En kvinne i 30-årene utviklet i løpet av kort tid multiple nekrotiske lesjoner i ansiktet. Hudlege gjenkjente kliniske trekk ved en sjelden diagnose, som til slutt ble diagnostisk bekreftet. Kjent atopisk eksem gav økt risiko for et alvorlig forløp av en i utgangspunktet mild sykdom, og multidisiplinær tilnærming viste seg å være nødvendig.
En kvinne i 30-årene med kjent atopisk dermatitt ble innlagt fra legevakten til medisinsk avdeling i lokalsykehus med mistanke om cellulitt i ansiktet. Hun brukte ingen faste medisiner. Hun hadde en katt i husstanden. En måned før oppstart av symptomer hadde hun feriert i Sør-Europa. De siste dagene før innleggelsen utviklet hun økende smerter, hevelse, rødme og varme i venstre ansiktshalvdel. Dagen før innleggelsen hadde hun startet med fenoksymetylpenicillin 1 g × 4 peroralt etter vurdering av øre-nese-hals-lege.
Ved innleggelsen i medisinsk avdeling var allmenntilstanden lett nedsatt. Blodtrykk var 137/77 mmHg, puls 92 slag/min, respirasjonsfrekvens 19 per minutt, oksygenmetning 97 % og temperatur 36,3°C. Hun hadde tydelig hevelse og diffus rødme i venstre ansiktshalvdel, særlig rundt øyet og på kinnet. Det hadde også kommet flere små krustebelagte lesjoner i dette området. Blodprøver viste CRP 70 mg/L (referanseområde < 5) og leukocytter 5,5 × 109/L (4,1–9,8 × 109/L). Tilstanden ble vurdert som cellulitt, med eksem som mulig inngangsport. Etter at blodkulturer var sikret, startet man med intravenøst antibiotikum i form av kloksacillin 2 g × 4.
Blodkulturer var negative. Grunnet manglende bedring og for å forbedre vevspenetrasjonen la man dag 5 til intravenøs behandling med klindamycin 600 mg × 4. Dag 6 ble penselprøve av sårsekret sendt til dyrkning, og denne viste oppvekst av Staphylococcus aureus. Leukocyttallet var stigende til 14,9 × 109/L. Maskinell differensiering var ikke mulig, og det ble varslet om potensielt abnormale lymfocytter. Til tross for dette, var CRP fallende fra 70 mg/L til 38 mg/L.
Etter ytterligere noen dager med klinisk forverring ble det også lagt til ciprofloksacin 750 mg × 2 peroralt for å dekke eventuelle gramnegative bakterier. En tydelig forstørret glandel ved venstre kjevevinkel ble oppdaget, og det, sammen med lymfocytose på 10,0 × 109/L (1,2–3,1 × 109/L), gjorde at man vurderte kutan manifestasjon av lymfom eller lymfoproliferativ sykdom. Blodutstryk viste lymfocytose med atypiske celler, men immunfenotyping av blodet viste normale funn. Diagnosen apekopper ble så vidt diskutert, grunnet det pågående utbruddet i ikke-endemiske land i Europa og andre deler av verden. Men ettersom pasienten var utenfor kjent risikogruppe, ble bakteriell infeksjon vurdert som mer sannsynlig.
Cellulitt er en vanlig hudinfeksjon og involverer typisk dypere deler av dermis og subkutant fettvev. Tilstanden oppstår gjerne som komplikasjon til et sår, som mistenkt hos vår pasient (1). De vanligste patogenene er streptokokker og stafylokokker, men også andre årsaker som gramnegative bakterier kan ses. Diagnosen stilles klinisk understøttet av laboratorieverdier. Før oppstart av et antibiotikum bør det tas dyrkning og blodkulturer (2). Antibiotikabehandling bør gis i henhold til nasjonale retningslinjer (3).
Da det var usikker diagnose og klinisk forverring, tok man dag 9 kontakt med hudlege. Tilsyn skjedde samme dag, og hudlegen anbefalte overflytning til hudavdeling ved et regionssykehus. På overflyttingstidspunktet hadde pasienten flere større lesjoner med nekrose og sentralt vevstap lokalisert til venstre kinn og tinning. Ved høyre øyebryn og høyre håndrygg var det lignende, men mindre lesjoner. Det var betydelig hevelse i venstre del av ansiktet, og venstre øye var nærmest gjenklistret. Lymfeknutene under venstre kjevevinkel var tydelig forstørret (figur 1). Det siste døgnet hadde det i tillegg oppstått et generalisert utbredt makulopapuløst eksantem, som ved legemiddelreaksjon.
Kloksacillin, klindamycin og ciprofloksacin ble alle seponert, da man ikke kunne si hvilket medikament som var årsak til utslettene. Blodprøver viste leukocytter 16,1 × 109/L (4,1–9,8 × 109/L), hvorav lymfocytter var 9,1 × 109 (1,2–3,1 × 109/L), nøytrofile granulocytter 5,6 × 109 (1,8–6,9 × 109), CRP 29 mg/L (< 5 mg/L), alaninaminotransferase (ALAT) 608 U/L (10–45), gammaglutamyltransferase (GGT) 186 U/L (10–45) og bilirubin 6 µmol/L (> 20).
Pasientens utslett gav klinisk mistanke om viral hudinfeksjon, særlig kukopper. Differensialdiagnostisk vurderte man også leishmaniasis, da pasienten hadde vært på reise til Sør-Europa. De forhøyede leverprøvene ble sett i sammenheng med hennes legemiddeleksantem.
For diagnostisk avklaring ble det tatt penselprøve fra sårsekret på virustransportmedium til polymerasekjedereaksjonstest (PCR) ved Mikrobiologisk avdeling. Biopsi fra sårkant lagt i sterilt glass tilsatt formalin for farging med hematoksylin-eosin (HE) ble sendt til Avdeling for patologi, Haukeland universitetssjukehus. Biopsi lagt i natriumklorid ble sendt Nasjonal referansefunksjon for molekylærbiologisk parasittdiagnostikk, Oslo universitetssykehus for leishmaniasis-PCR.
Analysen utført lokalt ved Mikrobiologisk avdeling er en sanntids-PCR for påvisning av ortopoxvirus-DNA, basert på en tidligere beskrevet metode (4). Metoden var implementert som første del av to PCR-analyser for diagnostikk av apekopper, og denne skiller ikke mellom de ulike ortopoxvirusene. Spesifikk PCR-analyse for apekopper ble utført for å ekskludere dette som årsak til pasientens symptombilde.
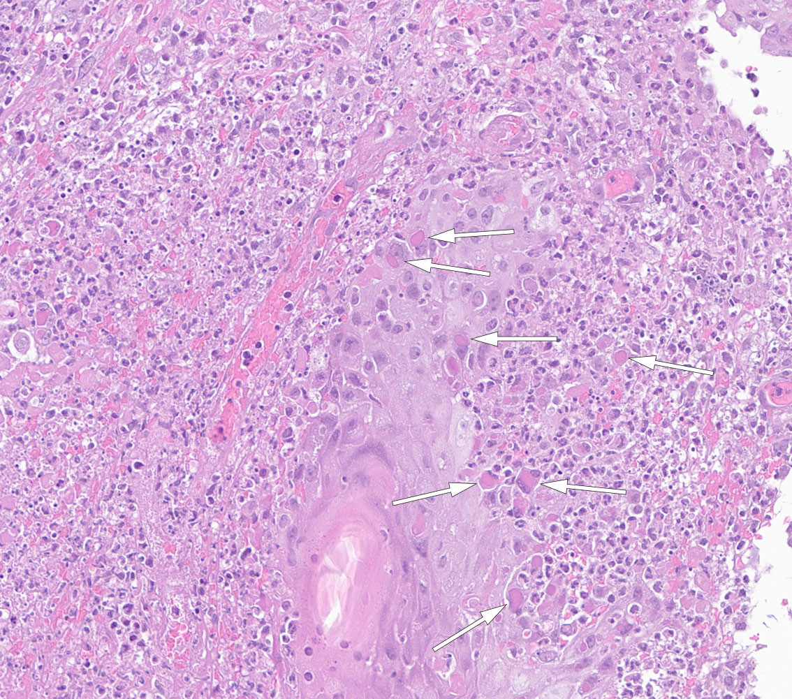
PCR for ortopoxvirus var positiv, mens spesifikk PCR for apekopper var negativ. Diagnostikk for videre differensiering innad i ortopoxgruppen er ikke tilgjengelig nasjonalt. Da det av akademiske årsaker var ønskelig med en bekreftelse av diagnosen, ble en ny penselprøve fra sårsekret sendt til Statens Serum Institut i Danmark for nærmere undersøkelse. Prøven ble her undersøkt med PCR og sekvensering, og kukopper ble bekreftet. Histologiske funn passet også med kukopper (figur 2). Leishmaniasis-DNA ble ikke påvist i hudbiopsi undersøkt ved referanselaboratoriet ved Oslo universitetssykehus.
Kukopper skyldes kukoppevirus som tilhører slekten ortopoxvirus i familien Poxviridae. Ortopoxvirusgruppen omfatter flere andre arter, deriblant apekoppviruset, vacciniavirus (vaksinestamme) og det utryddede koppeviruset (5). Kukopper er primært en sykdom hos dyr. Til tross for navnet er ikke viruset endemisk hos storfe, men hos gnagere som mus og rotter (6, 7). I rapporter om kukopper hos mennesker vises det ofte til katt som mellomvert, trolig via smitte fra gnagere (8, 9). Smitte til menneske forekommer sjelden, men både enkelttilfeller og små utbrudd i Europa er publisert de siste tiårene (9–11). Kukopper smitter ikke fra person til person og er ikke meldepliktig til Meldingssystem for smittsomme sykdommer (MSIS) (5).
Prednisolon 40 mg × 1 ble gitt peroralt, med nedtrappingsplan, primært for pasientens generaliserte legemiddelreaksjon, men også for å dempe lokal inflammasjon i ansiktet. Legemiddeleksantemet trakk seg gradvis tilbake i løpet av de første dagene, og leverprøvene normaliserte seg. De nekrotiske lesjonene i ansiktet ble forsøkt fjernet mekanisk i flere omganger. Ulike sårplater samt antiseptiske midler ble brukt. Det ble etter hvert gjort ultralyd av venstre ansiktsregion grunnet økende hoven og stram hud rundt hudlesjonene på venstre kinn. Ultralyden viste betydelig inflammasjon og en stor lymfeknute, som ble oppfattet som reaktiv.
På dag 30 ble problemstillingen diskutert med plastikkirurg, som anbefalte fortsatt konservativ tilnærming. I dagene som fulgte oppdaget man økende underminering av huden perifert for sårene samt økende, dyp nekrose svarende til sårene utenfor venstre laterale øyevinkel. Ny ultralyd viste abscess i utvikling. Dag 37 ba man om ny vurdering av plastikkirurg for sårrevisjon og hjelp til å planlegge videre behandling. Pasienten ble da overflyttet til plastikkirurgisk avdeling. Det ble funnet indikasjon for operativ behandling med åpning av hud og fjerning av fettnekroser og dødt vev.
Huddefektene ble rekonstruert med lokale hudlapper. Ny dyrkningsprøve viste oppvekst av gule stafylokokker, og man startet med intravenøs kloksacillin 2 g × 4 til tross for tidligere legemiddelreaksjon med usikkert agens. Pasienten var i god allmenntilstand og afebril, men hadde stigende CRP til 71 mg/L, mens leukocyttallet var 9,1 × 109/L. Klinisk ble det observert økende lokale infeksjonstegn, puss under hudlappene, fulgt av iskemi med påfølgende nekrose av lappene. Det ble i flere omganger utført revisjon av nekrosene samt sårstell. Ved infeksjonskontroll og observasjon av ren sårflate ble det besluttet å rekonstruere med donorsted for fullhudtransplantat fra venstre overarm. Donorsted ble blant annet valgt på bakgrunn av pasientens atopiske eksem (figur 3). Det ble totalt gitt intravenøs kloksacillin 2 g × 4 i ni dager, før overgang til peroralt dikloksacillin 500 mg × 3 i totalt ti dager. Hun utviklet ingen hudreaksjon på antibiotika denne gangen.
Etter totalt 55 dager i sykehus ble hun utskrevet til hjemmet. Hun ble fulgt opp med tette kontroller ved plastikkirurgisk poliklinikk. Transplantatet festet seg fint, og to små gjenværende sår grodde sekundært under konservativt sårpleieregime.
Diskusjon
Kukoppeviruset er historisk sett svært interessant, da det gav opphav til koppevaksinen. På slutten av 1700-tallet ble det forsøkt inokulasjon, der friske barn fikk gnidd inn sårmateriale fra koppesyke i forsøk på å beskytte mot kopper. Dette gav som regel mildere utbrudd av sykdommen, og immunitet, men dødsfall forekom ved denne metoden. Den britiske legen Edward Jenner (1749–1823) oppdaget at budeier som hadde nær kontakt med kyr, så og si aldri døde av kopper. Det hersket dermed en oppfatning om at kukopper kunne beskytte mot kopper. Ved kliniske utprøvinger på pasienter fikk han etter hvert økende støtte for sin teori. Senere forstod man at beskyttelsen mot kopper skyldes kryssimmunitet mellom de ulike ortopoxvirusene. Dette dannet grunnlaget for koppevaksinen, som initialt var basert på kukoppeviruset. Ordet vaksinasjon som i dag brukes om immunisering mot alle typer sykdommer, stammer fra ordet vacca, som er latin for ku (12, 13). Viruset som ble brukt til vaksinasjon ut over på 1900-tallet, var derimot såpass ulikt det som gir kukopper at det ble å betrakte som et eget virus, kalt vacciniavirus. Etter intense vaksinasjonskampanjer, rapportering og isolering av pasienter kunne Verdens helseorganisasjon i mai 1980 erklære kopper for utryddet, og viruset oppbevares i dag offisielt bare i to lagre i USA og Russland, under WHO-kontroll (5).
Inkubasjonstiden ved kukopper er typisk 1–2 uker, og det er derfor sannsynlig at vår pasient ble smittet av sine katter i Norge etter at hun kom tilbake fra ferie. Kattene hadde ikke observerbare lesjoner. Ved hudavdelingen på Haukeland universitetssjukehus har man sett lignende hudlesjoner ved to tidligere anledninger, i 1994 og 2002 (14, 15). Det var også hos disse mistanke om smitte fra katter. Som en kuriositet kan det nevnes at alle de tre pasientene var bosatt i samme del av Vestland fylke. Dette kan gi mistanke om et reservoar av virus hos gnagere i området.
Ved kukopper utvikles typisk én eller noen få lesjoner med sentralt vevstap og nekrose. Det er ofte omliggende erytem og ødem og det kan være allmennsymptomer som feber, myalgi, hodepine og lymfadenopati. Tilstanden er i de fleste tilfeller selvbegrensende og tilheler med arrdannelse. Hos personer med redusert immunforsvar, men også hos atopikere som vår pasient, kan det utvikles mer uttalte og utbredte lesjoner samt mer alvorlige allmennsymptomer. Hos slike pasienter har det også vært rapportert om dødsfall (16). Vi tror at pasientens atopiske eksem spilte en stor rolle for det alvorlige og langvarige forløpet, noe som også er kjent fra vanlige virale infeksjoner med herpes simplex og varicella zoster-virus (17). Innledende behandling med prednisolon og seponering av antibiotika spilte sannsynligvis liten eller ingen rolle i den kliniske forverringen. Vi begrunner dette med at det ble sett en uttalt lokal inflammasjon allerede før disse tiltakene ble igangsatt. Vi kan likevel ikke helt utelukke at prednisolon kan ha forlenget sykdomsforløpet. Da pasienten er født etter 1980, er hun ikke vaksinert mot kopper. Dette kan ha bidratt til økt morbiditet, siden det forventes en viss grad av kryssimmunitet mellom vacciniavirus og kukopper (11, 18).
De siste årene har forekomsten av zoonotiske koppevirus, som omfatter både kukopper og apekopper, tilsynelatende vært økende (16, 19). Det er usikkert om dette skyldes en reell økning eller økt bevissthet om og rapportering av sykdommene. Redusert flokkimmunitet mot zoonotiske koppevirus som følge av at en stadig mindre del av befolkningen er vaksinert mot kopper, kan være av betydning. Større interesse for kjæledyr som katter eller gnagere som kan smitte mennesker, kan også være en mulig årsak til økt forekomst (16, 18). Økende forekomst av zoonotiske virus, parallelt med et økende antall eldre og immunsupprimerte pasienter som enten har lite gjenværende immunitet av tidligere vaksine eller er uvaksinerte, kan medføre økt potensial for alvorlig sykdom. Det er nærliggende å diskutere om vi bør reintrodusere vaksine for enkelte grupper samt å aktualisere utviklingen av effektive og trygge antivirale midler.
Det finnes i dag ingen veldokumentert behandling av kukopper ut over optimal sårbehandling og forebygging av bakteriell superinfeksjon. I litteraturen nevnes at de antivirale midlene cidofovir, brincidofovir og tekovirimat er forsøkt brukt mot virus i ortopoxgruppen, deriblant kukopper (20). Problemstillingen ble diskutert med infeksjonsmedisiner, og man fant ikke indikasjon for slik behandling på dette tidspunktet.
Denne kasuistikken illustrerer at atopisk eksem kan predisponere for alvorlig forløp av en i utgangspunktet mild infeksjon. Det ble her behov for en multidisiplinær tilnærming. For å sikre et best mulig sluttresultat og å forebygge alvorlige komplikasjoner var både infeksjonsmedisiner, hudlege, mikrobiolog, patolog, øyelege og plastikkirurg involvert i diagnostikk og behandling av den aktuelle pasienten.
Pasienten har gitt samtykke til at artikkelen blir publisert.
Artikkelen er fagfellevurdert.
- 1.
Cranendonk DR, Lavrijsen APM, Prins JM et al. Cellulitis: current insights into pathophysiology and clinical management. Neth J Med 2017; 75: 366–78. [PubMed]
- 2.
Boettler MA, Kaffenberger BH, Chung CG. Cellulitis: A Review of Current Practice Guidelines and Differentiation from Pseudocellulitis. Am J Clin Dermatol 2022; 23: 153–65. [PubMed][CrossRef]
- 3.
Helsedirektoratet. Cellulitt. https://www.helsedirektoratet.no/retningslinjer/antibiotika-i-sykehus/hud-og-blotdelsinfeksjoner#cellulitt/ Lest 15.2.2023.
- 4.
Kulesh DA, Baker RO, Loveless BM et al. Smallpox and pan-orthopox virus detection by real-time 3'-minor groove binder TaqMan assays on the roche LightCycler and the Cepheid smart Cycler platforms. J Clin Microbiol 2004; 42: 601–9. [PubMed][CrossRef]
- 5.
Folkehelseinstituttet. Kopper og andre poxviridae-infeksjoner - veileder for helsepersonell. https://www.fhi.no/nettpub/smittevernveilederen/sykdommer-a-a/kopper-og-andre-poxviridae-infeksjo/ Lest 4.2.2023.
- 6.
Buller RM, Palumbo GJ. Poxvirus pathogenesis. Microbiol Rev 1991; 55: 80–122. [PubMed][CrossRef]
- 7.
Chantrey J, Meyer H, Baxby D et al. Cowpox: reservoir hosts and geographic range. Epidemiol Infect 1999; 122: 455–60. [PubMed][CrossRef]
- 8.
Willemse A, Egberink HF. Transmission of cowpox virus infection from domestic cat to man. Lancet 1985; 325: 1515. [PubMed][CrossRef]
- 9.
Coras B, Essbauer S, Pfeffer M et al. Cowpox and a cat. Lancet 2005; 365: 446. [PubMed][CrossRef]
- 10.
Wolfs TF, Wagenaar JA, Niesters HG et al. Rat-to-human transmission of Cowpox infection. Emerg Infect Dis 2002; 8: 1495–6. [PubMed][CrossRef]
- 11.
Vogel S, Sárdy M, Glos K et al. The Munich outbreak of cutaneous cowpox infection: transmission by infected pet rats. Acta Derm Venereol 2012; 92: 126–31. [PubMed][CrossRef]
- 12.
Tryland M. Kopper og koppevirus–200 år siden første vaksinasjon i Norge. Tidsskr Nor Lægeforen 2001; 121: 3546–50. [PubMed]
- 13.
Pauli G, Blümel J, Burger R et al. Orthopox Viruses: Infections in Humans. Transfus Med Hemother 2010; 37: 351–64. [PubMed][CrossRef]
- 14.
Tryland M, Myrmel H, Holtet L et al. Clinical cowpox cases in Norway. Scand J Infect Dis 1998; 30: 301–3. [PubMed][CrossRef]
- 15.
Myrmel H, Haukenes G, Rustad L et al. Et tilfelle av kukopper. Tidsskr Nor Lægeforen 1997; 117: 3504–5. [PubMed]
- 16.
Vorou RM, Papavassiliou VG, Pierroutsakos IN. Cowpox virus infection: an emerging health threat. Curr Opin Infect Dis 2008; 21: 153–6. [PubMed][CrossRef]
- 17.
Wan J, Shin DB, Syed MN et al. Risk of herpesvirus, serious and opportunistic infections in atopic dermatitis: a population-based cohort study. Br J Dermatol 2022; 186: 664–72. [PubMed][CrossRef]
- 18.
Diaz JH. The Disease Ecology, Epidemiology, Clinical Manifestations, Management, Prevention, and Control of Increasing Human Infections with Animal Orthopoxviruses. Wilderness Environ Med 2021; 32: 528–36. [PubMed][CrossRef]
- 19.
Bunge EM, Hoet B, Chen L et al. The changing epidemiology of human monkeypox-A potential threat? A systematic review. PLoS Negl Trop Dis 2022; 16: e0010141. [PubMed][CrossRef]
- 20.
Siegrist EA, Sassine J. Antivirals With Activity Against Mpox: A Clinically Oriented Review. Clin Infect Dis 2023; 76: 155–64. [PubMed][CrossRef]