En gutt i barneskolealder ble innlagt med mistanke om etmoidalsinusitt med periorbital cellulitt. Hevelsen rundt øyet viste seg å ha en sjelden årsak.
En frisk gutt i barneskolealder ble på sensommeren innlagt til utredning og behandling av mistenkt akutt etmoidalsinusitt med periorbital cellulitt. Før sykehusinnleggelsen hadde han vært forkjølet i 2–3 dager, vært slapp og hatt lett rødme og hevelse i høyre tinning, der mor mistenkte et insektsstikk. Hevelsen og rødmen spredte seg etter hvert omkring høyre øye, som gradvis ble gjenklistret. Han ble via legevaktlege innlagt på den lokale øre-nese-hals-avdelingen der han var på sommerferie. Ved innleggelsen var det hevelse omkring høyre øye, med rødme og varmeøkning. Det var ingen eksoftalmus eller injeksjon av bindehinne eller hornhinne. Øyebevegelsene var normale uten smerter, og pasienten rapporterte om normalt fargesyn.
Ved rhinoskopi var det slimhinnehevelse med hvitlig sekret i midtre nesegang bilateralt samt lett purulent sekret i midtre nesegang på høyre side, der det ble tatt dyrkningsprøve. Allmenntilstanden var god, og temperatur var ikke anført i epikrisen. Blodkultur og blodprøver viste CRP 4 (< 4 mg/L) og leukocytter 6,6 × 109/L (4,5–14,0 × 109/L). På mistanke om akutt bakteriell etmoiditt med spredning til øyehulen startet man behandling med cefotaksim 50 mg/kg × 3 intravenøst mot etmoiditt, og kloksacillin 450 mg× 4 intravenøst mot cellulitt. I tillegg fikk gutten slimhinneavsvellende nesespray xylometazolin 0,5 mg/ml × 2.
Akutt bihulebetennelse forekommer sjelden hos små barn og oppstår oftest hos barn i skolealder. Allergisk nesetetthet kan være en disponerende faktor. Pneumokokker og Haemophilus influenzae er de vanligste agensene (1). Med slimhinneavsvellende nesedråper og smertestillende midler forekommer spontanhelbredelse hyppig. Ved mistanke om etmoiditt komplisert med orbital cellulitt/flegmone (rødt, utstående øye og eller sterke smerter bak øyet) skal pasienten umiddelbart innlegges på sykehus.
Det er viktig at det tas blodkultur og infeksjonsprøver samt dyp neseprøve til dyrkning før antibiotikastart. Infeksjonen kan spre seg gjennom lamina papyracea – den tynne benveggen mellom etmoidalsinus og øyehulen – og føre til periorbital cellulitt og i enkelte tilfeller danne en subperiostal abscess som krever kirurgisk drenasje for å unngå skade av synsnerven. Infeksjonen kan ved sjeldne tilfeller spre seg langs etmoidale vener og gi intrakraniale komplikasjoner, som trombose i sinus cavernosus, intrakranial abscess eller meningitt (2).
Bildediagnostikk av bihulene med magnetresonans (MR)- eller computertomografi (CT) med intravenøs kontrast (eventuelt CT-undersøkelse av hodet ved klinisk mistanke om intrakraniale komplikasjoner) bør rekvireres som øyeblikkelig hjelp. Begge modalitetene vil fremstille subperiostal abscess. MR-undersøkelse gir ingen stråleeksponering av pasienten, men er ikke alltid tilgjengelig ved alle sykehus i vakttiden. CT-undersøkelse kan brukes til å navigere ved kirurgisk drenasje i bihulene. Ved funn av etmoiditt anbefales antibiotikabehandling med cefotaksim 50 mg/kg × 3 intravenøst etter retningslinjer i akuttveilederen i pediatri fra Norsk barnelegeforening (1).
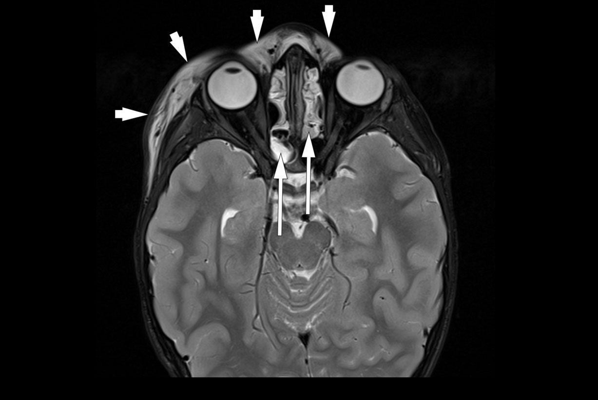
MR av bihuler, som ble rekvirert ved innkomst og tatt neste morgen, viste bilateral etmoiditt med høyresidig periorbital cellulitt, men ingen abscess (figur 1).
Pasienten ble overflyttet til øre-nese-hals-avdelingen ved et universitetssykehus (pasientens lokalsykehus) på dag 4 i behandlingen. Dyrkningssvar forelå ikke, og blodkulturen var negativ. Pasienten hadde vært i god allmenntilstand under hele forløpet. Ved innkomst var det klar klinisk bedring og tilbakegang av hevelsen og rødmen omkring øyet. Øyet var åpent, med normal bevegelighet uten smerter, og pasienten oppga normalt fargesyn uten dobbeltsyn. Det var ikke sekresjon ved rhinoskopi. Ved palpasjon av halsen var det ingen forstørrede lymfeknuter.
Blodprøver viste fall i CRP fra 4 til 1,7 mg/L (< 4), leukocytter 6,4 × 109/L (4,5–14,0 × 109/L) og differensialtelling i referanseområdet. Intravenøs cefotaksim og slimhinneavsvellende nesespray ble kontinuert, mens kloksacillin ble seponert, da cefotaksim dekker de vanligste agensene ved etmoiditt. På dag 5 i behandlingen ble pasienten skrevet ut til hjemmet med amoksicillin 500 mg tabletter × 4 i syv dager. Dyrkningssvaret var negativt.
Amoksicillin er anbefalt som standard behandling ved overgang til peroral behandling hos voksne ved akutt komplisert rhinosinusitt, eller som kombinasjonspreparat med klavulansyre ved alvorlige komplikasjoner eller påvist abscess med gule stafylokokker (3).
Syv dager etter utskrivningen våknet gutten med gjenklistret øye uten puss. Ved reinnleggelse i øre-nese-hals-avdelingen var det tilkommet hevelse og rødme omkring øyet som strakk seg ned på kinnet. Rhinoskopi ga ingen funn. Blodprøver viste forhøyet nivå av eosinofile leukocytter 0,8 × 109/L (< 0,4 × 109/L), med leukocytter og CRP innenfor referanseområdet. Det ble konferert med infeksjonsmedisiner ved universitetssykehuset, som anbefalte ceftriakson 75 mg/kg × 1 intravenøst i ti dager og ny kontakt ved utskrivning for valg av antibiotika for ti dagers peroral behandling. I tillegg ble det gitt hydrokortison 150 mg × 2 intravenøst for å redusere hevelsen omkring øyet. Ny CT av bihulene viste fortsatt bihulefortetninger, men ingen abscessutvikling.
Etter fem dager med intravenøs antibiotika var hevelsen og rødmen omkring øyet gått nesten helt tilbake. To dager senere våknet pasienten med ny hevelse omkring øyet under pågående intravenøs antibiotikabehandling ved øre-nese-hals-avdelingen. Det hadde i tillegg kommet kløe omkring øyet. Ny CT av bihulene viste etmoiditt i klar tilbakegang.
Det ble nå vurdert som lite sannsynlig at det aktuelle residivet skyldtes bakteriell infeksjon. Antibiotika ble seponert, og pasienten ble henvist til tilsyn av barnelege og hudlege samme dag samt øyelege neste dag for bred utredning.
Hos hudlegen var rødmen omkring øyet avblekbart. Resten av huden var fri for utslett, og dermografismetest (der histaminrespons vil gi umiddelbar rød hevelse ved rissing på huden) var negativ. Pasienten hadde hatt tendens til atopisk eksem i barnehagealder. Bortsett fra lett eosinofili uten leukocytose og lett forhøyet total- IgE med negativ matvare-, inhalasjons-, helårs- og sesongallergenpanel var blodprøvesvarene upåfallende.
Angioødem er en deskriptiv diagnose som innebærer en selvbegrensende lokalisert hevelse under huden eller slimhinnen grunnet væskeutsiving til interstitielt vev. Tilstanden utvikles i løpet av minutter eller timer og er hyppigst asymmetrisk lokalisert til hender, føtter og ansikt. Det finnes milde former, men også alvorlige former som kan forårsake anafylaktisk eller sirkulatorisk sjokk eller affisere tunge, svelg eller larynks og gi obstruksjon av luftveier og asfyksi.
Angioødem kan forekomme som følge av ulike fysiopatologiske mekanismer og blir ofte forvekslet med allergisk reaksjon. I tillegg til hypersensitivitetsreaksjoner med aktivering av mastcellene finnes det også mekanismer som ikke er immunologiske og IgE-medierte. Eksempler på dette er medikamentelt utløst angioødem (særlig angiotensinkonvertasehemmer), hereditært angioødem og ervervet angioødem som følge av (hematologisk) malignitet, infeksjoner eller ukjente årsaker (4). Hereditært angioødem forekommer sjelden, men bør mistenkes ved residiverende angioødem og sykdomsdebut i barne- eller ungdomsalder (5). Luftbåren kontaktdermatitt kan gi rødme og hevelse rundt øyet, men det forventes da bilateral affeksjon. Systemisk lupus erythematosus, polymyositt, dermatomyositt og Sjögrens syndrom kan alle gi ansiktshevelse, men er ofte mer vedvarende enn angioødem.
C1-inhibitorkvantitering, C1-inhibitorfunksjonstest samt C3- og C4-verdiene tatt etter tre dager var innenfor referanseområdet, og det var ingen tilfeller av hereditært angioødem i familien. Antinukleære antistoff (ANA) og antinøytrofile cytoplasmaautoantistoffer (ANCA) var negative. Hudlegen konkluderte med akutt angioødem og startet behandling med antihistaminer cetirizin 10 mg tabletter 1 × 2 etter anbefalt behandling (6). Hos øyelege ble det påvist lett nedsatt syn på den aktuelle siden.
Det nedsatte synet kunne forklares av at en øyelokkshevelse presset på hornhinnen og ga forbigående astigmatisme. Med tanke på periorbital inflammasjon uten infeksjonsparametere ble det foreslått IgG4-relatert sykdom som mulig differensialdiagnose, men pasientens tilstand var ikke helt typisk for dette.
Hos barnelege ble det tatt urinstiks, som utelukket proteinuri. Blodtrykket var normalt under hele forløpet. Ved klinisk undersøkelse ble det ikke påvist annet enn funn som var tidligere beskrevet.
Ved nefrotisk syndrom forventer man bilaterale hevelser og påvirket allmenntilstand. En annen mulig sjelden differensialdiagnose til residiverende ensidig hevelse omkring øyet er sykdom forårsaket av parasitten reinbrems (Hypoderma tarandi).
Reiseanamnesen bekreftet at pasienten hadde vært på fjelltur i Norge, der de hadde vært i nærheten av reinsdyr 3–4 uker før symptomdebut. Det ble derfor tatt blodprøve for kvantifisering av IgG-antistoff mot hypodermin C (dag 17 etter første innleggelse).
Pasienten hadde nå hatt plager som strakk seg over tre uker. Han isolerte seg og ønsket ikke å stille på første skoledag etter ferien med hevelse og rødme omkring øyet. I samråd med barneinfeksjonsmedisiner, pasienten og hans pårørende ble det iverksatt behandling mot reinbremslarve med ivermektin (et anthelmintikum) 9 mg tabletter × 1 (250–350 µg/kg) som engangsdose etter gjeldende retningslinjer grunnet klinisk mistanke og sterkt ønske fra pasient og pårørende før svaret fra antistoffanalysen forelå. Det ble i tillegg gitt antihistamin cetirizin 10 mg × 2 tabletter i to uker etter retningslinjer, for å dempe sekundær allergisk vevsreaksjon ved larvedød (7). Grunnet god allmenntilstand ble pasienten utskrevet samme dag.
Kløen forsvant det første døgnet etter behandlingsoppstart, og hevelsen og rødmen omkring øyet gikk helt tilbake i løpet av den første uken. Etter en uke ble det påvist svakt positiv antistoffreaksjon mot reinbrems med hypodermin C-IgG 25 % av positiv kontroll (positiv test ved hypodermin C-IgG > 20 % av positiv kontroll). Ved øyelegekontroll etter tre uker var synet normalisert.
Diskusjon
Reinbrems har et humlelignende utseende og finnes i områder hvor det lever reinsdyr. Den legger egg langs hårene i pelsen på reinsdyr i sommermånedene via egglederne i bakenden (figur 2). Etter klekking kryper larven, som er omtrent 0,6 mm stor, gjennom huden på dyret og slår seg etter hvert til ro i underhuden med et pustehull i huden. Gjennom vinteren vokser den til en larve på 2–3 cm før den i mai/juni forlater verten, forpuppes og blir til en voksen reinbrems (8).
Reinbrems kan ved en feiltagelse legge egg på menneskehår (9). Myiasis er en tilstand hvor visse fluelarver, som for eksempel reinbrems, kan penetrere huden og skape betennelsesreaksjon når den modnes i underhuden (10). Tilstanden ses oftest hos barn, med symptomdebut i perioden september–desember. Diagnosen stilles som en kombinasjon av at pasienten har oppholdt seg i reinsdyrområder i sommermånedene, et typisk klinisk bilde med episodisk ensidig hevelse omkring øyet (figur 3), migrerende hevelser i hoderegionen ofte av en ukes varighet som kan komme tilbake etter symptomfri periode på 7–10 dager, samt påvisning av antistoffer mot larven. Infestasjonen gir ofte forstørrede lymfeknuter i hode- eller halsregionen. Allmenntilstanden er god, pasienten vil sjelden ha feber, og CRP-en er vanligvis innenfor referanseområdet eller lett forhøyet. Hos mennesker kan reinbremslarven kun i sjeldne tilfeller utvikle seg videre fra det første larvestadiet, når larven er noen få millimeter stor. I sjeldne tilfeller kan larven penetrere øyet og forårsake mekanisk og inflammatorisk betinget skade (11–13). Det er rapportert om et tilfelle av intrakranial affeksjon (14). Tilstanden vil vanligvis vil ha et selvbegrensende forløp, ettersom larven etter hvert dør. Infestasjon med reinbremslarve kan enkelt forebygges ved at man i reinsdyrområder om sommeren bruker lue som dekker håret.
Nasjonal referansefunksjon for serologisk parasittdiagnostikk ved Universitetssykehuset Nord-Norge har tilgjengelig en analyse (enzyme-linked immunosorbent assay, ELISA) som påviser antistoffer mot kollagenasen hypodermin C som larven utskiller for å kunne bevege seg i vevet. Hvis resultatet av undersøkelsen er negativt eller i gråsonen, og prøven er tatt de første 2–3 ukene etter symptomdebut, kan prøven gjentas to uker senere. Antistoffnivået vil vanligvis holde seg høyt et år eller mer selv etter effektiv behandling. De siste årene har antallet positive antistoffanalyser vært 5–10 per år (T. Lier, Nasjonal referansefunksjon for serologisk parasittdiagnostikk, personlig meddelelse).
Denne kasuistikken viser debutsymptomer som innledningsvis er typiske ved akutt etmoiditt med bakteriell spredning og utvikling av periorbital cellulitt, som var vår initiale tentative diagnose. Funn av bihulefortetninger ved bildediagnostikk bidro til mindre årvåkenhet for at denne pasienten hadde cellulitt av annen årsak. Erfaringsmessig har vi hatt noen pasienter tidligere med bakteriell etmoiditt med subperiostal abscess med CRP i referanseområdet. At pasienten allerede var behandlet i flere døgn med antibiotika intravenøst ved et annet sykehus i forkant og var i klinisk bedring, forsinket ytterligere mistanken om at det kunne være en annen årsak bak. I ettertid kan den kliniske bedringen forklares av det naturlige episodiske forløpet med symptomfrie perioder på 7–10 dager ved infestasjon av reinbremslarve. Den kliniske bedringen var sannsynligvis uavhengig av antibiotikakurene som ble gitt. Hos vår pasient kunne ikke larven identifiseres ved MR- eller CT-undersøkelse, trolig grunnet liten størrelse i tidlig fase av sykdomsforløpet. Pasientens bihulefortetninger og rennende nese kan ha vært forårsaket av annen (trolig viral) årsak.
Litteratursøk viser få publikasjoner om temaet. I tidsrommet 2011–16 ble det registrert 39 tilfeller (32 barn) i Norge, hvor åtte av disse var involvert i tamreindrift. Flere av pasientene hadde eosinofili og var seropositive for hypodermin C-IgG (15), slik som vår pasient. I perioden 2018–21 er det ved Nasjonal referansefunksjon for serologisk parasittdiagnostikk kun registrert tre tilfeller (barn) fra Sør-Norge og tre tilfeller (barn) fra Midt-Norge, mens de øvrige 20 tilfellene (derav syv voksne) er registrert i Nord-Norge (T. Lier, Nasjonal referansefunksjon for serologisk parasittdiagnostikk, personlig meddelelse).
Sykehistorien er en påminnelse om å ha lav terskel for å lete etter andre årsaker ved uventet sykdomsforløp, da oppstart av bredere utredning på et tidligere tidspunkt ville ha forkortet en krevende antibiotikabehandling hos vår pasient. For at fremtidige pasienter raskere skal få riktig diagnose og behandling, er kunnskap om denne sjeldne tilstanden viktig på tvers av medisinske spesialiteter.
Pasienten og pasientens pårørende samt pasienten på illustrasjonsfoto har gitt samtykke til at artikkelen blir publisert.
Artikkelen er fagfellevurdert.
- 1.
Helsebiblioteket. 7.6 Akutt sinusitt inklusive etmoiditt og periorbital cellulitt/flegmone.https://www.helsebiblioteket.no/innhold/retningslinjer/pediatri/akuttveileder-i-pediatri/7.lunge-og-luftveissykdommer-inkludert-luftveisinfeksjoner/7.6-akutt-sinusitt-inklusive-etmoiditt-og-periorbital-cellulitt-flegmone Lest 17.6.2022.
- 2.
Hicks CW, Weber JG, Reid JR et al. Identifying and managing intracranial complications of sinusitis in children: a retrospective series. Pediatr Infect Dis J 2011; 30: 222–6. [PubMed][CrossRef]
- 3.
Antibiotika i sykehus. Rhinosinusitt, akutt, komplisert. https://www.helsedirektoratet.no/retningslinjer/antibiotika-i-sykehus/infeksjoner-i-ore-nese-hals-tann-og-kjeve#rhinosinusitt-akutt-komplisert Lest 17.6.2022.
- 4.
Zuberbier T, Abdul Latiff AH, Abuzakouk M et al. The international EAACI/GA2LEN/EuroGuiDerm/APAAACI guideline for the definition, classification, diagnosis, and management of urticaria. Allergy 2022; 77: 734–66. [PubMed][CrossRef]
- 5.
Longhurst H, Cicardi M. Hereditary angio-oedema. Lancet 2012; 379: 474–81. [PubMed][CrossRef]
- 6.
Maurer M, Magerl M, Ansotegui I et al. The international WAO/EAACI guideline for the management of hereditary angioedema-The 2017 revision and update. Allergy 2018; 73: 1575–96. [PubMed][CrossRef]
- 7.
Generell veileder i pediatri. 3.27 Sykdom forårsaket av reinbrems – Hypoderma tarandi myasis (HTM). https://www.helsebiblioteket.no/innhold/retningslinjer/pediatri/generell-veileder-i-pediatri/3.infeksjoner-vaksiner-og-undersokelse-av-adoptivbarn/3.27-sykdom-forarsaket-av-reinbrems-hypoderma-tarandi-myasis-htm Lest 17.6.2022.
- 8.
Folkehelseinstituttet. Brems. https://www.fhi.no/nettpub/skadedyrveilederen/fluer-og-mygg/brems/ Lest 17.6.2022.
- 9.
Kan B, Åsen C, Åsbakk K et al. Misstäinkta lusägg i pojkes hår avslöjade farlig parasit. Lakartidningen 2010; 107: 1694–7. [PubMed]
- 10.
Store medisinske leksikon. Myiasis. https://sml.snl.no/myiasis Lest 17.6.2022.
- 11.
Kan B, Asbakk K, Fossen K et al. Reindeer warble fly-associated human myiasis, Scandinavia. Emerg Infect Dis 2013; 19: 830–2. [PubMed][CrossRef]
- 12.
Kearney MS, Nilssen AC, Lyslo A et al. Ophthalmomyiasis caused by the reindeer warble fly larva. J Clin Pathol 1991; 44: 276–84. [PubMed][CrossRef]
- 13.
Lagacé-Wiens PR, Dookeran R, Skinner S et al. Human ophthalmomyiasis interna caused by Hypoderma tarandi, Northern Canada. Emerg Infect Dis 2008; 14: 64–6. [PubMed][CrossRef]
- 14.
Nordal E, Landehag J, Wikran G et al. Acute Seizures in a 10-Year Old Boy. Pediatr Infect Dis J 2020; 39: 1063–4. [CrossRef]
- 15.
Landehag J, Skogen A, Åsbakk K et al. Human myiasis caused by the reindeer warble fly, Hypoderma tarandi, case series from Norway, 2011 to 2016. Euro Surveill 2017; 22: 1–7. [PubMed][CrossRef]