Kasuistikken beskriver en pasient med cystisk ekinokokkose og behov for omfattende kirurgisk behandling. Tilstanden er sjelden i Norge, men utgjør et betydelig folkehelseproblem globalt. På grunn av økende innvandring fra høyendemiske land, bør norske leger kjenne til denne zoonosen.
En tidligere frisk mann i 40-årene, oppvokst i Midtøsten og bosatt i Norge de siste årene, ble akutt innlagt på medisinsk avdeling ved lokalsykehuset, etter to døgn med respirasjonsavhengige smerter i høyre hemitoraks. I forkant av innleggelsen hadde han hatt fem ukers sykehistorie med høyresidige flankesmerter, feber, nattesvette og et vekttap på fire kilo.
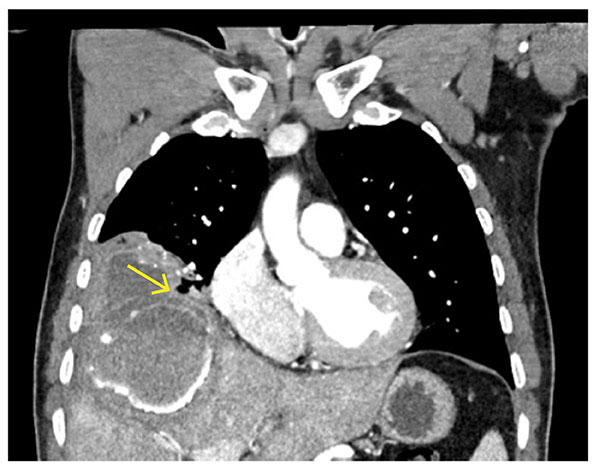
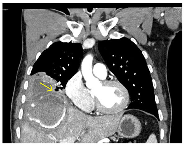
Ved innkomst hadde han lett nedsatt allmenntilstand, blodtrykk på 125/80 mm Hg, puls på 80 slag per minutt, respirasjonsfrekvens på 15 per minutt og temperatur på 38,5 °C. Blodprøver viste hemoglobin 10 g/dL (referanseområde 13,2–16,5), leukocytter 9,7 ∙ 109/L (3,9–9,8), D-dimer 1,39 mg/L (< 0,5), CRP 102 mg/L (< 5), ALP 136 U/L (34–115), nyre- og øvrige leververdier var normale. CT-toraks og -abdomen viste en cyste i segment 8 av høyre leverlapp som målte 6,5 cm x 8 cm i aksialt plan, og 10 cm i kranialt plan. Radiologen var usikker på om det forelå ruptur av cyste ut i bukhulen, eller om cystevæske kun var lekket til et begrenset område subdiafragmalt. Etter mistanke om rumpert ekinokokkcyste, ble det rekvirert ekinokokkserologi, og det ble startet empirisk behandling med albendazol tabletter 400 mg x 2 og prazikvantel tabletter 1800 mg x 2. På dag 7 forelå positive ekinokokkantistoffer, og på dag 14 ble pasienten overflyttet til Rikshospitalet, som har kompetanse på kirurgisk behandling av ekinokokksykdom. De to siste døgnene på lokalsykehuset utviklet han hoste. Ved innleggelse på Rikshospitalet viste ny CT-undersøkelse at levercysten hadde brutt gjennom diafragma og inn i under- og midtlappen av høyre lunge (figur 1). Påfølgende dag ble han operert med torakolaparotomi, en Bloc-reseksjon hvor leversegment 5, 7 og 8, høyre lunges midt- og underlapp og den tilstøtende delen av diafragma ble fjernet i ett sammenhengende preparat (figur 2). Intraoperativt hadde man hypertont saltvann tilgjengelig for å begrense kontaminering ved aksidentell perforasjon av cysten (1). Det tilkom ikke søl av cysteinnhold i buk- eller torakshule. Han ble utskrevet til hjemmet ni dager etter operasjonen, med en etterbehandling bestående av prazikvantel tabletter 1800 mg x 2 i fire uker. I tillegg ble det planlagt minimum seks måneders behandling med albendazol tabletter 400 mg x 2. CT-toraks og -abdomen åtte måneder etter operasjonen viste ikke tegn til restcyster eller tilbakefall.
Diskusjon
Cystisk ekinokokkose skyldes parasitten Echinococcus granulosus (hundens dvergbendelorm) og er tidligere omtalt i Tidsskriftet (2). Sykdommen finnes på alle kontinenter utenom Antarktis, og er blant annet endemisk i Sentral-Asia, Midtøsten, Øst-Afrika og Sørøst-Europa (3). Den er definert av Verdens helseorganisasjon (WHO) som én av tjue neglisjerte tropesykdommer.
Hovedverten for parasitten er hundedyr. De infiseres når de spiser organer fra gressetende husdyr som er infisert med larvestadiet av E. granulosus. Parasittegg fra hundedyrenes avføring kan kontaminere næringsmidler og omgivelsene. Mennesker kan smittes fekaloralt og bli aksidentelle mellomverter med utvikling av cyster i forskjellige organer (3). Dersom cyster utvikles, er leveraffeksjon vanligst (60–70 %), etterfulgt av lungecyster (25 %). I noen sjeldne tilfeller kan cyster også oppstå i andre organer, inkludert hjernen (4). Alle rapporterte tilfeller av ekinokokkose i Norge siden 1977 har oppgitt smittestedet som enten ukjent eller i utlandet (4). Ved Oslo universitetssykehus ble det i perioden 2000 til 2020 behandlet 92 pasienter med ekinokokksykdom (5). Vår pasient hadde under oppveksten i Midtøsten blitt mye eksponert for hunder og sau, og det er sannsynlig at han hadde blitt smittet der.
Det er vanligst med symptomdebut i voksen alder ettersom cystene vokser langsomt (3). Cystenes naturlige forløp er variabelt, og små eller forkalkede cyster kan forbli asymptomatiske (6).
Som hos vår pasient, kan levercyster gi ubehag i høyre flanke. Cysteruptur kan lede til sekundær ekinokokkose i andre organer. Hos vår pasient brøt cysten gjennom diafragma og infiserte høyre lunge. Frigjort cysteinnhold kan utløse en akutt hypersensitivitetsreaksjon, og i verste fall alvorlig anafylaksi og død (3).
På grunn av ekinokokkcystenes langsomme vekstmønster, oppdages de noen ganger tilfeldig i forbindelse med radiologiske undersøkelser gjort på annen indikasjon. Ved nyoppdaget cyste foreligger ofte flere differensialdiagnoser, og diagnostisk punksjon eller kirurgisk intervensjon kan være aktuelt. Siden frigjøring av cysteinnhold kan få alvorlige konsekvenser, bør man i slike tilfeller alltid ta ekinokokkserologi før en eventuell intervensjon. Sensitiviteten er god, men varierer med cystenes lokalisasjon, stadium og størrelse (7). Ultralyd og MR-undersøkelse brukes for å definere cystestadium basert på WHOs klassifikasjonssystem. CT-undersøkelse benyttes for å kartlegge sykdomsutbredelse (6, 8).
Valg av behandling avhenger av cystestadium, sykdomsutbredelse og om det foreligger komplikasjoner (6). Behandlingen bør besluttes og gjennomføres i tverrfaglige team av leger med erfaring med ekinokokkose.
«Det var skummelt og sjokkerende for meg å få påvist sykdommen fordi jeg alltid har hatt god fysisk form og aldri mistenkelige symptomer. Jeg var hos fastlegen to ganger. Blodprøvene var ikke normale, og jeg skulle ønske jeg ble raskere henvist til sykehuset. Operasjonen gikk greit, og jeg vil takke alle legene og sykepleierne for innsatsen og behandlingen. Jeg er takknemlig for at dere reddet livet mitt.»
Alle pasienter med aktive cyster behandles med albendazol, og de fleste blir operert. Ved små og ukompliserte cyster kan medikamentell behandling alene være tilstrekkelig (6). Siden vår pasient hadde en stor cyste med høy risiko for spredning av cysteinnholdet, var det en klar indikasjon for operasjon. Han fikk tilleggsbehandling med prazikvantel for å redusere risikoen for sekundær ekinokokkose etter lekkasje av cysteinnhold til toraks. Effekten av denne behandlingen er foreløpig ikke godt dokumentert (9).
Pasienten har gitt samtykke til at artikkelen blir publisert.
Artikkelen er fagfellevurdert.
- 1.
Sharafi SM, Sefiddashti RR, Sanei B et al. Scolicidal agents for protoscolices of Echinococcus granulosus hydatid cyst: Review of literature. J Res Med Sci 2017; 22: 92. [PubMed][CrossRef]
- 2.
Fosheim IK, Lappen KR, Heldal K et al. En ung kvinne som ikke våknet etter omfattende operasjon. Tidsskr Nor Legeforen 2021; 141. doi: 10.4045/tidsskr.21.0184. [PubMed][CrossRef]
- 3.
Wen H, Vuitton L, Tuxun T et al. Echinococcosis: Advances in the 21st Century. Clin Microbiol Rev 2019; 32: e00075–18. [PubMed][CrossRef]
- 4.
Folkehelseinstituttet. Ekinokokkose - veileder for helsepersonell. https://www.fhi.no/nettpub/smittevernveilederen/sykdommer-a-a/ekinokokkose---veileder-for-helsepe/ Lest 15.8.2023.
- 5.
Yaqub S, Jensenius M, Heieren OE et al. Echinococcosis in a non-endemic country - 20-years' surgical experience from a Norwegian tertiary referral Centre. Scand J Gastroenterol 2022; 57: 953–7. [PubMed][CrossRef]
- 6.
Brunetti E, Kern P, Vuitton DA. Expert consensus for the diagnosis and treatment of cystic and alveolar echinococcosis in humans. Acta Trop 2010; 114: 1–16. [PubMed][CrossRef]
- 7.
Lissandrin R, Tamarozzi F, Piccoli L et al. Factors Influencing the Serological Response in Hepatic Echinococcus granulosus Infection. Am J Trop Med Hyg 2016; 94: 166–71. [PubMed][CrossRef]
- 8.
Calame P, Weck M, Busse-Cote A et al. Role of the radiologist in the diagnosis and management of the two forms of hepatic echinococcosis. Insights Imaging 2022; 13: 68. [PubMed][CrossRef]
- 9.
Bygott JM, Chiodini PL. Praziquantel: neglected drug? Ineffective treatment? Or therapeutic choice in cystic hydatid disease? Acta Trop 2009; 111: 95–101. [PubMed][CrossRef]