IgA-nefropati

    ()

    sporsmal_grey_rgb
    Abstract

    Immunoglobulin A (IgA) nephropathy is the most common form of primary glomerulonephritis globally and a frequent cause of severe kidney failure in young adults. Kidney biopsy is used to diagnose the condition. Despite it being identified more than fifty years ago, understanding of the disease's pathophysiology is limited, and there is currently no targeted treatment apart from supportive therapy. A number of clinical drug trials are now being undertaken, giving hope that effective treatment may become available in a few years. The patient care pathway usually starts in general practice, but assessment by a nephrologist is necessary for further diagnostics. In this clinical review article, we will describe the investigation, treatment and prognostic assessments for IgA nephropathy.

    Artikkel

    Immunglobulin A-nefropati (IgA-nefropati) er den vanligste formen for primær glomerulonefritt i verden og en hyppig årsak til alvorlig nyresvikt hos unge voksne. Diagnosen stilles ved nyrebiopsi. Til tross for at sykdommen har vært kjent i over femti år, har man begrenset forståelse av dens patofysiologi, og det finnes foreløpig ingen sykdomsrettet behandling utenom støtteterapi. Det pågår nå flere kliniske legemiddelstudier, noe som gir håp om at effektiv behandling kan bli tilgjengelig om få år. Pasientforløpet starter oftest i allmennpraksis, men vurdering av nefrolog er nødvendig for videre diagnostikk. I denne kliniske oversiktsartikkelen vil vi beskrive utredning, behandling og prognostiske vurderinger ved IgA-nefropati.

    Immunglobulin A-nefropati, gjerne omtalt som IgA-nefropati, er den vanligste formen for primær glomerulonefritt i verden og en hyppig årsak til alvorlig nyresvikt hos unge voksne (1). Sykdommen ble først beskrevet av franskmannen Jean Berger i 1968 (2). Den debuterer vanligvis i ung voksen alder og rammer menn hyppigere enn kvinner.

    Det kliniske bildet varier fra makroskopisk hematuri i etterkant av øvre luftveisinfeksjon til tilfeldig påvist mikroskopisk hematuri, hypertensjon og proteinuri. Funnene ses både isolert og sammen. IgA-nefropati kan også debutere med akutt nyresvikt. Ved vedvarende mikroskopisk hematuri eller nyoppdaget proteinuri bør pasienter henvises til utredning ved nefrolog, som da vil ta stilling til biopsiindikasjon, behandling og oppfølging, gjerne i samråd med fastlege. Forløpet kan variere fra remisjon til rask progresjon mot terminal nyresvikt og behov for dialysebehandling eller nyretransplantasjon (1).

    De siste årene har en fått ny kunnskap om prognostiske vurderinger og oppdaterte retningslinjer for behandling, og det pågår flere legemiddelstudier som kan gi håp om effektiv behandling. I denne kliniske oversiktsartikkelen ønsker vi å gi en oppdatert beskrivelse av diagnostiske, prognostiske og behandlingsmessige forhold ved IgA-nefropati. Kunnskapsgrunnlaget er basert på ikke-systematisk litteratursøk, registerdata, behandlingsretningslinjer og egen klinisk erfaring.

    Forekomst

    Forekomst

    I Norsk nyreregister, som registrerer biopsisvar fra nyrebiopsier av native, ikke-neoplastiske nyrer, ble det i 2020 registrert 602 nyrebiopsier. Av disse var 107 (17,8 %) forenelige med IgA-nefropati, noe som gjør IgA-nefropati til den vanligste formen for glomerulonefritt også i Norge (3). Sykdommens heterogenitet og variasjon i utredning og biopsikultur gjør at en mangler gode data om forekomst (4). Tilstanden er vanligere i Asia, Europa og Nord-Amerika enn i resten av verden, og en ser store geografiske forskjeller i klinisk og patologisk presentasjon og behandlingsrespons (5). Norske tall viser at rundt 30 % av pasientene med IgA-nefropati vil nå terminal nyresvikt i løpet av 20 år (6).

    Patofysiologi og diagnose

    Patofysiologi og diagnose

    Patogenesen ved IgA-nefropati er forstått som en mekanisme over fire steg som kort oppsummert omhandler en genetisk predisposisjon som ved trigging kan gi økning i sirkulerende IgA1 med endret struktur. Disse gjenkjennes som noe fremmed og angripes av sirkulerende antistoffer. Det dannes immunkompleks som slår seg ned i nyrenes mesangium, hvor de kan forårsake glomerulær skade. Både inflammasjon i tarmmukosa og aktivering av komplementsystemet bidrar til sykdomsskaden (1, 2).

    Til tross for at det er forsket mye på mulige biomarkører, er det fortsatt nødvendig med nyrebiopsi for å diagnostisere IgA-nefropati. Det er først og fremst funn av IgA-nedslag i nyrenes glomeruli som sikrer diagnosen, men en rekke andre histopatologiske karakteristika er av prognostisk betydning (7). Tidligere har biopisindikasjonen ved mistanke om IgA-nefropati gjerne vært vedvarende proteinuri med verdier på over 1 gram per døgn eller fallende estimert glomerulær filtrasjonsrate (eGFR). En norsk studie med pasienter som hadde IgA-nefropati med antatt mildt forløp og god prognose, viste at en stor andel pasienter (15 %) likevel fikk betydelig redusert nyrefunksjon etter flere tiår. Studien viste også at svært mange av kvinnene (40 %) fikk preeklampsi under svangerskapet (8), noe som indikerer at pasienter med antatt mild sykdom også bør vurderes for nyrebiopsi.

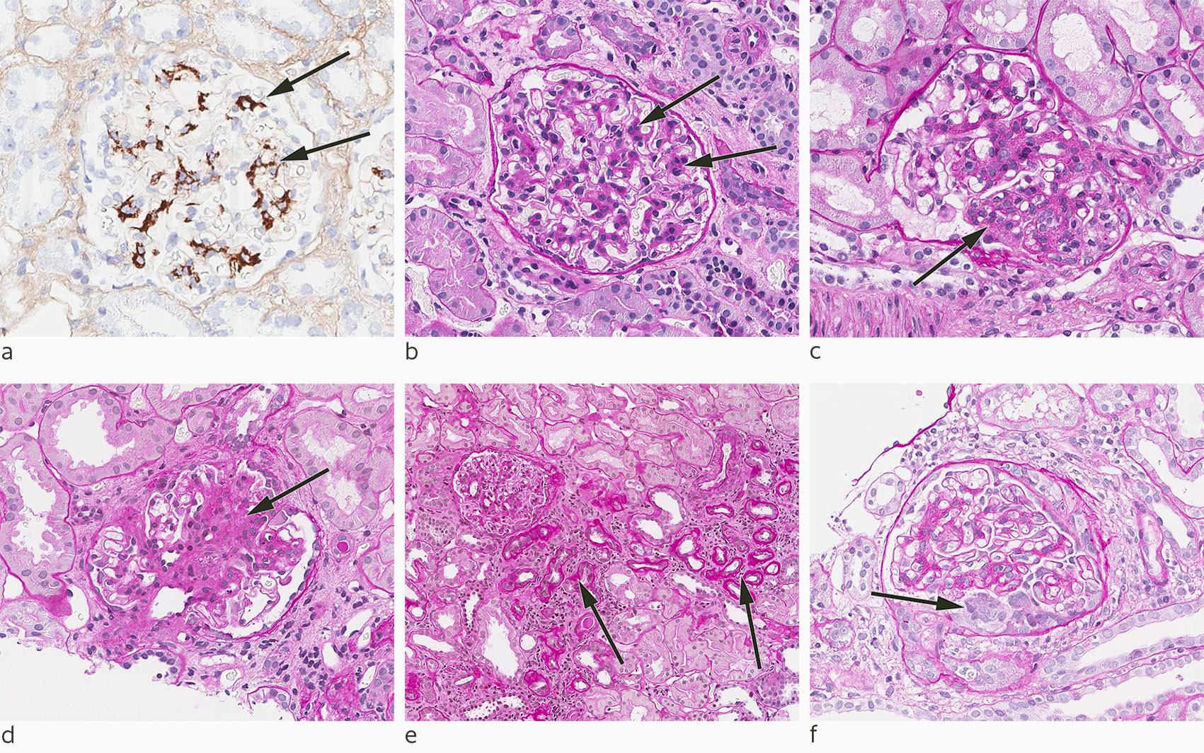
    I 2009 ble Oxford-klassifikasjonen etablert som et internasjonalt skåringssystem for nyrebiopsier ved IgA-nefropati, og dette brukes nå i stor grad av norske nyrepatologer. Den originale klassifikasjonen inneholder fire histopatologiske funn som er av prognostisk betydning: mesangial hypercellularitet (M), endokapillær hypercellularitet (E), segmental glomerulosklerose (S) og tubulær atrofi eller interstitiell fibrose (T) (9). I 2016 ble cellulære eller fibrocellulære halvmåner (C, for crescent) lagt til skåringssystemet, som nå ofte omtales som MEST-C-skår (10) (figur 1).

    S- og T-lesjoner representerer kroniske forandringer og er vanligvis assosiert med dårlig prognose sammenlignet med M- og E-lesjoner (10). Det er gjort forsøk på å forenkle rapporteringen slik at skåringssystemet blir mer anvendelig for klinikere (11). Andre immunhistokjemiske undersøkelser, som kvantifisering av makrofager og komplementaktivitet, kan også vise seg å være av prognostisk betydning (7). Med tiden vil genetisk kartlegging (12) og bruk av andre biomarkører (13) bidra til både diagnostikk og prognosevurdering.

    En rekke kliniske og biokjemiske risikofaktorer er assosiert med sykdomsprogresjon ved IgA-nefropati, blant annet hypertensjon, redusert eGFR-verdi på diagnosetidspunkt og grad av proteinuri (14). Enkeltstudier har også funnet at mannlig kjønn (15) og persisterende mikroskopisk hematuri er assosiert med dårligere prognose, men disse funnene er omstridte.

    Behandling

    Behandling

    Selv om IgA-nefropati har vært kjent i snart 60 år, har behandlingsmulighetene vært få. Støttebehandling med hemning av renin-angiotensin-aldosteron-systemet (RAAS) for å senke blodtrykk og redusere proteinuri kan bremse sykdomsutviklingen (16).

    Bruken av immunsuppressive legemidler, hovedsakelig systemiske glukokortikoider, har vært omstridt. En studie har vist effekt på endepunkter som reduksjon av proteinuri og progresjon til terminal nyresvikt, men flere av de inkluderte pasientene hadde ikke mottatt anbefalt støttebehandling med RAAS-hemmere (17). En randomisert kliniske studie fra 2015 fant at glukokortikoider hadde effekt på reduksjon av proteinuri, men ikke på progresjon av nyresvikt (18), noe som støttes av norske data (19). Det har også blitt beskrevet betydelige bivirkninger knyttet til behandling med glukokortikoider (20).

    Til tross for manglende evidens åpner de nylig oppdaterte internasjonale behandlingsanbefalingene for bruk av glukokortikoider hos pasienter med proteinuri med verdier på over 0,75 gram per døgn og eGFR-verdier på over 30 mL/min/1,73 m2, som er en mer liberal tilnærming enn retningslinjene fra 2012 (21, 22). Det finnes lite data på bruk av immunsuppressiver i Norge, men enkelte studiekohorter med norske pasienter viser at det er stor oppslutning rundt behandling med RAAS-hemmere, men at en er mer tilbakeholden med immunsuppresjon (11).

    Tidligere har kun terminal nyresvikt eller død vært godkjent av legemiddelmyndighetene som endepunkt ved kliniske studier. Siden IgA-nefropati progredierer sakte, gjerne over flere tiår, har det ikke vært praktisk mulig å gjennomføre kliniske legemiddelstudier. I 2018 vedtok amerikanske og europeiske legemiddelmyndigheter å godkjenne reduksjon av proteinuri som klinisk endepunkt (23). Det har ført til fornyet interesse fra legemiddelindustrien, og det pågår nå en rekke kliniske legemiddelstudier med medikamenter som angriper forskjellige punkter i sykdomskaskaden. Nærmest klinisk bruk i Norge er kanskje budesonid (24), som er foreslått til vurdering i systemet Nye metoder. Resultatene fra en fase 3-studie er ventet i 2023. Også andre legemidler, blant annet flere komplementhemmere, evalueres i fase 3-studier (20, 25). En protokolldefinert analyse fra DAPA-CKD-studien (dapagliflozin and prevention of adverse outcomes in chronic kidney disease) i 2021 har vist at såkalte SGLT2-hemmere (natriumglukose-kotransportør 2-hemmere) kombinert med RAAS-hemmere reduserer risikoen for progresjon til terminal nyresvikt ved IgA-nefropati (26).

    Inntil nye medikamenter er godkjent for klinisk bruk, mener vi den norske behandlingstradisjonen, med stor oppslutning rundt støttebehandling og samtidig restriktiv bruk av kortikosteroider, er fornuftig.

    Prognostiske verktøy

    Prognostiske verktøy

    Siden IgA-nefropati har et svært heterogent forløp, er det viktig med prognostiske modeller som kan identifisere pasienter med risiko for sykdomsprogresjon. Flere modeller er utviklet de siste tiårene. Alle har til felles at de ikke har blitt tilstrekkelig validert, og at de er lite brukt.

    I 2019 ble International IgAN prediction tool (IIGAN-PT) utviklet, og det foreligger nå som app (27). Dette verktøyet kombinerer histologiske funn etter Oxford-klassifikasjonen og kliniske risikofaktorer, og er internt og eksternt validert. De oppdaterte behandlingsretningslinjene anbefaler klinikere å ta verktøyet i bruk, i første omgang til pasientinformasjon og seleksjon til deltakelse i kliniske studier (21). En modelleringsstudie har vist at IIGAN-PT-verktøyet også kan brukes til å identifisere pasienter som kan ha nytte av immunsuppresjon (28). Samtidig kan en la være å gi potensielt skadelig behandling til pasienter med god prognose, og dermed unngå bivirkninger og unødvendige medikamentkostnader. Dette vil bli spesielt viktig nå som ny behandling snart blir tilgjengelig.

    Konklusjon

    Konklusjon

    Nyrebiopsi er sentralt ved diagnostikk og vurdering av prognose ved IgA-nefropati, og nyrespesialister bør ha en liberal holdning til å ta nyrebiopsi. Vi nærmer oss et viktig skifte i behandling av IgA-nefropati (1), og klinikere bør derfor ha et aktivt forhold til biopsifunn og prognostiske modeller for å kunne vurdere individuell behandlingsstrategi.

    Artikkelen er fagfellevurdert.

    Kommentarer  ( 2 )
    PDF
    Skriv ut

    Anbefalte artikler