Immunsupprimert kvinne i 20-årene med magesmerter og utflod

    ()

    sporsmal_grey_rgb
    Abstract

    BACKGROUND

    Women of reproductive age who present with abdominal pain and purulent discharge are commonly seen in primary health care and gynaecological outpatient clinics. Their symptoms are often caused by sexually transmitted infections and efficiently treated with empiric antibiotics. However, in some cases diagnostics are more challenging.

    CASE PRESENTATION

    We present the history of a woman in her twenties with multiple sclerosis under rituximab treatment. She presented with a wide range of symptoms over twelve months, including upper and lower respiratory tract infections, urine bladder urgency, chronic abdominal pain, diarrhoea, bloody stools, weight loss and fatigue. She underwent urological and gastroenterological examinations which yielded normal findings. After the onset of genital discomfort and copious amounts of vaginal discharge, gynaecological examination and routine microbiological testing of discharge were negative. Finally, she presented with septicaemia and progressive abdominal pain. Laparoscopy was performed due to absence of recovery after initial transvaginal ultrasound-guided aspiration of ovarian cysts. The responsible microbe Ureaplasma urealyticum was detected in ovarian pus. Treatment with doxycycline resulted in full recovery.

    INTERPRETATION

    It is important to consider opportunistic microbes in immunocompromised patients, as they might pose a major diagnostic challenge and require the involvement of several specialties.

    Artikkel

    Blant kvinner i fertil alder representerer magesmerter og utflod en vanlig problemstilling både i primærhelsetjenesten og ved gynekologiske poliklinikker. Symptomene skyldes ofte seksuelt overførbare infeksjoner som er lette å diagnostisere og behandle. Noen ganger er det imidlertid langt mer utfordrende å stille rett diagnose.

    En kvinne i begynnelsen av 20-årene ble overført til gynekologisk avdeling etter innleggelse på gastromedisinsk avdeling grunnet magesmerter og feber. Hun presenterte en anamnese som strakk seg tolv måneder tilbake i tid (tabell 1). I de tre første av disse månedene hadde hun vært på reise i Sørøst-Asia, og under oppholdet der fikk hun intermenstruelle og postkoitale vaginalblødninger under pågående p-pillebruk. Hun hadde brukt p-piller siden 16-årsalder og hadde fast seksualpartner ved symptomstart. Hjemme i Norge oppsøkte hun fastlege, som ved gynekologisk undersøkelse ikke kunne påvise avvik. Det ble tatt prøver med tanke på gynekologiske og seksuelt overførbare infeksjoner samt cervixcytologisk prøve. Samtlige prøver var negative.

    Tabell 1

    Kronologisk tabell over måneder, hendelser og symptomer i forløpet.

    Tidspunkt (måned)

    Hendelse

    Symptomer

    1

    Reise

    Luftveissymptomer og genitale symptomer

    2

    3

    4

    Hjemkomst etter reise

    Forverring av luftveissymptomer

    5

    Vedvarende genitale symptomer

    6

    7

    Rituksimabinfusjon

    8

    Magesmerter, urinveissymptomer

    9

    Urologisk utredning

    10

    Gynekologisk utredning

    Purulent utflod

    11

    Innleggelse 1–3 (gastroenterologisk utredning)

    Økende magesmerter og tarmsymptomer

    12

    Innleggelse 4 (gynekologisk utredning)

    Infeksjonspreg

    Hos unge, seksuelt aktive kvinner som presenterer nye genitale symptomer eller endret blødningsmønster, bør seksuelt overførbare infeksjoner (blant annet klamydia) og cervixdysplasier vurderes (1). En god anamnese, gynekologisk undersøkelse og mikrobiologiske prøver fra livmorhalsen, vagina og urethra samt cervixcytologisk prøve vil som regel avdekke disse tilstandene. Mange pasienter med seksuelt overførbare infeksjoner er uten symptomer. Terskelen bør derfor være lav for å ta mikrobiologiske prøver hvis det er ubeskyttet samleie i anamnesen. Ubehandlede infeksjoner kan gi langtidskomplikasjoner som infertilitet og kroniske magesmerter (2).

    Pasienten hadde halvannet år før debut av genitale symptomer blitt diagnostisert med attakkvis multippel sklerose og hadde i like lang tid blitt behandlet med rituksimabinfusjoner med seks måneders intervaller (tabell 1). I løpet av den tre måneder lange utenlandsreisen hadde hun parallelt med genitale symptomer hatt residiverende luftveissymptomer med tørrhoste og dyspné. På turen ble hun behandlet med flere perorale antibiotikakurer med delvis eller ingen bedring. I reisens siste måned hadde hun sammenhengende luftveissymptomer med purulent ekspektorat. Like etter hjemkomst fikk hun ved røntgen thorax påvist basal fortetning i lungene, som ble behandlet med peroral penicillinkur. På grunn av manglende effekt endret man behandlingen til erytromycin, som var virksomt. Røntgen thorax etter fem uker viste klare lunger.

    Allerede på dette tidspunktet begynte fastlege å overveie om den langvarige luftveisinfeksjonen hadde sammenheng med det immunsupprimerende middelet rituksimab. Man konsulterte nevrolog, som rekvirerte polikliniske blodprøver. Disse viste leukocytter 8,4 ⋅ 109/L (referanseområde 3,5–11,5 ⋅ 109/L) med normal differensialtelling, trombocytter 317 ⋅ 109/L (165–387 ⋅ 109/L), CRP 30 mg/L (< 5 mg/L), B-celler CD19 0,0 ⋅ 106/L (88–581 ⋅ 106/L), T-hjelpeceller CD4 372 ⋅ 106/L (516–1 494 ⋅ 106/L), S-IgM 0,19 g/L (0,30–2,30 g/L), S-IgG 7,19 g/L (6,00–15.3 g/L), S-IgG1 5,84 g/L (5,2–12,7 g/L), S-IgG2 0,68 g/L (1,43–5,60 g/L), S-IgG3 0,20 g/L (0,28–1,05 g/L), S-IgG4 0,33 g/L (0,08–1,04 g/L), komplementfaktor C3 1,18 g/L (0,83–1,65 g/L) og komplementfaktor C4 0,35 g/L (0,13–0,36 g/L). B-celledeplesjon og hypogammaglobulinemi ble tolket som forventet rituksimabeffekt. Planlagt rituksimabinfusjon seks måneder etter den foregående ble opprettholdt, men på grunn av infeksjonstendensen kommenterte nevrologen at man kunne overveie å forlenge rituksimabintervallene eller vurdere annen immunterapi.

    Rituksimab er et monoklonalt antistoff som gir tilsiktet B-celledeplesjon som kan vedvare i flere år og også føre til hypogammaglobulinemi (3). Immunsuppresjonen medfører også økt risiko for blant annet luftveisinfeksjoner forårsaket av opportunistiske mikrober (3).

    Pasienten fikk sin planlagte rituksimabinfusjon syv måneder etter symptomdebut (tabell 1). En måned etter siste infusjon fikk hun konstante smerter i nedre del av magen og dysuri. Urinen var grumsete med intermitterende makroskopisk hematuri. Hun opplevde urgesymptomer og ufrivillig vannlating. Det var oppvekst av blandingsflora i urinen. Etter flere mislykkede forsøk med antibiotikabehandling ble pasienten henvist til urolog, som fant normale forhold ved cystoskopi, CT av urinveier og urodynamisk undersøkelse. På dette tidspunktet hadde pasienten hatt ni sammenhengende måneder med infeksjonssymptomer fra lunger, genitalia og urinveier.

    Nærmere 75 % av pasienter med multippel sklerose rapporterer urinblæredysfunksjon (4). Det vanligste symptomet er vannlatingstrang (urge), som skyldes manglende hemming av detrusorkontraksjon. Opptil 50 % av pasientene rapporterer tarmdysfunksjon. Dysfunksjon i blære- og tarmmuskulatur forekommer ofte sammen med motorisk dysfunksjon i underekstremiteter (4).

    Ti måneder etter debut av intermenstruelle blødninger og luftveissymptomer fikk pasienten uttalt purulent vaginal utflod (tabell 1). Hun ble henvist til gynekolog, som fant gulaktig utflod og betent vaginal slimhinne. Den gynekologiske undersøkelsen var svært smertefull. Mikrobiologiske prøver som ble tatt med tanke på gynekologiske infeksjoner, var normale.

    Den ellevte måneden etter symptomstart opplevde pasienten gastrointestinale symptomer med blodig og slimete avføring, vekselvis diaré og obstipasjon, vekttap på fire kg i løpet av tre uker, nattesvette og episoder med febrilia (tabell 1). Dette resulterte i tre sykehusinnleggelser. Ved den første innleggelsen var pasienten lett palpasjonsøm i venstre nedre del av abdomen. Blodprøver viste leukocytter 12,2 ⋅ 109/L og CRP 28 mg/L. CT av abdomen var normal. Pasienten opplevde spontan bedring og ble skrevet ut påfølgende dag med henvisning til poliklinisk koloskopi. Etter ett døgn ble hun reinnlagt på grunn av smerter, og igjen utskrevet påfølgende døgn, da smertene klinget av. Den tredje innleggelsen fulgte fire dager senere. Ved klinisk undersøkelse var hun palpasjonsøm over øvre del av abdomen, og hun ble utredet for inflammatorisk tarmsykdom. Utredning viste lett forhøyet konsentrasjon av fekal kalprotektin på 150 µg/g (< 50 µg/g). Koloskopi viste normale slimhinner i terminale ileum og kolon. Biopsier fra terminale ileum hadde uspesifikke forandringer; biopsier fra kolon var normale. Ultralydundersøkelse av abdomen inkludert lever og galle, CT av abdomen og MR av tynntarm ble bedømt som normale. Pasienten ble utskrevet med avtale om poliklinisk kontroll etter en måned.

    Det forelå ingen sikker indikasjon på at tilstanden representerte inflammatorisk tarmsykdom, da man ikke kunne påvise endoskopiske eller radiologiske forandringer. Det histologiske bildet sammen med kun lett forhøyet kalprotektin var uspesifikt. Symptomene ved Crohns sykdom er magesmerter, diaré (med eller uten blodtilblanding), vekttap og fatigue (5). Symptomer fra genitalia interna kan forekomme ved abscesser i det lille bekkenet eller fisteldannelse. Enterovesikale fistler gir residiverende urinveisinfeksjoner; enterovaginale fistler gir tarmgass eller avføring per vaginam. Fistler ved Crohns sykdom forekommer hos 15–50 % av pasientene, hvorav halvparten er perianale og en fjerdedel enteroenterale. Øvrige fistler kan være gynekologiske eller andre typer (6).

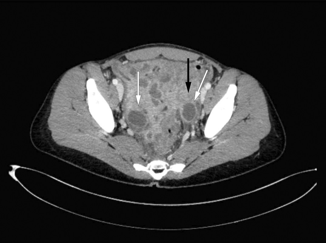
    Pasienten ble innlagt for fjerde gang i løpet av fire uker, med økende magesmerter, medtatthet, infeksjonspreg og organpåvirkning. Dette var tolv måneder etter symptomstart. Hun hadde høy respirasjonsfrekvens på 24 pust/min, feber på 38,5 °C, takykardi på 100 slag/min og blodtrykk på 106/64 mm Hg. Ved undersøkelse var hun svært palpasjons- og slippøm i nedre del av abdomen. Blodprøver viste leukocytose på 17,9 ⋅ 109/L med overvekt av nøytrofile granulocytter på 15,6 ⋅ 109/L (1,7–8,2 ⋅ 109/L), høy CRP på 200 mg/L og forhøyede galleparametre med S-ALP (alkalisk fosfatase) på 178 U/L (35–105 U/L) og S-GT (gamma-glutamyltransferase) på 159 U/L (10–45 U/L). Det ble startet antibiotikabehandling med piperacillin og tazobaktam grunnet mistanke om intraabdominal abscess. Gastroenterolog foretok ultralydundersøkelse av abdomen, spesielt med fokus på tarm og bekkenområdet, og påviste forandringer i begge adneks og fortykket tarmvegg i colon sigmoideum. CT av abdomen, som inkluderte det lille bekkenet, viste bilaterale ovarialabscesser (figur 1). Blodkultur og urinkultur tatt ved innleggelse var uten oppvekst. Det var negativ serologisk prøve for hepatitt A, B og C, hiv og syfilis. Tuberkulosetesten Quantiferon-TB-Gold var negativ.

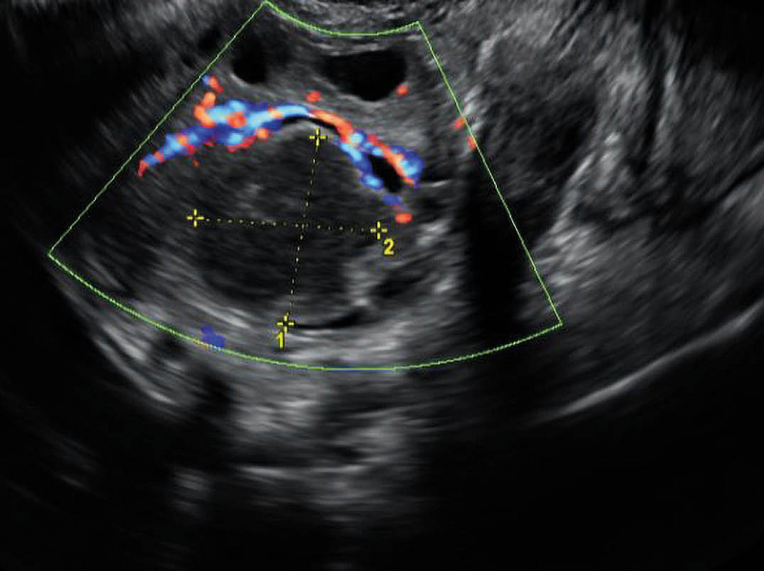
    Ved gynekologisk undersøkelse var pasienten påfallende smertepåvirket ved innsetting av vaginalt spekulum. Det var rikelig gulaktig, seigtflytende utflod uten spesiell lukt. Transvaginal ultralydundersøkelse viste bilaterale ekkofattige oppfylninger i ovariene (figur 2). Det ble utført ultralydveiledet transvaginal punksjon med moderat utbytte av puss. Dette ble dyrket med tanke på gonokokker og mykobakterier i tillegg til vanlig aerob og anaerob dyrkning. Prøvematerialet ble sendt på baktuspinne (eSwab). Det ble utført ny mikrobiologisk testing fra cervix- og vaginalsekret med PCR for Chlamydia trachomatis og Neisseria gonorrhoeae. Antibiotika ble i samråd med infeksjonsmedisiner skiftet til ceftriakson og metronidazol. Dette regimet er virksomt mot bukabscess samt gonokokker.

    Bekkeninfeksjon (pelvic inflammatory disease, PID) er en akutt eller kronisk infeksjon i øvre genitaltraktus, som kan lede til endometritt, salpingitt, ooforitt, perihepatitt, peritonitt og tuboovariell abscess. Tuboovariell abscess er ofte uttrykk for ascenderende infeksjon, forårsaket av agens som er assosiert med seksuelt overførbare infeksjoner fra vaginalflora eller sekundære infeksjoner fra gastrointestinalsystemet. Pasientene har oftest feber, nedsatt allmenntilstand og smerter. Tilstanden er potensielt livstruende og krever aggressiv behandling. Gjelland og medarbeidere viste i 2005 at ultralydveiledet transvaginal tapping i kombinasjon med antibiotika er en trygg behandlingsmetode av tuboovariell abscess, og foreslo dette som førstelinjebehandling (7).

    Initialt observerte man klinisk og biokjemisk respons etter transvaginal tapping, men pasienten fikk på nytt febertopper opp mot 39 °C og stigende infeksjonsprøver etter fem dager. Mikrobiologiske prøver fra ovariet var negative. Seks dager etter tappingen gjorde man diagnostisk laparoskopi og fant en inflammert og totaladherent buk samt rikelige mengder puss i bekkenet (figur 3 og 4). Det ble gjort omfattende adheranseløsning og skylling. Nye mikrobiologiske prøver ble tatt. Denne gangen ble det sendt inn rikelig mengde puss på sterilt glass.

    I tillegg til aerob og anaerob dyrkning ble sanntids-PCR av 16S rRNA-genet utført direkte fra puss, og Ureaplasma urealyticum ble påvist.

    Diskusjon

    Diskusjon

    Vår pasient hadde i halvannet år vært immunsupprimert med rituksimab og fikk sannsynligvis økt tendens til øvre luftveisinfeksjoner som komplikasjon. Resten av sykehistorien passer med lavgradig infeksjon med en opportunistisk mikrobe, Ureaplasma urealyticum, som gradvis utviklet seg til en disseminert infeksjon.

    Genuset Ureaplasma tilhører familien Mycoplasmataceae, som blant annet kan gi genitale infeksjoner. Mikroben ansees å være en del av normal genitalflora hos seksuelt aktive kvinner og menn, men er potensielt patogen (8). Disseminert infeksjon kan sees hos immunkompromitterte. U. urealyticum har ikke blitt påvist som årsak til luftveisinfeksjoner hos voksne, men kan gi lungesykdom hos nyfødte (9).

    En lignende kasuistikk beskriver systemisk infeksjon med U. urealyticum hos en 27 år gammel kvinne under rituksimabbehandling for multippel sklerose (10). Pasienten hadde høy feber og magesmerter. CT-undersøkelse avdekket bilaterale nyreabscesser. Hun responderte på peroral doksysyklinbehandling over seks uker. Rapporten beskriver 23 andre tilfeller av invasiv infeksjon med ulike Ureaplasma spp. med varierende organmanifestasjoner. Fellestrekket for nesten alle pasienter er immunsuppresjon eller pågående kreftbehandling.

    Vår pasient fikk to ukers behandling med doksysyklin, med komplett respons. Hun ble utskrevet etter to ukers innleggelse ved gynekologisk avdeling, og deretter fulgt med ukentlige blodprøvekontroller, som viste normalisering av leukocytt- og CRP-nivå etter en uke. Det var normale funn ved gynekologisk undersøkelse to uker etter utskrivelsen. Pasienten hadde ingen symptomer og følte seg frisk. Hun ble informert om økt risiko for infertilitet, særlig nedsatt tubefunksjon som følge av bekkeninfeksjonen, og mulighet for assistert befruktning i tilfelle hun skulle oppleve ufrivillig barnløshet. Kroniske magesmerter er en annen komplikasjon til alvorlig bekkeninfeksjon. Ved kontroll hos nevrolog ble det besluttet å seponere behandlingen med rituksimab. Det ble sendt melding til Statens legemiddelverk, som konkluderte med mulig årsakssammenheng mellom bruken av rituksimab og pasientens infeksjoner.

    Ved lang sykehistorie og manglende effekt av antibiotikabehandling er det nødvendig å lete etter bakterielt DNA med PCR (11). Et vanlig målgen er 16S rRNA-genet som koder for en del av 30S-ribosomet. Siden dette genet finnes i alle bakterier, kan man med denne metoden i prinsippet identifisere enhver bakterie til stede i prøven (både døde bakterier og bakterier som ikke vokser på vanlige dyrkningsmedier, slik som U. urealyticum). Hos vår pasient ble det initialt sendt inn baktuspinne dyppet i puss. Dette transportmediet er lite egnet til generell bakterie-PCR. Vi tester ikke rutinemessig for U. urealyticum, men hos pasienter under pågående immunsuppresjon er det viktig å tenke på sjeldne agens. Bredest mulig mikrobiologisk diagnostikk oppnås ved innsending av puss på sterilt glass uten tilsetning, i tillegg til vanlige transportmedier med pensel.

    Konklusjon

    Konklusjon

    Alvorlige infeksjoner hos immunsupprimerte pasienter kan medføre diagnostiske utfordringer. Vår kasuistikk belyser hvor viktig det er å drenere puss ved pussdannende infeksjoner, ikke bare i terapeutisk, men også i diagnostisk hensikt. Den illustrerer at rikelig prøvemateriell for mikrobiologisk genetisk analyse og godt samarbeid på tvers av ulike medisinske spesialiteter er nødvendig.

    Pasienten har gitt samtykke til at artikkelen blir publisert.

    Artikkelen er fagfellevurdert.

    Kommentarer  ( 0 )
    PDF
    Skriv ut

    Anbefalte artikler