To uker etter å ha blitt operert med bukplastikk ble kvinnen innlagt pga. dyspné og redusert allmenntilstand. D-dimerverdien var forhøyet. Det viste seg at pasienten hadde en relativt hyppig forekommende tilstand, men med sjeldne manifestasjoner.
Pasienten var en kvinne i 30-årene med tidligere ubehandlet multippel sklerose. Hun var behandlet med mirabegron 50 mg depottabletter daglig for urgeinkontinens. To uker tidligere hadde hun blitt bukplastikkoperert med liposkulptur etter svangerskap, der det ble gitt tromboseprofylakse med lavmolekylært heparin i tre dager.
Hun ble innlagt i akuttmottaket med redusert allmenntilstand og dyspné to uker etter operasjonen. Hun var våken og klar, oksygenmetningen var 87–91 % uten oksygentilførsel, blodtrykket 113/69 mmHg, respirasjonsfrekvensen 22–24 per minutt og pulsen 97 slag/min. Det tilkom feber (38,7 °C) under innleggelsen, men det var normale funn ved øvrig organundersøkelse, og EKG viste sinusrytme. D-dimer på legevakten hadde vært forhøyet til 31,9 mg/L (referanseområde < 0,50). Tilleggsprøver tatt i akuttmottaket viste lett anemi med hemoglobin (Hb) 11,2 g/dL (11,7–15,3), forhøyet C-reaktivt protein (CRP) 30 mg/L (< 5) og laktatdehydrogenase (LD) 316 U/L (105–205) samt forhøyet hjertebiomarkører i form av kardial troponin T 42 ng/L (< 15). Arteriell blodgass i mottak viste hypoksemi med pO2 7,9 kPa (11,1–14,4) og respiratorisk alkalose med pH 7,47 (7,35–7,45), pCO2 4,3 kPa (4,7–5,9), baseoverskudd (BE) −0,3 mmol/L (0±3) og bikarbonat (HCO3-) 23 mmol/L (22–26).
Med utgangspunkt i pasientens symptomer, kliniske funn og forhøyede D-dimerverdi var lungeembolisme primær arbeidsdiagnose. Forhøyet kardial troponin T kan blant annet sees ved større lungeembolier med økt hjertebelastning.
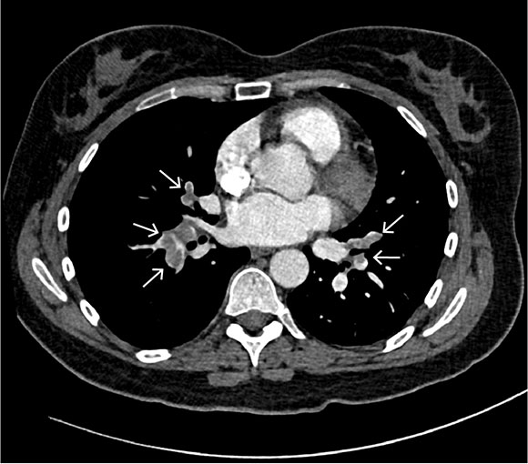
Ut fra arbeidsdiagnosen ble det gjort CT pulmonal angiografi, som viste lungeembolier i høyre hovedarterie samt segmentalt og subsegmentalt i lungearteriene bilateralt (figur 1). Både i høyre og venstre lunge ble det oppdaget basale, perifere, kileformede lungefortetninger som kunne indikere lungeinfarkter. Samtidig ble det påvist en lett utvidelse av truncus pulmonalis på 34 mm, som ytterligere støttet mistanken om forhøyet pulmonaltrykk og høyrebelastning.
Venøs tromboembolisme er en vanlig årsak til innleggelse i norske sykehus, og i Norge er insidensen estimert til å være 1,43/1 000/år (1). Det er mange etablerte risikofaktorer for venøs tromboembolisk sykdom, deriblant økende alder, nylig kirurgi, svangerskap, bruk av perorale østrogenholdige antikonseptiver, langtidsimmobilisering, fedme, røyking, infeksjonssykdom, malign sykdom, kjemoterapi samt hereditære eller ervervede trombofilier slik som antifosfolipidsyndrom (2).
Pasienten ble behandlet med lavmolekylært heparin i form av totalt 15 000 IE dalteparin subkutant for lungeembolier. Grunnet forhøyet kardial troponin T og tegn til høyrebelastning på CT angiografi ble hun overvåket med telemetri og videre henvist til transtorakal ekkokardiografi for vurdering av høyre hjertehalvdel. Denne viste normalt stor høyre ventrikkel med god funksjon, men med tegn til høyresidig trykkbelastning ut ifra noe forhøyet systolisk lungearterietrykk på 42 mmHg (< 35–40) og avflatet interventrikulært septum. Systolisk funksjon i venstre ventrikkel var normal, med en ejeksjonsfraksjon på 65 %.
Vel en dag etter innleggelsen fikk pasienten akutt oppståtte smerter i høyre toraks og abdomen med punctum maximum i høyre fossa iliaca med diffus perkusjonsømhet i nedre kvadrant og periumbilikalt. Blodprøver viste en økning i CRP til 61 mg/L, mens det hadde tilkommet et lett fall i Hb til 9,9 g/dL. Nyrefunksjons- og leverprøver var normale. EKG viste ikke tegn til myokardiskemi, og det var ikke mistanke om systemisk infeksjon. Pasienten ble tilsett av gastrokirurg, som anbefalte CT abdomen for diagnostisk avklaring.
Akutte smerter i hemitoraks og høyre flanke av abdomen kan ha mange årsaker, med nyrestein, appendisitt, divertikulitt, gallestein, urinveisinfeksjon, blødning og akutte gynekologiske årsaker som de viktigste differensialdiagnosene.
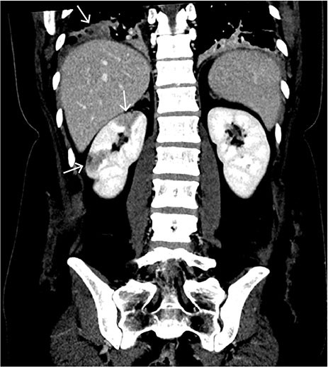
CT abdomen med intravenøs kontrast viste skarpt avgrensede, perifere, kileformede, hypodense områder i høyre nyre best forenlig med ferske nyreinfarkt (figur 2). Det ble ikke påvist blødning eller øvrig aktuell patologi i abdomen.
Hypodense lesjoner i nyreparenkymet kan sees ved hypoperfusjon og skyldes oftest akutt nyreinfarkt eller pyelonefritt. Grunnet skarpt avgrensede perifere, kileformede lesjoner og fravær av reaksjon i perirenalt fettvev passet funnene best med et nyreinfarkt. Dette er en sjelden tilstand hvor komplett eller partiell okklusjon i nyrearterien eller dens grener fører til iskemi i nyren. Nyreinfarkt kan manifestere seg med flankesmerter, kvalme, feber og hematuri (3). Det kliniske bildet kan imidlertid være subtilt, og diagnosen kan bli oversett. Tilstanden kan bli komplisert med nedsatt glomerulær filtrasjon og nyresvikt.
Det er ikke gode studier på forekomst av tilstanden, men en studie fra 2006 med 18 287 pasienter med hypertensjon rapporterte en prevalens på 0,3 % og en insidens på 0,018 % per år for spontant nyreinfarkt, mens en annen rapport fra 1940 på 14 411 obduksjoner viste en prevalens på 1,4 % (4, 5). Den vanligste årsaken til nyreinfarkt er embolus fra hjertet, først og fremst grunnet atrieflimmer (6). Nyrearterieskade og hyperkoagulasjonstilstander er andre årsaker. Behandling og oppfølging ved nyreinfarkt mangler konsensus, men det kan være aktuelt med kateterbasert og systemisk trombolyse, antikoagulasjon og kirurgi. Oppfølging bør inkludere måling av nyrefunksjon og undersøkelse for tegn til nyreskade (proteinuri og hematuri) og komplikasjoner (7).
Transtorakal ekkokardiografi utført tidligere i sykehusoppholdet hadde ikke vist intrakavitære trombemasser i hjertet. Nå mistenkte man paradoksal embolisering som kilde til nyreinfarktet og gikk derfor videre med transøsofageal ekkokardiografi for å se etter tegn til et åpentstående foramen ovale mellom hjertets atrier. Pasienten ble i tillegg henvist til MR cerebri og øyebunnsundersøkelse med tanke på ytterligere embolisering til andre organer.
Transøsofageal ekkokardiografi viste et åpentstående foramen ovale med kanallengde 10 mm og åpning på 5 mm (figur 3a) og et hypermobilt atrieseptum. Det var spontan shunt fra høyre atrium til venstre atrium bedømt med fargedoppler (figur 3b).
Funnene på transøsofageal ekkokardiografi støttet mistanken om paradoksal embolisering med overgang av trombe fra høyre til venstre atrium. Åpentstående foramen ovale verifiseres vanligvis ved å injisere agitert saltvann i perifer vene og be pasienten utføre Valsalvas manøver. Økt venøs retur til høyre atrium vil da gi en forbigående økning i atrietrykket som kan gi overgang av mikrobobler fra høyre atrium til venstre atrium (figur 3c).
Grunnet tydelig spontanshunt fra høyre til venstre side ble det ikke gjort bobletest hos denne pasienten. Hun ble vurdert for perkutan kateterbasert lukking av åpentstående foramen ovale for å redusere risikoen for fremtidig arteriell embolisering. Som ledd i utredningen fikk pasienten også utført ultralyd av dype vener. Denne avdekket bilaterale tromber i leggvener som ble beskrevet som mobile og med et kronisk utseende. MR cerebri og øyebunnsundersøkelse gav ikke holdepunkt for ferske emboliske infarkt cerebralt eller retinalt.
Pasienten ble skrevet ut fra sykehuset etter åtte dagers opphold med antikoagulasjonsbehandling i form av apiksabantabletter peroralt og henvist til elektiv kateterbasert lukking av åpentstående foramen ovale. Det ble ved ballongmåling av åpentstående foramen ovale funnet kort kanal med diameter på 15 mm, som ble lukket perkutant med en 30 mm GORE Septal Occluder (figur 4a–b), et selvekspanderende implantat laget av nitinol og goretex, med to flater som lukker seg inntil hver side av atrieseptum (figur 4c).
Implantatet dekkes normalt av endotel i løpet av 3–6 måneder. Pasienten ble oppfattet å ha lav risiko for tilbakefall av venøs tromboembolisme, og man seponerte apiksabantabletter tre måneder etter lukkingen. Hun fikk i tillegg acetylsalisylsyre 75 mg × 1 tabletter i seks måneder. Det ble gjort rutinemessig poliklinisk kontroll med transøsofageal ekkokardiografi ti uker og deretter tolv måneder etter prosedyren, som viste vellykket lukking av foramen ovale med implantat i pen posisjon og ingen kontrastovergang fra høyre til venstre atrium ved Valsalvas manøver. Pasienten har ikke hatt nye kardiovaskulære hendelser.
Antikoagulasjon, som brukt hos vår pasient, vil også være å foretrekke ved tromboembolisk etiologi til det aktuelle nyreinfarktet. Vår pasient hadde ikke noen sikre sekveler etter dette ved senere kontroller. Varighet av antikoagulasjonsbehandling vil være avhengig av etiologien for venøs tromboembolisme. Ved interkurrent årsak, som kirurgi hos vår pasient, er det anbefalt med tidsbegrenset antikoagulasjonsbehandling i seks måneder.
Pasientens nyrefunksjon har vært normal ved alle senere kontroller.
Diskusjon
Pasienten vår hadde bilaterale lungeembolier trolig utgått fra dype venetromboser provosert av nylig gjennomgått kirurgi, komplisert med nyreinfarkt forårsaket av paradoksal embolisering via åpentstående foramen ovale i hjertet. Det er sannsynlig at økt trykk i høyre hjertehalvdel på grunn av lungeembolier har forårsaket intrakardial høyre-til-venstre-shunting av trombemasse.
Åpentstående foramen ovale forekommer hos opptil 25 % av normalbefolkningen (8, 9). Den tyske patologen Julius Friedrich Cohnheim beskrev sammenhengen mellom åpentstående foramen ovale og hjerneslag i 1877 (10, 11). I fostersirkulasjonen utgjør foramen ovale en livsviktig spalte i skilleveggen mellom hjertets forkamre, som vanligvis lukker seg i løpet av det første leveåret, men en inkomplett tilheftning gir mulighet for shunting mellom høyre og venstre atrium.
Til tross for at de fleste pasienter med åpentstående foramen ovale er asymptomatiske, er tilstanden assosiert med økt risiko for hjerneslag, migreneanfall med aura, trykkfallsyke hos dykkere og dyspné relatert til platypné-ortodeoksi- syndrom (12). Hos pasienter under 60 år med hjerneslag hvor man ikke finner andre umiddelbare bakenforliggende årsaker, er åpentstående foramen ovale langt vanligere enn i befolkningen for øvrig, med en forekomst på opptil 50 %. Av den grunn antar man at det er en kausal sammenheng mellom åpentstående foramen ovale og hjerneslag hos disse pasientene (13). Pasienter med åpentstående foramen ovale kan i praksis få embolier i alle vaskulariserte organsystemer, som oftest i hjerne, øyne, milt og gastrointestinale organer. I litteraturen finner man imidlertid bare et fåtall tilfeller av paradoksale embolier som årsak til nyreinfarkt (14), vanligvis i et bilde hvor flere organer er rammet av akutte iskemiske symptomer.
Gullstandarden i utredningen av pasienter med mistenkt åpentstående foramen ovale er transøsofageal ekkokardiografi med saltvannkontrast som settes i perifer vene, og man får deretter fremstilt overgang av boblekontrast gjennom åpentstående foramen ovale etter Valsalvas manøver (15).
Lenge manglet det vitenskapelig evidens for at operativ lukking virkelig var å foretrekke framfor antitrombotisk behandling som sekundær profylakse etter hjerneslag (16). Først i 2017 ble det utarbeidet sikker dokumentasjon på at perkutan lukking av åpentstående foramen ovale er en sikker og effektiv behandling som reduserer risikoen for residiverende hjerneslag. Da ble det publisert tre uavhengige randomiserte kliniske studier som viste signifikant lavere risiko for nye kliniske hjerneslag etter lukking i kombinasjon med antitrombotisk behandling sammenlignet med antitrombotisk behandling alene (17–19). I den senere tid har derfor antallet utførte prosedyrer med foramen ovale-lukking økt betydelig, og flere pasienter vil også slippe langvarig antitrombotisk behandling.
I dag er det godt dokumentert risikoreduserende effekt ved lukking av åpentstående foramen ovale hos pasienter som har gjennomgått antatt embolisk hjerneslag før 60 års alder uten annen kjent årsak, og denne gruppen anbefales lukking i henhold til nasjonale og internasjonale retningslinjer (20). Studiene har ikke inkludert pasienter med embolisering til andre organer enn hjernen, men en tilsvarende risikoreduksjon for nye embolier må antas hos alle pasienter med dokumentert embolisering i systemsirkulasjonen. Hos vår pasient, der åpentstående foramen ovale var sannsynlig årsak til nyreinfarkt, fant vi indikasjon for lukking for å forebygge nye vaskulære hendelser.
Ved kateterlukking er det en risiko for prosedyrerelaterte komplikasjoner. Alvorlige komplikasjoner som dislosering av implantat, trombedannelse på implantat, lungeemboli og hjertetamponade er sjeldne, mens mindre blødning og arytmi som atrieflimmer er noe mer vanlig (21, 22). Etter utskrivning følges pasientene opp med ekkokardiografi etter 1–2 måneder og deretter etter 6–12 måneder for å kontrollere at det ikke foreligger komplikasjoner til prosedyren.
Uvanlige presentasjoner av kjente tilstander kan være klinisk utfordrende. Hos pasienter som får embolier på venøs og arteriell side, er det viktig å tenke på åpentstående foramen ovale som rute for emboli. Nyreinfarkt er sjelden, og bare et fåtall tilfeller er beskrevet i litteraturen, men oversett eller forsinket diagnostikk kan medføre betydelige komplikasjoner (3–7). Hos den unge kvinnen i kasuistikken mener vi lukking av åpentstående foramen ovale var riktig og viktig behandling, fordi risikoen for at nye embolier kan forårsake et klinisk hjerneslag må antas å være stor.
Pasienten har gitt samtykke til at artikkelen blir publisert.
Artikkelen er fagfellevurdert.
- 1.
Naess IA, Christiansen SC, Romundstad P et al. Incidence and mortality of venous thrombosis: a population-based study. J Thromb Haemost 2007; 5: 692–9. [PubMed][CrossRef]
- 2.
Pastori D, Cormaci VM, Marucci S et al. A Comprehensive Review of Risk Factors for Venous Thromboembolism: From Epidemiology to Pathophysiology. Int J Mol Sci 2023; 24: 3169. [PubMed][CrossRef]
- 3.
Oh YK, Yang CW, Kim Y-L et al. Clinical Characteristics and Outcomes of Renal Infarction. Am J Kidney Dis 2016; 67: 243–50. [PubMed][CrossRef]
- 4.
Paris B, Bobrie G, Rossignol P et al. Blood pressure and renal outcomes in patients with kidney infarction and hypertension. J Hypertens 2006; 24: 1649–54. [PubMed][CrossRef]
- 5.
Hoxie H, Coggin C. Renal Infarction: statistical study of two hundred and five cases and detailed report of an unusual case. Arch Intern Med (Chic) 1940; 65: 587–94. [CrossRef]
- 6.
González-Bustos P, Roa-Chamorro R, Jaén-Águila F. Who shot first? Three possible causes of a kidney infarction. Clin Investig Arterioscler 2021; 33: 203–5. [PubMed][CrossRef]
- 7.
Saju JM, Leslie SW. Renal Infarction. Treasure Island, FL: StatPearls, 2023.
- 8.
Homma S, Messé SR, Rundek T et al. Patent foramen ovale. Nat Rev Dis Primers 2016; 2: 15086. [PubMed][CrossRef]
- 9.
Hagen PT, Scholz DG, Edwards WD. Incidence and size of patent foramen ovale during the first 10 decades of life: an autopsy study of 965 normal hearts. Mayo Clin Proc 1984; 59: 17–20. [PubMed][CrossRef]
- 10.
Zampieri F, Thiene G, Basso C et al. The three fetal shunts: A story of wrong eponyms. J Anat 2021; 238: 1028–35. [PubMed][CrossRef]
- 11.
Lippmann H, Rafferty T. Patent foramen ovale and paradoxical embolization: a historical perspective. Yale J Biol Med 1993; 66: 11–7. [PubMed]
- 12.
Jeong H, Woo Lee H, Young Joung J et al. Renal infarction caused by paradoxical embolism through a patent foramen ovale. Kidney Res Clin Pract 2012; 31: 196–9. [PubMed][CrossRef]
- 13.
Putaala J. Ischemic stroke in the young: Current perspectives on incidence, risk factors, and cardiovascular prognosis. Eur Stroke J 2016; 1: 28–40. [PubMed][CrossRef]
- 14.
Iizuka Y, Tsuchida T, Ashikaga K et al. Patent Foramen Ovale Complicated With Renal Infarction and Pulmonary Embolism: A Case Report With Literature Review. Cureus 2023; 15: e35433. [PubMed][CrossRef]
- 15.
Ho APT, Tjønnfjord EB, Schreiner C et al. En kvinne i 50-årene med levercirrhose og stillingsavhengig dyspné. Tidsskr Nor Legeforen 2023; 143. doi: 10.4045/tidsskr.22.0754. [PubMed][CrossRef]
- 16.
Collado FMS, Poulin MF, Murphy JJ et al. Patent Foramen Ovale Closure for Stroke Prevention and Other Disorders. J Am Heart Assoc 2018; 7: e007146. [PubMed][CrossRef]
- 17.
Saver JL, Carroll JD, Thaler DE et al. Long-Term Outcomes of Patent Foramen Ovale Closure or Medical Therapy after Stroke. N Engl J Med 2017; 377: 1022–32. [PubMed][CrossRef]
- 18.
Mas J-L, Derumeaux G, Guillon B et al. Patent Foramen Ovale Closure or Anticoagulation vs. Antiplatelets after Stroke. N Engl J Med 2017; 377: 1011–21. [PubMed][CrossRef]
- 19.
Søndergaard L, Kasner SE, Rhodes JF et al. Patent Foramen Ovale Closure or Antiplatelet Therapy for Cryptogenic Stroke. N Engl J Med 2017; 377: 1033–42. [PubMed][CrossRef]
- 20.
Helsedirektoratet. Behandling av patent foramen ovale. https://www.helsedirektoratet.no/retningslinjer/hjerneslag/sekundaerforebygging-undersokelse-og-behandling-ved-hjerneslag/behandling-av-patent-foramen-ovale#patent-foramen-ovale-pfo-lukning-hos-pasienter-60-ar-med-hjerneinfarkt-uten-kjent-arsak-og-pavist-pfo Lest 1.9.2023.
- 21.
Khairy P, O'Donnell CP, Landzberg MJ. Transcatheter closure versus medical therapy of patent foramen ovale and presumed paradoxical thromboemboli: a systematic review. Ann Intern Med 2003; 139: 753–60. [PubMed][CrossRef]
- 22.
Hirth A, Greve G, Rosland GA et al. Kateterbasert lukking av åpentstående foramen ovale hos unge slagpasienter. Tidsskr Nor Lægeforen 2003; 123: 785–8. [PubMed]