En mann i slutten av 40-årene ble utredet for antatt kreft i analkanalen med spredning til lymfeknuter i lysken. Biopsier kunne ikke bekrefte malign sykdom og andre differensialdiagnoser måtte overveies.
En tidligere frisk mann i slutten av 40-årene oppsøkte lege på grunn av en kul i analåpningen. Han mente å ha hatt denne kulen i et års tid, men hadde ikke vært plaget av den og tolket selv lesjonen som en hemorroide. De siste ukene hadde det tømt seg klar, senere lett blodig, væske per anum, og i to uker hadde han kjent en smertefull kul i venstre lyske. Han følte seg slapp og hadde nattesvette, men god matlyst og stabil vekt. Fastlegen fant en hard og uøm tumor perianalt på venstre side med størrelse på en klinkekule, som strakk seg fra analåpningen opp til linea dentata. Det var uvisst om det var samme tumor som pasienten selv hadde kjent tidligere. Pasienten ble henvist til gastrokirurgisk poliklinikk med spørsmål om tumor eller trombosert hemoroide. Det ble i henvisningen opplyst at pasienten hadde sex med menn.
Pasienten ble undersøkt ved gastrokirurgisk poliklinikk etter fem dager som «pakkeforløp», da malignitet ikke kunne utelukkes på bakgrunn av henvisningen.
Ved anorektal eksplorasjon og anorektoskopi ble det funnet en hard tumor med sentral ulcerasjon i nedre del av analkanalen kl. 3–5, tilsvarende fastlegens beskrivelse. Man fikk inntrykk av at tumor vokste inn i sfinkterapparatet. I tillegg ble det funnet to uspesifikke, mindre lesjoner i midtre del av rektum. Alle tre lesjoner ble biopsert. Det ble også sett moderate hemoroider. I venstre lyske var det en palpabel 4 × 2 cm stor øm tumor som ble oppfattet som en forstørret lymfeknute.
Hovedmistanken var malign tumor i analkanalen med metastase til lyske, og pasienten ble henvist til supplerende utredning i henhold til dette.
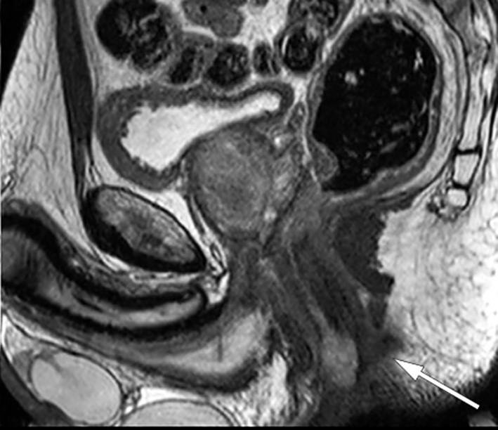
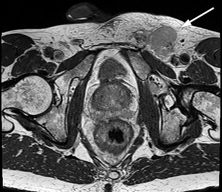
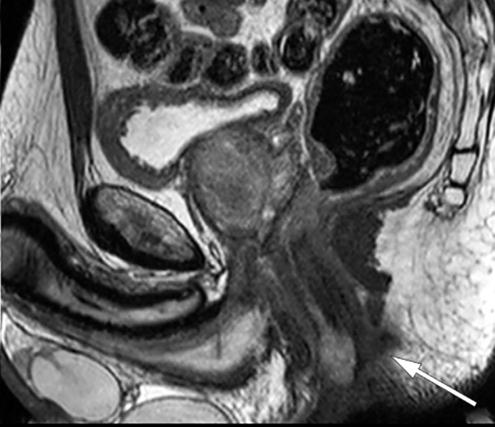
Videre utredning viste normale orienterende blodprøver, inklusive CEA på 1,3 mcg/L (˂ 5,0). To dager etter første kontakt ble pasienten koloskopert med normale funn, foruten de kjente forandringene i nedre analkanal. Histologiske svar på biopsier forelå etter en uke. Biopsier fra rektum viste rektumslimhinne med intestinal spiroketose uten tegn til malignitet. Biopsier fra perianal tumor viste kronisk aktiv plasmacellerik inflammasjon uten tegn til malignitet. Etter ti dager ble det utført MR bekken som viste en malignitetssuspekt tumor på 1,6 × 0,7 × 3,5 cm kl. 12–3 i nedre del av analkanalen med mulig affeksjon av intern analsfinkter (figur 1). I tillegg ble det påvist flere forstørrede lymfeknuter langs arteria og vena iliaca communis på venstre side, i mesorektum og i venstre lyske (figur 2). Den største lymfeknuten i venstre lyske ble målt til 2,0 × 5,4 cm. CT thorax/abdomen/bekken viste forstørrede lymfeknuter langs arteria og vena iliaca communis på venstre side og paraaortalt, men ingen andre tegn til metastaser.
Menn som har sex med menn tilhører risikogruppen for analkreft (1). Klinisk og radiologisk var det mistanke om analkreft med spredning til regionale og ikke-regionale lymfeknuter, men malignitet ble ikke påvist i noen av biopsiene. Kollegiet ble enige om å ta nye biopsier i narkose av både tumor og de patologiske lymfeknutene i venstre lyske, da man mistenkte at de første biopsiene ikke var representative. Vi var usikre på den kliniske betydningen av funnet av intestinal spiroketose i rektumslimhinnen og konfererte med spesialist ved venerologisk seksjon (Olafiaklinikken). Basert på sykdomsbilde og kliniske funn foreslo vedkommende at seksuelt overførbare infeksjoner kunne være en differensialdiagnose. Det ble avtalt å henvise pasienten til vurdering ved venerologisk seksjon parallelt med videre malignitetsutredning. Vi ble rådet av venerolog å sende deler av biopsiene til mikrobiologisk undersøkelse for Neisseria gonorrhoeae, Treponema pallidum, Chlamydia trachomatis, Lymphogranuloma venereum og Mycoplasma genitalium.
Det ble tatt eksisjonsbiopsi i narkose av tumor i analkanalen hvor mesteparten av tumor ble fjernet. Under samme narkose ble det foretatt ultralydveiledet biopsi av patologisk lymfeknute i venstre lyske. Biopsiene ble sendt til histologisk undersøkelse med spørsmål om malignitet og til mikrobiologisk undersøkelse av agens forbundet med seksuelt overførbare infeksjoner.
Pasienten fikk time ved venerologisk poliklinikk elleve dager etter sin første undersøkelse ved kirurgisk avdeling. Det ble tatt opp detaljert seksualanamnese. Det kom frem at han praktiserte reseptivt analt samleie. To måneder tidligere hadde han testet seg for seksuelt overførbare infeksjoner åtte dager etter potensiell smitteeksponering uten aktuelle funn. Det ble nå tatt nye prøver med tanke på seksuelt overførbare sykdommer, blant annet sårsekret perianalt som ble sendt til PCR-undersøkelse for Herpes simplex type 1 og 2, Treponema pallidum og Chlamydia trachomatis, prøver fra anus for Neisseria gonorrhoeae og Chlamydia trachomatis, prøve fra hals for Neisseria gonorrhoeae, blodprøver for HIV og syfilis samt urinprøve for Neisseria gonorrhoeae og Chlamydia trachomatis.
Pasienten testet positivt for Chlamydia trachomatis i både sårsekret og anal prøve. Subtyping viste serotype L1, L2 eller L3, også kjent som lymfogranuloma venereum (LGV). Andre prøver tatt ved venerologisk klinikk var negative. Biopsien fra analkanalen viste ingen tegn til dysplasi eller malignitet, men var positiv for Chlamydia trachomatis DNA og Lymphogranuloma venereum DNA. Biopsi fra lymfeknuten i lysken viste heller ikke malignitet.
Gastrokirurg og venerolog diskuterte resultatene av utredningen, og venerolog var klar på at alle funnene kunne forklares ut fra lymfogranuloma venereum. Representative biopsier viste ikke malignitet, og vi valgte å behandle tilstanden som en infeksjonssykdom.
Pasienten startet behandling med Doxycyklin 200 mg daglig i 21 dager etter europeiske retningslinjer (2) med snarlig symptomlindring og tilbakegang av de forstørrede lymfeknutene i venstre lyske. Pasienten ble fulgt opp telefonisk av gastrokirurg hvor han fortalte at alle symptomene var borte. Vi fant det derfor ikke nødvendig å rektoskopere ham på nytt.
Diskusjon
Den initiale utredningen tydet på at pasienten hadde analkreft med metastaser til lymfeknuter i lyske, bekken og paraaortalt. Funnene ved anorektoskopi, rektal eksplorasjon samt CT og MR var forenlige med denne diagnosen.
Antall nye tilfeller av analkreft i Norge er snaut 100, hvorav om lag 70 % er kvinner. Median alder ved diagnosetidspunkt er 66 år (3). Analkreft metastaserer hovedsakelig til regionale lymfeknuter. Noen pasienter får metastaser til ikke-regionale lymfeknuter, og forholdsvis sjeldent foreligger det fjernmetastaser. Immunsuppresjon er en disponerende faktor, og HIV-positive menn har økt risiko for utvikling av analkreft, spesielt i aldersgruppen under 50 år (3). Menn som har sex med menn og praktiserer reseptivt analt samleie har økt risiko for utvikling av analkreft, uavhengig av HIV-status (1). Anal infeksjon med Human Papilloma Virus (HPV) er assosiert med utvikling av anal intraepitelial neoplasi (AIN). Anal intraepitelial neoplasi grad 2 og 3 er samlet under betegnelsen høygradig skvamøs intraepitelial lesjon (HSIL) og anses å være reelle prekankrøse tilstander (1, 4). Menn som har sex med menn som diagnostiseres med HSIL-AIN3 assosiert med HPV 16 har spesielt høy risiko for utvikling av analkreft (4). Anamnestisk hadde vår pasient økt risiko for utvikling av analkreft. Hans tilhørighet til risikogruppe sammen med typiske funn på MR og CT styrket den kliniske mistanken om denne sykdommen.
Hos vår pasient ble ikke malignitet bekreftet ved biopsi og det ble heller ikke funnet anal intraepitelial neoplasi. Et overraskende bifunn av intestinal spiroketose i rektumbiopsi førte til endret strategi i pasientens utredning. Intestinal spiroketose er et vanlig funn hos menn som har sex med menn. Dette er en tilstand hvor tykktarmen koloniseres av mikroorganismer i gruppen Brachyspira. Denne gruppen mikroorganismer består av flere subtyper, og de vanligste er Brachyspira aalborgi og Brachyspira pilosicoli (5, 6). Disse bakteriene er ikke assosiert med spiroketen Treponema pallidum som forårsaker syfilis. Intestinal spiroketose er mer utbredt i områder med lav levestandard. I industriland har menn som har sex med menn og HIV-positive økt risiko for kolonisering (5). Det patogene potensialet av intestinal spiroketose er ikke avklart. Noen bakterier fører til intestinale symptomer som for eksempel diaré, mens andre tilfeller av kolonisering forløper seg asymptomatisk (6). Ofte ses det koinfeksjon med andre enteropatogene bakterier, som Enterobius vermicularis, Helicobacter pylori, Shigella flexneri og Neisseria gonorrhoeae, hvilket gjør det vanskelig å avgjøre hvor mye av symptombildet som skyldes kun intestinal spiroketose (6). Indikasjon for behandling er uavklart da antibakteriell terapi med Flagyl kan eliminere bakterien mens symptomer består. Intestinal spiroketose hos denne pasienten var et tilfeldig funn som førte til utredning for seksuelt overførbare infeksjoner og korrekt diagnose.
Pasienten hadde infeksjon med Chlamydia trachomatis serotype L1, L2 eller L3, som er diagnostisk for sykdommen lymphogranuloma venereum (LGV). Lymphogranuloma venereum er endemisk i enkelte områder i Asia, Karibia, Afrika og Sør-Amerika (7, 8). Fra begynnelsen av 2000-tallet har man sett økende antall smittede i industriland, og den er endemisk blant menn som har sex med menn. I Storbritannia er 99 % av tilfellene av lymphogranuloma venereum påvist hos menn som har sex med menn (9). Ifølge Folkehelseinstituttet ble det i Norge påvist 44 tilfeller av lymphogranuloma venereum i 2018, og de ble påvist kun hos menn. Sykdommen var meldepliktig via Meldingssystem for smittsomme sykdommer (MSIS) i perioden 1993–2002 og ble meldepliktig igjen i 2019 (10).
Analyser for de fleste seksuelt overførbare infeksjoner er nå basert på nukleinsyre amplifikasjons test (NAAT) som har høy sensitivitet og spesifisitet. Dog anbefales det å vente i 14 dager etter mulig smitte for å unngå falske negative prøver (11). Vår pasient testet seg to måneder før kontakt med kirurgisk avdeling uten at det var påvist seksuell overførbar infeksjon. De negative resultatene ved første undersøkelse på venerologisk poliklinikk kan forklares med det at pasienten var testet i en vindusperiode, altså for tidlig for å fange opp infeksjon.
Lymphogranuloma venereum er hovedsakelig en sykdom i lymfatisk vev. De vanlige klamydia serotypene (A–K) fører til infeksjon som oftest er begrenset til det primære infeksjonsstedet, mens lymphogranuloma venereum-serotypene induserer en lymfoproliferativ reaksjon. Infeksjonen sprer seg da til lymfeknuter som drenerer primærfokus og fører til utvikling av lymfangitt og nekrose i disse. Sykdomsforløpet inndeles i tre stadier: primær, sekundær og sen infeksjon (12).
I det primære stadiet oppstår et lite sår eller en betennelse på infeksjonsstedet etter en inkubasjonsperiode på to til tolv dager. Pasienten har ofte ingen symptomer og lesjonen tilheler spontant etter noen dager. Sykdommen blir ofte oversett i denne fasen. Sekundært stadium utvikles etter to til seks uker og infeksjonen sprer seg da til regionale lymfeknuter. I denne fasen kan sykdommen manifestere seg med inguinalt syndrom, anorektalt syndrom eller en sjelden gang som artritt eller perihepatitt. Inguinalt syndrom er en inflammatorisk reaksjon i overfladiske og dype inguinale lymfeknuter. Inflammasjonen er hissig og fører til utvikling av store smertefulle lymfeknuter i lysken, som kan perforere og/eller føre til abscessdannelse. Anorektalt syndrom kan gi symptomer som anale smerter, palpabel oppfylling, magesmerter, diaré, feber og tenesmer. Ubehandlet kan lymphogranuloma venereum føre til anogenitale strikturer og fibrotiske prosesser i bekkenet, supralevatoriske og ischioanale abscesser, fistler, infertilitet og genital elephantiasis (8, 12).
Inflammasjon i rektum kan føre til fortykkelse av tarmveggen som kan gi et tumoraktig utseende, og kan være ledsaget av uttalt lymfadenopati (8). Det er publisert flere kasuistikker hvor lymphogranuloma venereum ble tolket som malign tilstand. Radiologisk kan det være svært vanskelig å skille mellom lymphogranuloma venereum og malignitet som adenocarcinom, lymfom, og lymfeknutemetastaser. Noen ganger kan symptomer og endoskopiske funn ligne på inflammatorisk tarmsykdom (13). Differensialdiagnoser inkluderer derfor infeksiøse, inflammatoriske, iskemiske og neoplastiske prosesser (8, 13).
Ved henvisning med spørsmål om malign tilstand har utredningen fokus på å påvise eller utelukke kreft. Hos denne pasienten førte funnet av intestinal spiroketose i rektumbiopsien til kontakt med lege fra venerologisk seksjon. Denne tilstanden kunne ikke forklare pasientens symptomer, men var årsaken til at vi søkte råd hos spesialist i hud- og veneriske sykdommer. Tverrfaglig samarbeid mellom spesialiteter som ikke pleier å delta i samme utredningsprosess var i dette tilfellet helt avgjørende for at korrekt diagnose ble stilt.
Kasuistikken viser hvor viktig det er å avvente en fullstendig utredning før behandling igangsettes, selv ved mistenkt alvorlig diagnose. Oppstart av onkologisk rettet behandling ville hos denne pasienten ha fått alvorlige konsekvenser, både på grunn av bivirkninger og komplikasjoner til behandling for antatt kreft og risiko for senskader grunnet ubehandlet infeksjon. Pasienten gikk fra å engste seg for uhelbredelig kreft til å ende opp med noen ukers antibiotikakur for så å bli frisk.
Konklusjon
Leger som deltar i utredningen av anorektale svulster kan støte på lymphogranuloma venereum i sin karriere, og det er viktig å kjenne til denne sykdommen, spesielt hos menn som har sex med menn.
Pasienten har samtykket til publisering.
- 1.
Palefsky JM, Holly EA, Ralston ML et al. Anal squamous intraepithelial lesions in HIV-positive and HIV-negative homosexual and bisexual men: prevalence and risk factors. J Acquir Immune Defic Syndr Hum Retrovirol 1998; 17: 320–6. [PubMed][CrossRef]
- 2.
de Vries HJC, de Barbeyrac B, de Vrieze NHN et al. 2019 European guideline on the management of lymphogranuloma venereum. J Eur Acad Dermatol Venereol 2019; 33: 1821–8. [PubMed][CrossRef]
- 3.
Nasjonalt handlingsprogram med retningslinjer for diagnostikk, behandling og oppfølging av analkreft. IS-2868. Oslo: Helsedirektoratet, 2019. https://www.helsedirektoratet.no/retningslinjer/analkreft-handlingsprogram/Analkreft%20-%20Nasjonalt%20handlingsprogram%20med%20retningslinjer%20for%20diagnostikk,%20behandling%20og%20oppf%C3%B8lging.pdf/_/attachment/inline/06408501-5e87-4e0f-8249-d84877f4fca8:eea588d8f71754f56b2a83ab1a7355439f4fb43f/Analkreft%20-%20Nasjonalt%20handlingsprogram%20med%20retningslinjer%20for%20diagnostikk,%20behandling%20og%20oppf%C3%B8lging.pdf Lest 9.2.2021.
- 4.
Machalek DA, Jin F, Poynten IM et al. Prevalence and risk factors associated with high-grade anal squamous intraepithelial lesions (HSIL)-AIN2 and HSIL-AIN3 in homosexual men. Papillomavirus Res 2016; 2: 97–105. [PubMed][CrossRef]
- 5.
Tsinganou E, Gebbers JO. Human intestinal spirochetosis–a review. Ger Med Sci 2010; 8: Doc01. [PubMed]
- 6.
Schmiedel D, Epple HJ, Loddenkemper C et al. Rapid and accurate diagnosis of human intestinal spirochetosis by fluorescence in situ hybridization. J Clin Microbiol 2009; 47: 1393–401. [PubMed][CrossRef]
- 7.
Promer K, Pillay A, Chi KH et al. A case of inguinal lymphogranuloma venereum imitating malignancy on CT imaging. Radiol Case Rep 2019; 14: 581–3. [PubMed][CrossRef]
- 8.
Sullivan B, Glaab J, Gupta RT et al. Lymphogranuloma venereum (LGV) proctocolitis mimicking rectal lymphoma. Radiol Case Rep 2018; 13: 1119–22. [PubMed][CrossRef]
- 9.
Alfa-Wali M, Muktar S, Pissas D et al. Unusual case of a rectal tumour. BMJ Case Rep 2018; 2018: bcr-2017–223944. [PubMed]
- 10.
Folkehelseinstituttet. Lymphogranuloma venereum (LGV) – veileder for helsepersonell. https://www.fhi.no/nettpub/smittevernveilederen/sykdommer-a-a/venerisk-lymfogranulom-lgv---veiled/ Lest 9.2.2021.
- 11.
Oslo universitetssykehus. Chlamydia trachomatis; behandling og kontroll. https://ehandboken.ous-hf.no/document/3671 Lest 9.2.2021.
- 12.
Mabey D, Peeling RW. Lymphogranuloma venereum. Sex Transm Infect 2002; 78: 90–2. [PubMed][CrossRef]
- 13.
Haugstvedt A, Thorvaldsen J, Halsos AM. Lymphogranuloma venereum som ulcerøs proktitt hos menn som har sex med menn. Tidsskr Nor Lægeforen 2007; 127: 2094–5. [PubMed]