For en mann med utenlandsk opprinnelse ble residiverende feber og nattlig tørrhoste starten på et langvarig utredningsforløp. Det som førte til hans forsinkede diagnose viste seg å være et kjennetegn ved sykdommen.
Mannen oppsøkte fastlegekontoret på grunn av nyoppstått, nattlig tørrhoste. Han hadde på forhånd selv sluttet med blodtrykksmedisinen losartan 100 mg peroralt én gang daglig, som han antok var årsaken, men uten å merke bedring. Bortsett fra hypertensjon var han fra tidligere ellers frisk, røykte ikke og avstod fra alkohol. Han hadde ikke vært utenlands de siste 4–5 årene. I ukene før det aktuelle hadde ingen i nærmiljøet vært syke, men han var i nærkontakt med mange mennesker i jobben sin. C-reaktivt protein (CRP) var 44 mg/L (referanseområde < 0 mg/L). På kontroll hos fastlegen én uke senere hostet han fortsatt. Han hadde hatt frostrier, men ikke målt temperaturen selv, hadde ikke hatt pleurittsmerter, dyspné, nattesvette eller vekttap. Respirasjonsfrekvensen var rask, 24–28 per minutt, og perifer oksygenmetning var 95 % i romluft. CRP var 80 mg/L. På venstre overarm hadde han arr etter tuberkulosevaksine. Ved auskultasjon hørte man redusert respirasjonslyd basalt over høyre lunge. Supplerende lungeultralyd på legekontoret viste på høyre side flere B-linjer fortil, pleuravæske basalt samt enkelte subpleurale konsolideringer. Funnene ble tolket som forenlig med pneumoni. Han ble henvist fra fastlegen til innleggelse på sykehus samme dag.
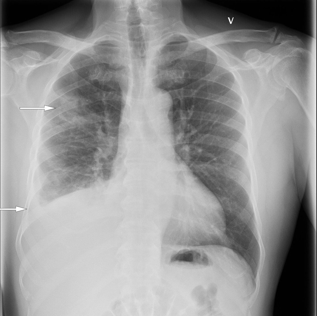
På sykehuset var allmenntilstanden god. Blodtrykket var 168/84 mm Hg, puls 85 slag per minutt, temperatur 37,8 °C i øret, perifer oksygenmetning 97 % i romluft og respirasjonsfrekvens 20 per minutt. Han hadde en systolisk bilyd grad 1 over hjertet, best hørbar i andre høyre interkostalrom, og basalt over høyre lunge var det svekket respirasjonslyd med perkutatorisk dempning. Han hadde ingen cyanose, lymfeknutesvulst, fortykkelse av fingre og tær (clubbing), urglassnegler, palpabel hepatosplenomegali, eksantemer eller perifere ødemer. Blodprøvene viste CRP 105 mg/L og albumin 34,4 g/L (35–45 g/L). Hematologiske prøver, elektrolytter, nyre-, lever- og galleprøver var alle innenfor normale grenser. Røntgen thorax (figur 1) viste flere delvis konsoliderte fortetninger, særlig i nedre del av høyre lunges overlapp, atelektasestriper og høyresidig pleuravæske. Mengden var for liten for drenasje. Basert på sykehistorien med tørrhoste, pneumonisuspekte fortetninger på lungerøntgen og moderat forhøyet CRP uten leukocytose, ble tilstanden oppfattet som en atypisk pneumoni. Pasienten ble utskrevet etter ett døgn med azitromycintabletter 500 mg daglig i tre dager. Azitromycin ble valgt til fordel for erytromycin på grunn av økt intracellulær konsentrasjon, økt sannsynlighet for etterlevelse og erfaringsmessig mindre sannsynlighet for gastrointestinale bivirkninger.
Atypisk pneumoni i Norge forårsakes vanligvis av Mycoplasma pneumoniae, Chlamydia pneumoniae samt sjeldnere Legionella pneumophila og virus. Vanlige symptomer og funn er tørrhoste, sykdomsfølelse og noen ganger feber, med sparsom stigning i infeksjonsparametere. Mange får også hodepine, utslett, myalgier, faryngitt, rhinitt eller otitt. M. pneumoniae kan i sjeldne tilfeller gi pleuravæske, men oftere fortetninger som kan ligne dem vi ser ved vanlig pneumoni (1). Ved ukompliserte tilfeller av atypisk pneumoni avtar symptomene relativt raskt etter behandlingsstart. Flertallet oppgir subjektiv bedring etter noen dager, selv om hoste og røntgenforandringer kan persistere i uker til måneder.
Analyse med polymerasekjedereaksjon (PCR) av luftveissekret besvart etter utreise påviste verken C. pneumoniae-DNA, M. pneumoniae-DNA, Bordetella pertussis-DNA eller influensavirus A- eller B-RNA. Legionellaantigen ble ikke tatt fra urin.
På fastlegekontoret én uke senere var han i bedring, men fikk på grunn av vedvarende forhøyet CRP, nå på 112 mg/L, en ny kur med doksysyklin-tabletter, 200 mg første dag, deretter 100 mg daglig i syv dager. Etter fullført kur gikk det ytterligere seks uker før han igjen fikk frostrier og oppsøkte fastlegekontoret. Han hadde ikke lenger hoste, men var plaget av slapphet og generell sykdomsfølelse. CRP var 117 mg/L og temperaturen 38 °C i øret. Det ble nå mistenkt høyresidig bakteriell bronkopneumoni, og han fikk en ny antibiotikakur, fenoksymetylpenicillin peroralt 1,3 g tre ganger daglig i én uke, uten effekt.
Komplikasjoner som lungeabscesser eller empyem kan i noen tilfeller forklare et protrahert pneumonilignende forløp. Andre ganger kan det foreligge en uventet mikrobiell etiologi, hvor atypiske og typiske mykobakterier og soppinfeksjoner er viktige, men sjeldne differensialdiagnoser. Inadekvate antibiotikadoser, for kort behandlingslengde, nedsatt antibiotikapenetrasjon, manglende etterlevelse og antibiotikaresistens er andre viktige årsaker. Diagnosen kan også være feil ved at lungekreft eller andre underliggende lungesykdommer ikke er oppdaget.
Ni uker etter første utskrivning ble han igjen innlagt på sykehuset av fastlegen. Han var tynn og avmagret og hadde i løpet av den aktuelle sykdomsperioden på over to måneder (figur 2) hatt et ufrivillig vekttap fra 75 kg til 62 kg. Den kliniske undersøkelsen ved innkomst var ellers identisk som ved forrige innleggelse. Mens fortetningene på røntgenbildet tatt ni uker tidligere var uendret, var mengden pleuravæske økt og nå tilgjengelig for tapping. Pasienten var anemisk, med hemoglobin 12,4 g/dl (13,2–16,5 g/dL), albuminverdien var redusert til 29,8 g/L, CRP var 152 mg/L og leukocyttallet normalt. Hivtest og blodkulturer var negative.
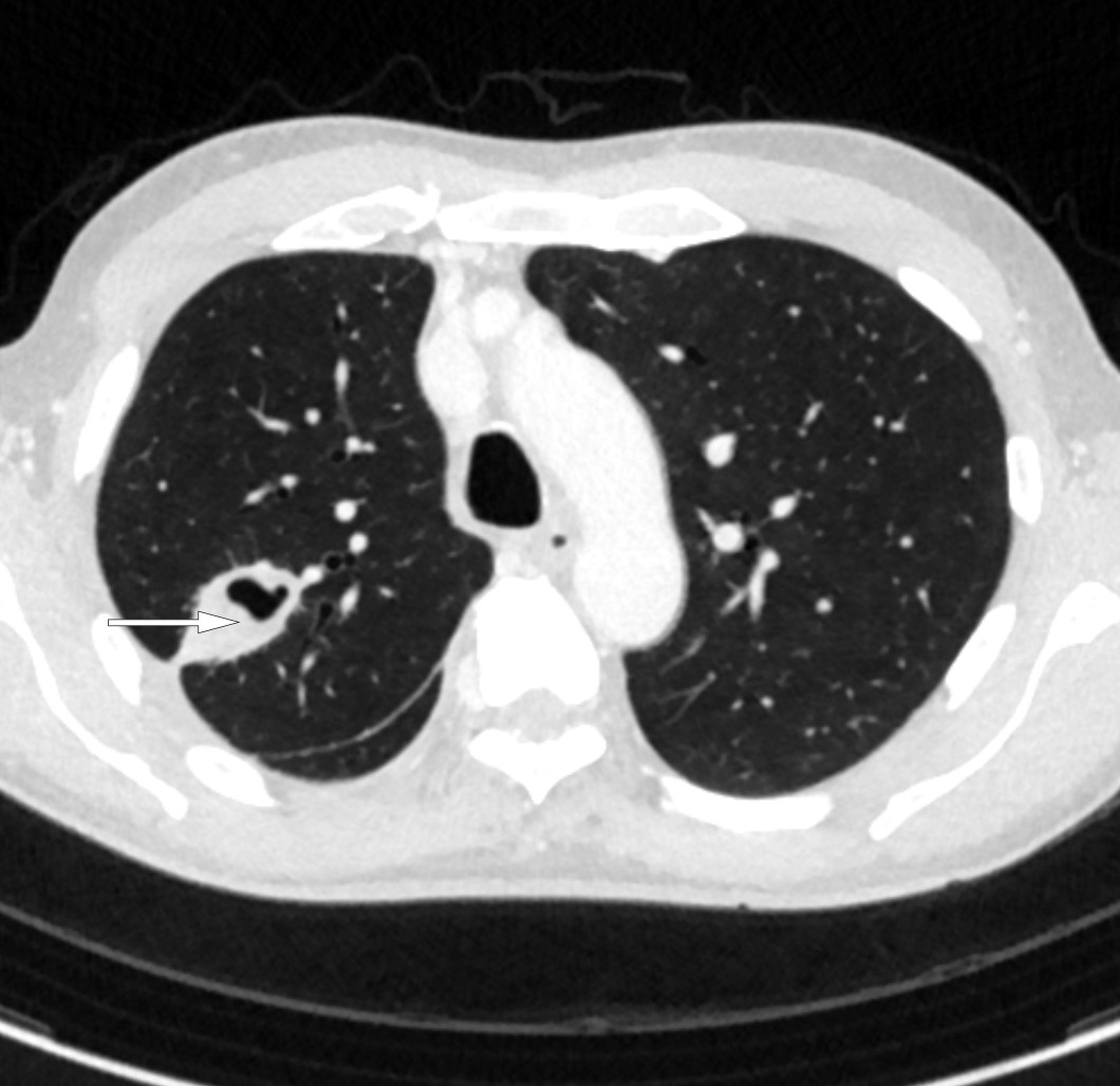
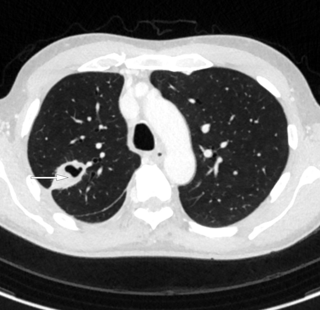
CT thorax (figur 3) to dager etter innleggelse viste basalt i høyre lunges overlapp en konsolidert fortetning med sentral luft, en kaverne, med største diameter 58 mm. Ved siden av denne var det tre-i-knopp-forandringer og flere mikronoduli. Pleurahinnen rundt pleuravæsken var fortykket med økt kontrastoppladning med inntilliggende fortetninger både i underlapp og midtlapp. Noen lymfeknuter i høyre hilus og mediastinum var forkalket og større enn normalt. Apikalt medialt i venstre lunges overlapp var det en mindre irregulær fortetning på rundt 1 cm med omkringliggende små mikronoduli, men ingen pleuravæske. Det ble stilt spørsmål om fortykket perikard.
Tre-i-knopp er en betegnelse på en subtype av sentrilobulære fortetninger som indikerer bronkiolitt, ofte assosiert med aktiv infeksjon (2).
Pleuravæske kan oppstå både ved systemsykdommer, sykdommer med direkte pleuraaffeksjon og kan også forårsakes av medisiner. Væsken kan være serøs, blodtilblandet, purulent eller melkeaktig. Transudater kjennetegnes av lave nivåer av protein og laktatdehydrogenase (LD) og skyldes systemsykdommer og/eller ekstrapulmonale organsykdommer som gir forhøyet hydrostatisk eller nedsatt kolloidosmotisk trykk i kapillærer. Eksudater har høye nivåer av protein og LD og skyldes som regel direkte pleuraaffeksjon, kapillær diastase og lekkasje av plasmaproteiner inn i pleuravæsken, eksempelvis ved inflammatoriske tilstander, infeksjoner og kreftsykdommer (3).
Diagnostisk pleuratapping dag 3 etter innleggelse ga rundt 150 mL strågul væske. Kjemisk analyse viste glukose 4,5 mmol/L (≥ 3,3), LD 291 U/L (< 200) og protein 50 g/L (> 30). I henhold til Light-kriteriene var væsken et eksudat med pleuravæske/serum-ratio 2,3 for LD og 0,79 for protein.
Pleuravæske klassifiseres ifølge Light-kriteriene som eksudat dersom ett av følgende er oppfylt: pleuravæske-LD/s-LD > 0,6, pleuravæske-protein/s-protein > 0,5 eller pleuravæske-LD > ⅔ av øvre normale s-LD (3).
Generell bakteriologisk dyrkning ga ingen vekst, og cytologisk undersøkelse viste benign pleuravæske med minimal uspesifikk betennelse. I tre separate induserte sputumprøver viste PCR-analyse DNA fra Mycobacterium tuberculosis-komplekset. Dyrkningssvaret som kom flere uker senere, var også positivt for M. tuberculosis. Direkte mikroskopi påviste > 10 syrefaste staver per synsfelt, og det ble ved PCR-analyse ikke påvist mutasjoner assosiert med rifampicinresistens eller lavgradig eller høygradig isoniazidresistens. Senere bekreftet den fenotypiske resistensbestemmelsen sensitivitet for alle førstelinjetuberkulostatika: rifampicin, isoniazid, pyrazinamid og etambutol. Molekylærepidemiologisk karakterisering ved Folkehelseinstituttet viste ikke nært genetisk slektskap mellom pasientens mykobakterier og stammer isolert fra andre tuberkulosetilfeller i Norge i senere tid. Dette tydet på at pasienten led av sekundær tuberkulose og sannsynligvis var smittet i sitt hjemland.
Utredning av tuberkulose bør startes ved suspekte symptomer, radiologiske funn og/eller besøk til eller opphav fra høyendemiske områder. Røntgen thorax har høy sensitivitet, men funnene kan være uspesifikke. Diagnosen bekreftes ved isolering av M. tuberculosis ved PCR og/eller dyrkning, mens mikroskopi av dype luftveisprøver brukes til å vurdere smittsomhet.
Pleuravæske i assosiasjon med lungetuberkulose representerer oftest en tuberkuløs pleuritt, som er en forsinket hypersensitivitetsreaksjon til mykobakterielle antigen i pleuravæsken. Et vanlig symptom er tørrhoste, slik det også startet for vår pasient. Typisk inneholder væsken kun et fåtalls mykobakterier, og dyrkningsprøver er ofte negative. Diagnostisk pleurabiopsi kan vurderes (4, 5). Steroider kan dempe inflammasjon og redusere risiko for adheransedannelse, men behandlingen er omdiskutert (5). Tuberkuløst empyem, som kan oppstå ved bronkopleurale fistler eller ruptur av kaverner til pleurahulen, ses sjelden i vår del av verden. Pleuratapping, i tillegg til tuberkulostatika, kan hos noen forebygge langvarige pleuraforandringer og redusert lungefunksjon (5).
Pasienten ble behandlet i to måneder med kombinasjonspreparatet Rimstar, bestående av rifampicin 150 mg, isoniazid 75 mg, pyrazinamid 400 mg og etambutol 275 mg per tablett, dosert etter vekt til fire tabletter peroralt én gang daglig. Videre behandling bestod av Rifinah, bestående av 300 mg rifampicin og 150 mg isoniazid per tablett, to tabletter daglig peroralt i ytterligere fire måneder, med total behandlingstid seks måneder.
To uker etter påbegynt behandling var mikroskopi av indusert sputum negativ for syrefaste staver, slik at luftsmitteregimet kunne oppheves. I samarbeid med kommunehelsetjenesten ble behandling kontinuert som direkte observert terapi (DOT) etter utreise, med profylaktiske pyridoksintabletter 40 mg peroralt daglig for å forebygge nevropati. Smitteoppsporing i regi av tuberkulosekoordinator førte til at det ble tatt 30 IGRA-tester (interferon-gamma release assays), hvorav to var positive. Én av dem som testet positivt, fikk senere behandling mot latent lungetuberkulose.
Diskusjon
Tuberkulosediagnosen kan være utfordrende, særlig i land som Norge der forekomsten er blant de laveste i verden. I 2018 fikk 209 personer diagnosen i Norge, hvorav kun 14 % var norskfødte (6). Sykdommen kan mangle på listen over aktuelle differensialdiagnoser som følge av uspesifikk og varierende symptomatologi, som igjen kan føre til forsinket diagnose og økt risiko for smittespredning.
I en retrospektiv analyse av 180 tuberkulosepasienter i Storbritannia (7), hadde 42 % av pasientene blitt vurdert i akuttmottak i løpet av de tre månedene før diagnosen ble påvist. En tilsvarende studie fra Canada (8) viste at halvparten av pasientene med bekreftet tuberkulose hadde vært i akuttmottak seks måneder før diagnosetidspunktet, og gjennomsnittet var 2,2 vurderinger før sykdommen ble oppdaget. Hos vår pasient ble diagnosen stilt etter tre måneder med konsultasjoner og vurderinger gjort av ulike leger i primær- og sekundærhelsetjenesten. I mellomtiden hadde han fått flere ulike antibiotikakurer.
Pasientens sykehistorie inkluderte flere typiske symptomer og funn ved tuberkulose: hoste, pleuravæske, lavgradig feber og forhøyet CRP uten leukocytose samt et langvarig og subakutt forløp som med tiden førte til vekttap og generell sykdomsfølelse. Klassiske lungetuberkulosesymptomer som purulent, langvarig hoste, nattesvette, asteni og vekttap er verken sensitive eller spesifikke for sykdommen, og ofte oppstår disse sent. I en studie fra California (9) som inkluderte totalt 313 tuberkulosepasienter, ble hoste registrert hos 72,7 %, feber hos 52,3 %, vekttap hos 44,5 %, nattesvette hos 47,9 % og hemoptyse hos 20,9 %. Immunsupprimerte har oftere ekstrapulmonal sykdom (10).
Pasienten var fra et høyendemisk område, men var også vaksinert. BCG (Bacille Calmette Guérin)-vaksinen regnes for å beskytte mot alvorlig, dødelig tuberkulose hos spedbarn, men beskytter dårligere mot lungetuberkulose hos voksne (10).
Sykdommen kan maskeres av antibiotika gjennom midlertidig symptomlindring, enten ved direkte innvirkning på mykobakteriene eller immunresponsen, eller ved behandling av bakterielle superinfeksjoner. Antibiotikabruk er dermed assosiert med forsinket diagnose (11). Særlig ved fluorokinoloner har man sett bedring både klinisk og radiologisk (12). Vår pasient fikk i forbindelse med første sykehusinnleggelse azitromycin (et makrolid), som er sagt å ha en immunmodulerende effekt (13), og doksysyclin (et tetrasyklin), som kan virke bakteriostatisk på M. tuberculosis (14). Han var uten legekontakt i én og en halv måned, noe som kunne bidra til oppfatningen om at den initiale diagnosen atypisk pneumoni var korrekt.
Radiologisk kan presentasjonen være svært variert og uspesifikk, samtidig som et negativt funn på lungerøntgen ikke utelukker tuberkulosesykdom. Immunsupprimerte kan ha flere radiologiske funn, men sjeldnere kaverner som følge av redusert immunrespons (10). CT thorax har høyere sensitivitet enn røntgen, men viktigst er det å ha høy klinisk mistanke og be om indusert sputum, da tuberkulose hyppigere enn antatt er en aktuell differensialdiagnose.
Oppsummert viser historien at vanlige symptomer ikke alltid skyldes de mest vanlige tilstander, heller ikke i allmennpraksis. Det er viktig å revurdere tilstanden når forløpet ikke går som forventet. Bruk av antibiotika uten sikker mikrobiologisk diagnostikk kan forsinke riktig diagnose og behandling. Legekontinuitet i pasientforløpet er ofte avgjørende. Funn ved røntgen thorax bør kontrolleres og pleuravæske utredes. Tuberkulosediagnosen må alltid has i mente, ikke bare ved vekttap og hemoptyse, og terskelen for tuberkuloseutredning må være lavere for personer fra høyendemiske områder. Økt årvåkenhet i forhold til ovennevnte kunne ha avdekket diagnosen tidligere.
På bakgrunn av perikardfortykkelse, i tillegg til pleuritt, kan det retrospektivt diskuteres om pasienten burde ha blitt behandlet med steroider.
Pasienten har gitt samtykke til at artikkelen blir publisert.
Artikkelen er fagfellesvurdert.
- 1.
Lieberman D, Schlaeffer F, Lieberman D et al. Mycoplasma pneumoniae community-acquired pneumonia: a review of 101 hospitalized adult patients. Respiration 1996; 63: 261–6. [PubMed][CrossRef]
- 2.
Miller WT, Panosian JS. Causes and imaging patterns of tree-in-bud opacities. Chest 2013; 144: 1883–92. [PubMed][CrossRef]
- 3.
Hooper C, Lee YCG, Maskell N. Investigation of a unilateral pleural effusion in adults: British Thoracic Society Pleural Disease Guideline 2010. Thorax 2010; 65 (suppl 2): ii4–17. [PubMed][CrossRef]
- 4.
Ferrer J. Tuberculous pleural effusion and tuberculous empyema. Semin Respir Crit Care Med 2001; 22: 637–46. [PubMed][CrossRef]
- 5.
Vorster MJ, Allwood BW, Diacon AH et al. Tuberculous pleural effusions: advances and controversies. J Thorac Dis 2015; 7: 981–91. [PubMed]
- 6.
Arnesen TM, Heldal E, Mengshoel AT et al. Tuberkulose i Norge 2018 – med behandlingsresultater for 2017. Årsrapport. Oslo: Folkehelseinstituttet, 2019. https://www.fhi.no/publ/2019/arsrapport-tuberkulose-i-norge-2018--med-behandlingsresultater-for-2017/ Lest 30.6.2020.
- 7.
Lad TS, Packe GE. Tuberculosis: a missed opportunity for early diagnosis at the front line? Emerg Med J 2014; 31: 942–3. [PubMed][CrossRef]
- 8.
Long R, Zielinski M, Kunimoto D et al. The emergency department is a determinant point of contact of tuberculosis patients prior to diagnosis. Int J Tuberc Lung Dis 2002; 6: 332–9. [PubMed]
- 9.
Miller LG, Asch SM, Yu EI et al. A population-based survey of tuberculosis symptoms: how atypical are atypical presentations? Clin Infect Dis 2000; 30: 293–9. [PubMed][CrossRef]
- 10.
Folkehelseinstituttet. Tuberkuloseveilederen. https://fhi.no/nettpub/tuberkuloseveilederen/ Lest 30.6.2020.
- 11.
Golub JE, Bur S, Cronin WA et al. Impact of empiric antibiotics and chest radiograph on delays in the diagnosis of tuberculosis. Int J Tuberc Lung Dis 2005; 9: 392–7. [PubMed]
- 12.
Yoon YS, Lee HJ, Yoon HI et al. Impact of fluoroquinolones on the diagnosis of pulmonary tuberculosis initially treated as bacterial pneumonia. Int J Tuberc Lung Dis 2005; 9: 1215–9. [PubMed]
- 13.
van der Paardt AF, Wilffert B, Akkerman OW et al. Evaluation of macrolides for possible use against multidrug-resistant Mycobacterium tuberculosis. Eur Respir J 2015; 46: 444–55. [PubMed][CrossRef]
- 14.
Alsaad N, Wilffert B, van Altena R et al. Potential antimicrobial agents for the treatment of multidrug-resistant tuberculosis. Eur Respir J 2014; 43: 884–97. [PubMed][CrossRef]
I siste nummer av Tidsskriftet blir det presentert en bemerkelsesverdig publikasjon om en mann i 50 års alderen med utenlandsk opprinnelse. Han tok kontakt med sin fastlege på grunn av tørrhoste og med residiverende feber. Etter påfølgende henvisning til i det lokale sykehus ble det ved røntgenundersøkelse påvist infiltrater i høyre lunges overlapp og høyresidig plevravæske.
I forrige århundre ville en kompetent lege oppfatte dette som overveiende sannsynlig lungetuberkulose som krevde adekvat bakteriologisk diagnostikk i form av sputum-mikroskopi og dyrkning. Ved manglende positive funn måtte det hele gjentas og med adekvat oppfølgning og kontroll samt smittevern.
Tilstanden ble av sykehuset oppfattet som atypisk pneumoni etter foretatt gen-basert diagnostikk av forskjellige sjeldne infeksjoner. Det ble gitt bredspektrete antibiotika med forbigående bedring, men med gradvis svekkelse av allmenntilstanden.
Ni uker etter første utskrivning ble han så pånytt innlagt ved infeksjonsmedisinsk seksjon ved sykehuset og det ble i tillegg til tidligere røntgenfunn påvist kaverne i høyre lunge, det vil si en tilstand med økt smitterisiko. Det ble påvist syrefaste staver ved mikroskopi og Mycobacterium tuberculosis ved dyrkning. Adekvat behandling hadde klinisk og mikrobiologisk effekt. Det ble foretatt smitteoppsporing i pasientens nærmiljø og vel også ved hans tidligere arbeidsplass.
Sykehistorien med diagnostiske tiltak og oppfølgning gir et interessant innblikk i den forandring som har skjedd i taklingen av en tidligere vanlig folkesykdom, fra midten av forrige århundre til i dag.