Hoftelidelser hos barn og unge – utredning og behandling av senfølger

    ()

    sporsmal_grey_rgb
    Abstract

    The consequences of hip disorders and hip injuries in children and adolescents may require surgical intervention. Joint-preserving procedures performed between the ages of 12 and 21 years often give good long-term results and may postpone the need for prostheses. In patients aged less than 21 years, more than 90 % of modern hip prostheses implanted in the last two decades are intact after ten years.

    Artikkel

    Følgene av hoftesykdom og hofteskader hos barn og unge kan kreve kirurgisk intervensjon. Leddbevarende inngrep utført i 12–21-årsalderen gir ofte gode langtidsresultater og kan utsette behovet for proteseinngrep. Hos pasienter under 21 år er mer enn 90 % av de moderne hofteprotesene som er satt inn de siste to tiårene, intakte etter ti år.

    Alvorlige hoftesymptomer og røntgenologiske forandringer i eller rundt hofteleddet hos barn og unge representerer en ortopedisk utfordring. Det kan være pasienter med følgetilstander etter hoftedysplasi, Calvé-Legg-Perthes' sykdom (CLP), idiopatisk avaskulær nekrose av caput femoris (AVN), glidning av caput femoris i fysen (SCFE), femoroacetabulær inneklemming (femoroacetabular impingement, FAI), lårhals- eller bekkenbrudd eller pyogene artritter. Noen av tilstandene kan i løpet av få år medføre store patologiske forandringer i caput femoris, i en del tilfeller også i acetabulum (hofteleddskålen), slik at pasientene får betydelige smerter og stor funksjonsnedsettelse.

    Å fjerne de patologiske forandringene og implantere hofteprotese er mindre aktuelt hos de svært unge pasientene, siden de risikerer flere revisjonsinngrep i løpet av livet. Formålet med artikkelen er å gi en oversikt over utredning og behandling av senfølgene av disse hoftelidelsene hos pasienter i aldersgruppen 12–21 år, og å redegjøre for langtidsresultatene etter leddbevarende kirurgi og etter proteseinnsetting. Kunnskapsgrunnlaget baserer seg på forfatternes kliniske erfaringer og vitenskapelige studier som omhandler resultatene av konservativ behandling og hofteleddmodifiserende kirurgi med minst ti års oppfølging.

    Patoanatomi og symptomer

    Patoanatomi og symptomer

    Prinsipielt sitter patologien enten i hofteskålen (f.eks. acetabulær dysplasi, retroversjon) eller i lårhodet (f.eks. glidning av caput femoris i fysen, Calvé-Legg-Perthes' sykdom). Glidning av caput femoris i fysen skal alltid kirurgisk akuttbehandles. Senfølgene, selv ved moderate glidninger, kan gi avaskulær nekrose. Strukturelle forandringer gir unormal mekanisk belastning i hofteleddet, med økt risiko for senere artroseutvikling (1). Femoroacetabulær inneklemming er påleiring på acetabulum eller formforandring av caput og påleiring i caput–collum-overgangen eller en kombinasjon av disse deformitetene (2) (figur 1). Noen pasienter med disse forandringene har i tidlig fase instabilitetsfølelse og bevegelsessmerter, mens andre ikke har symptomer før det er manifest artrose. Inflammatorisk leddsykdom, som for eksempel juvenil idiopatisk artritt, gir i våre dager sjelden alvorlig hoftepatologi.

    Ikke-kirurgisk behandling

    Ikke-kirurgisk behandling

    Ikke-operativ behandling av hoftelidelser hos barn og unge går ut på å opprettholde bevegelsesutslag og styrke bekken- og lårmuskulatur. Ved vedvarende plager er det nødvendig å modifisere symptomgivende fysiske aktiviteter. Fysikalsk behandling kan være med på å utsette kirurgi, men det mangler dokumentasjon på langtidseffekter (3, 4). Antiinflammatoriske medikamenter, eventuelt i kombinasjon med paracetamol, kan brukes, men kontinuerlig langtidsbehandling over år er sjelden aktuelt hos de yngste.

    Avlastning med krykker kan være aktuelt hvis det gir symptomlindring, likeledes aktiviteter med lite leddbelastning som svømming og sykling. Bisfosfonatbehandling kan ha smertelindrende effekt ved avaskulær nekrose, men det er ingen randomiserte kontrollerte studier som viser effekt på nedbrytningsprosessen av ben. Behandling på denne indikasjonen må anses som eksperimentell (5). Det finnes heller ikke litteratur som støtter leddinjeksjoner med mesenkymale stamceller eller hyaluronsyre for å reversere eller stoppe utviklingen av degenerative prosesser i hofteleddet hos de yngste (6).

    Kirurgiske teknikker

    Kirurgiske teknikker

    De morfologiske forandringene ved femoroacetabulær inneklemming kan bedres ved åpen eller artroskopisk teknikk. Vanligst er artroskopisk teknikk, der man fjerner de benede delene på acetabulum og/eller på lårhalsen som gir mekanisk hinder ved bevegelser. Resultatene av kirurgi er gode, selv om få studier spesifikt omhandler den yngste pasientgruppen (2, 7, 8).

    Ved andre hoftelidelser, spesielt hoftedysplasi og subluksasjoner, kan man gjøre bekkenosteotomier for å oppnå god caputdekning og leddstabilitet. Takplastikk, hvor acetabulums dekningsgrad økes ved bentransplantat som ved Spitzys prosedyre (figur 2), er et kirurgisk alternativ hos barn over åtte år (9). Fra 12-årsalderen og hos utvokste pasienter brukes oftest periacetabulær osteotomi (PAO) (10). Prosedyren går ut på reorientering av acetabulum for å gi bedre caputdekning (figur 3).

    Resultatene ved takplastikk og periacetabulær osteotomi er betydelig bedre uten preoperativ hofteleddsartrose (11, 12). I en norsk studie av dysplasipasienter uten artrose operert med takplastikk i alderen 12–22 år var det i bare 28 % av hoftene satt inn totalprotese etter 30 års oppfølging (9). I en tilsvarende britisk studie var 75 % av hoftene uten totalprotese etter ti år (12). For dysplasipasienter uten artrose kan også periacetabulær osteotomi være et godt leddbevarende inngrep. En sveitsisk studie med slike pasienter operert i alderen 13–56 år viste at 40 % hadde fått hofteprotese etter 30 år (11).

    Til tross for initialt gode resultater ved bekkenosteotomi kan hofteleddene på ny utvikle deformiteter og smerter. Hvis det ikke er gode bæreflater igjen i leddet, kan hofteprotese være eneste mulige kirurgiske løsning når det er uttalte plager. Hofteartrodese er ikke lenger et aktuelt kirurgisk tilbud pga. økt belastning på andre vektbærende ledd og fordi pasientene erfaringsmessig kan ha vansker med å akseptere et avstivet hofteledd.

    Hofteproteser hos unge

    Hofteproteser hos unge

    Pasienter under 21 år utgjør bare 0,1 % av alle som får hofteprotese i Norden (13). Ortopeder vil helst ikke sette inn hofteproteser hos de yngste, fordi protesen sannsynligvis må byttes ut minst én gang i løpet av pasientens levetid. En revisjonsprotese har mindre forutsigbare resultater og kortere levetid enn en primærprotese (14, 15). Hos en ung pasient kan man risikere flere revisjonsinngrep i løpet av livet.

    For protesepasienter operert før de var 20 år i perioden 1987–2010 var ti års komponentoverlevelse 70 % (i betydningen ingen utskifting av protesedeler i perioden). For proteser innsatt fra 1999 var tiårsoverlevelsen så god som 94 % (14). Det er grunn til å tro at fremgangen i proteseoverlevelse har fortsatt, siden man de seneste årene har brukt mer veldokumenterte protesekomponenter. I et nordisk materiale med 881 hofteproteser hos pasienter under 21 år innsatt i perioden 1995–2016, var protesens tiårsholdbarhet 86 % og 15-årsholdbarhet 73 % (13). I siste årsrapport fra Nasjonal kompetansetjeneste for leddproteser og hoftebrudd angis at tiårsoverlevelsen av hofteproteser hos pasienter i alle aldre nå er 95 % (16).

    De vanligste årsakene til reoperasjoner etter hofteproteseinnsetting er aseptisk løsning, infeksjon og luksasjon. I et materiale med de yngste protesepasientene ble henholdsvis 7 %, 0,7 % og 1,2 % av pasientene reoperert på disse indikasjonene (13). Selv om proteseoverlevelsen også hos unge er i ferd med å nå et akseptabelt nivå, vet vi lite om hvordan de unge har det med sin protese. Nasjonal kompetansetjeneste for leddproteser og hoftebrudd har begynt å registrere pasientenes selvrapporterte helse (PROM), og 27 sykehus følger nå opp denne registreringen (16). Svenskene startet tidligere med en slik systematisk PROM-registrering. I en ny studie fant de like god helsegevinst av proteseoperasjonene hos pasienter under 30 år som hos de eldre protesepasientene (17).

    Henvisning og oppfølging

    Henvisning og oppfølging

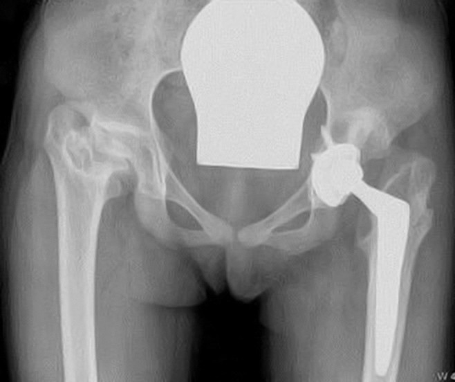
    Slik vi ser det, må konservative tiltak, inkludert fysioterapi, være prøvd i noen måneder før pasienten henvises til kirurgisk vurdering. Henvisningen bør inneholde fyldig dokumentasjon om tidligere undersøkelser og behandling. Våre anbefalinger fremkommer i ramme 1. Dersom pasienten har hoftedysplasi med eller uten subluksasjon og uten artroseforandringer, bør takplastikk eller periacetabulær osteotomi vurderes. I de tilfellene hvor hofteleddets bæreflater er ødelagt, kan det være indisert med proteseinnsetting også hos pasienter under 21 år (figur 4). Prosessen som fører frem til en slik indikasjonsstilling, er krevende. Pasienten bør inngående og ved gjentatte konsultasjoner informeres om hva man kan forvente av operasjonen og risikoen for fremtidig revisjonskirurgi. I spesialistkonsultasjonen bør det være både en protesekirurg og en barneortoped som kjenner pasienten. Pasientene må kontrolleres jevnlig etter operasjonen, da det er vist at de unges proteser kan ha bekymringsfulle røntgenologiske slitasjetegn uten at symptomene er alvorlige (14).

    Ramme 1 Forfatternes erfaringsbaserte anbefalinger for vurdering og henvisning av pasienter 12–21 år med hoftelidelser

    Anamnesen skal være utførlig, med symptomutvikling og tidligere behandling

    Klinisk undersøkelse skal omfatte også andre store ledd og ryggen

    Det må tas røntgen av bekken (symfysesentrert), front og innskutt sidebilde

    MR er kun nødvendig hvis det ikke er samsvar mellom kliniske funn og røntgenologiske funn

    Konservative tiltak, inkludert fysioterapi, bør være gjennomført over måneder

    Henvisning sendes til sykehus som har både barneortopeder og revisjonskirurger

    Artikkelen er fagfellevurdert.

    Kommentarer  ( 0 )
    PDF
    Skriv ut

    Anbefalte artikler