Akutt appendisitt i et femoralbrokk

    ()

    sporsmal_grey_rgb
    Abstract

    BACKGROUND

    De Garengeot's hernia is a rare condition where the vermiform appendix is herniated into the sac of a femoral hernia. Even rarer is the presence of acute appendicitis within the hernia sac.

    CASE PRESENTATION

    We present a case report about an older woman who presented to the hospital with pain and palpable swelling in the right iliac fossa, fever and elevated CRP. CT scan revealed acute appendicitis with the appendix herniated into the femoral canal. She was operated with laparoscopic appendectomy and open hernia repair.

    INTERPRETATION

    We present a short review of the literature. The condition is rare, and more common in females. The diagnosis can be difficult, and CT scan is the best image modality to verify this condition. If the appendix is infected and lies in the hernia it demands prompt surgery with appendectomy and hernia repair. Both laparoscopic and open procedures are described in the literature.

    Artikkel

    Akutt appendisitt starter vanligvis med diffuse magesmerter etterfulgt av smertevandring til nedre høyre kvadrant og utvikling av peritonitt. Hos denne pasienten inkluderte symptombildet også en smertefull oppfylning i høyre lyske.

    En kvinne i 80-årene ankom akuttmottaket etter halvannet døgn med magesmerter. Hun hadde temperatur på 38,4 grader, pulsfrekvens på 106/min og respirasjonsfrekvens på 24/min. Blodtrykk var 107/60 mmHg. Fra tidligere hadde hun kols (GOLD 3), polymyalgia revmatika og temporalarteritt. Av relevante medisiner brukte hun prednisolon 2,5 mg × 1. Hun hadde ti år tidligere gjennomgått en åpen operasjon for venstresidig lyskebrokk med innleggelse av nett. Hun var hjemmeboende og klarte seg godt i hverdagen.

    I akuttmottaket var hun uvel og kvalm, og ved organundersøkelse var hun lokalt peritonittisk i nedre høyre kvadrant. Hun hadde en palpabel oppfylning i høyre lyske på omtrent 1,5 cm som var øm og hard og ikke lot seg reponere. Blodprøver viste CRP (c-reaktivt protein) 182 mg/L (0–5) og leukocytter 14,9 g/L (3,5–10,0).

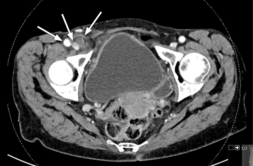
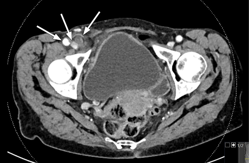
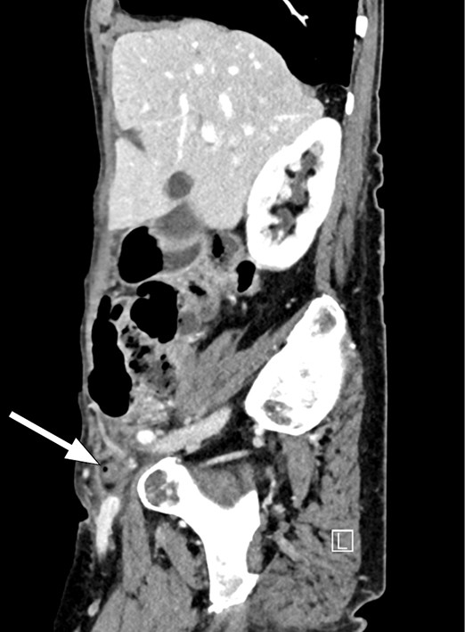
    Grunnet mistanke om appendisitt ble det gjennomført CT abdomen med kontrast, der man så en tubulær struktur overfladisk i høyre fossa med tydelig omkringliggende fettvevsreaksjon inkludert fortykket peritoneum baktil. Det ble oppfattet som en inflammert appendiks og det var stedvis noe dårlig definert vegg som ga mistanke om perforert appendisitt. I tillegg så man en oppfylning i lyskekanalen på høyre side med en liten luftboble. Det var ingen sikker kommunikasjon til appendiks, men likevel sannsynlig at appendiks hadde herniert ned i femoralkanalen.

    Grunnet antatt perforert appendisitt fikk hun antibiotika intravenøst i form av ampicillin 2 gram × 4, gentamicin 320 mg × 1 og metronidazol 1,5 gram × 1. Hun ble deretter operert laparoskopisk.

    Den distale delen av appendiks var inkarserert inn i bukveggen. Fordi femoralringen var stram, var det ikke mulig å reponere appendiks laparoskopisk, og operasjonen ble derfor konvertert til åpen brokkplastikk.

    Reponeringen ble foretatt uten komplikasjoner, brokksekken ble resesert og peritoneum ble lukket med suturplastikk. Resten av inngrepet ble gjort laparoskopisk. Da distale del av appendiks var gangrenøs og hadde en liten perforasjon ble den avsatt, og vi skylte med rikelige mengder sterilt saltvann.

    Pasienten var innlagt på sykehus i fem dager med fall av CRP fra 182 mg/L til 41 mg/L og leukocytter fra 14,9 g/L til 10,3 g/L. Hun ble utskrevet til korttidsplass på sykehjem grunnet redusert allmenntilstand, og det var behov for hjelp til mobilisering. Da ble antibiotika endret til peroral trimetoprim / sulfonamid 2 tabletter × 1 og metronidazol 400 mg × 3 i to dager, slik at hun hadde fått antibiotika i til sammen syv dager.

    Histopatologisk undersøkelse bekreftet at det var en appendiks med akutt transmural betennelse, uten holdepunkt for malignitet.

    Diskusjon

    Diskusjon

    Tilstanden når et femoralbrokk inneholder appendiks er kjent som de Garengeots hernie, oppkalt etter den franske kirurgen René-Jacques Croissant de Garengeot som først beskrev tilstanden i 1731 (1). En litt mer vanlig variant av appendiks i et brokk er Amyand hernie, der appendiks ligger i et inguinalbrokk (2).

    De Garengeots hernie er sjeldent, og er hittil beskrevet i 222 kasuistikker i verden (2). Det utgjør 0,5–5 % av alle femoralbrokk. Enda sjeldnere forekommer det at det er akutt appendisitt i brokksekken, med estimert prevalens 0,08–0,13 % (1, 2).

    Det er flest kvinner som får de Garengeots hernie, og gjennomsnittsalder er rundt 70 år (1, 2, 4). Pasientene presenter gjerne med en vond oppfylning eller smerter i høyre fossa eller lyske, noen ganger med overliggende rødme. Tilstanden kan være vanskelig å diagnostisere, og ofte kan peritonitt grunnet underliggende appendisitt være maskert grunnet en smal brokksekk som hindrer spredning av inflammasjon til resten av abdomen (1, 2, 5).

    Det er uklart om det er en betent appendiks som kommer først og beveger seg inn i en herniert sekk, eller om det er en appendiks som legger seg inn i brokksekken, blir strangulert og deretter betent. Det er beskrevet at en stor og mobil cøkum kan presse appendiks inn i femoralkanalen.

    Tilstanden blir ofte diagnostisert peroperativt, men kan oppdages på CT abdomen i forkant. CT er den beste modaliteten for å fremstille de Garengeots hernie ved å kartlegge lokalisasjon og innhold i brokket. Femoralkanalen er medialt for femoralvenen og posterior for inguinalligamentet (1, 4).

    Appendisitt i de Garengeots hernie krever øyeblikkelig hjelp og operasjon med både appendektomi og brokkplastikk for å unngå utvikling av fulminant sepsis og komplikasjoner som strangulasjon, perforasjon og abscess (3, 5). Operasjon kan være teknisk vanskelig og det er beskrevet flere operasjonsmetoder, både laparoskopiske og åpne. Det foreligger for få kasuistikker til å angi en foretrukket metode, så den må tilpasses etter hvert individ og etter hva kirurgen har mest erfaring med (1, 2). Det er anbefalt å unngå brokkplastikk med innleggelse av nett når det er en samtidig infeksjon, da nettet kan infiseres og det er fare for kronisk infeksjon av fremmedmateriale (1, 3, 4).

    En stor takk til Torbjørn Skodvin, LIS2-lege i kirurgi, for hjelp med utforming av kasuistikken, og til Thomas Schistad, LIS-lege i radiologi, for hjelp med utforming av CT-bilder.

    Pasienten har gitt samtykke til at artikkelen blir publisert.

    Artikkelen er fagfellevurdert.

    Kommentarer  ( 0 )
    PDF
    Skriv ut

    Anbefalte artikler