En kvinne i 60-årene med covid-19-utløst akutt lungesviktsyndrom hadde stasjonær kritisk sykdom etter tre ukers intensivbehandling. Dag 19 på respirator fikk hun behandling med steroider. Det ble raskt klinisk bedring, og hun kunne avvennes fra ventilasjonsstøtte. Bedringen kan ha vært tilfeldig eller et resultat av andre faktorer, men vi mener denne kasuistikken kan bidra til å belyse bruk av steroidbehandling ved alvorlig covid-19.
En kvinne i 60-årene ble innlagt på lokalsykehus i midten av mars etter ti dager med forkjølelse, leddsmerter, hodepine og feber. Hun var kurativt behandlet for brystkreft noen år tidligere, hadde sluttet å røyke samme år og brukte ingen faste medisiner.
Femte dag med symptomer hadde pasienten tatt kontakt med fastlege. C-reaktivt protein (CRP) var da 20 mg/l (referanseområde < 5) og ferritin 550 µg/l (15–350). De neste dagene hadde hun redusert matlyst, tungpustethet selv ved lett aktivitet og vanntynn avføring flere ganger per dag. Da pasienten niende dag kontaktet fastlege på nytt, var CRP-verdien 177 mg/l, perifer oksygenmetning (SpO2) uten oksygentilførsel 94 % og respirasjonsfrekvensen (RF) 22 per minutt. Fastlegen startet penicillinbehandling for antatt pneumoni. Etter ett døgns antibiotikabehandling var pasienten i vedvarende dårlig form med tungpustethet og feber på 39,5 °C. Hun ble da lagt inn på lokalsykehus.
Ved innkomst var SpO2 88 %. Denne steg til 93 % med 4 l O2 på brillekateter. Pasienten følte selv ingen tungpust, respirasjonsfrekvensen var 22 per minutt. Øvrige vitale målinger viste normale funn: blodtrykk 127/61 mm Hg, pulsfrekvens 74 per minutt og temperatur 36,8 °C målt rektalt. Ved auskultasjon hørtes knatrelyder over høyre lunge basalt, for øvrig var klinisk undersøkelse upåfallende. Blodgass uten supplerende oksygen viste pH 7,41 (7,35–7,45), pO2 6,0 kPa (> 9,3), pCO2 4,3 kPa (4,3–6), bikarbonat (HCO3−) 21 mmol/l (22–27), baseoverskudd (BE) −4 mmol/l (−2–+3), laktat 1 mmol/l (0,4–0,8) og oksygenmetning (SaO2) 84 % (> 94 %). CRP var 172 mg/l, leukocytter 7,6 · 109/l (3,5–11), laktatdehydrogenase (LD) 325 U/l (105–205), d-dimer 1,0 (< 0,5), kreatinin 105 μmol/l (45–90), alaninaminotransferase (ALAT) 51 U/l (< 45), aspartataminotransferase (ASAT) 58 U/l (< 35), alkalisk fosfatase (ALP) 100 U/l (< 105) og gammaglutamyltransferase (GT) 211 U/l (< 75).
Det ble tatt polymerasekjedereaksjonstest (PCR) i nasofarynks for luftveispatogene bakterier og virus, inkludert sars-CoV-2, samt blodkultur og urindyrkning. Intravenøs behandling for mulig bakteriell pneumoni ble startet (penicillin 1,2 mg × 4 og erytromycin 500 mg x 4), og pasienten ble lagt på isolat. Røntgen thorax tatt dagen etter viste spredte små fortetninger i begge lunger og basale atelektaser på høyre side.
Natten etter innleggelse ble det startet behandling med ikke-invasiv ventilasjonsstøtte som kontinuerlig positivt luftveistrykk (NIV-CPAP). Initialt ble dette tolerert, men etter 12 timers behandling falt saturasjonen til 85 %. Hun fikk da i stedet 7 l/min O2 på oksygenmaske, og saturasjonen la seg på 89 %. I løpet av første innleggelsesdøgn hadde hun 10–12 vanntynne avføringer og desaturerte betydelig (ned mot SpO2 64 %) ved toalettbesøk.
To dager etter innleggelse kom beskjed om at hun var positiv for sars-CoV-2. Det ble vurdert at behov for respirator var nært forestående, og pasienten ble derfor akutt transportert til sentralsykehus i Epishuttle transportkuvøse med 9 l/min O2 på maske.
Blodgass ved ankomst sentralsykehuset (med 9 l/min O2 på maske) viste pH 7,48, pO2 6,2, pCO2 3,9, HCO3− 22, BE −2, laktat 1,7 og Sa02 84 %. Pasienten oppfylte samtlige Berlin-kriterier (1) for akutt lungesviktsyndrom (acute respiratory distress syndrome, ARDS) av alvorlig grad (pO2/FiO2 < 13,3 kPa/< 100 mm Hg). Intubasjon forløp ukomplisert, og det ble startet respiratorbehandling under dyp sedasjon dag 3 etter innleggelse ved lokalsykehus. Det ble etablert trykkontrollert ventilasjon: inspirasjonstrykk 15 cm H2O, positivt endeekspiratorisk trykk (PEEP)10 cm H2O og respirasjonsfrekvens 20 per minutt.
Oksygenkonsentrasjonen i inspirasjonsluften (FiO2) kunne kort tid etter intubasjon reduseres fra 80 % til 65 %, og det ble anlagt perkutan dilatasjonstrakeostomi. Basert på lokalt utarbeidet prosedyre ble antibiotikabehandlingen endret til intravenøs piperacillin-tazobaktam 4 g × 4 og azitromycin 500 mg × 1. Antimykotisk behandling med intravenøs kaspofungin 50 mg ×1 ble lagt til. Etter én uke seponerte man azitromycin og kaspofungin. Azitromycin ble seponert fordi hun hadde intermitterende AV-blokkering, og indikasjonen for å kontinuere behandlingen ble ansett som svak. Kaspofungin ble seponert fordi soppinfeksjon ble ansett som klinisk lite sannsynlig.
Fem døgn etter innleggelsen ved lokalsykehus hadde pasienten CRP-verdi på 380 mg/l og fortsatt stort oksygenbehov. I mageleie kunne FiO2 reduseres fra 0,8 til 0,5. For å unngå høye luftveistrykk (> 30 cm H2O) tillot vi høy pCO2 og påfølgende pH rundt 7,20 (permissiv hyperkapni). Grunnet oppløftende rapporter fra Frankrike og Kina (2, 3), valgte vi seks dager etter innleggelse å starte med peroral hydroksyklorokin 600 mg × 2 i metningsdose, etterfulgt av 200 mg × 3 i ti dager (tilsvarende dose i den planlagte WHO-studien).
Pasienten så ut til å være i bedring 11 dager etter initial innleggelse (figur 1). Hun var lettere å oksygenere i ryggleie, og CRP-verdien var falt til 128 mg/l. Deretter fikk hun en betydelig forverring og ble mer krevende å ventilere. Tre dager senere var CRP steget til 343 mg/l, FiO2 måtte økes og vi måtte på ny legge henne i mageleie. Til tross for negative funn på bakteriologisk dyrkning (fem blodkulturer, syv ekspektoratdyrkninger og tre urindyrkninger), valgte vi da å skifte antibiotika til meropenem 2 g × 3.
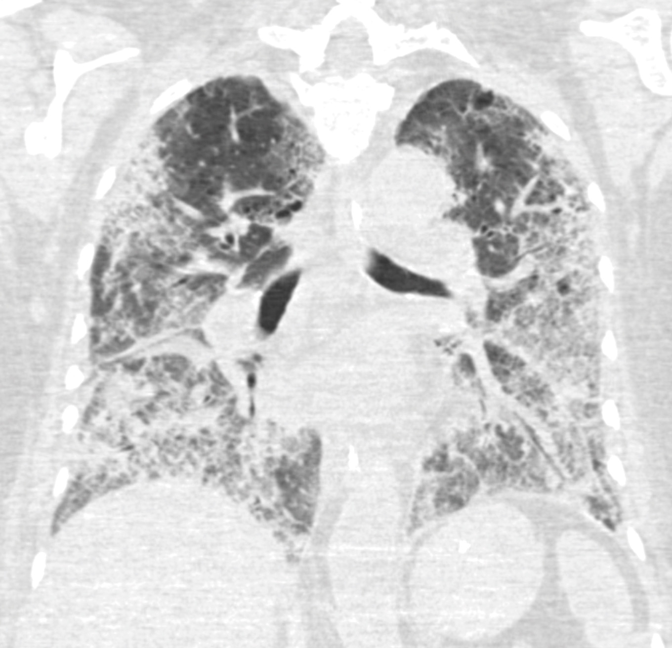
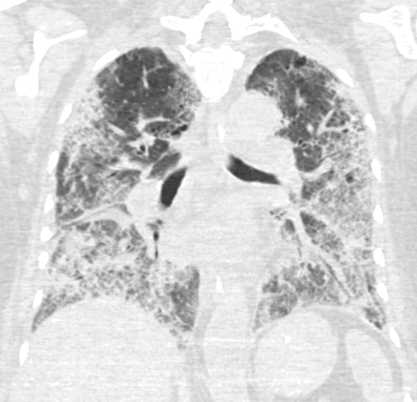
18 dager etter innleggelse viste CT (figur 2) bilaterale lungefortetninger og perifere lungeembolier. Den profylaktiske dosen med blodfortynnende som pasienten hadde fått siden hun ble lagt på respirator (dalteparin 5 000 E × 1 subkutant), ble derfor økt til vektjustert behandlingsdose for lungeemboli (12 500 E × 1 subkutant). CRP-verdien var vedvarende høy til tross for bredspektret antibiotikabehandling, og pasienten ble for tredje gang betydelig O2-krevende, med uendret respiratorinnsats.
Som behandlere følte vi at vi sto med ryggen mot veggen. Vi søkte i litteraturen etter støtte for potensielt effektiv behandling og fant svake anbefalinger for at kortikosteroider kunne forsøkes hos pasienter med alvorlig virusutløst akutt lungesviktsyndrom (4–6). Etter tverrfaglig diskusjon valgte vi dag 22 etter innleggelse (tilsvarende dag 19 på respirator) å gi steroidbehandling i form av Solu-Medrol 80 mg (ekvipotent med deksametason 20 mg) × 1 intravenøst i fem dager og deretter 40 mg × 1 i fem dager (5).
To dager etter oppstart av steroidbehandlingen var pasienten markant lettere å oksygenere, hadde stigende PaO2/FiO2-ratio og raskt synkende verdier av CRP og leukocytter, etter at disse initialt økte kraftig dagen etter at det ble gitt steroider (figur 1). Pasienten kunne deretter gradvis avvennes fra respiratorbehandling, en behandling som ved ekstubasjon hadde vart i totalt 28 døgn.
38 dager etter innleggelse ble pasienten overført fra intensivavdeling til sengepost. Hun hadde da tapt 15 kg i vekt. SpO2 var da 92 % med 1 l O2 på brillekateter, med desaturering til 87–88 % ved mobilisering. Hun ble utskrevet til spesialisert rehabiliteringssenter 56 døgn etter at hun ble lagt inn på lokalsykehus.
Diskusjon
Vår pasient med alvorlig covid-19 hadde typiske debutsymptomer, økende saturasjonsproblemer og utviklet alvorlig akutt lungesviktsyndrom med behov for langvarig respiratorbehandling. Hun hadde et trepuklet forløp, som grunnet negative funn på bakteriedyrkninger og lite respons på antibiotikabehandling trolig var mediert av en systemisk inflammatorisk respons og ikke en sekundær bakteriell infeksjon. 22 dager etter innleggelse var prognosen dyster.
I løpet av pasientens sykdomsforløp kom stadige oppdateringer av behandlingsanbefalinger. Flere av de kliniske beslutningene gjort underveis kan diskuteres, både bruk av transportkuvøse, trykkontrollert respiratorbehandling, ventilering i mageleie og tidlig behandling med hydroksyklorokinin og bredspektret antibiotika. Bedringen som kom etter behandling med steroider, kan ha vært tilfeldig eller skyldes andre faktorer.
I Verdens helseorganisasjons anbefalinger i mars frarådet man i utgangspunktet behandling med steroider til pasienter med covid-19 og akutt lungesviktsyndrom (7). Surviving Sepsis Campaign landet på en svak anbefaling om å behandle slike pasienter med steroider, i lave doser og med kort varighet (4). I sin oppdatering i mai inkluderte også Verdens helseorganisasjon muligheten for å vurdere steroidbehandling ved alvorlig akutt lungesviktsyndrom (8).
Fem dager etter første innsendelse av denne artikkelen publiserte Nature en pressemelding om hovedfunnene fra RECOVERY-studien (9), og en måned senere ble de preliminære resultatene – som i mellomtiden har ligget offentlig tilgjengelig (10) – publisert i New England Journal of Medicine (11). Studien viser signifikant lavere dødelighet (29,3 % versus 41,4 %) for respiratorbehandlede pasienter med alvorlig covid-19 som fikk deksametason 6 mg daglig i ti dager. Dette ble gitt til pasienter (i gjennomsnitt) tiende dag etter symptomdebut, tilsvarende det som var første alvorlige innsykning for vår pasient (innleggelse dag 11 etter symptomdebut). I studien var effekten av deksametason størst blant pasienter som hadde blitt respiratorbehandlet i mer enn syv dager, hvor inflammatoriske lungeforandringer sannsynligvis spiller en større rolle.
Vi behandlet vår pasient etter daværende kunnskapsbaserte anbefalinger, i en tid hvor kunnskapen om covid-19 var sparsom. Ved eventuell behandling med steroider for akutt lungesviktsyndrom anbefalte UpToDate på dette tidspunktet deksametason 20 mg × 1 i fem dager, etterfulgt av 10 mg × 1 i fem dager (5). Dette er dosen vi behandlet vår pasient med. I ettertid er anbefalingen i UpToDate endret spesifikt for covid-19 basert på funnene i RECOVERY-studien, det vil si 6 mg × 1 i 10 dager (6). Vår pasient fikk således behandling med steroider først ved tredje forverring, tre ganger så lenge fra symptomdebut som gjennomsnittlig i RECOVERY-studien og med tre ganger så høy dose av et ekvipotent steroid.
RECOVERY-studien kan komme til å endre praksis for pasienter med alvorlig covid-19. Retrospektivt kan man stille spørsmål omkring hvorvidt vår pasient burde fått behandlingen tidligere. Vi mener denne kasuistikken bidrar til å belyse spørsmålet omkring bruk av steroider hos pasienter med covid-19.
Vi ønsker å takke alle ansatte som var involvert i behandlingen av pasienten.
Pasienten har samtykket til at artikkelen blir publisert.
Artikkelen er fagfellevurdert.
- 1.
Ranieri VM, Rubenfeld GD, Thompson BT et al. Acute respiratory distress syndrome: the Berlin Definition. JAMA 2012; 307: 2526–33. [PubMed]
- 2.
Gautret P, Lagier JC, Parola P et al. Hydroxychloroquine and azithromycin as a treatment of COVID-19: results of an open-label non-randomized clinical trial. Int J Antimicrob Agents 2020; 56: 105949. [PubMed][CrossRef]
- 3.
Chen J, Liu D, Liu L et al. A pilot study of hydroxychloroquine in treatment of patients with moderate COVID-19. Zhejiang Da Xue Xue Bao Yi Xue Ban 2020; 49: 215–9. [PubMed]
- 4.
Alhazzani W, Møller MH, Arabi YM et al. Surviving Sepsis Campaign: guidelines on the management of critically ill adults with Coronavirus Disease 2019 (COVID-19). Intensive Care Med 2020; 46: 854–87. [PubMed][CrossRef]
- 5.
Uptodate. Acute Respriatory Distress Syndrome: Supportive Care and Oxygenation in Adults. https://www.uptodate.com/contents/acute-respiratory-distress-syndrome-supportive-care-and-oxygenation-in-adults?sectionName=Glucocorticoids&search=covid%252&topicRef=127419&anchor=H1087880222&source=see_link#H1087880222 Lest 6.4.2020.
- 6.
Uptodate. Coronavirus disease 2019 (COVID-19): Critical care and airway management issues. https://www.uptodate.com/contents/coronavirus-disease-2019-covid-19-critical-care-and-airway-management-issues?sectionName=Glucocorticoids&search=covid%252#H4152848011 Lest 6.4.2020 og 30.7.2020.
- 7.
WHO. Clinical management of severe acute respiratory infection (SARI) when COVID-19 disease is suspected. Interim guidance 13 March 2020. https://www.who.int/docs/default-source/coronaviruse/clinical-management-of-novel-cov.pdf Lest 6.4.2020.
- 8.
WHO. Clinical management of severe acute respiratory infection (SARI) when COVID-19 disease is suspected. Interim guidance 27 May 2020. https://apps.who.int/iris/bitstream/handle/10665/332196/WHO-2019-nCoV-clinical-2020.5-eng.pdf?sequence=1&isAllowed=y Lest 6.6.2020.
- 9.
Ledford H. Corona virus breakthrough: dexamethasone is first drug shown to save lives. Nature 16.6.2020. https://www.nature.com/articles/d41586-020-01824-5 Lest 16.6.2020.
- 10.
Horby P, Lim WS, Emberson J et al. Effect of Dexamethasone in hospitalized patients with Covid-19: Preliminary Report MedRXiv 2020 doi: 10.1101/2020.06.22.20137273. [CrossRef]
- 11.
Horby P, Lim WS, Emberson JR et al. Dexamethasone in Hospitalized Patients with Covid-19 - Preliminary Report. N Engl J Med 2020; 383: NEJMoa2021436. [PubMed][CrossRef]