En mann i 60-årene ble innlagt med ødemer, tungpustethet og hypertensjon. Det var starten på et langtrukkent og uvanlig sykdomsforløp med diagnostiske og behandlingsmessige utfordringer.
En mann i 60-årene med kjent astma, kronisk obstruktiv lungesykdom og seboreisk eksem ble under en ferie innlagt i sykehus grunnet økende hevelse i ansiktet og underekstremitetene samt dyspné som hadde vart noen uker. Han sto på tiotropiumbromid, montelukast og simvastatin, og hadde brukt betametasonsalve inntil for to måneder siden. Han hadde røykt cirka én pakke tobakk per uke, men sluttet fire år før det aktuelle. Gjennom flere år hadde han merket redusert muskelkraft, mer irritabelt humør, økende bukomfang og tendens til blåmerker.
Klinisk undersøkelse viste at pasienten var afebril, med blodtrykk 195/118 mm Hg, respirasjonsfrekvens 24 per minutt, regelmessig puls på 96 slag/min og SaO2 94 %. Vekten var 81 kg, mot selvoppgitt 71 kg to måneder tidligere. Han hadde generalisert ødem, proksimal myopati og rundt ansikt, men ikke fettansamling i nakken eller striae.
Hematologiske blodprøver viste normale funn, CRP 13 mg/l (referanseverdi < 5), glukose 11,2 mmol/l (4,2–6,3), HbA1c 54 mmol/mol, kalium 2,3 mmol/l (3,5–4,4) og kreatinin 66 µmol/l (60–105). Han hadde lett troponin T-stigning med 69–57 ng/l (< 15) og normale proBNP-verdier. EKG viste sinusrytme med negativ T i nedreveggsavledninger og ST-depresjoner i V3–V6. Ekkokardiografi viste ejeksjonsfraksjon 55 % og mulig lett nedsatt kontraktilitet i septum basalt. CT thorax viste ingen tegn til lungeemboli. CT abdomen og bekken viste betydelig økt tetthet i krøset, som ga mistanke om pannikulitt eller pankreatittsekvele med fettvevsnekrose.
Ved akuttinnleggelse på grunn av dyspné og ødemer er det flere tilstander som må vurderes, inkludert hjertesvikt og lungeemboli. Man fant etter initial utredning ikke holdepunkter for dette. Symptomer og funn ga mistanke om hyperkortisolisme.
Hormonblodprøver viste morgenkortisol 1 620 nmol/l (130–600), adrenokortikotropt hormon (ACTH) 9,6 pmol/l (2,0–11,4), tyreoideastimulerende hormon (TSH) 0,24 mIE/l (0,2–4,3), fritt tyroksin (FT4) 7 pmol/l (9–22), follikkelstimulerende hormon (FSH) 4,6 IU/l (< 12), luteiniserende hormon (LH) 1,5 IU/l (< 9), testosteron 2,3 nmol/l (10–28), seksualhormonbindende globulin (SHBG) 24 nmol/l og prolaktin 170 mIU/l (86–324). Kortisolnivået på kvelden var 1 270 nmol/l.
Sammen med det kliniske bildet ga forhøyet kortisol uten døgnvariasjon og ACTH i øvre normalområde mistanke om ACTH-avhengig Cushings syndrom. Slike verdier kan imidlertid også ses som fysiologisk respons på en akutt sykdom. Figur 1 viser kroppens regulering av kortisolproduksjon.
Det ble utført kort deksametason-suppresjonstest ramme 1) ((1), hvor morgenkortisol var 1 050 nmol/l, dvs. upåvirket.
1. Primærutredning ved mistanke om Cushings syndrom
-
a) Kort deksametason-suppresjonstest: 1 mg deksametason gis kl 23. Neste morgen kl. 8 måles kortisol, som skal være supprimert (< 50 nmol/l). Falskt høy verdi kan ses ved
-
rask nedbryting av deksametason, f.eks. ved enzyminduksjon grunnet annen medikasjon (fenytoin, karbamazepin, glitazoner)
-
økt kortisolbindende globulin på grunn av østrogentilskudd/p-piller
-
-
b) Døgnurinsamling med måling av fritt kortisol. Feilkilder:
-
ufullstendig samling (falskt lav verdi)
-
stort urinvolum (falskt høy verdi)
-
alvorlig stress, akutt sykdom, depresjoner, fedme, polycystisk ovariesyndrom (falskt høy verdi)
-
nyresvikt (GFR<30 ml/min) (falskt lav verdi)
-
-
c) Spyttkortisol kveld. Falskt forhøyet verdi kan ses ved:
-
Blodtilblanding fra munnslimhinne
-
Unormal døgnrytme
-
2. Videre utredning etter påvist Cushings syndrom
Ved videre utredning skal man skille ACTH-avhengig fra ACTH-uavhengig Cushings syndrom. ACTH måles på morgenen kl. 8–9:
-
ACTH > 4,4 pmol/l = ACTH-avhengig
-
ACTH < 2,0 pmol/l = ACTH-uavhengig
-
ACTH 2,0–4,4 pmol/l = gråsone
3. Videre utredning ved ACTH-avhengig Cushings syndrom
Ektopisk ACTH-overproduksjon skal skilles fra ACTH-produserende hypofysetumor. Dette er basert på at en hypofysetumor til en viss grad lar seg påvirke av sedvanlige reguleringsmekanismer.
-
Utvidet deksametason-suppresjonstest: Deksametason 0,5 mg × 4 gis over to dager, og serum-kortisol måles påfølgende morgen. Kortisol forventes å falle minst 30 % ved ACTH-produserende hypofysetumor.
-
CRH-test: 100 µg kortikotropinfrigjørende hormon (CRH) injiseres, og s-kortisol og ACTH måles før injeksjon og etter 15 og 30 minutter. En ACTH-produserende hypofysetumor responderer på dette med stigning i nivåer av ACTH og kortisol, hvor kortisol forventes å stige minst 20 % ved ACTH-produserende hypofysetumor.
Suppresjonstesten styrket mistanken om Cushings syndrom. Med så pass høye ACTH-verdier er autonom produksjon i binyre utelukket, men det vil være usikkert om det er hypofysetumor eller ektopisk produksjon som har forårsaket verdiene. Nærmere avklaring baseres på at en ACTH-produserende hypofysetumor til en viss grad lar seg påvirke av sedvanlige reguleringsmekanismer (ramme 1).
Det ble gjort deksametason-suppresjonstest over to døgn og CRH-test, uten at kortisol- eller ACTH-verdiene endret seg. MR hypofyse viste normale funn.
Pasienten hadde også påvirkning av flere hypofyseakser, med lav testosteronverdi sammen med lave gonadotropinverdier (hypogonadotrop hypogonadisme) samt lav TSH-verdi sammen med lav FT4-verdi (sekundær hypotyreose). Begge kunne peke mot hypofysær sykdom, hvor manglende stimulering fra hypofysen medfører svekket hormonproduksjon i endeorganene testikler og tyreoidea. Imidlertid kan alvorlig sykdom gi suppresjon av gonadotrop akse (1), og tyreoideaprøvene kunne passe med ikke-tyreoidal sykdom (2).
Parallelt med primærutredningen ble pasienten satt på behandling for hypertensjon, hypokalemi og hyperglykemi i form av spironolakton, amlodipin, kaliumklorid og insulin. Samlet ga resultatene mistanke om ektopisk Cushings syndrom, og han ble etter seks dager overflyttet til sitt lokale universitetssykehus for videre utredning. Allmenntilstanden var da betydelig bedre.
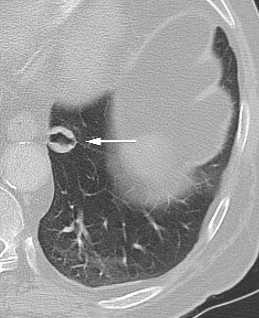
Ny CT thorax og abdomen ble tatt ti dager etter forrige CT. Igjen fant man en 10 × 15 cm stor oppfylning i mesenteriet. Ved biopsi fra oppfylningen ble det kun påvist bindevev og områder med muciner. Det var ikke påvisbare celler i rutinefarget snitt. Immunhistokjemiske undersøkelser var negative for de nevroendokrine markørene kromogranin, synaptofysin og CD56 samt epitelmarkøren cytokeratin (CK). Det var usikkert om biopsimaterialet var representativt. Karsinoembryonalt antigen (CEA) og glykoproteinet CA125 i serum var begge normale. Samlet sett oppfattet vi oppfylningen som mulig fettvevsnekrose.
Regranskning av de to tidligere CT-undersøkelsene viste en rund kontrastladende kaviterende fortetning på 16 mm (figur 2) i venstre underlapp nær øsofagus. Transøsofageal ultralyd med finnålsaspirasjonscytologi påviste noen få grupper tettliggende celler med tydelige cellegrenser, lite cytoplasma og kjerner med lett kornet kromatin uten tydelig nukleol. Cellene ble oppfattet som lett atypiske, men av uviss opprinnelse. I tillegg inneholdt prøven regelmessige plateepitelceller og sannsynlig reaktivt sylinderepitel, antatt fra stikkanal gjennom øsofagus og lunge. Materialet var for sparsomt for immunhistokjemiske undersøkelser.
To uker etter finnålsaspirasjonscytologien ble det ble gjort positronemisjonstomografi (PET) med fluorodeoksyglukose (FDG) og CT som viste økt opptak av fluorodeoksyglukose i distale deler av øsofagus samt i lungeforandringen. Opptaket kunne skyldes gjennomgått prosedyre, og man planla derfor gjentatt undersøkelse etter 5–6 uker. Pasienten var imidlertid blitt dårligere, og man startet behandling med ketokonazol.
Medikamentell behandling av hyperkortisolisme baserer seg på hemming av forskjellige ledd i steroidsyntesen. Ketokonazol hemmer flere enzymer i steroidsyntesen, har langsomt innsettende effekt og kan gi blant annet gynekomasti og levertoksisitet. Metyrapon gir raskere effekt og hemmer kun siste trinn av kortisolsyntesen. Samtidig øker nivåene av binyreandrogener, som kan gi hirsutisme hos kvinner. Etomidate har også rask effekt og administreres intravenøst. Dette brukes som anestesimiddel, kan gi sedasjon og krever at pasienten blir overvåket. Vårt valg var pragmatisk basert på hva som var tilgjengelig innen rimelig tid.
Tre uker senere ble pasienten innlagt med buksmerter, kvalme og oppkast. Han hadde utspilt buk med palpasjonssmerter i epigastriet, normale tarmlyder og høye inflammasjonsmarkører. Det ble startet behandling med cefotaksim mot infeksjon uten sikkert fokus. CT abdomen viste voksende oppfylning som nå strakk seg fra mesenteriet og opp til pankreas og duodenum. CRP steg til 443 mg/l, og antibiotika ble endret til piperacillin/tazobaktam. Blodkulturene var negative. Han var vedvarende afebril, men samtidig immunsupprimert pga. steroidoverproduksjon. På vital indikasjon ble det utført laparotomi. Man fant en stor abscess og nekrotisk vev, som ved nekrotiserende pankreatitt. Abscesshulen ble tømt og dren innlagt.
Etter hvert tømte det seg gallelignende væske i drenene, og man mistenkte tynntarmsperforasjon. Det ble gjort gastroskopi, uten tegn til perforasjon av duodenum, men ved reoperasjon fant man en perforasjon helt mot Treitz' ligament. Denne ble lukket. Kromogranin A-verdien var lett forhøyet, på 10 nmol/l (< 6). Ny FDG-PET/CT ble utført, og det ble ikke sett økt FDG-opptak knyttet til lungetumor/øsofagus, som ved første undersøkelse. Oktreotidscintigrafi avdekket heller ikke patologisk akkumulasjon av somatostatinreseptorpositivt vev.
Utredningen så langt viste ikke entydig at det forelå en ACTH-produserende lungetumor. Kromogranin A-verdien, som er økt ved de fleste nevroendokrine tumorer, var lett forhøyet. Imidlertid var prøven tatt etter at pasienten hadde begynt med protonpumpehemmer, hvilket kan gi falskt forhøyede verdier. Dessverre ble det ikke fanget opp at pasientens glukosenivå var forhøyet ved den andre FDG-PET-undersøkelsen, noe som øker risikoen for falskt negative funn.
Pasienten kom seg greit etter operasjonen og ble utskrevet til opptrening på sykehjem. Behandling med ketokonazol ble etter hvert endret til metyrapon, da det lot seg skaffe. Han kom seg raskt under rehabiliteringsoppholdet, og allmenntilstanden var betydelig bedre da han en måned senere ble innlagt for ny evaluering. Denne gangen hadde han morgenkortisol på 755 nmol/l (ACTH 18,7 pmol/l) og kveldsverdi 393 nmol/l (ACTH 11,2 pmol/l). Kortisolverdien falt til 140 nmol/l etter kort deksametason-suppresjonstest. Døgnurinmåling viste fritt kortisol på 267 nmol/24 t (45–272 nmol/24 t).
Vi tolket tendensen til normalisering av kortisolverdiene til at det hele hadde vært en fysiologisk respons på interkurrent sykdom. Mistanken om at det fortsatt kunne foreligge en ACTH-produserende tumor, var dermed svekket.
Behandlingen med metyrapon, spironolakton og amlodipin ble avsluttet. Pasienten fikk opptrening og gjeninnhentet gradvis vekt og muskulatur. Fire måneder etter operasjonen var blodtrykket normalt uten medikasjon og vekten 68 kg. Ytterligere 12 måneder etter dette var klinisk status tilfredsstillende, og morgenkortisol 266 nmol/l. Oppfølgingen ved endokrinologisk poliklinikk ble da avsluttet.
Ytterligere to år senere ble det på kontroll hos lungelege bemerket økende sentral fedme, og det ble målt kortisol kl. 14, som var 750 nmol/l. Han ble innlagt for ny endokrinologisk utredning. Her kom det frem at han det siste halvåret på nytt var blitt hoven i ansiktet, fikk lettere blåmerker og var mer urolig. Han hadde hypertensjon, 160/105 mm Hg, rundt ansikt og sentral fedme med tynne ekstremiteter. Bentetthetsmåling avdekket osteopeni med T-skår −1,9 i lårhalser. Kortisolverdiene var 437 nmol/l morgen og 529 nmol/l kveld, med korresponderende ACTH-verdier 17,4 og 16,7 pmol/l. Kveldsverdiene for kortisol i spytt var forhøyet, og kortisol ble ikke supprimert verken etter kort eller lang deksametason-suppresjonstest. Døgnurinsamlingen viste fortsatt normal mengde fritt kortisol, og MR hypofyse viste normale funn. CT avdekket cystiske forandringer i pankreas med utvidelse av pankreasgang, og tumoren i venstre lunges underlapp målte 17 mm og var blitt mer homogen. Tumor ble beskrevet å ha bred tilfesting til pleura og kunne være pleural. CT-funnet i pankreas ble vurdert til ikke å være malignitetssuspekt, og kontroll med magnetisk resonanskolangiopankreatografi (MRCP) ble planlagt seks måneder frem i tid.
Ved regranskning av bildene fant man imidlertid en hypervaskulær lesjon i colon ascendens som kunne være forenlig med nevroendokrin tumor (NET). Parallelt kom prøvesvarene at pro-gastrinfrigjørende peptid (proGRP) var 4 053 ng/l (< 80 ng/l) og nevronspesifikk enolase (NSE) 9,5 µg/l (< 12 µg/l).
På nytt forelå mistanke om ektopisk Cushings syndrom. Forhøyet proGRP styrket mistanke om tumor med nevroendokrin differensiering, men siden lungelesjonen var tilnærmet uendret over tre år, FDG-opptak ikke var økt på siste FDG-PET/CT eller var synlig på oktreotidscintigrafi, og finnålsaspirasjonscytologi tidligere var gjort, ville vi avvente resultatene fra planlagt koloskopivurdering før ny lungeutredning.
Ved koloskopiundersøkelse gjenfant man ingen tumor i colon ascendens, men små polypper lenger distalt. Histologi viste tubulære adenomer med lavgradig intraepitelial neoplasi. Kromogranin A-verdien var nå 5,6 nmol/l (endret ref. < 3,5). Ny oktreotidscintigrafi var negativ. Før planlagt lungeutredning ble pasienten innlagt med muskelsvakhet, generell hevelse og psykisk uro. Kortisol- og ACTH-verdier var stigende til henholdsvis rundt 900 nmol/l og 22 pmol/l både morgen og kveld. Kortisol i spytt kveld og kortisol i døgnurin var begge sterkt forhøyet.
På bakgrunn av tidligere sykehistorie, der vi hadde konkludert med en fysiologisk forbigående kortisoløkning, avventet vi oppstart av medikamenter rettet mot kortisoloverproduksjon og planla snarlig endoskopisk ultralydundersøkelse og finnålsaspirasjonscytologi av lungetumor.
Pasienten utviklet i mellomtiden magesmerter og utspilt buk. Grunnet respirasjonsbesvær ble han lagt på intensivpost med respirasjonsstøtte. Endoskopisk ultralydundersøkelse måtte utsettes, men man gjorde ny FDG-PET/CT fire år etter siste undersøkelse. Denne gangen var det økt FDG-opptak basalt i venstre underlappstumor (figur 3).
CT abdomen viste funn forenlig med akutt nekrotiserende pankreatitt. Pasienten ble ansett som inoperabel grunnet komorbiditet og ble behandlet konservativt med drenasje og antibiotika. Hans kliniske tilstand forverret seg raskt, og han døde med pankreatitt og respirasjonssvikt.
Det ble utført obduksjon. Svarende til pankreas' anatomiske lokalisasjon og videre under diafragma på venstre side var det rikelig gråbrunt nekrotisk materiale. Det ble påvist sparsomt med bevart pankreasvev med spredte hvite stearinflekker som ved pankreatitt, med overgang til nekrotisk område forenlig med utbredt nekrotiserende pankreatitt. Medialt i venstre lunges underlapp subpleuralt var det en 16 mm stor velavgrenset svulst. Svulsten var rødbrun med fast konsistens og homogen snittflate. Ved mikroskopisk undersøkelse var den kapselkledd og bestod av små celler voksende i flak, med moderat mengde cytoplasma og runde kjerner uten tydelig nukleol (figur 4). Det var svært få mitoser og ingen sikker nekrose. Cellene i svulstvevet var positive for de nevroendokrine markørene CD56, synaptofysin og kromogranin A, mens tilstøtende lungevev var negativt.
Immunhistokjemisk farging for ACTH viste tydelig positivitet i cytoplasma i svulstcellene. Betydningen av proliferasjonsmarkøren Ki67 i obduksjonsmaterialet er usikker, men det ble bemerket svært lav Ki67 i svulstvevet mens det forelå spredt positivitet i tilstøtende lungevev, hovedsakelig i områder med kronisk betennelse. Det histologiske bildet passet med lavgradig nevroendokrin tumor i lunge, såkalt karsinoid, hvor funn av < 2 mitoser per 2 mm2, Ki67 ≤ 5 % og fravær av nekrose er forenlig med typisk karsinoid (3). For øvrig var binyrene litt store og preget av autolyse, men med bevart overordnet arkitektur. Hypofysen var upåfallende og uten holdepunkt for adenom.
Samlet var klinisk utredning og funn ved obduksjonen forenlig med Cushings syndrom forårsaket av ektopisk ACTH-produksjon fra karsinoid tumor i lunge. Det kliniske forløpet kunne passe med syklisk Cushings syndrom (4).
Diskusjon
Diagnostikk av Cushings syndrom er utfordrende. Spesielt kan det være vanskelig å skille fysiologisk fra patologisk kortisolforhøyelse. Syklisk Cushings syndrom, hvor episoder med hyperkortisolisme avbrytes av perioder med normal kortisolsekresjon, er svært sjelden og byr på særlige diagnostiske utfordringer (4).
Flere faktorer bidro til at diagnosen i dette tilfellet ikke ble sikker før det var for sent. Pasienten ble klinisk og biokjemisk frisk etter at tynntarmsperforasjon og pankreatitt ble kirurgisk behandlet i første runde. Dette gjorde at vi oppfattet hans forbigående hyperkortisolisme til å ha vært en fysiologisk respons. Årsaken til sykdommen – en langsomtvoksende nevroendokrin tumor i lunge – ble ikke vektlagt nok tidlig i forløpet, da den var utseendemessig benign, og verken FDG-PET/CT, oktreotidscintigrafi eller cytologi ga initialt mistanke om malignitet.
De to første FDG-PET/CT-undersøkelsene kunne imidlertid gi grunn til mistanke om både falskt positive og falskt negative funn, da første undersøkelse ble tatt for tidlig etter prøvetaking av tumor og andre med forhøyet blodsukker. Oktreotidscintigrafi kan også underestimere opptak for nevroendokrine tumorer under 2 cm. Vi burde derfor lagt mer vekt på å få avklart lungeforandringen tidligere i forløpet, helst med perkutan lungebiopsi etter at den første finnålsaspirasjonscytologien fra lungetumor ikke ga konklusiv diagnose. Ved klinisk funn av hyperkortisolisme kan ikke én enkelt negativ cytologisk prøvetaking tillegges avgjørende vekt.
Ved symptomresidiv medførte interkurrent sykdom samt oppfølging av andre funn at ny prøvetaking stadig ble utsatt. I dag er PET/CT med 68Ga-DOTATOC et alternativ i utredningen. Denne er mer følsom for nevroendokrine tumorer med lav Ki67 enn FDG-PET/CT (5) (ramme 2).
-
FDG-PET/CT er anbefalt hos alle pasienter med lungekreft som er aktuelle for kurativ behandling.
-
Nevroendokrine tumorer kan ha varierende opptak ved FDG-PET/CT.
-
Nevroendokrine tumorer uttrykker oftest somatostatinreseptorer og anbefales utredet med somatostatinreseptorbasert bildediagnostikk, som oktreotidscintigrafi eller PET/CT med 68Ga-DOTATOC.
-
PET/CT med 68Ga-DOTATOC foretrekkes foran oktreotidscintigrafi grunnet bedre sensitivitet.
-
Typiske karsinoide tumorer har lav proliferasjonsaktivitet (Ki67-indeks) og høy somatostatinreseptoruttrykk og avbildes godt ved somatostatinreseptorbasert bildediagnostikk.
-
Atypiske karsinoide tumorer har ofte høyere proliferasjonsaktivitet (Ki67-indeks) og lavere somatostatinreseptoruttrykk og avbildes da vanligvis med høyere opptak ved FDG-PET/CT.
Behandlingsmessig valgte vi å ikke sette inn kortisolsenkende behandling under andre sykdomsperiode. Dette var begrunnet med sterk mistanke om at kortisolstigningen var sekundær til underliggende pankreatitt – og ikke motsatt – og man var redd for å utløse en relativ binyresvikt. I ettertid er det lett å tenke at vi burde ha startet med eksempelvis metyrapon kombinert med kortikosteroidsubstitusjon basert på klinisk respons. Bilateral adrenalektomi for rask sykdomskontroll kan også vurderes, men var ikke aktuelt i dette tilfellet, hvor man måtte avstå fra kirurgi grunnet komorbiditet.
I stedet for vår initiale tolkning, at kortisoløkningen kom sekundært til pankreatitt, kan man undres på om pasientens pankreatitter var utløst av de høye kortisolnivåene. I en kasus-kontroll-studie fant man økt risiko for akutt pankreatitt hos brukere av perorale glukokortikoider (OR 1,53, 95 % konfidensintervall 1,27–1,84) (6). Likedan er det rapportert tilfeller hvor pasienter fikk pankreatitt etter oppstart med perorale steroider – ikke bare én gang, men også ved reeksponering (7, 8).
Dette sykdomsforløpet var langvarig og krevende og endte dessverre fatalt. Pasientens pårørende har et ønske om at man drar lærdom av denne historien, som demonstrerer at man ikke skal undervurdere det nevroendokrine potensialet til tilsynelatende uskyldige lungetumorer. Den viser også at forløpet til syklisk Cushings syndrom kan være svært langtrukkent. I tillegg stiller avanserte diagnostiske prosedyrer store krav til kommunikasjon om potensielle feilkilder og feiltolkninger.
Pasientens ektefelle har samtykket til at artikkelen blir publisert.
Takk til overlege Trond Bogsrud ved Nukleærmedisinsk avdeling, Oslo universitetssykehus, for faglige innspill og tilrettelegging av nukleærmedisinske bilder. Takk også til Bildediagnostisk avdeling, Akershus universitetssykehus for bruk av CT-bilde (figur 2).
Artikkelen er fagfellevurdert.
- 1.
Jørgensen AP, Tazmini K. red. Nasjonal veileder i endokrinologi. www.endokrinologi.no Lest 19.5.2020.
- 2.
Fliers E, Bianco AC, Langouche L et al. Thyroid function in critically ill patients. Lancet Diabetes Endocrinol 2015; 3: 816–25. [PubMed][CrossRef]
- 3.
Helsedirektoratet. Nasjonalt handlingsprogram med retningslinjer for diagnostikk, behandling og oppfølging av lungekreft, mesoteliom og thymom. https://www.helsedirektoratet.no/retningslinjer/lungekreft-mesoteliom-og-thymom-handlingsprogram Lest 19.5.2020.
- 4.
Meinardi JR, Wolffenbuttel BH, Dullaart RP. Cyclic Cushing's syndrome: a clinical challenge. Eur J Endocrinol 2007; 157: 245–54. [PubMed][CrossRef]
- 5.
Isidori AM, Sbardella E, Zatelli MC et al. Conventional and nuclear medicine imaging in ectopic Cushing's syndrome: a systematic review. J Clin Endocrinol Metab 2015; 100: 3231–44. [PubMed][CrossRef]
- 6.
Sadr-Azodi O, Mattsson F, Bexlius TS et al. Association of oral glucocorticoid use with an increased risk of acute pancreatitis: a population-based nested case-control study. JAMA Intern Med 2013; 173: 444–9. [PubMed][CrossRef]
- 7.
Levine RA, McGuire RF. Corticosteroid-induced pancreatitis: a case report demonstrating recurrence with rechallenge. Am J Gastroenterol 1988; 83: 1161–4. [PubMed]
- 8.
Felig DM, Topazian M. Corticosteroid-induced pancreatitis. Ann Intern Med 1996; 124: 1016. [PubMed][CrossRef]
I Tidsskriftet 12/2020 rapporterer Grimnes og medarbeidere fra UNN en interessant og lærerik pasientkasuistikk om en mann i 60-årene med alvorlig endokrinologisk sykdom (1). Vi tror det kan være ytterligere læringspunkter relatert til hjertesykdom.
Ved innleggelse hadde pasienten pustebesvær og ødemer, samt kardialt troponin T (hs-TnT) konsentrasjon på 69 til 57 ng/L. Ved høy hs-TnT-konsentrasjon bør hjertesykdom alltid avklares, sammen med for eksempel lungeemboli som kan gi troponin-utslipp sekundært til høyre ventrikkel-belastning. For hs-TnT assay kan det være kryssreaksjon med skjelettmuskel-troponin, slik at validering med hs-TnI en sjelden gang kan være indisert. Pasienten hadde flere risikofaktorer for koronarsykdom, samt EKG-funn forenlig med obstruktiv koronarsykdom i venstre koronararterie og nedsatt kontraktilitet i septum på ekkokardiografi. Konsentrasjon av hs-TnT- var fem ganger over 99-persentilen for friske personer (≤ 14ng/L). Med samtidig dyspné, som kan være symptom på myokardiskemi, gir dette > 90 % sannsynlighet for akutt hjerteinfarkt (2). Pasienten hadde ikke signifikant dynamikk i serie troponin-måling, men sykehistorien kan passe med hjerteinfarkt noen uker i forveien. Vi mener at koronarutredning her var indisert, da invasiv og farmakologisk behandling vil redusere mortalitet ved funn av obstruktiv koronarsykdom (2).
Den høye troponin-konsentrasjonen kan være uttrykk for annen hjertesykdom enn koronarsykdom. Vi har tidligere vist at hs-TnT-måling fanger opp udiagnostisert hjertesvikt i den generelle befolkningen. Vi har nå også vist at hs-TnT-måling gir tilleggsverdi til NT‑proBNP i diagnostikk av akutt hjertesvikt med bevart pumpefunksjon (HFpEF) (3). I vårt arbeid var median hs-TnT 38 (kvartil 1-3 22-75) ng/L for pasienter hospitalisert med HFpEF, og kombinasjonen av hs-TnT og NT-proBNP bedret diagnostikken av HFpEF sammenliknet med måling av NT‑proBNP alene. Dette er spesielt nyttig da pasienter med HFpEF i snitt har 50% lavere NT-proBNP-konsentrasjoner enn pasienter med hjertesvikt med redusert pumpefunksjon. Ved klinisk mistanke om hjertesvikt og tilnærmet normal NT-proBNP-konsentrasjon, bør høy hs-TnT-konsentrasjon således medføre utredning av HFpEF, etter at obstruktiv koronarsykdom er utelukket.
Pasienten hadde Cushings syndrom, som er direkte assosiert med hjertesykdom. Koronarsykdom gir overdødelighet ved Cushings syndrom (4) og diastolisk dysfunksjon, som er et kjennetegn ved HFpEF, er vist å være vanlig ved hyperkortisolisme. Om diagnostikk av HFpEF hadde påvirket prognosen for pasienten er tvilsomt da han senere pådro seg ny og alvorlig sykelighet. Det finnes foreløpig heller ingen behandling av HFpEF med effekt på mortalitet. Pasienten virker dog å ha respondert symptomatisk på spironolakton, som er vist å redusere sykdomsbyrden ved HFpEF (5). Vi mener derfor at diagnostikk av HFpEF er viktig, og at korrekt tolkning av hs-TnT-konsentrasjon gir viktig tilleggsinformasjon. I aktuelle kasuistikk virker det dessverre ikke som dette objektive signalet på hjertesykdom ble fulgt opp.
Litteratur:
1. Grimnes G, Svartberg J, Joakimsen RM et al. Mann i 60-årene med tungpustethet og ødemer. Tidsskr Nor Legeforen 2020; 140. doi: 10.4045/tidsskr.19.0751.
2. Collet J-P, Thiele H, Barbato E et al. 2020 ESC Guidelines for the management of acute coronary syndromes in patients presenting without persistent ST-segment elevation. Eur Heart J 2020; 41:575. doi: 10.1093/eurheartj/ehaa575.
3. Berge K, Lyngbakken MN, Myhre PL et al. High-Sensitivity Cardiac Troponin T and N-terminal pro-B-type Natriuretic Peptide in Acute Heart Failure: Data from the ACE 2 Study. Clin Biochem 2020; 85: S0009-9120(20)30886-9. doi: 10.1016/j.clinbiochem.2020.11.009.
4. Pivonello R, Isidori AM, De Martino MC et al. Complications of Cushing's syndrome: state of the art. Lancet Diabetes Endocrinol 2016; 4: 611-29. doi: 10.1016/S2213-8587(16)00086-3.
5. Pitt B, Pfeffer MA, Assmann SF et al. Spironolactone for heart failure with preserved ejection fraction. N Engl J Med 2014; 370: 1383-92. doi: 10.1056/NEJMoa1313731.
Vi takker K. Berge og medforfattere for interesse og engasjement i vår kasuistikk. Kommentaren illustrerer viktigheten av tverrfaglig samarbeid rundt pasienter med kompliserte problemstillinger.