En mann i 30-årene ble operert for hjerneabscess med 19 års mellomrom. Et sentralvenøst kateter på avveie ga hint om årsaken.
En mann i slutten av 30-årene ble innlagt av fastlege på medisinsk avdeling ved lokalsykehuset etter to uker med hoste, feberfølelse, myalgi og hodepine. De siste dagene før innleggelsen opplevde han fallerende allmenntilstand, økende hodepine med oppkast og forbigående redusert følelse i venstre bein. Han var operert for hjerneabscess i høyre frontallapp 19 år tidligere, uten sekvele. Det var den gang beskrevet oppvekst av Streptococcus anginosus. Han hadde ellers ingen kjente sykdommer.
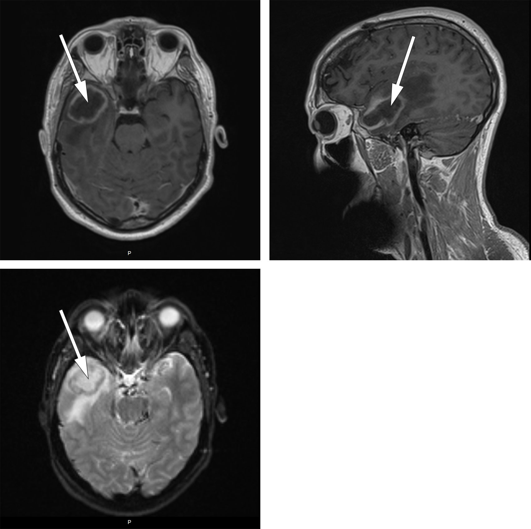
Ved lokalsykehuset var respirasjonen ubesværet, blodtrykket 130/75 mmHg, pulsen 95 slag/min og temperaturen på 39,3 °C. Han var lyssky og nakkestiv. Glasgow Coma Scale (GCS)-skår var 14 med lukkede øyne på grunn av lysskyhet. Blodprøvene viste leukocytter 11,9 × 109/L (referanseområde 3,5–10,0 × 109/L), nøytrofile granulocytter 9,6 × 109/L (1,5–7,3 × 109/L) og CRP 24 mg/L (< 4). Arteriell blodgass uten oksygentilskudd viste hypoksemi med pO2 8,1 kPa (11,0–14,0), men det ble ikke utredet videre pga. hastesituasjon. Blodkulturer og nasofarynksbakteriologi var begge uten senere oppvekst, og han var negativ for pneumokokkantigen i urin. Det ble ikke tatt røntgen toraks. På bakgrunn av sykehistorie med tidligere hjerneabscess ble det gjort CT caput før planlagt spinalpunksjon. CT-undersøkelsen viste en kontrastladende lesjon i høyre temporallapp og tegn på ødem og økt intrakranialt trykk. Intravenøs cefotaksim 3 g × 4 og intravenøs metronidazol 1,5 g × 1 ble igangsatt på mistanke om hjerneabscess, og han ble ikke spinalpunktert. Han ble raskt overflyttet til nevrokirurgisk avdeling ved et universitetssykehus. MR caput samme kveld viste en kontrastladende lesjon med perifokalt ødem i høyre temporallapp (figur 1).
Hjerneabscess er en fokal ansamling av puss i hjerneparenkymet. Infeksjonen starter som oftest utenfor sentralnervesystemet og sprer seg til hjernen via blod – typisk fra endokarditt eller lungeinfeksjon – eller ved direkte spredning fra bihuler, mellomøre, meninger, traume eller ved et lokalt kirurgisk inngrep (1, 2). I hjernen dannes først en lokal cerebritt, som utvikler seg til en pussansamling omkranset av en vaskularisert kapsel (1).
Hodepine er det vanligste symptomet, etterfulgt av feber, kvalme og oppkast, endret bevissthet, fokalnevrologiske utfall og epileptiske anfall (1). CRP, senkning og leukocytter kan være forhøyet. Blodkultur er positiv i 25–30 % av tilfellene og er viktig å sikre før oppstart av antibiotika (3). Bakteriologisk undersøkelse av spinalvæske er ofte negativ, men gjøres i liten grad på grunn av risiko for herniering (3).
MR caput med kontrast er nødvendig for å stille diagnosen, da det skiller abscess fra andre tilstander som malign tumor, men i praksis vil CT caput ofte tas først (4). Lesjonen framstår på CT som ringformet med kontrastopptak rundt (5). På MR caput med kontrast finner man diffusjonsrestriksjon på diffusjonsvektede sekvenser (diffusion weighted imaging, DWI) og en indre hyperintens og ytre hypointens kant på susceptibilitetsvektede MR-bilder (SWI-magnitude) (6).
Etter MR-undersøkelsen ankomstkvelden fallerte pasienten ytterligere nevrologisk med gjentatt oppkast og fallende GCS-skår til 13 (lukkede øyne og forvirring). Han ble operert samme natt i narkose med kraniotomi og drenering av abscess. Preoperativt ble antibiotika endret fra cefotaksim til intravenøs ceftriakson 2 g × 2, mens metronidazol ble kontinuert. Allerede første postoperative dag anga pasienten klar bedring av hodepinen, nakkestivheten og lysskyheten. Han spiste og drakk som normalt. Dyrkning av abscessmateriale viste oppvekst av Streptococcus intermedius og Fusobacterium nucleatum.
Hjerneabscess behandles med intravenøs antibiotika. Operasjon anbefales ved abscesser over 2,5 cm (7). Avhengig av lokalisasjon og størrelse kan man enten aspirere, drenere eller fjerne hele abscessen med innhold og kapsel. Sistnevnte innebærer nødvendigvis noe fjerning av hjernevev og gjøres kun ved større abscesser som ikke ligger nær følsomme hjerneområder. Hos dårlige pasienter er det nødvendig å komme i gang tidlig med antibiotikabehandling, også før kirurgi. Antibiotika startes empirisk og korrigeres når dyrkningssvar foreligger. Behandlingslengden er 4–12 uker avhengig av størrelse på abscessen og drenasje (7, 8). Vi anbefaler tett samarbeid med infeksjonsmedisiner. I vårt tilfelle ble infeksjonsmedisiner konsultert, og antibiotika ble endret preoperativt uten at det ble begrunnet i journalen.
Hjerneabscesser kan bestå av én eller flere bakterier, men er ofte monomikrobielle (3). Abscess forårsaket av sopp og parasitter forekommer, da gjerne hos immunsupprimerte pasienter (3).
Vår pasient hadde oppvekst av to anaerobe bakterier. Streptococcus intermedius er fakultativt anaerob og vanlig flora i blant annet gastrointestinalkanalen, munnhulen og øvre luftveier. Fusobacterium nucleatum er også en del av normalfloraen i de to førstnevnte (9). For 19 år siden anga man oppvekst av S. anginosus. Navnet brukes til å betegne en gruppe som inkluderer S. intermedius, men kan også betegne en nær beslektet bakterie i samme gruppe (10). Dette var ikke spesifisert i den gamle journalen.
Det er viktig å finne kilden til infeksjonen for å gi korrekt behandling. I 10–20 % av tilfellene finner man ikke denne (1). Hvor abscessen er lokalisert og hvilken mikrobe som dyrkes, kan gi en pekepinn. Lokal spredning er vanligst, og streptokokker sammen med anaerobe bakterier dominerer. Ved hematogen spredning opptrer infeksjonen gjerne i relasjon til de store intracerebrale arteriene. Her dominerer stafylokokker og streptokokker. Ved traumer eller nevrokirurgiske prosedyrer er stafylokokker dominerende (7).
Første postoperative dag ble det gjort CT toraks med kontrast, uten tegn til pneumoni eller abscesser. Etter overføring til lokalsykehuset andre postoperative dag bestod videre utredning av transtorakal ekkokardiografi, uten tegn til endokarditt eller klaffevegetasjoner, og et normalt kjevekirurgisk tilsyn. Allmenntilstanden var god, og pasienten fikk et perifert innlagt sentralvenøst kateter (PICC-line) i høyre overekstremitet for seks ukers antibiotikabehandling hjemme. Han ble utskrevet til hjemmet fra lokalsykehus 6. postoperative dag.
To dager senere sluttet kateteret å fungere, og pasienten fikk et nytt tilsvarende kateter via venstre overekstremitet. Prosedyren var ukomplisert, men kontroll-røntgen toraks viste unormalt leie av kateteret på venstre side av sternum (figur 2). CT toraks med intravenøs kontrast samme kveld viste at kateteret lå i en persisterende venstre vena cava superior, se figur 3a og figur 3b. Grunnet kontrastartefakter på bildene kunne man ikke da si sikkert om denne venen munnet ut i venstre eller høyre hjertehalvdel. Det gikk lett å aspirere blod og å injisere saltvann, og man tolket det som at kateteret fungerte normalt. Pasienten reiste hjem samme kveld i god form.
Persisterende venstre v. cava superior er den vanligste medfødte anomalien i venesystemet i toraks. Forekomsten i befolkningen er antatt å være ca. 0,3 % og 4–10 % hos pasienter med medfødt hjertesykdom (11–13).
Overkroppens venedrenasje kommer fra de embryologiske fremre kardinalvenene (figur 4) (11, 14–17). Ved normal utvikling anastomoserer disse omkring gestasjonsuke 8. Venstre kardinalvene går i regress til Marshalls ligament, og distale del blir til sinus coronarius. Høyre kardinalvene blir til v. cava superior. Persisterende venstre v. cava superior forekommer ved manglende regress av venstre kardinalvene og er assosiert med anomalier knyttet til sinus coronarius (12, 14) (figur 5). I 65 % av tilfellene er venstre v. brachiocephalica (også kalt tverrvene i denne artikkelen) fraværende (18). Vår pasient hadde åpen tverrvene (figur 3).
Dagen etter at pasienten hadde fått nytt perifert innlagt sentralvenøst kateter ble han på nytt innlagt ved lokalsykehuset med hodepine og lysskyhet. Vitalia var normale, GCS-skår var 15, og det var ingen nevrologiske utfall. CT caput viste progrediering av abscessen temporalt på høyre side. Pasienten var nå innlagt for tredje gang grunnet hjerneabscess. Funnet av persisterende venstre v. cava superior dagen før gjorde at man nå fattet sterk mistanke om en sammenheng mellom denne og de to episodene med hjerneabscess med 19 års mellomrom. Man unnlot derfor å ta det sentralvenøse kateteret i videre bruk. Antibiotika ble kontinuert via perifer venekanyle i høyre overekstremitet, og han ble samme kveld overflyttet til nevrokirurgisk avdeling ved et universitetssykehus, 11 dager etter primæroperasjonen.
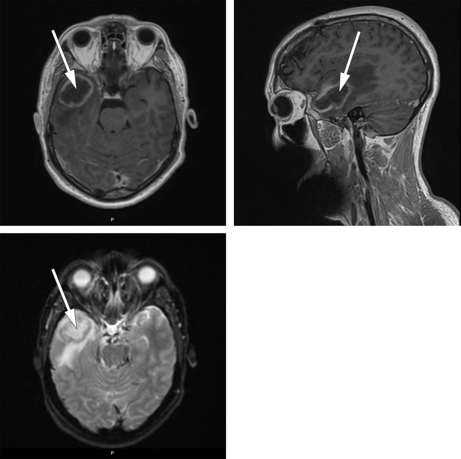
MR caput med intravenøs kontrast bekreftet funnet (figur 6). Han ble reoperert dagen etter i narkose med rekraniotomi og fjerning av abscess med kapsel. Pasienten kom seg raskt etter operasjonen uten nevrologiske utfall.
Ved regranskning av CT toraks tatt ved første innleggelse på universitetssykehus så man at pasienten hadde en persisterende venstre v. cava superior. Det ble nå bekreftet at denne munnet ut i venstre atrium.
Hos 90 % av tilfellene med persisterende venstre v. cava superior drenerer denne til høyre atrium via sinus coronarius. Disse er gjerne asymptomatiske og oppdages tilfeldig ved bildediagnostikk, sentralvenøs kateterisering eller kirurgi (11). De resterende 8–10 % drenerer direkte til venstre atrium via anomalier i sinus coronarius og skaper en høyre-til-venstre-shunt. Disse er assosiert med hjerneabscesser og tromboemboliske hendelser (12).
Tannpuss eller enkel tannlegebehandling kan være tilstrekkelig for å gi forbigående bakteriemi med munnhulebakterier (12). Vanligvis overlever ikke bakteriene passasjen gjennom det oksygenrike lungekretsløpet og elimineres av immunsystemet. Ved høyre-til-venstre-shunt unngår bakteriene lungekretsløpet og passerer direkte til arteriell sirkulasjon og videre til f.eks. hjernen (12).
Pasientens venstresidige perifert innlagte sentralvenøse kateter ble ikke tatt i bruk og etter hvert fjernet. Videre diagnostikk de neste fire ukene bestod i transøsofageal ekkokardiografi, som viste et stort kar som munnet inn i venstre atrium, forenlig med persisterende venstre v. cava superior. Det ble gjort «bobletest» med boblekontrast fra begge overekstremiteter. Ved injeksjon i høyre albuevene var det ingen overgang av kontrast til venstre atrium. Ved injeksjon i venstre albuevene gikk all kontrast til venstre atrium. Dette indikerte tett atrieseptum. I tillegg viste undersøkelsen tett ventrikkelseptum.
Man hadde nå utelukket de tre vanligste årsakene til høyre-til-venstre-shunt: Patent foramen ovale, atrieseptumdefekt og ventrikkelseptumdefekt (19). Funnet bekreftet også at den persisterende venstre v. cava superior drenerte direkte til venstre atrium. Det var ingen tegn til endokarditt. Det ble gjort CT toraks med angiografi for ytterligere kartlegging. Revmatologisk utredning med CT-angiografi av resten av kroppen var uten patologiske funn. På grunn av oppvekst av munnhulebakterier ble det gjort et nytt kjevekirurgisk tilsyn, som var upåfallende.
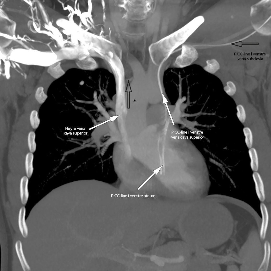
I samråd med kardiolog og infeksjonsmedisiner konkluderte man med persisterende venstre v. cava superior som årsak til pasientens to hjerneabscesser. Intravenøs antibiotika (ceftriakson 2 g × 2 og metronidazol 1 g × 1) ble kontinuert i åtte uker via høyresidige venetilganger. På grunn av alvorlig sykdomsforløp og fare for reinfeksjon fikk han profylakse med peroral amoksicillin 1 g × 3 fram til endelig behandling med lukking av persisterende venstre v. cava superior. Pasienten ble kurativt operert ved intervensjonsradiologisk avdeling på universitetssykehus tre måneder etter utskrivning fra nevrokirurgisk avdeling. Via tilgang i venstre v. jugularis interna ble det i lokalbedøvelse utført endovaskulær embolisering med plassering av en vaskulær plugg helt distalt i den persisterende venstre v. cava superior (figur 7). Forløpet var ukomplisert.
MR caput seks uker etter operasjonen viste ingen residiv. Tremånederskontroll hos nevrolog, infeksjonsmedisiner og kardiolog viste tilfredsstillende forhold.
Diskusjon
Vår pasient hadde to hjerneabscesser med 19 års mellomrom. Dette er svært uvanlig, og omfattende utredning var nødvendig. Vi må anta at progrediering av hjerneabscessen som førte til reoperasjon 12 dager etter andre gangs abscess, var oppblussing av en drenert abscess og ikke en ny infeksjon. Dette er ikke uvanlig ved hjerneabscesser (20).
Fordi anomalien hadde ført til alvorlig sykdom, ble den kartlagt i detalj før endelig lukking. MR er nevnt i litteraturen som mulig utredning (12), men ble ikke gjort i vårt tilfelle, da CT framstilte patologien tydelig.
Både sinus coronarius og persisterende venstre v. cava superior er bakre strukturer i hjertet. Transtorakal ekkokardiografi visualiserer disse områdene dårlig, men man kan få hint, som unormal blodstrøm på dopplerundersøkelse og dilatasjon av sinus coronarius (12, 13). I vårt tilfelle viste denne undersøkelsen normale funn.
Pasientens arterielle blodgass ved første innleggelse viste pO2 8,1 kPa (11,0–14,0) uten oksygentilskudd. Man gjorde enkel diagnostikk for luftveisinfeksjon, men på grunn av den tidskritiske situasjonen ble ikke hypoksemien utredet videre. I journalen finnes én annen blodgassundersøkelse (arteriell) som ble tatt noen år tilbake. Den viste pO2 9,1 og var ikke tatt i forbindelse med et kjent oksygeneringsproblem. I lys av diagnosen kan man mistenke høyre-til-venstre-shunt som årsak til hypoksemien.
Persisterende venstre v. cava superior bør mistenkes dersom røntgen toraks viser sentralvenøst kateter på venstre side av mediastinum. Hvis anomalien ikke er godt kartlagt og man ikke kan utelukke en shunt, bør kateteret fjernes i påvente av dette (21). Ved erkjent persisterende venstre v. cava superior som drenerer til venstre atrium frarådes å legge venstresidig sentralvenøs tilgang (12). Påvises anomalien tilfeldig og videre utredning viser at den munner ut i venstre atrium, anbefales profylaktisk lukking (11–13). Dette gjøres enten ved hjelp av endovaskulære teknikker, som hos vår pasient, eller kirurgisk (22).
Pasienten har gitt samtykke til at artikkelen blir publisert.
Takk til Odin Jakobsen, lege i spesialisering ved Radiologisk avdeling, Gjøvik sykehus for hjelp til å finne illustrerende radiologiske bilder.
Artikkelen er fagfellevurdert.
- 1.
Sonneville R, Ruimy R, Benzonana N et al. An update on bacterial brain abscess in immunocompetent patients. Clin Microbiol Infect 2017; 23: 614–20. [PubMed][CrossRef]
- 2.
Lai PH, Hsu SS, Ding SW et al. Proton magnetic resonance spectroscopy and diffusion-weighted imaging in intracranial cystic mass lesions. Surg Neurol 2007; 68 (Suppl 1): S25–36. [PubMed][CrossRef]
- 3.
Brouwer MC, Coutinho JM, van de Beek D. Clinical characteristics and outcome of brain abscess: systematic review and meta-analysis. Neurology 2014; 82: 806–13. [PubMed][CrossRef]
- 4.
Rath TJ, Hughes M, Arabi M et al. Imaging of cerebritis, encephalitis, and brain abscess. Neuroimaging Clin N Am 2012; 22: 585–607. [PubMed][CrossRef]
- 5.
Britt RH, Enzmann DR. Clinical stages of human brain abscesses on serial CT scans after contrast infusion. Computerized tomographic, neuropathological, and clinical correlations. J Neurosurg 1983; 59: 972–89. [PubMed][CrossRef]
- 6.
Toh CH, Wei KC, Chang CN et al. Differentiation of pyogenic brain abscesses from necrotic glioblastomas with use of susceptibility-weighted imaging. AJNR Am J Neuroradiol 2012; 33: 1534–8. [PubMed][CrossRef]
- 7.
Quist-Paulsen E, Hermansen N, Ormaasen V. Håndbok i infeksjonsmedisin (OUS), bakteriell hjerneabscess, versjon 1.9. https://metodebok.no/index.php?action=topic&item=X4wCU5n2 Lest 27.10.2022.
- 8.
Helsedirektoratets antibiotikaveileder for sykehus. Infeksjoner i sentralnervesystemet. Helsedirektoratet.https://www.helsedirektoratet.no/retningslinjer/antibiotika-i-sykehus/infeksjoner-i-sentralnervesystemet#behandling-andre-3-5e50d8bc-280b-4fd5-bf04-55641d6eb305-0 Lest 11.7.2022.
- 9.
Brennan CA, Garrett WS. Fusobacterium nucleatum - symbiont, opportunist and oncobacterium. Nat Rev Microbiol 2019; 17: 156–66. [PubMed][CrossRef]
- 10.
Whiley RA, Beighton D. Emended descriptions and recognition of Streptococcus constellatus, Streptococcus intermedius, and Streptococcus anginosus as distinct species. Int J Syst Bacteriol 1991; 41: 1–5. [PubMed][CrossRef]
- 11.
Ch'ng JK, Soon JL, Lim CH. Paradoxical emboli from left superior vena cava causing recurrent brain abscess. Singapore Med J 2012; 53: e21–3. [PubMed]
- 12.
Lee MS, Pande RL, Rao B et al. Cerebral abscess due to persistent left superior vena cava draining into the left atrium. Circulation 2011; 124: 2362–4. [PubMed][CrossRef]
- 13.
Rawal G, Kumar R, Yadav S et al. Persistent Left Superior Vena Cava: A Rare Case with Clinical Significance. J Clin Diagn Res 2016; 10: OD17–8. [PubMed][CrossRef]
- 14.
Barba T, Karsenty J, Boussel L et al. Brain abscess associated with persistent left superior vena cava in a 58-year-old man. BMJ Case Rep 2013; 2013 (mar18 1): bcr2013009017. [PubMed][CrossRef]
- 15.
Demșa I, Crișu D, Haba CMȘ et al. Persistent Left Superior Vena Cava with Absent Right Superior Vena Cava and Discrete Subaortic Stenosis Diagnosed in a Patient with Sick Sinus Syndrome: A Case Report and Brief Review of the Literature. Diagnostics (Basel) 2020; 10: 847. [PubMed][CrossRef]
- 16.
Gilbert SG. Pictorial human embryology. Seattle, WA: University of Washington Press, 1989.
- 17.
Patten BM. Foundation of embryology (McGraw-Hill series in organismic biology). New York, NY: McGraw-Hill, 1974.
- 18.
Povoski SP, Khabiri H. Persistent left superior vena cava: review of the literature, clinical implications, and relevance of alterations in thoracic central venous anatomy as pertaining to the general principles of central venous access device placement and venography in cancer patients. World J Surg Oncol 2011; 9: 173. [PubMed][CrossRef]
- 19.
Maron BA, Shekar PS, Goldhaber SZ. Paradoxical embolism. Circulation 2010; 122: 1968–72. [PubMed][CrossRef]
- 20.
Greenberg MS. Handbook of Neurosurgery. 9. utg. New York, NY: Thieme Medical Publishers Inc, 2019.
- 21.
Gallaher JA, Somasundaram K. Left-sided superior vena cava complicates central line insertion. BMJ Case Rep 2019; 12: e228474. [PubMed][CrossRef]
- 22.
Vargas FJ. Reconstructive methods for anomalous systemic venous return: surgical management of persistent left superior vena cava. Semin Thorac Cardiovasc Surg Pediatr Card Surg Annu 2008; 11: 31–8. [PubMed][CrossRef]