Stressfraktur i calcaneus

    ()

    sporsmal_grey_rgb
    Abstract

    Calcaneal stress fracture is an injury that particularly affects athletes and runners owing to repeated stress on the lower extremities without sufficient recovery time. Medial and lateral heel pain during activity raises suspicion of the injury, but radiological examinations are required for a definitive diagnosis. The treatment is usually conservative, involving rest and dietary correction, and a pharmacological or surgical approach is only relevant in some few cases.

    Artikkel

    Stressfraktur i calcaneus (hælbeinet) er en skade som særlig rammer idrettsutøvere og mosjonister ved gjentakende overbelastning av underekstremitetene over tid uten tilstrekkelig restitusjon. Mediale og laterale hælsmerter under aktivitet vekker mistanken, men radiologiundersøkelser kreves for sikker diagnose. Behandlingen er som regel konservativ, med restitusjon og ernæringskorreksjon. Kun i noen tilfeller er det aktuelt med en farmakologisk eller kirurgisk tilnærming.

    Stressfrakturer, også kalt tretthetsbrudd, skiller seg fra vanlige akutte frakturer ved at de oppstår når bein utsettes for gjentatte mindre kraftige kompresjons- og tensjonskrefter enn det som skal til for å gi et akutt brudd (1). Skaden skyldes unormal belastning av friskt beinvev, med glidende overgang til insuffisiensfrakturer, som oppstår ved normal belastning av svekket beinvev (2).

    Stressfraktur i calcaneus ses oftest hos aktive idrettsutøvere og militærrekrutter, men også hos ivrige mosjonister som driver med langrenn og langdistanseløping (3, 4). De siste årene har bevisstheten rundt stressfrakturer økt, blant annet fordi de ofte henger sammen med spiseforstyrrelser, som forekommer relativt hyppig i idrett både på senior- og juniornivå (5).

    Hensikten med denne artikkelen er å belyse stressfrakturer i calcaneus som en differensialdiagnose ved hælsmerter hos idrettsutøvere og mosjonister. Artikkelen er basert på et litteratursøk i PubMed, der 160 artikler og sammendrag fra perioden 1.1.1996–8.1.2021 ble gjennomlest og 29 ble inkludert. I tillegg bygger artikkelen på andreforfatters kliniske erfaring innen ortopedi og idrettsmedisin og tredjeforfatters erfaring innen radiologi.

    Epidemiologi

    Epidemiologi

    Stressfrakturer er sjeldne i normalbefolkningen, men relativt vanlige i idrettsmedisinsk sammenheng (6). Forekomsten er hyppigst innen øvelser som innebærer gjentatte bevegelsesmønstre (1), og generelt blant idrettsutøvere er ettårsinsidensen av stressfrakturer 6–21 % (7, 8). Opptil 90 % av disse oppstår i underekstremitetene, hvorav ca. 20 % lokaliseres til calcaneus (6, 9).

    Etiologi og patogenese

    Etiologi og patogenese

    Under fysisk aktivitet utsettes knoklene våre for mekaniske krefter som fører til mikrofrakturer i beinvevet. Slike mikrofrakturer vil normalt repareres av en målrettet beinremodelleringsprosess som foregår i sykluser med beinresorpsjon og ‑nydannelse (2).

    I tråd med gjeldende beinremodelleringsteorier vil en økning i varighet, hyppighet eller intensitet av knokkelbelastningen kombinert med utilstrekkelig restitusjon føre til at resorpsjonsaktiviteten overskrider osteoblastenes kapasitet til beinnydannelse, slik at mikrofrakturene akkumulerer i beinvevet. Dette igangsetter reparasjonsprosesser med påfølgende beinmargsødem. Ved ytterligere belastning og mangelfull restitusjon kan det oppstå en stressreaksjon i beinvevet, som til slutt kan progrediere til en stressfraktur med synlig frakturlinje ved bildediagnostikk (1, 10). I calcaneus induseres denne prosessen av repetitive kompresjonskrefter og drag fra akillessenen (2), som ved langdistanseløping, hoppebevegelser (3) og diagonalgang på ski.

    Stressfrakturer har betydelig økt morbiditet sammenlignet med stressreaksjoner, noe som gjør tidlig intervensjon viktig (10). I calcaneus oppstår stressfrakturer perpendikulært på trabeklenes orientering, noe som vil si at bakre frakturer som regel er skråstilte, mens fremre frakturer er horisontale (4). Fremre stressfrakturer i calcaneus er sjeldne og er som regel assosiert med en medfødt calcaneonavikulær sammenvoksning (11) eller lang fremre calcaneus-prosess (12).

    Forut for de fleste stressfrakturer har det vært endringer i treningsregimet (10), men ernæringsforstyrrelser spiller også ofte en rolle. Slike forstyrrelser er ikke uvanlig innen idretter der lav kroppsvekt kan være fordelaktig (5). Dette omtales gjerne som relativ energimangel i idrett (relative energy deficit in sports, RED-S). Utilstrekkelig inntak av kalsium og vitamin D samt lav energitilgjengelighet er assosiert med økt forekomst av stressfrakturer (13–15).

    Blant kvinner kan relativ energimangel føre til menstruasjonsforstyrrelser og lave østrogennivåer, som ofte resulterer i en reduksjon av beintettheten (16). Lav beintetthet har i prospektive studier vist seg å være assosiert med stressfrakturer, særlig i trabekulære knokler som calcaneus (4, 13, 17). Kvinner har større risiko for å utvikle stressfrakturer enn menn (18), sannsynligvis grunnet lavere beintetthet og økt forekomst av spiseforstyrrelser (5).

    Symptomer og funn

    Symptomer og funn

    Hovedsymptomet på stressfrakturer og foregående stressreaksjoner i calcaneus er hælsmerter ved belastning, oftest lokalisert til mediale og laterale rand av hælbeinet (19). I tidlige stadier kjenner man smertene som regel kun mot slutten av eller etter fysisk aktivitet (3). Forblir skaden ubehandlet, utløses smertene gradvis tidligere under aktivitet, og etter hvert kan de også være til stede i hvile (10, 20).

    Calcaneusklemmetesten kan fremprovosere smertene i klinisk praksis. Testen utføres ved å klemme sammen den bakre delen av calcaneus i horisontalplanet mellom tommelfingeren og pekefingeren (3) (figur 1). Sensitivitet og spesifisitet for testen er ukjent. I noen tilfeller finner man også hevelse og varme over calcaneus (3).

    Differensialdiagnoser

    Differensialdiagnoser

    Symptombildet ved stressfrakturer og stressreaksjoner i calcaneus kan ligne andre, hyppigere forekommende tilstander i hælregionen, og det kan være vanskelig å skille disse klinisk (9). De mest aktuelle differensialdiagnosene hos voksne er bløtdelsskader som plantarfasciitt, akillestendinopati og retrocalcaneal bursitt (slimposebetennelse i hælen).

    Ved plantarfasciitt er smertene lokalisert plantart, og er gjerne verst om morgenen (19). Akillestendinopati og retrocalcaneal bursitt går begge under fellesbetegnelsen akillodyni, og gir hevelse og smerter på baksiden av hælen, særlig ved tågange. Årsaken er ofte dårlig sjokkabsorberende egenskaper i hælputen, men innimellom kan akillodyni skyldes irritasjon fra en beinete utstikker posterosuperiort på calcaneus, såkalt Haglunds hæl. En slik utstikker vil som oftest avdekkes på røntgenbilde (21).

    Hos yngre aktive personer er Severs sykdom den hyppigste årsaken til hælsmerter (22). I likhet med stressreaksjoner og stressfrakturer skyldes dette akkumulering av mikrotraumer etter repetitive drag fra akillessenen, men denne tilstanden oppstår kun i umodent beinvev der vekstskiven i calcaneus ennå ikke er lukket (22).

    Informasjon om treningshistorikk, døgnvariasjon og eventuelt menstruasjonsforstyrrelser kan være nyttig i differensialdiagnostikken.

    Bildediagnostikk

    Bildediagnostikk

    Radiologibilder kreves for å stille diagnosen stressreaksjon og stressfraktur og danner ofte grunnlag for valg av behandlingsstrategi. Ved klinisk mistanke er røntgenundersøkelse førstevalg, siden denne er billig og lett tilgjengelig. Grunnet sensitivitet på 12–56 % vil imidlertid mange stressfrakturer overses, særlig de første ukene etter symptomdebut (23). Senere røntgenbilder kan vise kallusdannelse perpendikulært til trabeklenes lengderetning i calcaneus (3, 10).

    Ved negativ røntgenundersøkelse, men der sykehistorie og kliniske funn stadig gir mistanke om stressreaksjon, er MR førstevalg. Metoden har sensitivitet på opptil 97 % og spesifisitet på opptil 99 % selv i tidlige stadier (20, 23) og kan i tillegg utelukke bløtdelsskader (24). MR-undersøkelse er mindre tilgjengelig, men erfaringsmessig har de fleste pasientene hatt de aktuelle plagene over tid, og siden det er ønskelig å stille diagnosen tidligst mulig, er derfor metoden berettiget.

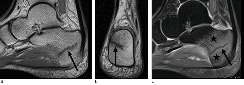
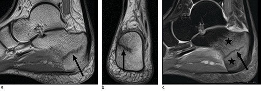
    Stressreaksjoner presenterer seg på MR med beinmargsødem som er synlig på T2-vektede sekvenser med fettsuppresjon og STIR-sekvenser (STIR = Short T1 inversion recovery), altså MR-sekvenser der vann lyser hvitt (10, 24) (figur 2). En eventuell frakturlinje vil også være synlig på MR, som et mørkt signal blant annet på protontetthetsvektede sekvenser. Basert på MR-funn er det vanlig å dele slike skader inn i alvorlighetsgrad 1–4, der grad 1–3 betegnes som stressreaksjoner, mens grad 4 er stressfraktur (10). Økt grad er assosiert med lengre rehabiliteringstid (25).

    Beinscintigrafi ble mye brukt tidligere, men har blitt erstattet av MR grunnet høyere spesifisitet. CT fungerer ofte godt til skjelettundersøkelser, men med sensitivitet på kun 32–38 % for stressreaksjoner i bein, er teknikken lite nyttig i denne sammenhengen (23). Erfaringsmessig har ultralyd både for lav sensitivitet og spesifisitet for slike skader og har derfor ingen plass i dagens utredning (23).

    Behandling, prognose og oppfølging

    Behandling, prognose og oppfølging

    Calcaneus er en såkalt lavrisikolokalisasjon for stressfrakturer, noe som innebærer at slike skader som regel tilheles komplikasjonsfritt uten inngrep (6, 26). Dagens behandlingsalgoritme går derfor ut på å avlaste den affiserte foten før man gradvis øker belastningen igjen (26). Fravær av smerte er den viktigste indikatoren på om belastningen kan økes, og det kan være nødvendig å bruke krykker eller ortose inntil normal gange kan gjennomføres smertefritt (6, 26).

    Tidligere ble ikke-steroide antiinflammatoriske midler (NSAID-preparater) brukt som smertedempende medisin mot stressfrakturer. Dette frarådes i dag, ettersom disse kan forsinke tilhelingsprosessen (27).

    Under avlastningsperioden kan pasienten utføre alternative øvelser for å opprettholde sin fysiske form, som svømming, ergometersykling og eventuelt løping på antigravitasjonstredemølle (10, 26), såfremt dette ikke gir smerter.

    Gjennomsnittlig varer rehabiliteringsperioden for stressfrakturer i calcaneus 6–12 uker (3, 6), men avhengig av alvorlighetsgraden kan det ta opptil tre ganger så lang tid (25). Dette understreker viktigheten av å oppdage og behandle skaden på et tidligst mulig stadium. Ved kroniske smerter selv etter forlenget konservativ behandling kan det i svært sjeldne tilfeller være aktuelt med kirurgisk behandling av stressfrakturen (12).

    Parallelt med avlastningen av foten er det viktig å gjøre eventuelle ernæringsmessige korreksjoner. Lave vitamin D-verdier forekommer hyppig, særlig i vinterhalvåret, og pasienter med serumnivåer under 75 nmol/L bør supplere kostinntaket med vitamintilskudd. Videre anbefales et daglig inntak av kalsium på 1 500 mg under hele tilhelingsperioden (28).

    Beintetthetsmåling med røntgenbasert absorpsjonsmetri (dual-energy x-ray absorptiometry, DXA) kan gi nyttig informasjon om pasientens beinhelse og ernæringsstatus og om forventet tid til idrettsretur (25). Hvis pasienten har en spiseforstyrrelse, bør dette utredes videre og behandles i samarbeid med psykolog og ernæringsfysiolog (10), blant annet fordi tilstedeværelse av spiseforstyrrelser forsinker tilhelingen av stressfrakturer betydelig (25).

    Ettersom tidligere stressfraktur er en stor risikofaktor for framtidig stressfraktur (13, 18), er det viktig at pasienten følges opp klinisk. Dersom det oppstår nye symptomer på stressfraktur, bør pasienten utredes så fort som mulig for å stille diagnosen og igangsette behandling tidlig. Bisfosfonater, som virker ved å hemme osteoklastaktivitet, har vist seg å kunne fremskynde tilhelingsprosessen og redusere smerten ved stressfrakturer (29). Ved andregangs stressfraktur eller førstegangs stressfraktur med mangelfull tilheling, kan man derfor forsøke bisfosfonatbehandling i samarbeid med endokrinolog (29).

    I likhet med andre differensialdiagnoser ved hælsmerter varierer symptomene på stressfrakturer i calcaneus mellom individer. Dette gjør at skaden kan nå et mer alvorlig stadium før den diagnostiseres. Det forlenger også tiden vekk fra idrett eller arbeid. Et mål bør derfor være å øke legers kjennskap til tilstanden, slik at flere tilfeller oppdages tidligere og færre tilfeller underdiagnostiseres og feilbehandles (9).

    Ettersom insidensen av stressfrakturer i calcaneus i befolkningen er lav, trenger vi forskning på store populasjoner over lengre perioder for å etablere veldokumenterte behandlingsalgoritmer. De fleste av dagens studier på området er dessverre retrospektive, noe som kan gjøre årsakssammenhenger uklare. I litteraturen som foreligger, baseres mye av de epidemiologiske dataene på militærstudier. Den populasjonen er sannsynligvis ikke representativ for hverken idrettsutøvere eller den øvrige befolkningen.

    Artikkelen er fagfellevurdert.

    Kommentarer  ( 0 )
    PDF
    Skriv ut

    Anbefalte artikler