En mann i 60-årene med dyspné og systolisk bilyd etter hjerteinfarkt

    ()

    sporsmal_grey_rgb
    Abstract

    Background

    Ventricular septal rupture (VSR) following acute myocardial infarction is rare in the modern revascularisation era. Nevertheless, clinical awareness is paramount, as presentation may vary.

    Case presentation

    A middle-aged male with no history of cardiovascular disease developed progressive heart failure symptoms while travelling abroad. Initial workup revealed a prominent systolic murmur, but findings were inconsistent with acute coronary syndrome. Transthoracic echocardiogram showed a small hypokinetic area in the basal septum, preserved left ventricular function and no significant valvulopathy. Despite the absence of chest pain, an invasive angiography revealed occlusion of a septal branch emerging from the left anterior descending artery, otherwise patent coronary arteries. Despite administration of diuretics, the patient remained symptomatic and presented two months later to his primary care provider with a persisting systolic murmur. He was subsequently referred to the outpatient cardiology clinic where echocardiography revealed a large VSR involving the basal anteroseptum of the left ventricle with a significant left-to-right shunt. After accurate radiological and haemodynamic assessment of the defect, he successfully underwent elective surgical repair.

    Interpretation

    Although traditionally associated with large transmural myocardial infarctions, VSR may arise also from minor, subclinical events. A new-onset murmur is a valuable hint for the alert clinician.

    Artikkel

    En tidligere frisk mann fikk påvist koronarsykdom og systolisk bilyd under utredning for nyoppstått hjertesvikt. Tverrfaglig utredning førte til vellykket behandling av en sjelden komplikasjon etter et mindre hjerteinfarkt.

    En tidligere hjertefrisk mann i 60-årene utviklet deklive ødemer og progredierende funksjonsdyspné under en ferietur i Sør-Europa. Etter en uke uten bedring kontaktet han lege og ble lagt inn på et sykehus i nærområdet. Ved innleggelsen var blodtrykket 123/93 mmHg, puls 94/min, sO2 (a) 94 % med 2 liter O2/min Det ble funnet en systolisk bilyd grad 4/6 over hele prekordiet med utstråling til aksille, bibasal demping over lungene og ødemer i underekstremitetene. EKG er vist i figur 1.

    Orienterende blodprøver viste økt troponin T uten signifikant dynamikk 40 - 41 - 38 ng/L (referanseområde < 14), kreatinin 94 μmol/L (60–110), CRP 11 mg/L (< 5) og NT-proBNP 3172 - 1786 ng/L (< 300). Ekkokardiografi viste et lite akinetisk område anteroseptalt i venstre ventrikkel, men bevart ejeksjonsfraksjon på 64 %. Ved undersøkelse av hjerteklaffene ble det kun funnet en liten mitral- og trikuspidalinsuffisiens.

    Koronarangiografi viste okklusjon av en septalgren utgående fra ramus descendens anterior (LAD), for øvrig var det normale koronarkar. Det ble ikke gjort koronarintervensjon. Etter angiografien fikk pasienten atrieflimmer med spontant omslag til sinusrytme. Pasienten ble utskrevet med apiksaban 5 mg × 2, sotalol 80 mg × 1, furosemid 40 mg × 1, kaliumtilskudd 600 mg × 1 og atorvastatin 80 mg × 1 i tablettform. Kort tid etter reiste han tilbake til Norge.

    Pasienten ble hospitalisert med symptomer på hjertesvikt uten anamnese for brystsmerter. EKG viste en kombinasjon av Q-bølger og T-inversjoner i V1–V3. Troponin T var lett forhøyet uten signifikant dynamikk. Funn fra EKG og kontraksjonsforstyrrelsen i venstre ventrikkel samsvarte med forsyningsområdet av den okkluderte septalgrenen. Funnene passet med et gjennomgått anteroseptalt hjerteinfarkt av eldre dato, og ikke en akutt koronar hendelse. Pasientens funksjonsdyspné, den prominente systoliske bilyden og funn av forhøyet NT-proBNP ble ikke utredet videre. En liten mitralinsuffisiens med bevart ejeksjonsfraksjon vil vanligvis ikke kunne forklare dette kliniske bildet.

    Pasienten opplevde effekt av behandling, men hadde fortsatt funksjonsdyspné svarende til New York Heart Association (NYHA) klasse II. To uker etter utskrivelsen ble han henvist av fastlegen til poliklinisk utredning ved lokalt sykehus hvor han ble vurdert to måneder senere. Ved klinisk undersøkelse ble det funnet en kraftig systolisk bilyd grad 6/6, som var mest hørbar over aortastedet. Auskultasjon av lungene var upåfallende, og underekstremitetene var uten tegn til ødemer. EKG viste sinusrytme på 52/min, normal akse og Q-bølger i V1 og V2, med normalisering av tidligere inverterte T-bølger. Transtorakal ekkokardiografi viste bevart systolisk funksjon (EF 55 %) og et lite infarktsekvele anteroseptalt. Fargedoppler avdekket et høyfrekvent signal som gikk ut fra den basale anteriore delen av venstre ventrikkels septum og inn i høyre ventrikkels utløpskanal (RVOT), som var suspekt på ventrikkelseptumruptur med venstre til høyre shunt (figur 2). Dopplermålinger estimerte en shunthastighet på 3,6 m/s, en shuntfraksjon på 2,0 og et systolisk trykk i det lille kretsløpet tilsvarende 50–55 mmHg (referanseområde < 40 mmHg). Høyre ventrikkel var dilatert til 53 mm (referanseområde < 40 mm), men velfungerende. Det ble påvist en liten insuffisiens i både mitral- og trikuspidalklaffen.

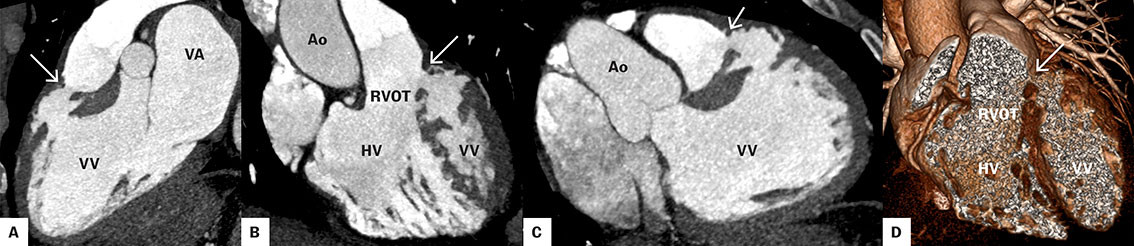
    Pasientens alder, funn ved koronarangiografi og klinisk presentasjon gav mistanke om en postinfarkt ventrikkelseptumruptur og ikke en medfødt defekt. For å bedre kartlegge anatomien av defekten ble det gjort en EKG-gatet computertomografi (CT) av hjertet i arteriell kontrastfase. Undersøkelsen påviste en anteroseptal defekt på < 1 cm i ulike plan, med kontrastpassasje mellom venstre ventrikkel og høyre ventrikkels utløpskanal (figur 3). CT-undersøkelsen viste også refluks av kontrast til vena cava inferior og levervener som tegn på høyresidig hjertesvikt (ikke vist i figur). Pasienten ble innlagt fra poliklinikken samme dag og ble neste dag overflyttet til universitetssykehus for videre utredning.

    En intrakardial shunt defineres som en unormal kobling mellom høyre og venstre hjertehalvdel som medfører en patologisk blanding av arterielt og venøst blod. Tilstanden kan være medfødt (f.eks. atrie-ventrikkelseptumdefekt), ervervet (oftest etter et transmuralt hjerteinfarkt) eller iatrogen (etter intervensjon/kirurgi). Shunten skyldes en trykkgradient mellom to kamre. Over tid vil en shunt forårsake en alvorlig forstyrrelse i hjertets hemodynamikk med trykk- og volumbelastning av høyre ventrikkel. Høyre ventrikkel vil til slutt dilatere for så å svikte.

    Ved mistenkt intrakardial shunt er det vesentlig å kvantifisere ratioen mellom det pulmonale minuttvolumet (Qp) og det systemiske minuttvolumet (Qs) for å kunne vurdere shuntens hemodynamiske betydning. Normalt er det lik blodgjennomstrømning i det lille kretsløpet og det systemiske kretsløpet, og Qp/Qs er 1: 1. Dersom den pulmonale gjennomstrømningen overgår det systemiske, som i en venstre-høyre shunt, vil Qp/Qs være > 1. Denne vurderingen kan gjøres med non-invasive ekkokardiografiske metoder eller invasivt med høyre hjertekateterisering. Ekkokardiografisk baserer Qp og Qs seg på 2D- og dopplermålinger i utløpet av høyre (Qp) og venstre ventrikkel (Qs). Ekkokardiografisk innsyn i høyre ventrikkels utløpskanal kan være utfordrende, noe som gir målene en viss grad av usikkerhet. Høyre hjertekateterisering er et viktig supplement til ekkokardiografi, både for å bekrefte funnet, men også for å planlegge kirurgisk inngrep ved å kartlegge de hemodynamiske forholdene.

    Andre viktige aspekter ved den ekkokardiografiske vurderingen av en ventrikkelseptumruptur er

    1. hastigheten av shuntsignalet: gir et grovt estimat på størrelse av defekt. Høy hastighet over defekten representerer en liten defekt med bevart trykkforskjell mellom venstre og høyre ventrikkel.

    2. blodtrykket i det pulmonale kretsløpet: pulmonal hypertensjon i fravær av andre årsaker, indikerer hemodynamisk påvirkning.

    3. høyre ventrikkels morfologi og funksjon: høyre ventrikkeldilatasjon med eller uten svikt er et uttrykk for alvorlig hemodynamisk påvirkning og en markør for dårlig prognose.

    Ved universitetssykehuset ble det utført koronarangiografi som bekreftet de tidligere funnene og høyre hjertekateterisering for å bedre vurdere de hemodynamiske forholdene (tabell 1).

    Tabell 1

    Hemodynamiske målinger ved høyre hjertekateterisering

    Kammer

    Målinger

    Normalverdi

    Høyre atrie (mmHg)

    8

    < 7

    Høyre ventrikkel sys/mid/dia (mmHg)

    60/10/2

    < 30/8

    Arteria pulmonaris sys/mid/dia (mmHg)

    40/28/12

    mid < 20

    Pulmonary capillary wedge pressure (innkilt trykk) (mmHg)

    25

    < 12

    Aorta sys/mid/dia (mmHg)

    126/80/95

    < 120/80

    Lungekarmotstand (Wood units)

    0,5

    0,25–1,6

    Minuttvolum (L/min)

    8,5

    4,0–8,0

    sO2-målinger (%)

    vena cava superior 71 %

    høyre atrium 73 %

    høyre ventrikkel 84 %

    arteria pulmonalis 83 %

    dia: diastolisk trykk, mid: middels trykk, sO2: oksygenmetning, sys: systolisk trykk

    Høyre hjertekateterisering er en invasiv kateterundersøkelse av hjerte- og lunge-hemodynamikk som tillater direkte måling av intrakardiale trykk. I tillegg kan høyre hjertekateterisering med termodilusjon estimere hjertets minuttvolum og kvantifisere en shunt ved seriemålinger av oksygenmetning ved predefinerte lokalisasjoner i kretsløpet. En venstre-høyre-shunt vil medføre at oksygenrikt blod fra venstre ventrikkel blander seg med oksygenfattig blod i høyre ventrikkel, og oksygenmetningen i arteria pulmonalis vil bli unormalt høy. Selv om undersøkelsen ikke er perfekt, anses den som mer presis enn ekkokardiografi for shuntvurdering.

    Høyre hjertekateterisering påviste lettgradig pulmonal hypertensjon av postkapillær type (normal lungekarmotstand) med høyt fylningstrykk i venstre ventrikkel (forhøyet innkilt trykk). Tolkning av oksygenmetningsmålingene beregnet en Qp/Qs på 1,8 (signifikant shunt foreligger ved Qp/Qs > 1,5). Hjertets minuttvolum ble målt til 8,5 L/min (normalverdi 4,0 til 8,0 L/min). Det høye minuttvolumet vil gi en lav lungekarmotstand. Funnene støttet diagnosen ventrikkelseptumruptur.

    Pasienten ble diskutert på et tverrfaglig møte mellom invasive og non-invasive kardiologer samt hjertekirurger. Pasientens ventrikkelseptumruptur medførte progredierende symptomer og kunne uten behandling føre til høyre ventrikkelsvikt og prognosetap. Det ble vurdert at operasjonsindikasjon var til stede. Pasienten var motivert for behandling, og det ble besluttet elektiv lukking av defekten under åpen hjertekirurgi.

    For å redusere risikoen for komplikasjoner ble det brukt en hybrid teknikk med tilgang ved incisjon i høyre ventrikkels utløpskanal. Ventrikkelseptumruptur i fremre del av septum er i nærheten av ramus descendens anterior og septale grener, og en incisjon på venstre fremre vegg og suturer transmuralt basalt, fortil og apikalt kan medføre risiko for både skade av ramus descendens anterior og arytmi, som igjen gir økt morbiditet/mortalitet. Preoperativ CT og transøsofageal ekkokardiografi ble brukt for å lokalisere korrekt nivå for incisjon i høyre ventrikkels utløpskanal.

    En perikard-understøttet sutur ble plassert fra venstre mot høyre i nedre kant av defekten. En Amplatzer™ Duct Occluder med 10 mm kjerne og 16 mm skive ble ført inn i defekten og skiven foldet seg ut på venstre side med kjernen i kanalen. Ductuspluggen ble forankret med suturen, og kjernen ble festet på høyre ventrikkelside av septum med fire suturer, en i hver kvadrant. Denne teknikken gir en trygg behandling av defekten og minimerer risikoen for skade av ramus descendens anterior. Postoperativ kontroll viste tilfredsstillende lukking av defekten og uendret god ventrikkelfunksjon. Tjue måneder etter operasjon er pasienten i god allmenntilstand og fungerer i NYHA klasse I: Han har nylig utført en belastnings-EKG til 250 W (159 % av forventet verdi) uten symptomer.

    Diskusjon

    Diskusjon

    Ventrikkelseptumruptur er en sjelden, men fryktet mekanisk komplikasjon etter hjerteinfarkt. Historiske data beskriver en prevalens opp mot 2 % av alle akutte hjerteinfarkt, men med dagens reperfusjonsmodaliteter har den falt mot 0,17–0,31 % (1, 2). Imidlertid har insidensen av mekaniske komplikasjoner etter hjerteinfarkt økt under den nylige covid-19-pandemien og kan skyldes forsinket behandling av akutt koronarsyndrom (3). Data fra en stor multisenter, randomisert studie (GUSTO-1) med over 84 000 pasienter med hjerteinfarkt identifiserte følgende prediktorer for utvikling av ventrikkelseptumruptur: fremreveggsinfarkt (oddsratio 3,15), kvinnelig kjønn (oddsratio 2,54) og alder (oddsratio 2,05) (1).

    Ventrikkelseptumruptur oppstår ofte i infarktets periferi hvor hyperkontraktilitet fra gjenværende friskt myokard utøver mekanisk stress på svakt, nyinfarsert vev (4). Becker og kollegaer klassifiserte ventrikkelseptumruptur i tre forskjellige typer. Type I er beskrevet som et snittliknende kutt som oppstår akutt innen 24 timer etter hendelsen. Type II skyldes dannelse av en erosjon i infarsert myokard og korrelerer med en mer subakutt presentasjon, typisk 3–5 dager etter et hjerteinfarkt. Type III er assosiert med uttynning av septum, aneurismedannelse og påfølgende ruptur, og er assosiert med eldre infarkt (5). I GUSTO-1-materialet var 94 % av tilfellene diagnostisert innen den første uken etter et hjerteinfarkt (1).

    Vår pasient hadde en uke med symptomer på hjertesvikt, men ingen brystsmerter. Funnene fra EKG, biokjemi, ekkokardiografi og koronarangiografi tydet på at han hadde gjennomgått et mindre, subklinisk hjerteinfarkt forut for symptomdebut. Funn av systolisk bilyd og forhøyet proBNP taler for at ventrikkelseptumruptur kunne ha vært til stede allerede under den første innleggelsen i utlandet. En nyoppstått bilyd etter hjerteinfarkt bør alltid utløse mistanke om mekanisk komplikasjon. Grundig klinisk undersøkelse inklusiv hjerteauskultasjon anbefales regelmessig i denne populasjonen (4, 6).

    Ventrikkelseptumruptur fører ofte til kardiogent sjokk og død. I GUSTO-1-studien var 30-dagers mortalitet 73,8 % (1). Mortaliteten er særlig høy hos pasienter som er inkomplett revaskularisert og som er i sjokk (1, 7, 8). Pasienter som overlever den akutte fasen, er utsatt for uforutsigbar klinisk utvikling avhengig av størrelsen på defekten og gjenværende systolisk funksjon. En kronisk ventrikkelseptumruptur, som hos vår pasient, vil medføre økt fylningstrykk i venstre ventrikkel, pulmonal hypertensjon og trykk- og volumoverbelastning av høyre ventrikkel, som til sammen forklarer hans funksjonsdyspné og deklive ødemer. Uten behandling vil disse forandringene kunne forårsake progredierende sirkulasjonssvikt og kardiogent sjokk (2, 4).

    Medisinsk behandling alene er assosiert med 94 % mortalitet (1, 2, 4, 8). Lukking av defekten er den eneste resolutive behandlingen og kan utføres med åpen hjertekirurgi eller via perkutan kateterbasert intervensjon. Sistnevnte brukes en sjelden gang som siste utvei hos pasienter som har større kontraindikasjoner mot åpen kirurgi (4).

    Vår pasient var frisk fra tidligere og klinisk stabil, noe som tillot optimal planlegging av inngrepet. Elektiv kirurgi etter hjerteinfarkt er fordelaktig da man kan suturere i tilhelet myokard, mens sutur av nyinfarsert vev gir høy risiko for suturløsning og residiv av ventrikkelseptumruptur. I dette tilfellet ble defekten reparert med en kombinasjon av en perikard-patch, sutur og en syntetisk protese via et enkelt snitt i høyre ventrikkels utløpskanal, noe som førte til et godt resultat og mindre risiko for komplikasjoner. Godt samarbeid mellom radiologer, kardiologer og hjertekirurger var avgjørende for å planlegge prosedyren. Vurdering i et tverrfaglig hjertemøte er anbefalt for alle kompliserte kardiale tilstander, noe denne kasuistikken belyser (9).

    Vår pasient kunne ha risikert et alvorlig utfall. Tverrfaglig utredning medførte at han kunne gjennomgå kurativ kirurgi med et godt resultat.

    Konklusjon

    Konklusjon

    Ventrikkelseptumruptur er en sjelden, men alvorlig komplikasjon som kan inntreffe også etter mindre, subkliniske hjerteinfarkt. Hjerteauskultasjon er viktig hos pasienter etter hjerteinfarkt, og nyoppstått bilyd i denne populasjonen bør alltid utløse mistanke om denne komplikasjonen. Flermodal diagnostikk og tverrfaglig samarbeid er viktige elementer for god pasientbehandling.

    Pasienten har gitt samtykke til at artikkelen blir publisert.

    Artikkelen er fagfellevurdert.

    Kommentarer  ( 0 )
    PDF
    Skriv ut

    Anbefalte artikler