svært krevende situasjoner (11).
Et viktig læringsmoment i denne kasuistikken er å innhente ekstern kompetanse som kan bistå i vanskelige situasjoner. Statsforvalteren kunne med fordel ha blitt kontaktet ved opprettelsen av tvangsvedtaket, siden mangler ved første tvangsvedtak gjorde sykepleierne usikre på hvordan de skulle handle. Klinisk etikk-komité kan også være nyttig å kontakte for råd. Denne saken ble tatt opp og drøftet i det månedlige møtet som legegruppen ved Lungeavdelingen har med representanter fra Klinisk etikk-komité og Seksjon for prestetjeneste og etikk. Både sykepleiere og leger opplevde moralsk stress, som oppstår når klinikeren ser etiske utfordringer og kjenner ansvar for å respondere på dem, men av ulike grunner er hindret fra å gjøre det de mener er etisk rett (12). Pleiepersonalets profesjonsetiske standard, som i arbeid med lungepasienter i all hovedsak innebærer pleie og omsorg i tråd med pasientens ønsker og autonomi, ble utfordret. Dette medførte følelser av utilstrekkelighet og en opplevelse av å bryte grenser for hva som er god pasientbehandling på en lungemedisinsk sengepost.
Avdelingsledelsen fulgte opp tilbakemeldingene med flere tiltak. Det ble innhentet kompetanse fra enheter som er vant til tvangsbehandling, for å støtte pleiegruppen gjennom rådgiving og debriefing. Dette hjalp personalet med å mestre situasjonen bedre. Også sosionomen opplevde moralsk stress, ettersom samarbeidet om pasientens rettigheter i kommunen var vanskelig på grunn av mangel på ressurser og ulik forståelse av at pasienten etter hvert gjenvant sin samtykkekompetanse og fulle omsorgsevne for barnet sitt. I etterkant ser vi at flere møter mellom ulike behandlingsinstanser trolig kunne bidratt til å redusere disse belastningene både for pasienten, familien og helsepersonell.
Pasientens psykiske helsetilstand var kompleks, og vi tror debut med kognitive symptomer skyldtes hjernemetastasen. Siden hun hadde organisk hjernesykdom, falt hun ikke inn under kategorien «somatisk helsehjelp ved psykisk lidelse», noe som også kan være juridisk og etisk krevende (13). Pasienten har vært tydelig på at hun aldri følte seg deprimert, og hun har i ettertid uttrykt at tvangsbruk ikke var nødvendig, selv om hun har vært takknemlig for helsehjelpen hun fikk. Hun har måttet bruke betydelig tid og krefter på å bearbeide tvangsbehandlingen, i tillegg til selve diagnosen. Å miste råderetten over egen hverdag og oppleve seg misforstått var både skremmende og dramatisk for henne. Isolasjonen ble forsterket av besøksreglene under covid-19-pandemien, samt vurderinger av at hun var for syk til å møte barnet sitt under det initiale forløpet. Kasuistikken illustrerer også utfordringer vi ofte opplever vedrørende primær avdelingstilhørighet, da pasienten hadde nevropsykiatriske symptomer fra en lungesykdom som ble behandlet med strålekniv og systemisk onkologisk behandling. Vi skulle ønske at helsevesenet var bedre tilrettelagt for gode forløp ved så komplekse behov, herunder med flere rehabiliteringsmuligheter internt i sykehus.
Vektingen av de etiske prinsippene om å respektere autonomi, gjøre godt og ikke skade kan være ekstra utfordrende ved helsehjelp under høy grad av medisinsk og eksistensiell usikkerhet (14, 15). Tidligere var prognosen ved avansert lungekreft svært dårlig, men moderne behandling gjør at en betydelig undergruppe av pasientene oppnår mange gode leveår med stabil sykdom (2). Samtidig medfører diagnosen en utfordrende situasjon med håp og usikkerhet, både for pasienter, pårørende og helsepersonell (16). Denne usikkerheten kan også være vanskelig å forholde seg til for samarbeidende instanser, for eksempel da pasientens evne til omsorg for barnet og boforhold i hjemkommunen skulle vurderes. Vi ser i ettertid at det kunne vært bedre for pasienten, familien og kommunale instanser om spesialisthelsetjenesten tydeligere hadde vektlagt muligheten for vedvarende behandlingsrespons til tross for livstruende sykdom. At pasienten har hatt svært god behandlingseffekt er gledelig for alle involverte. Samtidig må hun leve med den prognostiske usikkerheten ved å ha fått en i utgangspunktet uhelbredelig sykdom.
«Jeg hadde ikke jobb og var alene med barnet mitt. Mange antar at man da er deprimert. Tvangsvedtaket mener jeg var unødvendig; selvfølgelig ville jeg bli frisk og leve. Jeg gruet meg til bronkoskopi, hadde lite matlyst og ville ikke snakke så mye. Sjokkbeskjeden måtte bearbeides. Det var nedverdigende å bli tvangsbehandlet, og belastende med covid-restriksjonene og et svært langvarig tvangsvedtak, da jeg ville hjem til barnet mitt.»
Konklusjon
Denne kasuistikken illustrerer etiske dilemmaer ved bruk av tvang under kreftbehandling, både for pasienter og helsepersonell. Oppfølging med debriefing av personalet bør gjennomføres. En felles forståelse av tvangsbehandlingens intensjon og omfang bør etableres så tidlig som mulig. Grundige tverrfaglige diskusjoner, innhenting av ekstern kompetanse og gjentatte samtaler med pasient og pårørende er viktige for å ivareta pasientens autonome kapasitet i størst mulig grad.
Pasienten har gitt samtykke til at artikkelen blir publisert, og har gitt viktige innspill til manus.
Artikkelen er fagfellevurdert.
- 1.
Kreftregisteret. Lungekreft. https://www.kreftregisteret.no/Temasider/kreftformer/Lungekreft/ Lest 24.4.2024.
- 2.
Garassino MC, Gadgeel S, Speranza G et al. Pembrolizumab Plus Pemetrexed and Platinum in Nonsquamous Non-Small-Cell Lung Cancer: 5-Year Outcomes From the Phase 3 KEYNOTE-189 Study. J Clin Oncol 2023; 41: 1992–8. [PubMed][CrossRef]
- 3.
Helsedirektoratet. Nasjonalt handlingsprogram for lungekreft, mesoteliom og thymom. http://nlcg.no/wp-content/uploads/211223-Nasjonalt-handlingsprogram-for-lungekreft-mesoteliom-og-thymom-23.12.21.pdf Lest 24.4.2024.
- 4.
Vogelbaum MA, Brown PD, Messersmith H et al. Treatment for Brain Metastases: ASCO-SNO-ASTRO Guideline. J Clin Oncol 2022; 40: 492–516. [PubMed][CrossRef]
- 5.
Helsedirektoratet. Pasient- og brukerrettighetsloven med kommentarer. https://helsedirektoratet.no/Lists/Publikasjoner/Attachments/945/IS-%208%202015%20%20Rundskrivpasientogbrukerrettighetsloven.pdf Lest 24.4.2024.
- 6.
Helsedirektoratet. Nasjonalt handlingsprogram for hjernesvulster. https://www.helsedirektoratet.no/retningslinjer/diffuse-hoygradige-gliomer-hos-voksne-handlingsprogram/behandling-av-recidiv/medikamentell-behandling Lest 24.4.2024.
- 7.
Levin VA, Bidaut L, Hou P et al. Randomized double-blind placebo-controlled trial of bevacizumab therapy for radiation necrosis of the central nervous system. Int J Radiat Oncol Biol Phys 2011; 79: 1487–95. [PubMed][CrossRef]
- 8.
Lovdata. Lov om etablering og gjennomføring av psykisk helsevern. https://lovdata.no/dokument/NL/lov/1999-07-02-62 Lest 24.4.2024.
- 9.
Pope TM. Providing cancer treatment without patient consent. https://ascopost.com/issues/february-25-2018/providing-cancer-treatment-without-patient-consent/ Lest 24.4.2024.
- 10.
Skaar E, Ranhoff AH, Nordrehaug JE et al. Conditions for autonomous choice: a qualitative study of older adults' experience of decision-making in TAVR. J Geriatr Cardiol 2017; 14: 42–8. [PubMed][CrossRef]
- 11.
Gulbrandsen P, Clayman ML, Beach MC et al. Shared decision-making as an existential journey: Aiming for restored autonomous capacity. Patient Educ Couns 2016; 99: 1505–10. [PubMed][CrossRef]
- 12.
Rushton CH. Moral Resilience: A Capacity for Navigating Moral Distress in Critical Care. AACN Adv Crit Care 2016; 27: 111–9. [PubMed][CrossRef]
- 13.
Bjorå IKH, Jorem J, Tveito M. Tvangsbehandling av somatisk sykdom ved psykisk lidelse. Tidsskr Nor Legeforen 2019; 139. doi: 10.4045/tidsskr.18.0553. [PubMed][CrossRef]
- 14.
Orstad S, Fløtten Ø, Madebo T et al. "The challenge is the complexity" - A qualitative study about decision-making in advanced lung cancer treatment. Lung Cancer 2023; 183: 107312. [PubMed][CrossRef]
- 15.
Schaufel MA, Nordrehaug JE, Malterud K. "So you think I'll survive?": a qualitative study about doctor-patient dialogues preceding high-risk cardiac surgery or intervention. Heart 2009; 95: 1245–9. [PubMed][CrossRef]
- 16.
Brustugun OT. Håp når håpløsheten truer. Tidsskr Nor Legeforen 2023; 143. doi: 10.4045/tidsskr.23.0095. [PubMed][CrossRef]