Paraduodenalt brokk

    ()

    sporsmal_grey_rgb
    Abstract

    BACKGROUND

    Paraduodenal hernia is a rare form of congenital internal hernia, which can lead to intestinal obstruction. This article describes the case of a healthy young teenage boy who presented to the hospital with acute worsening of chronic abdominal pain. CT abdomen showed ileus.

    CASE PRESENTATION

    Surgery started laparoscopically but was converted to laparotomy. Mechanical bowel obstruction due to left paraduodenal hernia was found. The procedure involved releasing the trapped intestine from the hernial sac. The orifice of the hernial sac was closed by suturing. The patient had good progress after surgery.

    INTERPRETATION

    Paraduodenal hernia is caused by a failure of the mesentery to fuse with the peritoneum. The diagnosis can be challenging because of variable symptoms. In surgery, care should be taken regarding the mesenteric vessels.

    Artikkel

    Paraduodenalt brokk er en sjelden form for medfødt intern herniering og kan medføre tynntarmsobstruksjon. Denne kasuistikken beskriver en ung gutt som ble innlagt med akutt forverring av kroniske magesmerter.

    En tidligere frisk gutt i tenårene hadde vært plaget med magesmerter i over et år. Smertene ble karakterisert som krampelignende sentralt i magen, og de varte i noen minutter et par ganger i uka. Smertene ga seg ofte når pasienten la seg flatt. Etter utredning hos barnelege ni måneder tidligere ble han henvist til kirurgisk avdeling grunnet et lite ventralbrokk som man mistenkte var årsaken til plagene. Han ble operert med direkte lukning av fascien (ad modum Mayo), men opplevde ingen bedring av smertene.

    Seks måneder etter operasjonen ble gutten innlagt i akuttmottak etter noen timer med akutt innsettende magesmerter. Han gjenkjente smertene fra tidligere, men anga økt intensitet og at de ikke gikk over slik de hadde pleid. Gutten var ledsagende kvalm og hadde ikke hatt avføring eller luftavgang etter at smertene oppsto. Han anga ingen symptomer fra luftveiene eller urinveiene. I akuttmottaket var han hard i buken samt generelt palpasjons- og slippøm. Det var sparsomme tarmlyder ved auskultasjon. Vitale målinger var uten anmerkning. Blodprøver viste leukocytter 17 × 109/L (referanseområde 3,5–10,0 × 109), øvrige blodprøvesvar, inkludert hematologiske, nyre- og leverprøver, viste normale funn.

    Man startet med 1 g paracetamol og 100 mg tramadol i tablettform som smertelindring. Pasienten ble henvist til ultralyd abdomen, som viste dilatert tynntarm. På grunn av økende smerter fikk han 2,5 mg morfin intravenøst. Grunnet mistanke om en akutt abdomen-tilstand samt smerter som ikke lot seg kupere med analgetika, valgte man å henvise til CT abdomen med intravenøs kontrast.

    CT-undersøkelsen viste dilatert tynntarm med brå kaliberveksling sentralt og til venstre i buken, stedvis sløring av krøset mot utvidet tynntarm og fekalisert tynntarmsinnhold. Det var ikke mistanke om tarmiskemi, og man så ikke fri luft eller væske intrabdominalt. Samlet radiologisk vurdering ga mistanke om adheranseileus, noe som ikke passet helt med pasientens alder og fravær av tidligere abdominalkirurgi.

    Etter CT-undersøkelsen ble pasienten takykard, med puls på 120 slag per minutt. Han var normotensiv, hadde vedvarende smerter og kvalme og var fortsatt palpasjons- og slippøm i hele buken. 1 L Ringer-acetat intravenøst ble gitt. På bakgrunn av det kliniske bildet og de radiologiske funnene med mistanke om ileus, fant man indikasjon for operasjon.

    I generell anestesi fant vi ved laparoskopi sparsom fri væske i bukhulen. Store deler av tynntarmen var dilatert. Vi begynte å reponere tynntarmen mot høyre, først fra proksimalt mot distalt og deretter fra ileocøkalovergangen mot proksimalt. Vi fikk inntrykk av at tynntarmen var herniert innunder en «streng» i tilknytning til venstre colon. Ved nærmere ettersyn kunne man skimte vaskulære strukturer, og et tynt og defekt mesenterium kunne ikke utelukkes (figur 1). Grunnet mye dilatert tarm i feltet, begrensede plassforhold og usikkerhet om hvorvidt all tarm var reponert, valgte vi å konvertere til laparotomi. Med midtlinjetilgang fant vi mekanisk tynntarmsileus fra en venstresidig paraduodenal herniering med store deler av tynntarmen herniert mot venstre dorsalt for vena mesenterica inferior. Tynntarmen som ble reponert, framsto som viabel, da det var god tarmmotilitet og god blodsirkulasjon. Det ble satt fortløpende suturer med patent lukning av åpningen i mesenteriet, uten skade av karstrukturene.

    Pasienten hadde et ukomplisert postoperativt forløp, med overflytning til sengepost samme ettermiddag. Ved utskrivning tre dager senere hadde pasienten begynt å spise, var mobilisert og hadde hatt avføring. Han hadde smerter over operasjonsarret, som ble lindret med 1 g paracetamol og 50 mg tramadol ved behov. Ved oppfølging på telefon etter en måned oppga pasienten å være fullstendig restituert. Han hadde ingen magesmerter og følte seg i fin form. Etter to måneder var han i gang med trening.

    Diskusjon

    Diskusjon

    Intern herniering utgjør 0,5–0,9 % av tilfellene med tarmobstruksjon (1). Paraduodenalt brokk er den vanligste formen (53 %) for medfødt intern herniering (1). I litteraturen er det primært rapportert kasuistikker, og det er beskrevet få tilfeller hos barn (2).

    Årsaken til paraduodenalt brokk er manglende fusjonering av mesenteriet til peritoneum (3). Venstresidig paraduodenalt brokk skyldes en defekt i mesenteriet dorsalt for v. mesenterica inferior, mens et høyresidig paraduodenalt brokk skyldes en defekt dorsalt for v. mesenterica superior. De fleste paraduodenale brokk er til venstre for midtlinjen i fossa of Landzert (75 %), mens de høyresidige hernierer i fossa of Waldeyer (4). Hvis tarmen ikke spontant reponerer, kan tarmobstruksjon oppstå.

    Diagnosen paraduodenalt brokk kan være vanskelig, da symptomene er uspesifikke i spekteret fra kroniske magesmerter til akutt abdomen. Menn er oftere affisert enn kvinner (3: 1), og median alder er 38 år (5). Diagnosen stilles ofte ved hjelp av CT abdomen (4).

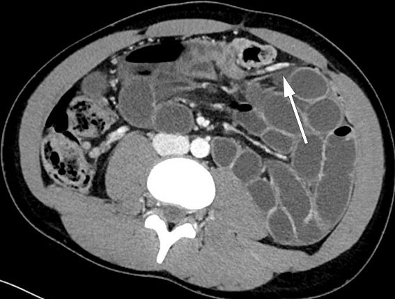
    Ved regranskning av pasientens CT-bilder forløp v. mesenterica inferior ventralt for de hernierte tynntarmsslyngene. Dette ble også sett peroperativt og samsvarte med diagnosen paraduodenalt brokk (figur 2)

    Behandlingen av paraduodenalt brokk er operasjon, enten laparoskopisk eller ved laparotomi, med mål om å reponere tynntarmen og lukke åpningen i mesenteriet (1). Det er ingen klare retningslinjer for operativ tilnærming og hvordan man tar hensyn til de store mesenterielle karene. Ved paraduodenalt brokk burde man ta hensyn til de mesenterielle karene som går ventralt og medialt for brokket, men hvis man deler disse strukturene, komprimerer ikke dette blodforsyningen til tarmen (6).

    Vi startet med laparoskopi, da denne metoden er foretrukket, men måtte konvertere til laparotomi (7).

    Pasientens historie med intermitterende magesmerter over tid kunne trolig forklares av tynntarm som skled inn og ut av fossa of Landzert. Hans akutte magesmerter skyldtes manglende spontan reponering og dermed inneklemt tynntarm. Operasjonen ble utført relativt raskt og var vellykket, og pasienten kom seg fint postoperativt.

    Pasienten og foresatte har gitt samtykke til at artikkelen blir publisert.

    Artikkelen er fagfellevurdert.

    Kommentarer  ( 0 )
    PDF
    Skriv ut

    Anbefalte artikler