En kvinne i 40-årene utviklet subakutt, ensidig tåkesyn samt smerter ved øyebevegelse. Til tross for at karakteristiske MR- og spinalvæskefunn var forenlig med demyeliniserende sykdom, ble konklusjonen etter utredning en tilstand med en helt annen terapeutisk tilnærming.
En tidligere frisk kvinne i 40-årene søkte lege grunnet tre dager med tåkesyn på venstre øye. Hun hadde forbigående også merket smerter bak øyet ved øyebevegelser og noe hodepine.
Ensidig, subakutt synstap ledsaget av retrobulbære, bevegelsesrelaterte smerter hos en relativt ung, tidligere frisk kvinne gir mistanke om en demyeliniserende synsnervebetennelse.
Pasienten ble henvist til poliklinisk vurdering på en øyeavdeling. Hun hadde ikke tidligere hatt nevrologiske symptomer.
Ved øyeundersøkelse var høyre øye normalt. På det venstre øyet var beste korrigerte visus 0,75. Pasienten hadde ikke subjektiv fargesynsnedsettelse. Det ble ikke beskrevet afferent pupilledefekt. Øyets fremre segment var normalt. Det forelå noen celler i glasslegemet (vitritt) som ga litt sløret innsyn til bakre segment. Papillen var ødematøs, med et temporalt, ullent infiltrat (figur 1a).
Optisk koherens-tomografi (OCT) av den venstre papillen viste fortykkelse av det peripapillære retinale nervefiberlaget med en gjennomsnittstykkelse på 159 µm (> 95 % referanseintervall) (figur 2). Man så også en fortykkelse av de indre retinale lagene svarende til det temporale infiltratet.
Funn av ensidig papilleødem gir mistanke om optikusnevropati og kan støtte mistanken om en demyeliniserende synsnervebetennelse som affiserer papillen. Imidlertid forelå to «røde flagg», funn som ikke var typiske for demyeliniserende synsnervebetennelse: celler i glasslegemet (vitritt) og et infiltrat ved papillekanten (1, 2). Disse funnene ledet oppmerksomheten mot andre bakenforliggende årsaker til optikusnevritt med papilleaffeksjon (ramme 1) (1, 3).
Neuromyelitis optica-spektrumforstyrrelse
Anti-myelinoligodrendrocytt-glykoprotein (MOG)-relatert optikusnevritt
Akutt disseminert encefalomyelitt
Sarkoidose
Systemisk lupus erythematosus
Behçets sykdom
Sjögrens syndrom
Kronisk residiverende inflammatorisk optikusnevropati (CRION)
Infeksjoner
Parainfeksiøs optikusnevritt
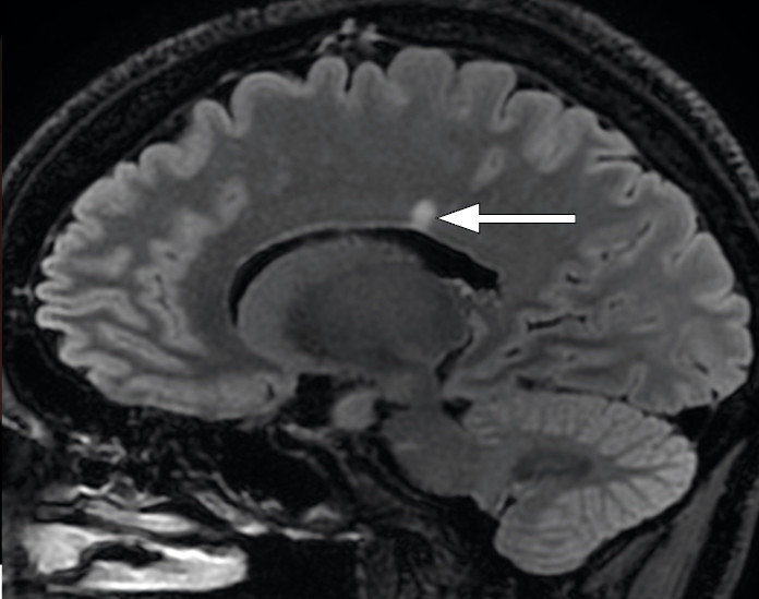
MR caput og orbita med kontrast viste normal fremstilling av begge synsnervene og ingen retrobulbær patologi. Intracerebralt ble det påvist en periventrikulær høysignalforandring med demyeliniserende karakteristika (figur 3). Ytterligere små, uspesifikke, punktformede høysignalforandringer ble fremstilt frontalt og parietalt på høyre side (figur 3). Ingen av lesjonene ladet kontrast som tegn på aktiv betennelse.
MR-funn av en periventrikulær høysignalforandring ga mistanke om demyeliniserende sykdom. Her så man imidlertid ikke betennelsesforandringer i synsnerven som forventet ved demyeliniserende optikusnevritt. Et infiltrat ved papillekanten og celler i glasslegemet (vitritt) kunne likne en okulær toksoplasmainfeksjon (2). MR ga imidlertid ikke holdepunkter for toksoplasmainfeksjon i sentralnervesystemet, som typisk kjennetegnes av multiple lesjoner med kontrastladning og perifokalt ødem (4). Vi mistenkte derfor at pasienten hadde to avhengige tilstander: en okulær toksoplasmainfeksjon, som forklarte symptomene, og i tillegg en subklinisk demyeliniserende sykdom.
Serologisk utredning påviste Toxoplasma gondii-IgM- og IgG-antistoffer med høy IgM/IgG-indeks og lav IgG-aviditet. Det ble også påvist IgG-antistoffer mot varicella-zoster-virus (VZV) og cytomegalovirus (CMV) og grenseverdier for Borrelia burgdorferi og cytomegalovirus. Serologisk utredning var negativ for Treponema pallidum-totalantistoff, varicella-zoster-virus-IgM samt herpes simplex-virus 1 + 2 IgM og IgG-antistoff.
IgG-antistoff mot varicella-zoster-virus og cytomegalovirus tydet på tidligere gjennomgått infeksjon. Grenseverdier for Borrelia burgdorferi og CMV-IgM ble oppfattet som uspesifikke funn, fordi verken kliniske funn eller MR-funn var forenlig med disse diagnosene.
På mistanke om toksoplasmosebetinget papillitt ble det startet peroral behandling med azitromycin (500 mg som en engangsdose) og klindamycin (300 mg × 3 daglig). Dagen etter fikk pasienten også en intravitreal injeksjon med klindamycin (1 mg).
De retrobulbære smertene forsvant etter få dager. Etter én ukes behandling opplevde pasienten også en viss bedring av synet, og beste korrigerte visus var 0,8. Ved undersøkelse forelå fortsatt noen celler i glasslegemet. Infiltratet temporalt for papillen var litt mindre og skarpere avgrenset. Det ble gitt en ny intravitreal injeksjon med klindamycin. Etter ytterligere én ukes behandling var beste korrigerte visus 1,0. Infiltratet var blitt enda mindre, og optisk koherens-tomografi (OCT) viste normalisering av det peripapillære retinale nervefiberlaget, med gjennomsnittstykkelse 118 µm (innenfor 95 % av referanseintervallet). Det ble gitt en tredje og siste intravitreal injeksjon med klindamycin.
Etter seks uker var pasienten tilnærmet symptomfri. På det venstre øyet var beste korrigerte visus 1,25, og infiltratet temporalt for papillen hadde forsvunnet (figur 1b).
Selv om både utredning og respons på behandling tilsa at toksoplasmose var bakenforliggende årsak til pasients symptomer, ga MR-funnet sterk mistanke om at pasienten også hadde en demyeliniserende sykdom. Det ble derfor utført spinalpunksjon. Spinalvæsken hadde lett forhøyet protein på 0,58 g/L (referanseområde 0,15–0,50) og albumin 515 mg/L (0–350), men normal albuminindeks 6,6 (0–9), IgG-indeks 0,56 (< 0,70) og celletall (< 5). Isoelektrisk fokusering påviste serumulike oligoklonale IgG-bånd som tegn på intratekal IgG-produksjon. IgM- og IgG-antistoffer mot B. burgdorferi samt PCR-funn av T. gondii var negativ.
Selv om oligoklonale serumulike IgG-bånd kan forekomme ved både infeksjoner og en rekke andre inflammatoriske tilstander i sentralnervesystemet, er multippel sklerose (MS) den absolutt hyppigste årsaken. Demyeliniserende synsnervebetennelse er ofte første manifestasjon på denne sykdommen, og visuelt evokerte potensialer (VEP) forblir i slike tilfeller patologisk forlenget i mer enn seks måneder hos 60–80 % (5). Pasienten ble derfor henvist til VEP-undersøkelse ni måneder etter symptomdebut.
Visuelt evokerte potensialer viste normal latenstid for begge øynene, uten tegn til forsinket ledningshastighet som uttrykk for demyelinisering.
Disse funnene støttet dermed vår antagelse om en annen bakenforliggende årsak til pasientens symptomer.
I løpet av de neste tre årene etter den aktuelle sykehistorien har ikke pasienten utviklet kliniske eller radiologiske tegn til multippel sklerose. Hun har heller ikke hatt residiv av toksoplasmose, men har utviklet forhøyet intraokulært trykk i det venstre øyet, som er behandlet med lasertrabekuloplastikk og timolol-øyedråper.
Forhøyet intraokulært trykk er en kjent komplikasjon til okulær toksoplasmose (6). Okulær toksoplasmose kan også medføre retinale rifter, netthinneløsning, inflammatorisk makulaødem, optikusatrofi, katarakt, okklusjon av retinale kar og koroidal neovaskularisering (6).
Toksoplasmoseserologi ble gjentatt fire og tolv måneder etter symptomdebut. Både IgM og IgG for T. gondii forble positive, men med fallende titer.
T. gondii-IgM dannes i løpet av infeksjonens første uke, når høyeste titer etter 1–6 måneder og reduseres deretter, men forblir målbar i over ett år hos de fleste (7). T. gondii-IgG kan påvises 1–3 uker etter at IgM-antistoffene kan påvises. IgG-titeret flater ut etter 2–3 måneder og faller etter hvert til et livslangt nivå som varierer mellom individer (7). IgM- og IgG-nivåene kan øke ved reaktivering av sykdommen (7). Positiv T. gondii-IgM forekommer hos under 0,5 % av befolkningen i Norge (8) og er hos de fleste immunkompetente tegn på en gjennomgått asymptomatisk infeksjon, men kan også være et falskt positivt funn (9). IgM-antistoffer er i seg selv derfor ikke diagnostisk.
Diskusjon
De to differensialdiagnosene hos vår pasient var demyeliniserende optikusnevritt og okulær toksoplasmose med papilleaffeksjon. Å stille den riktige diagnosen hadde stor terapeutisk betydning. Behandling med høydose kortikosteroider kunne bedret forløpet av en demyeliniserende optikusnevritt, men forverret en tokaoplasmoseinfeksjon. Ved en demyeliniserende optikusnevritt med IgG-bånd i spinalvæsken og en demyeliniserende lesjon i hjernen ville pasienten dessuten ha blitt anbefalt langvarig immunmodulerende behandling for å forebygge MS-utvikling. Selv om symptomer, MR og spinalvæskefunn tydet på demyeliniserende sykdom, tilsa oftalmologiske funn okulær toksoplasmose. Normale funn ved MR-undersøkelse av synsnerven og VEP-undersøkelse samt positiv serologi støttet også toksoplasmosediagnosen (3, 6, 10, 11).
Globalt er T. gondii en svært vanlig forekommende parasitt, særlig i varme strøk (12). Katter er parasittens hovedvert (12). Den skiller ut egg som kan tas opp av mennesker, de fleste pattedyr og fugler. Smitte skjer ved inntak av ufullstendig varmebehandlet kjøtt, uvaskede grønnsaker og frukt samt gjennom kontakt med avføring fra infiserte katter. Forløpet av en infeksjon er som oftest mildt eller asymptomatisk, men immunsvekkede kan utvikle alvorlige manifestasjoner som encefalitt (12). Smitte i svangerskapet kan føre til abort eller alvorlige fosterskader som hydrocefalus, synstap og mental retardasjon (12).
Okulær toksoplasmose er i utgangspunktet en klinisk diagnose. T. gondii-IgG er som oftest til stede (6, 10), men sykdommen kan også skyldes tidligere gjennomgått infeksjon. Selv om prevalensen av okulær toksoplasmose i Norge er relativt lav, påviste man i en befolkningsbasert studie T. gondii-IgG hos 10 % av gravide (13). Positiv T. gondii-IgM støtter diagnosen, men er ikke alltid til stede fordi akutt sykdom også kan skyldes reaktivering (2, 6, 10). For å skille mellom akutt, kronisk og gjennomgått toksoplasmainfeksjon benyttes såkalt aviditet for T. gondii-IgG. Aviditeten uttrykker den funksjonelle affiniteten, eller samlet bindingsstyrke, mellom antistoff og antigen (9). IgG-aviditeten øker typisk over tid, og høy IgG-aviditet utelukker med høy grad av sikkerhet akutt toksoplasmainfeksjon (infeksjon i løpet av de siste 3–4 månedene) (9). Vår pasient hadde lav IgG-aviditet, som sammen med høy IgM/IgG-ratio indikerte akutt infeksjon (9).
Behandling av okulær toksoplasmose er omdiskutert (2, 6, 10). Antiparasittær behandling anbefales ved affeksjon av papillen, makula eller de retinale kararkadene og ved flere og større lesjoner (2, 10). I internasjonale anbefalinger anses peroral sulfadiazin og pyrimetamin som best dokumentert, eventuelt med tillegg av kortikosteroider (6, 10).
Sulfadiazin og pyrimetamin er ikke markedsført i Norge og er dessuten lite anvendt grunnet teratogenisitet (pyrimetamin) og øvrig bivirkningsprofil (begge medikamenter) (2). Norsk oftalmologisk forening anbefaler i stedet peroral klindamycin og azitromycin, med tillegg av kortikosteroider ved mer uttalt vitritt (2). Behandlingsvarigheten styres av den kliniske presentasjonen. Ved residiverende infeksjoner kan langvarig systemisk behandling, for eksempel en kombinasjon av trimetoprim og sulfonamid, bli nødvendig (2). Intravitreal klindamycin, som ble gitt til denne pasienten, har sannsynligvis også god effekt (14, 15), men er begrenset dokumentert (2, 10). Behandlingen kan medføre retinal toksisitet og bør gis i samråd med oftalmologer med relevant erfaring (10).
Okulær toksoplasmose kan ramme både immunkompetente og immunsvekkede (6, 10). Globalt sett er toksoplasmose relativt hyppig hos immunkompetente personer (16), og vår pasient hadde ingen immunsvikt.
Demyeliniserende optikusnevritt er en hyppig manifestasjon ved multippel sklerose. Tilstanden er hyppigst retrobulbær og ofte uten oftalmoskopiske funn i akuttforløpet (et lett papilleødem sees i omtrent en tredjedel av tilfellene), eller som det beskrives i et gammelt munnhell: «Pasienten ser intet, og legen ser intet» (17). Demyeliniserende optikusnevritt opptrer hyppigst hos kvinner i aldersgruppen 18–50 år. Typiske debutsymptomer er lette til moderate retrobulbære smerter som forverres ved øyebevegelser, og utvikling av tåkesyn over timer til dager. Typiske funn er synstap med påvirkning av fargesynet (dyskromatopsi), ledsaget av en relativ, afferent pupilledefekt (1, 18). Det naturlige forløpet er gjerne gradvis spontan bedring. Allmennsymptomer, lav eller høy alder, snikende debut, progressivt forløp, fravær av eller uttalte smerter, bilateral affeksjon, uttalt papilleødem samt, som hos denne pasienten, samtidig uveitt eller retinale infiltrater er «røde flagg» som tyder på annen bakenforliggende årsak (1, 18, 19).
Det er ikke påvist noen sikker sammenheng mellom multippel sklerose og toksoplasmose (20), men de to tilstandene har visse likheter, siden begge kan medføre uveitt og optikusnevritt (10, 21). Den norske oftalmologen Marius Haarr beskrev, som en av de første i litteraturen, sammenhengen mellom multippel sklerose og retinal periflebitt. I 1951 forsvarte han den første norske doktorgraden med dette som tema (22, 23). MS-assosiert uveitt er dog uvanlig og affiserer sjeldnere bakre del av glasslegemet og papillen, som hos vår pasient (21).
Sykehistorien er et eksempel på at MR-undersøkelse av hjernen kan avdekke tegn på demyeliniserende sykdom hos pasienter uten kliniske symptomer. Dette kalles et «isolert radiologisk syndrom» og representerer en betydelig terapeutisk utfordring, fordi omtrent en tredjedel vil få et MS-attakk i løpet av fem år (23). Ved lesjoner i ryggmargen og funn av oligoklonale IgG-bånd i spinalvæsken øker risikoen betydelig (24). Vår pasient oppfylte verken initialt eller senere de radiologiske McDonald-kriteriene (tid og sted) for multippel sklerose og hadde heller ikke lesjoner i ryggmargen. Vi valgte derfor å observere henne videre uten å starte immunmodulerende behandling.
Atypisk optikusnevritt har tidligere vært omtalt i flere kasuistikker (1, 19, 25) og en oversiktsartikkel i Tidsskriftet (18). Den aktuelle sykehistorien illustrerer betydningen av diagnostisk årvåkenhet og grundig tverrfaglig utredning, også hos pasienter med symptomer, MR-funn og spinalvæskeundersøkelser som kan tilsi demyeliniserende optikusnevritt.
Pasienten har gitt samtykke til at artikkelen blir publisert.
Artikkelen er fagfellevurdert.
- 1.
Ødegaard EM, Jørstad ØK, Kerty E. En tenåring med akutt bilateralt synstap. Tidsskr Nor Legeforen 2018; 138. doi: 10.4045/tidsskr.17.0802. [PubMed][CrossRef]
- 2.
Brandser R, Berg K. Uveitt. I: Kjeka O, Gupta R, Askim A, red. Nasjonal kvalitetshåndbok for oftalmologi. Oslo: Norsk oftalmologisk forening, 2017.
- 3.
Miller N, Subramanian P, Patel V. Walsh & Hoyt's Clinical Neuro-Ophthalmology: The Essentials. 3. utg. Philadelphia, PA: Wolters Kluwer/Lippincott Williams & Wilkins, 2015.
- 4.
Benson JC, Cervantes G, Baron TR et al. Imaging features of neurotoxoplasmosis: A multiparametric approach, with emphasis on susceptibility-weighted imaging. Eur J Radiol Open 2018; 5: 45–51. [PubMed][CrossRef]
- 5.
Frederiksen JL, Petrera J. Serial visual evoked potentials in 90 untreated patients with acute optic neuritis. Surv Ophthalmol 1999; 44 (suppl 1): S54–62. [PubMed][CrossRef]
- 6.
Butler NJ, Furtado JM, Winthrop KL et al. Ocular toxoplasmosis II: clinical features, pathology and management. Clin Exp Ophthalmol 2013; 41: 95–108. [PubMed][CrossRef]
- 7.
Robert-Gangneux F, Dardé ML. Epidemiology of and diagnostic strategies for toxoplasmosis. Clin Microbiol Rev 2012; 25: 264–96. [PubMed][CrossRef]
- 8.
Bigna JJ, Tochie JN, Tounouga DN et al. Global, regional, and country seroprevalence of Toxoplasma gondii in pregnant women: a systematic review, modelling and meta-analysis. Sci Rep 2020; 10: 12102. [PubMed][CrossRef]
- 9.
Montoya JG, Liesenfeld O. Toxoplasmosis. Lancet 2004; 363: 1965–76. [PubMed][CrossRef]
- 10.
Garweg J, Petersen E. Toxoplasmosis: Ocular disease. UpToDate. https://www.uptodate.com/contents/toxoplasmosis-ocular-disease Lest 9.2.2021.
- 11.
Kupersmith MJ, Alban T, Zeiffer B et al. Contrast-enhanced MRI in acute optic neuritis: relationship to visual performance. Brain 2002; 125: 812–22. [PubMed][CrossRef]
- 12.
Folkehelseinstituttet. Toksoplasmose – veileder for helsepersonell. https://www.fhi.no/nettpub/smittevernveilederen/sykdommer-a-a/toksoplasmose---veileder-for-helsep/ Lest 9.2.2021.
- 13.
Findal G, Barlinn R, Sandven I et al. Toxoplasma prevalence among pregnant women in Norway: a cross-sectional study. APMIS 2015; 123: 321–5. [PubMed][CrossRef]
- 14.
Soheilian M, Ramezani A, Azimzadeh A et al. Randomized trial of intravitreal clindamycin and dexamethasone versus pyrimethamine, sulfadiazine, and prednisolone in treatment of ocular toxoplasmosis. Ophthalmology 2011; 118: 134–41. [PubMed][CrossRef]
- 15.
Baharivand N, Mahdavifard A, Fouladi RF. Intravitreal clindamycin plus dexamethasone versus classic oral therapy in toxoplasmic retinochoroiditis: a prospective randomized clinical trial. Int Ophthalmol 2013; 33: 39–46. [PubMed][CrossRef]
- 16.
Greigert V, Bittich-Fahmi F, Pfaff AW. Pathophysiology of ocular toxoplasmosis: Facts and open questions. PLoS Negl Trop Dis 2020; 14: e0008905. [PubMed][CrossRef]
- 17.
Miller N, Newman N, Biousse V et al. Optic neuritis. I: Walsh and Hoyt's Clinical Neuro-Ophthalmology: The Essentials. 2. utg. Philadelphia, PA: Wolters Kluwer/Lippincott Williams & Wilkins, 2008.
- 18.
Dalbro SEJ, Kerty E. Atypisk optikusnevritt. Tidsskr Nor Legeforen 2019; 139. doi: 10.4045/tidsskr.18.0967. [PubMed][CrossRef]
- 19.
Sand MK, Stubhaug TT, Jørstad ØK. Atypisk optikusnevritt. Tidsskr Nor Legeforen 2017; 137: 731. [PubMed][CrossRef]
- 20.
Saberi R, Sharif M, Sarvi S et al. Is Toxoplasma gondii playing a positive role in multiple sclerosis risk? A systematic review and meta-analysis. J Neuroimmunol 2018; 322: 57–62. [PubMed][CrossRef]
- 21.
Messenger W, Hildebrandt L, Mackensen F et al. Characterisation of uveitis in association with multiple sclerosis. Br J Ophthalmol 2015; 99: 205–9. [PubMed][CrossRef]
- 22.
Haarr M. Periphlebitis retinae – en klinisk undersøkelse. Oslo: Akademisk trykningssentral, Blindern, 1951.
- 23.
Holmøy T, Jørstad ØK. Den første norske doktorgraden om multippel sklerose. Tidsskr Nor Legeforen 2021; 141. doi: 10.4045/tidsskr.20.0993. [PubMed][CrossRef]
- 24.
Lebrun-Frenay C, Kantarci O, Siva A et al. Radiologically isolated syndrome: 10-year risk estimate of a clinical event. Ann Neurol 2020; 88: 407–17. [PubMed][CrossRef]
- 25.
Høglund RA, Myro AZ, Zarnovicky S et al. En ung kvinne med krampeanfall, synsforstyrrelser og lammelser. Tidsskr Nor Legeforen 2019; 139. doi: 10.4045/tidsskr.19.0122. [PubMed][CrossRef]