Midtlappstorsjon etter lobektomi

    ()

    sporsmal_grey_rgb
    Abstract

    BACKGROUND

    Pulmonary torsion is a rare complication following thoracic surgery.

    CASE PRESENTATION

    A man in his seventies was diagnosed with stage IIIA lung cancer in the right upper lobe, and lobectomy was performed through posterolateral thoracotomy. Postoperative chest x-rays revealed extensive, progressive middle lobe opacities on postoperative day 0 and 1, with no corresponding clinical or bronchoscopic findings. Contrast-enhanced computed tomography raised suspicion of middle lobe torsion, and exploratory surgery confirmed the finding of a necrotic middle lobe with 180 degrees of torsion. The middle lobe was resected and the patient recovered well.

    INTERPRETATION

    Pulmonary lobar torsion is a rare but potentially life-threatening complication following thoracic surgery that should not be overlooked even in the absence of symptoms that raise concern. Bronchoscopy and radiological imaging may suggest the condition, but final diagnosis is made surgically.

    Artikkel

    Lungekreft er den nest hyppigste kreftformen blant kvinner og menn i Norge. Stadig flere pasienter med ikke-småcellet lungekreft blir operert, vanligvis med lobær reseksjon. Vi presenterer en sjelden, men potensielt livstruende komplikasjon etter lobektomi.

    En mann i 70-årene med kjent hypertensjon og type 2-diabetes hadde i løpet av et halvt års tid hatt et ufrivillig vekttap på over 10 kg og fikk påvist anemi. CT toraks, abdomen og bekken avdekket en ca. 9 cm tumor i høyre lunges overlapp med infiltrasjon i øvre segment av underlappen, samt enkelte forstørrede lymfeknuter i høyre lungehilum og mediastinum. Supplerende positronemisjonstomografi (PET)-CT viste ingen tegn til fjernmetastaser. CT-veiledet biopsi av tumor viste plateepitelkarsinom. Det ble utført endoskopisk bronkial ultralydundersøkelse (EBUS) og mediastinoskopi uten funn av lymfeknutemetastaser. Pasienten var i klinisk stadium IIIA og ble akseptert for operasjon. Det ble utført posterolateral torakotomi og utvidet høyre overlappsektomi med sublobær reseksjon av høyre underlapp. Operasjonen var vellykket og uten spesielle hendelser. Det ble i henhold til rutinene lagt et toraksdren på den opererte siden.

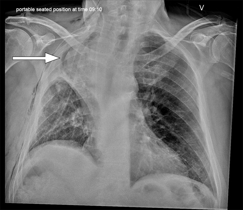
    Rutinemessig postoperativ røntgen toraks viste atelektasepregede fortetninger i høyre lunges midtlapp. Det forelå også en liten høyresidig pneumotoraks og små mengder pleuravæske på samme side, som man kunne forvente etter operasjonen. Kontroll med røntgen toraks første postoperative dag viste økte fortetninger i øvre halvdel av høyre hemitoraks, som kunne være uttrykk for forverret atelektase, pleuravæske eller hemotoraks (figur 1). Pasienten var respiratorisk ubesværet og hadde god kapillær oksygenmetning på 96–98 % med oksygentilskudd 2 L/min på nesekateter. Det forelå ingen kliniske infeksjonstegn.

    Man mistenkte slimplugg som årsak til atelektasen, og det ble derfor utført bronkoskopi under sedasjon første postoperative dag. Bronkoskopøren mislyktes i å komme inn i midtlappsbronkus fordi den avgikk skarpt vinklet i kranial retning, men ostiet var åpent. Høyre underlappsbronkus var åpen uten påfallende mye slim. Pasienten ble videre behandlet med ikke-invasiv ventilasjonsstøtte (NIV) i form av kontinuerlig positivt luftveistrykk (CPAP).

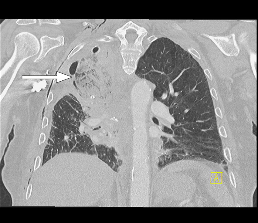
    Grunnet tettere oppfølging ble røntgen toraks utført senere samme dag. Denne viste ikke vesentlig endring. Pasienten ble derfor henvist til CT-undersøkelse for videre diagnostikk. CT toraks med intravenøst kontrastmiddel utført på kveldstid samme dag viste en apikalt lokalisert midtlapp med utbredte mattglassfortetninger og områder med konsolidering samt fortykkede interlobulære septa (figur 2). Midtlappen fremsto som nærmest fullstendig devaskularisert. Proksimale midtlappsbronkus var obliterert, og transversale snitt viste subtilt virveltegn (swirl sign) i midtlappen som tegn på vridning. Fra radiologisk hold ble det reist mistanke om torsjon av midtlappen.

    Det var indikasjon for eksplorativ torakotomi på grunnlag av radiologiske funn, men grunnet pasientens gode allmenntilstand valgte man å avvente operasjonen til neste morgen. Det ble utført torakotomi gjennom operasjonssåret, og man fant en 180° torkvert midtlapp med uttalt atelektase og stuvning. Midtlappen ble ikke vurdert som viabel, og det ble foretatt en anatomisk reseksjon. Det per- og postoperative forløpet var ukomplisert. Røntgen toraks senere på operasjonsdagen og de påfølgende dagene viste adekvat ekspansjon av gjenværende underlapp og gradvis avtagende pneumotoraks. Pasienten ble utskrevet til lokalsykehus fjerde postoperative dag etter reoperasjonen.

    Diskusjon

    Diskusjon

    Vår kasuistikk beskriver et tilfelle med midtlappstorsjon etter overlappsreseksjon, med torsjonsgrad på 180. Lungetorsjon er en sjelden tilstand, med rapportert insidens på 0,089 % i en amerikansk studie (1). Postoperativ midtlappstorsjon etter høyre overlappsektomi er vanligste form for lungetorsjon, som hos vår pasient. Tilstanden forekommer som oftest i forbindelse med torakskirurgi, mindre hyppig etter traume eller spontant (1–3). Lungetorsjon omfatter som regel hilære strukturer og kan affisere hele lungen, én eller flere lungelapper eller en del av en lungelapp. Torsjonsgraden er hyppigst 180, men kan variere fra 90 til 1 080 (3).

    Vår pasient var asymptomatisk, som er beskrevet hos 21 % ved postoperativ lungetorsjon (3). Vanligste symptomer og funn er akutt innsettende dyspné, feber, brystsmerter og hoste. Under- og feildiagnostikk er vanlig, da symptomer og funn overlapper betydelig med andre postoperative tilstander (3). Den vanligste av disse er obstruktiv atelektase som følge av sekretstagnasjon. Mindre vanlige tilstander er blødning, infeksjon og lungeembolisme. En sjelden komplikasjon er nekrose som følge av iatrogen skade på karstrukturer i affiserte lungelapp.

    Hos vår pasient ble det initialt utført bronkoskopi, ettersom vanligste årsak til fortetninger og atelektaser er slimpropp. Under bronkoskopien var det ikke funn av dette, men det var manglende oversikt i midtlappsbronkus uten entydig årsak. I litteraturen er det beskrevet at torsjon kan mistenkes bronkoskopisk ved uvanlig orientert og obstruert bronkus som ikke skyldes sekret.

    Røntgen toraks kan gi mistanke om lobær lungetorsjon ved funn av fortetninger i en uvanlig orientert lungelapp som eventuelt endrer posisjon i løpet av kort tid (2, 4). På CT vil en torkvert lungelapp vanligvis ha redusert kontrastoppladning samt konsoliderte og/eller mattglasspregede fortetninger. En torkvert lapp kan utvikle luftretensjon og stuvning, som medfører henholdsvis ekspansjon av lappen og fortykkede interlobulære septa som uttrykk for interstitielt ødem. Lappens bronkovaskulære strukturer vil være skarpt obliterert nær lungehilum og kan få endret orientering, som på røntgen. Utviklingen av disse forandringene avhenger av grad og varighet av torsjonen. Hos vår pasient samsvarte radiologiske funn godt med tidligere beskrevne funn i litteraturen.

    Vi oppdaget tilstanden uvanlig tidlig på grunnlag av radiologiske funn alene. Median diagnosetid for postoperativ lungetorsjon er 10 (2–14) dager etter primæroperasjonen (3). Selv om en betydelig andel pasienter med postoperativ lungetorsjon er asymptomatiske, tror vi at vår pasient ville ha utviklet symptomer tredje eller fjerde postoperative dag, med utvikling av nekrose og infeksjon i midtlappen.

    Ved tilstrekkelig mistanke om torsjon stilles endelig diagnose med kirurgisk eksplorasjon. Behandlingen er detorkvering eller reseksjon av affisert lapp, avhengig av lappens viabilitet.

    Lungetorsjon forekommer sjelden. Tilstanden er likevel viktig å kjenne til, da ubehandlet torsjon er potensielt dødelig. Det er imidlertid varierende letalitetsrater i den sparsomme litteraturen som omhandler emnet.

    Postoperativ lungetorsjon forekommer ikke nødvendigvis så tidlig etter operasjonen som hos vår pasient, og det kan gå opptil 14 dager før tilstanden manifesterer seg klinisk. Det er derfor viktig å ha kjennskap til tilstanden både på regionsykehus og lokalsykehus som mottar nyopererte pasienter.

    Konklusjon

    Konklusjon

    Lungetorsjon er en sjelden, men potensielt dødelig tilstand som bør mistenkes hos lungeopererte pasienter med akutte nedre luftveissymptomer som ikke responderer adekvat på behandling for vanlige postoperative tilstander eller når disse er utelukket. Tilstanden kan også mistenkes tidlig på grunnlag av radiologiske eller bronkoskopiske funn, som hos vår pasient.

    Pasienten har gitt samtykke til at artikkelen blir publisert.

    Artikkelen er fagfellevurdert.

    Kommentarer  ( 0 )
    PDF
    Skriv ut

    Anbefalte artikler