To unge, friske leger fikk påvist dyp venetrombose henholdsvis 27 og 29 dager etter at de fikk ChAdOx1 nCoV-19-vaksinen fra AstraZeneca. Begge hadde negativ D-dimertest og lav Wells-skår.
En kvinne i 30-årene og en mann i 40-årene ble vaksinert mot covid-19 med AstraZeneca-vaksinen (ChAdOx1 nCoV-19). Begge fikk påvist dyp venetrombose henholdsvis 27 og 29 dager etter vaksinasjon. Begge var normalvektige, normalt fysisk aktive og ikke-røykere. De hadde ingen underliggende sykdommer og hadde ikke gjennomgått traume, kirurgi, infeksjon, immobilisering, langvarig flyreise de siste tre månedene eller covid-19-infeksjon. Det var ingen kjent trombofili.
Pasient 1
Pasienten var en kvinnelig lege i 30-årene. Bortsett fra Hashimotos tyreoiditt fra barnealder og noe lumbagoplager, var hun tidligere frisk. Hun hadde ikke hatt blodpropp tidligere, heller ikke i forbindelse med graviditet eller fødsel. Hun ble behandlet med levotyroksin (Levaxin) 150 µg daglig.
Pasienten ble vaksinert med ChAdOx1 nCoV-19-vaksinen fra AstraZeneca. Natten etter våknet hun av intense ryggsmerter, og hun fikk feber og frostrier. Disse symptomene gikk over i løpet av 36 timer.
16 dager etter vaksinasjonen utviklet hun petekkier på to av fingrene. Legemiddelverket hadde informert om at man burde oppsøke legevakt om man fikk symptomer innen 14 dager etter vaksine (1), men ettersom det nå var gått 16 dager og hun var i god allmenntilstand, oppsøkte hun ikke lege og tok heller ingen prøver.
Etter noen langrennsturer ble imidlertid tre av tåneglene blå, samtidig som at hun fikk blåmerker andre steder på kroppen uten å ha vært eksponert for slag.
27 dager etter vaksinasjonen våknet hun opp med smerter i høyre knehase og øvre del av leggen uten forutgående traume. Hun tilskrev symptomene en travel helgevakt på sykehuset. Dagen etter forverret smertene seg. Da hun tok biokjemisk rutinekontroll for stoffskiftet, supplerte hun med ytterligere analyser. Blodprøver viste hemoglobin 12,7 g/dL (referanseområde 11,7–15,3), leukocytter 5,5 × 109/L (3,5–10,0), trombocytter 334 × 109/L (145–390) og D-dimer < 0,4 mg/L (< 0,5). Hun gjorde en forenklet Wells-skåring, som viste 0, og konkluderte med at dyp venetrombose var lite sannsynlig.
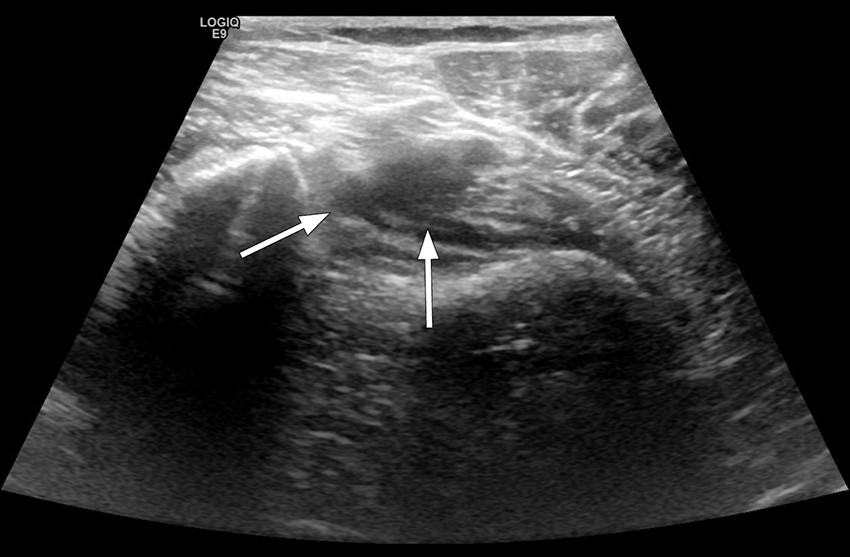
Dagen etter hadde hun fortsatt store smerter i knehasen og øvre del av leggen, og ba en kollega ved radiologisk avdeling om å gjøre en ultralydundersøkelse for å utelukke dyp venetrombose. Det ble da påvist en trombe i distale vena poplitea (figur 1).
Hun ble behandlet med rivaroksaban i tre måneder, 15 mg × 2 i tre uker, deretter 20 mg × 1. En uke etter påvist dyp venetrombose og oppstart av antikoagulerende behandling tok hun MR caput og måling av trombocyttantistoffer i forbindelse med en kartlegging av vaksinebivirkninger. Begge undersøkelsene var uten patologiske funn. Tilfellet ble meldt som bivirkning på Melde.no.
Pasient 2
Pasienten var en tidligere frisk mannlig lege i 40-årene som ikke brukte faste medisiner.
Ti timer etter at han hadde tatt ChAdOx1 nCoV-19-vaksinen, fikk han kortvarig feber og frostrier, men vedvarende sykdomsfølelse dagen etter. De påfølgende 3–4 dagene hadde han leddsmerter og følte seg utslitt. Han opplevde også dyspné ved lett anstrengelse, som varte ca. en uke.
Ti dager etter vaksinasjonen kjente han et lett ubehag proksimalt i venstre legg. Han tolket det som muskulært betinget, alternativt Bakers cyste. Symptomene økte gradvis på, og etter 16 dager observerte han en lett hevelse. Denne gikk imidlertid tilbake etter et par dager. 24 dager etter vaksinasjonen tok han blodprøver fordi ubehaget fortsatt var til stede, og det var kommet opplysninger i media om tromber/blødninger som mulig komplikasjon til den aktuelle vaksinen.
Han hadde ikke hodepine. Blodprøvene viste hemoglobin 15,9 g/dL (13,4–17,0), leukocytter 5,5 × 109/L (3,5–10,0), trombocytter 303 × 109/L (145–390) og D-dimer < 0,4 mg/L (< 0,5). Wells-skår var 0. Han tok samme dag kontakt med radiolog som utførte ultralyd, uten å kunne bekrefte mistanken om dyp venetrombose. Seks dager senere, 29 dager etter vaksinasjonen, tilkom det smerter i venstre legg. Ved ny ultralyd ble det da påvist dyp venetrombose. Han ble behandlet med apiksaban 10 mg × 2 de første syv dagene, deretter 5 mg × 2 til tre måneder. Tilfellet ble meldt som bivirkning på Melde.no.
Diskusjon
To pasienter uten underliggende risikofaktorer utviklet dyp venetrombose henholdsvis 27 og 29 etter å ha fått AstraZenecas ChAdOx1 nCoV-19-vaksine. Det er nå etablert en klar assosiasjon mellom vaksinen og det som kalles vaksineindusert trombotisk trombocytopeni, en tilstand med trombose på uvanlige steder, trombocytopeni og blødning (2–4). De rapporterte tilfellene har imidlertid funnet sted innen 14 dager etter vaksinasjon.
Symptombildet ved vaksineindusert trombotisk trombocytopeni er spesielt og dramatisk, og de to pasientene som er omtalt her, hadde ikke det samme kliniske bildet. Nivået av trombocyttantistoffer var ikke forhøyet hos den ene pasienten der dette ble undersøkt. Ingen av pasientene hadde hodepine, den ene hadde petekkier på to fingre, blåmerketendens og noen blå tær, men ellers ingen symptomer på koagulasjonsforstyrrelser. Begge hadde normalt antall trombocytter. Ettersom årsaken til vaksineindusert trombotisk trombocytopeni ikke er kjent, kan det ikke utelukkes at også andre tromboemboliske tilstander eller blødninger kan være en del av totalbildet, selv om det kanskje er mindre sannsynlig.
D-dimer dannes ved at kryssbundet fibrin brytes ned. Forhøyede D-dimernivåer er et uspesifikt funn som kan sees ved tilstander som infeksjon, traume, graviditet, kreftsykdom, forbrukskoagulopati og etter operasjoner. D-dimer har derimot en høy negativ prediktiv verdi, dvs. at normale konsentrasjoner utelukker med mer enn 90 % sannsynlighet dyp venetrombose hos ambulante pasienter med kliniske symptomer på trombose (5). I de aktuelle tilfellene var D-dimernivået ikke forhøyet, og diagnosen dyp venetrombose ble stilt ved ultralydundersøkelse.
Begge pasientene hadde lav Wells-skår, hvilket innebærer at de ifølge retningslinjer (6) ikke skulle vært henvist til ultralyd. De fleste flytskjemaer for pasienter med dyp venetrombose ville anbefalt hjemsending uten behandling. Sannsynligvis ville de to pasientene gått udiagnostisert dersom de ikke selv var leger og kunne be en kollega utføre ultralydundersøkelse. Det er tankevekkende.
Det er kjent at covid-19-infeksjon gir økt trombosetendens (7). En studie viste at Wells-skår var upålitelig når det gjaldt å predikere lungeemboli hos covid-19-pasienter: 4 av 12 pasienter med lungeemboli hadde en Wells-skår på 0 (8). En annen studie viste at høy Wells-skår var like vanlig hos covid-19-pasienter uten lungeemboli som hos covid-19-pasienter med lungeemboli (9). Det kan tenkes at noe av det samme gjelder etter vaksine som ved sykdommen. Kanskje har Wells-skår ikke den samme negative prediktive verdien etter vaksinering? Trolig bør symptomer på trombose i etterkant av vaksinering følges opp noe tettere enn det vanlige rutiner tilsier.
I en situasjon der det pågår omfattende vaksinering med nye vaksiner, er det avgjørende at både pasienter og leger er årvåkne. Mistenkte nye, uventede eller alvorlige bivirkninger må meldes.
Pasientene har gitt samtykke til at artikkelen blir publisert.
Artikkelen er fagfellevurdert.
- 1.
Statens Legemiddelverk. AstraZeneca-vaksinen: Når skal lege oppsøkes. https://legemiddelverket.no/nyheter/astrazeneca-vaksinen-nar-skal-lege-oppsokes Lest 26.4.2021.
- 2.
Schultz NH, Sørvoll IH, Michelsen AE et al. Thrombosis and Thrombocytopenia after ChAdOx1 nCoV-19 Vaccination. N Engl J Med 2021; 384: NEJMoa2104882. [PubMed][CrossRef]
- 3.
Greinacher A, Thiele T, Warkentin TE et al. Thrombotic Thrombocytopenia after ChAdOx1 nCov-19 Vaccination. N Engl J Med 2021; 384: NEJMoa2104840. [PubMed][CrossRef]
- 4.
Muir K-L, Kallam A, Koepsell SA et al. Thrombotic Thrombocytopenia after Ad26.COV2.S Vaccination. N Engl J Med 2021; 384: NEJMc2105869. [PubMed][CrossRef]
- 5.
Chopard R, Albertsen IE, Piazza G. Diagnosis and Treatment of Lower Extremity Venous Thromboembolism: A Review. JAMA 2020; 324: 1765–76. [PubMed][CrossRef]
- 6.
Helse Bergen. Dyp venøs trombose. Prosedyre. https://kvalitet.helse-bergen.no/docs/pub/dok24601.pdf Lest 26.4.2021.
- 7.
Kvåle R, Azrakhsh NA, Mohn KG et al. Covid-19 og venøs tromboembolisme – profylakse og behandling. Tidsskr Nor Legeforen 2020; 140. doi: 10.4045/tidsskr.20.0440. [PubMed][CrossRef]
- 8.
Kirsch B, Aziz M, Kumar S et al. Wells Score to Predict Pulmonary Embolism in Patients with Coronavirus Disease 2019. Am J Med 2020; 133: S0002-9343(20)31108-6. [PubMed][CrossRef]
- 9.
Monfardini L, Morassi M, Botti P et al. Pulmonary thromboembolism in hospitalised COVID-19 patients at moderate to high risk by Wells score: a report from Lombardy, Italy. Br J Radiol 2020; 93: 20200407. [PubMed][CrossRef]
Patient 2’s d-dimer was not elevated at first presentation. The second presentation has no measure of d-dimer. Was it tested serially over any period of time?
Interessante kasuistikker. Hvis D-dimer holdt seg lav under hele forløpet, kan en forklaring være at fibrinolysen hemmes av immunglobuliner som vaksinasjonen fremkaller. Det er velkjent at virusinfeksjoner (eks. varicella) enkelte ganger fører til dannelse av immunglobuliner som binder Protein S og fører til trombose. Det at trombosene oppstår så lang tid etter vaksinasjonen passer med en slik mekanisme.