Glioblastom hos voksne

    ()

    sporsmal_grey_rgb
    Abstract

    Glioblastoma is the most common form of primary brain cancer in adults, and the disease has a serious prognosis. Although great progress has been made in molecular characteristics, no major breakthroughs in treatment have been achieved for many years. In this article we present a clinical review of current diagnostics and treatment, as well as the challenges and opportunities inherent in developing improved and more personalised treatment.

    Artikkel

    Glioblastom er den vanligste formen for primær hjernekreft hos voksne, og sykdommen har en alvorlig prognose. Selv om det er gjort store fremskritt i molekylær karakteristikk, har det ikke vært større gjennombrudd i behandlingen på mange år. Vi presenterer her en klinisk oversikt over dagens diagnostikk og behandling samt hvilke utfordringer og muligheter som ligger i å utvikle bedre og mer persontilpasset behandling.

    Hvert år rammes over 200 mennesker i Norge av glioblastom (1). Median overlevelse for alle pasienter i Norge er kun 11 måneder (2). Med full onkologisk behandling er median overlevelse 15 måneder, og femårsoverlevelse er 6,8 % (3, 4). Glioblastomer antas å oppstå fra nevrogliale stamceller eller progenitorceller, og er preget av betydelig molekylær heterogenitet. De aller fleste glioblastomer er sporadisk forekommende og ses hyppigere ved økende alder og hos menn (4). Kun en liten andel kan tilskrives tidligere eksponering for ioniserende stråling eller arvelige faktorer (4)..

    Formålet med denne artikkelen er å gi norske klinikere en oppdatert oversikt over diagnostikk og behandling samt å belyse faktorer som har vesentlig betydning for behandling. Artikkelen er basert på gjennomgang av relevant norsk og internasjonal litteratur samt forfatternes egne erfaringer med pasientgruppen. Flere av forfatterne er medlemmer av Norsk hjernesvulstkonsortium (NBTC, Norwegian Brain Tumor Consortium).

    Klinikk og bildediagnostikk

    Klinikk og bildediagnostikk

    Pasienter med glioblastom blir vanligvis diagnostisert på grunn av nye nevrologiske utfallssymptomer, epileptiske anfall eller symptomer på økt intrakranialt trykk (4). Omkring halvparten har hodepine ved diagnosetidspunktet, ofte uten spesifikke karakteristika (5). Noen nevrologiske symptomer oppstår så subakutt at pasientene kan bli lagt inn med mistanke om hjerneslag. Kognitiv svikt er relativt vanlig og kan initialt mistolkes som demenstilstander. Hos omkring én av fem pasienter debuterer sykdommen med epileptiske anfall, oftest med fokal start, men epileptiske anfall er sjeldnere ved glioblastom enn ved lavgradige svulster (4).

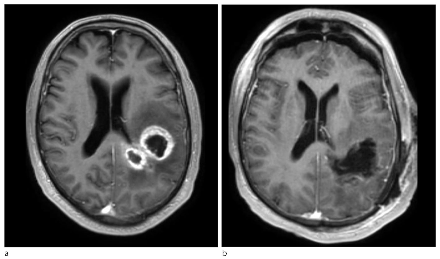
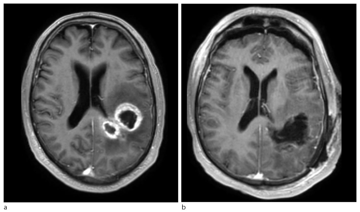
    MR-undersøkelse av hodet er førstevalg ved radiologisk utredning av mistenkt glioblastom, og det er etablert regionale retningslinjer for slik diagnostikk. Glioblastomer fremstår som inhomogene lesjoner med uregelmessig avgrensning. De har typisk en kontrastoppladende periferi, sentral nekrose og perifokalt ødem (figur 1). Multifokale lesjoner kan også ses. Differensialdiagnoser er andre gliomer, metastaser, lymfomer, abscesser og demyeliniserende lesjoner (4).

    MR-perfusjon og -spektroskopi samt PET med ulike aminosyretracere kan bidra til å fremstille metabolsk aktive områder (såkalte hotspots) og differensiere mellom glioblastom og andre svulster. PET kan for eksempel være nyttig for å skille pseudoprogresjon (etter respons på radiokjemoterapi) og reell progresjon (6). Det forskes aktivt på andre avanserte bildeanalyser som kan si mer om biologiske egenskaper, molekylærpatologi og malignitetsgrad samt predikere prognose og terapirespons. For svulster nær såkalte elokvente (følsomme) hjerneområder, som områder knyttet til språk, motorikk og synsbaner, kan funksjonelle MR-undersøkelser og traktografi være svært nyttige i preoperativ planlegging (4).

    Patologi og klassifisering av glioblastom

    Patologi og klassifisering av glioblastom

    Patologiske kjennetegn ved glioblastom er diffus infiltrativ vekst med astroglialt utseende og tilstedeværelse av nekrose og mikrovaskulær proliferasjon. Det siste tiåret har molekylære markører revolusjonert diagnostikken. Disse gir viktig informasjon om biologisk utvikling og prognose, og har resultert i mer prediktiv diagnostikk og mer presis klassifisering.

    De to viktigste genetiske forandringene i høygradige gliomer er IDH1/2-mutasjonsstatus (isositratdehydrogenase 1 og 2, IDH-mutert eller IDH-villtype) og MGMT-promotor-metyleringsstatus (O6-metylguanin-DNA-metyltransferase-promotor, metylert eller umetylert). Immunhistokjemisk farging for å bestemme IDH-mutasjonsstatus utføres på alle diffust infiltrerende gliomer. Ved negativ immunhistokjemisk farging gjøres molekylærgenetisk analyse for IDH1 og IDH2 – for pasienter under 55 år er dette obligat for å stille diagnose etter WHOs kriterier (1, 7). Tilstedeværelse av IDH1/2-mutasjon predikerer lengre overlevelse og er fra 2021 ikke lenger forenlig med glioblastomdiagnosen (7, 8). Molekylærbiologisk undersøkelse for MGMT-promotor-metylering gjøres på alle glioblastomer. Hvis man finner MGMT-promotor-metylering, resulterer det i omtrent 50 % lengre median overlevelse for pasienter som får standardbehandling (4).

    Hjernesvulster klassifiseres histologisk som WHO-grad 1–4 etter alvorlighetsgrad (7). Nye studier har vist at lavgradige gliomer som inneholder molekylære trekk av et glioblastom, vil oppføre seg og bør behandles som et glioblastom (WHO-grad 4), selv om histologisk undersøkelse tilsier klassifisering som WHO-grad 2 eller 3. De aktuelle molekylære trekkene er fravær av IDH-mutasjon kombinert med mutasjoner i TERT-promotor (telomerasereverstranskriptase), amplifikasjon av EGFR-genet (epidermal vekstfaktorreseptor) eller gevinst av kromosom 7 og tap av kromosom 10. I den nye WHO-klassifikasjonen fra 2021 er disse svulstene derfor klassifisert som glioblastom med WHO-grad 4 (7). Det betyr at alle IDH-villtype-astrocytomer nå blir definert som glioblastom (glioblastom, IDH-villtype), mens IDH-muterte grad 4-astrocytomer ikke lenger blir definert som glioblastom, men som astrocytom, IDH-mutert, grad 4 (7).

    Behandling

    Behandling

    Pakkeforløp for hjernekreft ble introdusert i Norge i 2015, og i 2020 publiserte Helsedirektoratet et nasjonalt handlingsprogram for høygradige gliomer (1). Behandlingsmodalitetene er kirurgi, strålebehandling og kjemoterapi, i tillegg til symptomlindrende støttebehandling. Pasientene bør diskuteres i MDT-møter (multidisiplinært team) og vurderes for deltakelse i kliniske studier. Behandlingen bør tilpasses den enkelte pasient basert på alder, funksjonsstatus og lokalisasjon av svulsten. Hos noen er det aktuelt å avstå fra tumorrettet behandling og heller gi symptomlindrende behandling som kortikosteroider, antiepileptika og antiemetika. Integrering av palliativ behandling og behandling hos fysioterapeut, ergoterapeut og logoped samt involvering av sosionom kan være nyttig. Hensikten med all behandling er å sikre lengst mulig levetid med best mulig livskvalitet (1, 4).

    Kirurgi

    Kirurgi

    Ved radiologisk mistanke om høygradig gliom bør pasienten snarest mulig henvises til nevrokirurgisk avdeling. Hensikten med kirurgi er å fjerne så mye svulst som mulig og sikre diagnostisk vevsprøve for nøyaktig klassifisering av svulsten samt å bevare eller forbedre nevrologisk funksjon. Glioblastomer kan på grunn av sin invasive natur ikke kureres ved kirurgi alene, og nye nevrologiske utfall er assosiert med dårlig livskvalitet og prognose (4). Selv om studier har vist at overlevelsen øker ved fullstendig fjerning av den kontrastladende tumorkomponenten (9), er det generelt viktigere å unngå nye nevrologiske utfall. Dersom tumor ligger i sårbare områder og ikke vurderes som resektabel, bør det kun utføres biopsi. Kirurgiske hjelpemidler inkluderer blant annet mikroskop med høy oppløsning, navigasjonssystemer, intraoperativ MR, ultralyd og nevrofysiologisk monitorering for å visualisere tumor, øke reseksjonsomfanget og redusere risikoen for nevrologiske utfall. Det er anbefalt å bruke det fluorescerende fargestoffet 5‑aminolevulinsyre (5-ALA, Gliolan) for å visualisere vitalt tumorvev intraoperativt og maksimere omfanget av reseksjonen (10). Postoperativ bildekontroll med kontrastforsterket MR bør gjøres innen 48 timer for å vurdere kirurgisk reseksjongrad og eventuelle komplikasjoner.

    Svulstrettet ikke-kirurgisk behandling

    Svulstrettet ikke-kirurgisk behandling

    Standardbehandling for pasienter under 70 år med god allmenntilstand er postoperativ strålebehandling (2 Gy × 30) og kjemoterapi med konkomitant temozolomid (75 mg per m2 kroppsoverflate per dag × 30) over seks uker. Adjuvant vedlikeholdsdose med temozolomid (150–200 mg/m2/dag × 5 i seks 28-dagerssykluser) begynner fire til seks uker etter avsluttet strålebehandling (3). Temozolomid kan holdes tilbake hos utvalgte pasienter med MGMT-umetylerte svulster hvor fordelen med temozolomid er minimal, eller dersom toksisitet begrenser bruken (4). Stråleterapi gis fokalt mot tumor med 2 cm margin. Det legges stor vekt på å begrense stråledose til spesielt strålefølsomme strukturer, for eksempel synsapparatet, hjernestammen og hippocampi (1, 4). Under adjuvant behandling med temozolomid er bruk av alternerende elektriske felt (TTF, tumour treating fields) vist å øke median overlevelse med 4,9 måneder (11). TTF-behandling hemmer mitose og derved proliferasjon av tumorceller (11). Mekanismen er ikke fullstendig utforsket, og behandlingen tilbys per i dag ikke i det offentlige helsevesenet i Norge. Behandling av eldre pasienter er en spesiell utfordring fordi disse generelt har dårligere prognose og er mer utsatt for bivirkninger og toksisitet. Studier har vist at hypofraksjonert stråling kan være like effektivt som konvensjonell stråling hos pasienter over 70 år, og derfor gis vanligvis 2,67 Gy × 15 over tre uker (4).

    Støttebehandling

    Støttebehandling

    Kortikosteroider reduserer symptomatisk peritumoralt vasogent ødem. Fortrinnsvis brukes deksametason, og dette gis hos de fleste som preoperativ behandling. Dette senker intrakranialt trykk og reduserer operasjonsrisikoen (4). Det er imidlertid økende evidens for at kortikosteroider kan ha en ugunstig prognostisk effekt (4). Man bør derfor unngå slik behandling av asymptomatiske pasienter, og redusere dosen til laveste effektive dose hos pasienter som har steroidbehov. Antiepileptisk medikasjon bør startes hvis pasienten har hatt epileptisk anfall. Aktuelle førstelinjemedikamenter er lamotrigin, levetiracetam og lakosamid, avhengig av toleranse. Profylaktisk bruk av antiepileptika er ikke anbefalt (4).

    Kontroll og oppfølging

    Kontroll og oppfølging

    Pasienter med glioblastom skal kontrolleres livet ut med MR-undersøkelse etterfulgt av klinisk konsultasjon, vanligvis tre til fire ganger årlig (1). Det må vurderes om pasientene er egnet til å kjøre bil, men hovedregelen er at pasientene får muntlig kjøreforbud ved mistanke om gliom (1). Kognitive utfall er svært vanlig og underrapportert, og pasientene bør ved mistanke utredes for dette (12). For vurdering av terapirespons og progresjon brukes RANO-kriteriene (Response Assessment in Neuro-Oncology) (13). Det er viktig å være oppmerksom på pseudoprogresjon, som rammer 10–30 % av pasientene, spesielt ved høye stråledoser kombinert med kjemoterapi. Dette ses typisk som en forbigående økning av kontrastoppladning på MR flere måneder etter behandlingen (1, 4). Symptomrettet behandling og rehabiliteringsbehov må vurderes under hele forløpet (1).

    Tilbakefall av sykdom

    Tilbakefall av sykdom

    Alle gliomblastompasienter får residiv (3). Residivbehandling er ikke godt definert, og det finnes få tilgjengelige behandlingsmetoder. Behandlingen vil også være avhengig av funksjonsnivå, tid siden primærbehandling og residivlokalisasjon (1). Gjeldende retningslinjer inkluderer reoperasjon, ny bestråling (inkludert stereotaktisk strålebehandling), kjemoterapi og eksperimentelle behandlingsalternativer. Dessverre har de aller fleste kliniske studier vist begrensede resultater (4, 14). Selv om glioblastom påvirker hele hjernen, forekommer 70–90 % av residiv lokalt, i kantene av reseksjonshulen (15). Det pågår derfor en del arbeid med å forbedre lokal tumorkontroll med for eksempel fotodynamisk terapi eller termoterapi (15, 16).

    Eksperimentell behandling

    Eksperimentell behandling

    Ettersom vi har begrensede terapeutiske muligheter, er det stor interesse for eksperimentelle tilnærminger. Det pågår mange kliniske studier som undersøker effekten av immunterapi, behandling med onkolytiske virus, genterapi og målrettede molekylære terapier (oversikt over aktuelle studier finnes på nettsiden til Norsk hjernesvulstkonsortium (17)).

    Blod–hjerne-barrieren er en betydelig utfordring for ulike medikamentelle behandlinger. En annen utfordring er at kreftcellenes biologiske egenskaper endrer seg med terapien. Dette fører til utvikling av resistens, hvor ulike intracellulære signalveier tar over for de som hemmes. Et annet forhold er at glioblastomer viser begrenset antigenpresentasjon fordi de vokser i et immunsupprimerende mikromiljø (4). De betraktes derfor som immunologisk «kalde» svulster som responderer dårlig på immunterapi. Videre er målrettet medikamentell behandling vanskelig på grunn av betydelig intratumoral (innad i svulsten) og intertumoral (mellom ulike pasienter) heterogenitet. Det er derfor lite sannsynlig at en vil finne ett behandlingsprinsipp som virker på alle pasienter, og således behov for utvikling av persontilpasset behandling.

    Norsk hjernesvulstkonsortium

    Norsk hjernesvulstkonsortium

    De ledende norske fagmiljøene innen hjernekreft, bestående av klinikere og forskere i Bergen, Oslo, Trondheim og Tromsø, har nylig etablert Norsk hjernesvulstkonsortium. I samarbeid med Kreftforeningen, Hjernesvulstforeningen og Kreftregisteret er konsortiet godt i gang med å etablere et nasjonalt kvalitetsregister for hjernekreft, samordne forskningsbiobanker, øke pasientinklusjon i eksisterende kliniske studier og styrke internasjonalt forskningssamarbeid. Konsortiet har som ambisjon å tilby norske hjernekreftpasienter bedre og mer persontilpasset behandling. I den anledning arbeides det nå med å realisere en teknologisk plattform for funksjonell profilering av hjernekreft som inkluderer testing av kjente og eksperimentelle medikamenter på mikrosvulster fra hver enkelt pasients glioblastom.

    Konklusjon

    Konklusjon

    Glioblastom er den vanligste primære maligne hjernesvulsten hos voksne i Norge. Det er et stort potensial for mer virksom og persontilpasset behandling. Som svar på dette har flere nasjonale initiativ nylig samlet kreftene i Norsk hjernesvulstkonsortium.

    Artikkelen er fagfellevurdert.

    Kommentarer  ( 0 )
    PDF
    Skriv ut

    Anbefalte artikler