Gallesteinsileus

    ()

    sporsmal_grey_rgb
    Abstract

    BACKGROUND

    Gallstone disease is common, but gallstones are a rare cause of bowel obstruction. Gallstone ileus can have an acute, intermittent or chronic course. Prompt diagnosis and treatment are important, given advanced age and comorbidities in most of the patients. Surgical removal of the stone is usually required.

    CASE PRESENTATION

    A male patient in his eighties was admitted with abdominal pain. He underwent biopsy of the gallbladder for suspected hepatopancreaticobiliary cancer. Findings on ultrasonography indicated gallstone ileus. Supplementary CT showed cholecystoduodenal fistula and small bowel obstruction, but the gallstone itself was not visible, probably due to lack of calcification. The patient underwent laparotomy and surgical removal of the stone. He was discharged three days post-surgery with outpatient clinic follow-up at the department of oncology.

    INTERPRETATION

    Gallstone ileus is rare, and radiological diagnosis can be challenging due to the often low radiopacity of gallstones. Surgery is the mainstay of treatment.

    Artikkel

    Gallestein er vanlig, men gir sjelden ileus. Denne kasuistikken illustrerer forløpet til en pasient som utviklet gallesteinsileus uten tidligere erkjente gallsteinsplager.

    En mann i 80-årene ble innlagt ved kreftavdelingen for biopsi av en malignsuspekt forandring i galleblæreområdet. Han var tidligere operert for urinblærestein og nyrecyster og hadde i tillegg fått hormonbehandling for en stadium T4-prostatakreft.

    Ti dager før det aktuelle var han innlagt til observasjon ved kirurgisk avdeling grunnet magesmerter og oppkast. Han fikk påvist covid-19, som ble vurdert som årsak. Grunnet bedring ble han utskrevet uten bildediagnostikk. En uke senere ble han innlagt på nytt ved medisinsk avdeling med samme symptomer. Initialt ble dette også relatert til covid-19, men pga. forhøyede leverprøver med aspartataminotransferase (ASAT) på 47 U/L (referanseområde 15–45), alaninaminotransferase (ALAT) på 80 U/L (< 70) og alkalisk fosfatase (ALP) på 115 U/L (35–105), ble det gjort ultralyd av lever og galleblære.

    Ultralyd viste metastasesuspekte forandringer i lever. Supplerende CT viste en malignitetssuspekt oppfylning svarende til galleblæren og flere mindre lesjoner i leverparenkymet. Man så også en bred fistel mellom galleblæren og duodenum samt distenderte tynntarmsslynger i øvre abdomen. Bekkenet var ikke inkludert i den første CT-undersøkelsen, og nivå for eventuelt passasjehinder ble ikke fremstilt. Pasienten ble overflyttet til kreftavdelingen for å ta biopsi.

    Leverlesjonene var vanskelig tilgjengelig for biopsi, og det ble derfor tatt biopsi av de mer omfattende tumorsuspekte forandringene i galleblæreregionen. Radiologen som utførte biopsien, fattet mistanke om gallesteinsileus på bakgrunn av CT-funn med dilatert tynntarm og kolecystoduodenal fistel. Med ultralyd kunne man følge tarmen til et segment med fekalisert innhold som lå an mot et skyggegivende, avrundet konkrement. Vakthavende gastrokirurg ble kontaktet, og pasienten ble overflyttet til kirurgisk avdeling.

    Ved tilsyn var pasienten i god allmenntilstand, med normale vitale parametere, men klaget over magesmerter. Abdomen var utspilt, myk og lett, diffust øm ved palpasjon. Det ble lagt nasogastrisk sonde, med god effekt på smertene. Ny CT viste ileus med rotasjonstendens i krøset og kaliberveksling sentralt i tynntarmen. Galleblærekonkrementet ble imidlertid ikke identifisert ved første granskning. Orienterende blodprøver preoperativt, inkludert lever- og galleprøver, viste nå normale funn, med unntak av CRP 121 mg/L (< 5). Det ble funnet indikasjon for laparotomi, og piperacillin 4 g / tazobaktam 0,5 g × 4 intravenøst ble gitt grunnet risikoen for bakteriell translokasjon.

    Ved midtlinjelaparotomi fant man en adheransestreng fra det store omentet til tynntarmkrøset, og denne ble delt. En intraluminal struktur ble identifisert 200 cm fra Treitz' ligament, og det ble gjort enterotomi og uthenting av en 5 × 1,6 cm stor gallestein (figur 1). Pasienten kom seg fint og ble skrevet ut til egen bolig tre dager etter operasjonen, med videre oppfølging av kreftavdelingen. Før utskrivning fortalte pasienten om et gallesteinsanfall for over 30 år siden, men at man da valgte å ikke operere. Han hadde ikke hatt plager siden.

    Biopsien viste adenokarsinom utgått fra enten pankreas eller galleveier. Pasienten ble senere vurdert av onkologene til å kun være kandidat for cellegiftbehandling, noe han selv ikke ønsket. Man avstod derfor fra all tumorrettet behandling.

    Diskusjon

    Diskusjon

    Ileus skyldes enten et mekanisk hinder eller paralyse av tarm som hindrer videre passasje av innhold. Dette innholdet akkumuleres og gir tarmdilatasjon. Gallestein er vanlig, med norsk prevalens estimert til 22 % i en eldre studie (1), men er årsak til under 1 % av tarmobstruksjoner (2, 3).

    Vår pasient illustrerer et klassisk forløp av gallesteinsileus. Konkrementet har passert gjennom en fistel mellom galleblære og tarm, hvorav fistel til duodenum er det vanligste. Konkrementet vandrer så videre gjennom tynntarmen til det setter seg fast, typisk i distale ileum (3). En forutgående kolecystitt er den antatt vanligste årsaken til fisteldannelse (3). Steinsykdom i galleveier og kronisk kolecystitt er også predisponerende faktorer for galleblærekreft (4).

    Gallesteinsileus er vanligere hos eldre og gir økt morbiditet, men mortaliteten har sunket til 7 % i de siste studiene (2, 3). Dette kan skyldes bedre og raskere diagnostikk og perioperativ behandling.

    Pasienter med gallesteinsileus har som oftest hatt symptomer på gallesteinssykdom, men 1/3 av pasientene har ikke hatt slike plager (3). Symptomer på gallesteinsileus kan være akutte, intermitterende eller kroniske, og de vanligste er kvalme, oppkast, magesmerter og utspilt buk (3). Et intermitterende, subakutt forløp antar man skyldes at steinen vandrer i gastrointestinalkanalen inntil den setter seg fast. Symptomer og funn henger sammen med grad av obstruksjon samt steinens størrelse og lokalisasjon. Kliniske og biokjemiske funn kan variere fra ingen funn til tegn på peritonitt og perforasjon.

    Ved mistanke om ileus gjøres oftest CT, eventuelt ultralyd og/eller røntgen oversikt abdomen. De mest karakteristiske bildefunnene er luft i galletreet (pneumobilia) og påvisbar gallestein i tarmlumen. Bildediagnostikk kan imidlertid være krevende, da ikke alle gallesteiner er røntgentette (3, 5). De fleste er kolesterolholdige, og kun 10 % er kalkholdige (6).

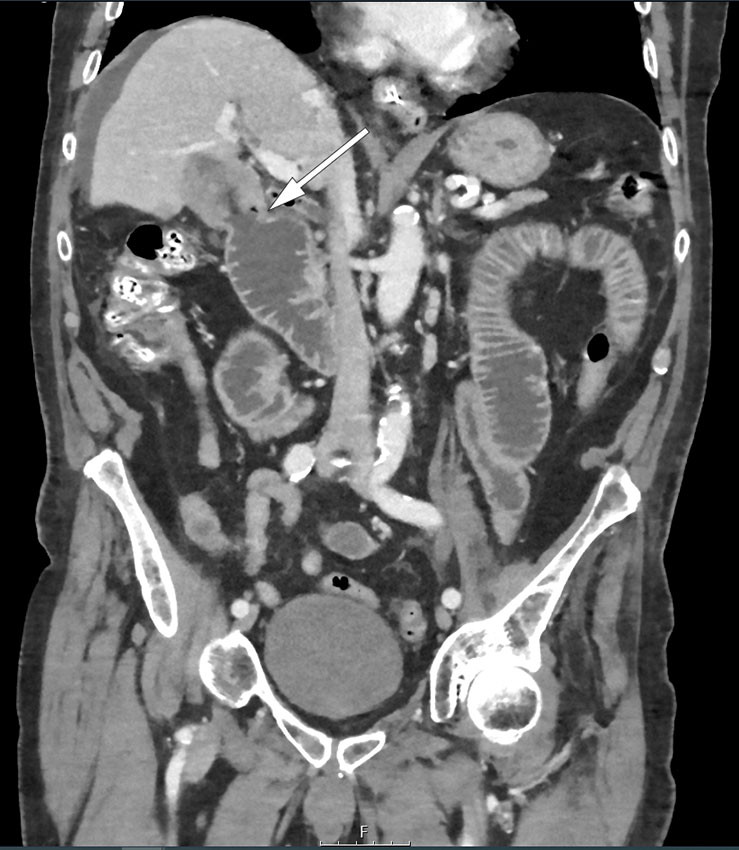
    Vår pasient hadde et ikke-røntgentett konkrement som knapt lot seg avbilde på CT. Ultralyd viste et tydelig skyggegivende konkrement, og i lys av ultralydfunnet kunne man så vidt skimte konturen av dette på røntgen oversikt abdomen. Ved ny granskning så man også luft i galletreet og kolecystoduodenal fistel på CT (figur 2). På CT-bilder fra fire år tidligere kunne man ane et stort konkrement i galleblæren, men ingen fistel eller tumor.

    Behandlingen av gallesteinsileus er primært kirurgisk, vanligvis med laparotomi, selv om også laparoskopiske inngrep er beskrevet (3, 5). Enterotomi med steinfjerning er den foretrukne behandlingen (2, 3). Kolecystektomi og lukking av fistel i samme seanse er kontroversielt, men kan vurderes hos lavrisikopasienter (5) eller utføres i en senere seanse (3). I noen tilfeller vil gallesteinen passere gjennom hele tynntarmen til colon, slik at man kan unngå operativ behandling.

    Pasienten har gitt samtykke til at artikkelen blir publisert.

    Artikkelen er fagfellevurdert.

    Kommentarer  ( 0 )
    PDF
    Skriv ut

    Anbefalte artikler