Lungeembolisme hos en pasient med Klinefelters syndrom

    ()

    sporsmal_grey_rgb
    Abstract

    BACKGROUND

    Dyspnoea and syncope are common causes of admission to hospitals. Pulmonary embolism is often a differential diagnosis, and by examining the clinical history the clinician searches for known predisposing factors. This case report highlights the importance of Klinefelter's syndrome as a predisposing factor for venous thromboembolism. The syndrome is caused by an extra X-chromosome in men, among whom the prevalence is estimated to be 1:500−1:1000. Probably only 25 % of men with the syndrome are diagnosed.

    CASE PRESENTATION

    A man in his forties was admitted to hospital due to dyspnoea and syncope. CT showed submassive pulmonary embolism. The course illustrates the challenges of pulmonary embolism and the association with Klinefelter's syndrome.

    INTERPRETATION

    Several studies have shown an increased incidence of venous thromboembolism in patients with Klinefelter's syndrome. Klinefelter's patients have a higher pre-test likelihood of venous thromboembolism than other patients similar to patients with hereditary thrombophilia. Klinefelter's syndrome is a persistent risk factor for recurrent thromboembolism. Thus, Klinefelter's syndrome impacts both the diagnosis and treatment of thromboembolic disease.

    Artikkel

    Dette forløpet illustrerer utfordringer ved utredning av lungeembolisme og belyser en sammenheng mellom tromboembolisme og Klinefelters syndrom.

    En mann i 40-årene ble innlagt i medisinsk avdeling med funksjonsdyspné. Mannen hadde tre uker tidligere bemerket hevelse i høyre underekstremitet og forbigående brystsmerter. Han hadde hatt funksjonsdyspné i to dager og besvimte da han gikk opp en trapp.

    Ved ankomst på sykehuset var pasienten respiratorisk ubesværet, med blodtrykk 124/84 mm Hg, puls 84 slag per minutt, respirasjonsfrekvens 16 per minutt og temperatur 36,5 °C målt ved infrarødt pannetermometer. Oksygenmetning var 97 % ved pulsoksymetri på romluft. Respirasjonslyden var svekket basalt over venstre lunge. Høyre legg var spent og palpasjonsøm med pittingødem til midt på leggen uten rødme eller varme.

    Han hadde en moderat pretestsannsynlighet for lungeemboli ut ifra skåringsverktøy; ti poeng på Geneva-skår og seks poeng på modifisert Wells skår. Pasienten hadde Klinefelters syndrom og brukte testosterontilskudd. Han hadde polycytemi, sannsynlig sekundært til testosteronbehandlingen, og gikk derfor regelmessig til venesectio og brukte acetylsalisylsyre (Albyl-E) 75 mg × 1. Han hadde ingen andre kjente risikofaktorer for lungeembolisme.

    EKG viste ikke-signifikante ST-elevasjoner (II, aVF og V6) og T-inversjoner (V1 og V2). Arteriell blodgass (romluft) viste pH 7,45 (referanseområde 7,36–7,44), pCO2 4,5 kPa (4,7–5,9) og pO2 9,7 kPa (11,0–14,4). Røntgen thorax viste sparsomme laminære atelektaser basalt, og blodprøver viste CRP 24 mg/L (< 5), troponin T 22–25 ng/L i to sett (< 15) og D-dimer > 4,00 mg/L (< 0,5).

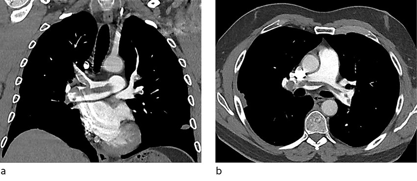
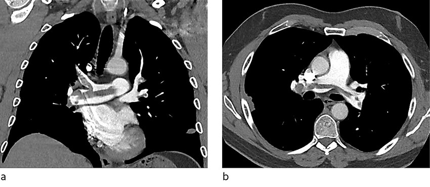
    Enoksaparin (Klexane) 1 mg/kg ble gitt subkutant × 2. Pasienten ble lagt på telemetriovervåking, og CT av lungearterier ble bestilt til dagen etter. Denne avdekket en omfattende sadeltrombe samt bilaterale segmentale lungeemboluser (figur 1). Pasienten ble derfor flyttet til medisinsk intermediær avdeling for tett overvåking av sirkulasjonsstatus. Ekkokardiografi påviste en trombe i pulmonalarterien, lett dilatert høyre ventrikkel og avflatning av det interventrikulære septum. Estimert systolisk lungearterietrykk var 55 mm Hg (< 36).

    Pasienten fikk 59 poeng på skåringsverktøyet Pulmonary Embolism Severity Index (PESI), tilsvarende klasse I (≤ 65 poeng), med god prognose. De påfølgende fire dagene var det ikke tegn til sirkulatorisk sjokk, og det ble derfor ikke gitt trombolytisk behandling. Troponinverdien normaliserte seg etter fire dager. Ekkokardiografi før utreise viste normalisert septumbevegelse og tilnærmet normale trykkforhold.

    Pasienten ble utskrevet i god allmenntilstand etter én uke med direktevirkende orale antikoagulasjonsmidler (DOAK) med medikamentet rivaroksaban (15 mg to ganger daglig i tre uker, deretter 20 mg én gang daglig livet ut). Albyl-E ble seponert. To år senere har han fortsatt ikke hatt plager med tungpustethet.

    Diskusjon

    Diskusjon

    Lungeemboli med sirkulatorisk sjokk er en klar indikasjon for trombolytisk behandling. I fravær av sirkulatorisk sjokk bør man ut fra PESI-skår, troponinverdier og tegn til høyre ventrikkel-dysfunksjon vurdere hvilke pasienter som bør overvåkes for utvikling av sjokk, og ved senere utvikling av sjokk er det anbefalt å vurdere trombolytisk behandling. Dersom det er tegn til både høyre ventrikkel-dysfunksjon og økt troponinverdi bør pasienter initialt overvåkes tett. Et vanlig spørsmål på vakt er om man bør gjennomføre CT lungearterier umiddelbart eller vente til neste dag. Her avventet man CT, men hadde man brukt CT til å måle ratio mellom størrelsen på høyre og venstre ventrikkel, kunne man påvist høyre ventrikkel-dysfunksjon tidligere (1). Bevissthetstap i anamnesen ved lungeemboli er en klinisk indikator på økt fare for alvorlig embolisering og død (2). Slike pasienter trenger rask kartlegging og tett overvåking.

    Pasienten hadde Klinefelters syndrom, et kromosomavvik hos menn, med vanligvis ett ekstra X-kromosom. Tilstanden forekommer hos 1: 500–1: 1 000 menn, men det er anslått at 75 % av menn med Klinefelters syndrom ikke blir diagnostisert. Typiske fysiske trekk er høyde over gjennomsnittet, nedsatt kroppsbehåring og gynekomasti som vedvarer etter puberteten. Alle voksne med Klinefelters syndrom har små testikler, og mange vil ha nedsatt seksuallyst og hypergonadotrop hypogonadisme (3).

    Flere studier har vist økt forekomst av venøs tromboembolisme hos pasienter med Klinefelters syndrom. I en svensk studie fra 2016 ble 1 085 menn med Klinefelters syndrom fulgt i 41 år, og man fant en standardisert insidensratio for venøs tromboembolisme på 6,43 (95 % Kl 5,15 til 7,93) sammenlignet med normalbefolkningen. Forekomsten av venøs tromboembolisme var 8,6 % ved 50 år og hele 20,8 % ved 70 år (4). Ut fra dette har pasienter med Klinefelters syndrom vedvarende forhøyet tromboserisiko, slik som ved hyperkoagulabilitetssyndromer (4, 5), og som for andre pasientgrupper med vedvarende risikofaktorer anbefalte vi derfor livslang antikoagulasjonsbehandling. Vi kjenner ikke studier på hva som er optimal varighet av antikoagulasjonsbehandling hos pasienter med Klinefelters syndrom (5). Hos en ung mann med lav blødningsrisiko ville antikoagulasjonsbehandling sannsynlig blitt gitt på ubestemt tid også ved uforklart lungeembolisme.

    Man har ikke kunnet påvise én enkeltårsak som forklarer hvorfor pasienter med Klinefelters syndrom har økt risiko for venøs tromboembolisme, men genene for faktor VIII og faktor IX befinner seg på X-kromosomet, og økte nivåer av koagulasjonsfaktorer er observert ved Klinefelters syndrom (6). Testosteronbehandling kan tenkes å øke risikoen for tromboembolisme. Derfor bør tromboserisiko vurderes før oppstart med testosteronbehandling ved Klinefelters syndrom.

    Pasienten har gitt samtykke til at artikkelen blir publisert.

    Artikkelen er fagfellevurdert.

    Kommentarer  ( 0 )
    PDF
    Skriv ut

    Anbefalte artikler