En kvinne i 50-årene ble innlagt på sykehus med akutt forbigående nautisk svimmelhet, og det ble påvist infarktforandringer i lillehjernen. De neste månedene ble hun reinnlagt flere ganger grunnet residiverende nevrologiske symptomer. Utredningen avdekket en uvanlig årsak til hjerneinfarkt.
En kvinne i 50-årene ankom akuttmottaket tre timer etter debut av akutt nautisk svimmelhet med ledsagende forbigående taleforstyrrelse. Hun var frisk fra tidligere foruten nakkesmerter over flere år samt en periode med benign paroksysmal posisjonsvertigo (BPPV) to år tidligere. Pasienten røykte daglig og brukte østrogenholdig hormonsubstitusjon.
Ved innkomst var blodtrykket 156/93 mm Hg, pulsen regelmessig på 70 slag/min og temperaturen normal. Svimmelheten var i bedring, og talen var normalisert. Nevrologisk undersøkelse ga normale funn, og NIHSS-skår (National Institutes of Health Stroke Scale) var 0.
Akutt svimmelhet er en vanlig problemstilling i akuttmottak og på legevakt. Det finnes en rekke indremedisinske og nevrologiske årsaker som kan avdekkes ved standard klinisk undersøkelse og anamnese. Ved fravær av åpenbar årsak eller sikre nevrologiske utfall ligger ofte utfordringen i å skille perifer årsak (sykdom i balanseorganet) fra sentral årsak (oftest hjerneslag i hjernestammen eller lillehjernen), idet man regner at 20 % av pasienter med hjerneinfarkt i bakre kretsløp har isolert svimmelhet som presenterende symptom (1). Utdypende sykehistorie inkludert triggere, debut og eventuelle ledsagende nevrologiske symptomer samt cerebrovaskulære risikofaktorer er viktige opplysninger. Nevrologisk undersøkelse ved akutt oppstått vedvarende svimmelhet med spontannystagmus bør inkludere hodeimpulstest, vurdering av type nystagmus og test for vertikal skjeling – samlet kalt HINTS (Head Impulse, Nystagmus, Test of Skew). Ved episodisk svimmelhet bør posisjonstester som Dix-Hallpikes test utføres (for å avdekke BPPV) (2–4).
Pasienten hadde akutt oppstått vedvarende svimmelhet uten funn av nystagmus. Forbigående taleforstyrrelse sammen med akutt debut gjorde at hjerneslag ble vurdert som mulig årsak. CT av hodet har lav sensitivitet for å påvise akutt iskemi i bakre kretsløp (5). Diffusjonsvektet MR har betydelig høyere sensitivitet, men allikevel vil 15–20 % av akutte hjerneinfarkter i bakre kretsløp ikke være synlige de første 24–48 timene (4).
CT av hodet var uten tegn til akutt patologi, men viste ektopi av lillehjernetonsillene. CT-angiografi av pre- og intracerebrale kar viste dominant venstre arteria vertebralis, men manglende fremstilling av venstre arteria cerebelli inferior posterior (ACIP). I tillegg var arteria basilaris grasil, noe som ble tolket som en medfødt normalvariant der begge arteria cerebri posterior ble forsynt fra carotiskretsløpet. Det var ingen tegn til disseksjon. CT-perfusjon viste hypoperfusjon basalt i venstre lillehjernehemisfære.
Etter CT-undersøkelsen var pasienten helt symptomfri, og man valgte å avstå fra trombolysebehandling. I utdypende sykehistorie fortalte hun at det etter flere mindre hodetraumer fem måneder tidligere hadde tilkommet varierende bakhodepine, forverring av nakkesmerter og anfallsvis svimmelhet og ustøhet. Symptomene ble forverret ved hoste og nakkeekstensjon. Fastlegen hadde henvist til MR-undersøkelse av hodet tre måneder tidligere, som viste normale funn, og hennes plager ble da tilskrevet en posttraumatisk tilstand.
MR av hodet dagen etter innkomst viste små, ferske infarktforandringer basalt i venstre lillehjernehemisfære. MR av cervikalcolumna viste lette degenerative forandringer med normale funn fra medulla.
Blodprøvene viste LDL 4,77 mmol/l (referanseområde 2,1–4,9 mmol/l). Øvrige blodprøver var upåfallende med CRP < 0,6 mg/l (0,0–4,0 mg/l), SR 15 mm/t (1–17 mm/t), Hb 12,7 g/dl (11,7–15,3 g/dl), leukocytter 9,7 · 109/l (3,5–10 · 109/l), trombocytter 364 · 109/l (145–390 · 109/l) og HbA1c 34 mmol/mol (20–42 mmol/mol).
Ved ultralyd av pre- og intracerebrale kar fant man aterosklerotiske forandringer i begge carotisbifurkaturer med mindre, forkalkete plakk. EKG og telemetriovervåkning i to døgn ga normale resultater. Det ble startet dobbel platehemmende behandling med acetylsalisylsyre 75 mg × 1 og klopidogrel 75 mg × 1 samt atorvastatin 80 mg × 1.
Den aktuelle svimmelhetsepisoden ble vurdert å skyldes akutte infarktforandringer i lillehjernen i forsyningsområdet til venstre arteria cerebelli inferior posterior (ACIP).
Pasientens risikofaktorer i form av røyking og ugunstig lipidprofil, funn av aterosklerotisk sykdom i precerebrale kar og manglende funn av atrieflimmer på telemetri gjorde at aterosklerotisk storkarsykdom i bakre kretsløp ble vurdert som mest sannsynlig årsak til hjerneinfarktet.
Som bifunn på billedundersøkelser ble det sett ektopiske lillehjernetonsiller. Chiari-malformasjon type 1 betegner en patologisk kaudal ektopi av lillehjernetonsillene gjennom foramen magnum og er ofte et tilfeldig og asymptomatisk funn. Pasientens forandringer var ikke så uttalte at hun sikkert oppfylte de radiologiske kriteriene for diagnosen. Symptomene før innleggelse, med anfallsvis svimmelhet og smerter i nakke og bakhodet med forverring ved hoste, kunne imidlertid være forenlige med Chiari-malformasjon type 1 (6).
Tre uker etter første innleggelse ble pasienten reinnlagt grunnet en episode med svimmelhet og kortvarig taleforstyrrelse. Hun var symptomfri ved innkomst, og nevrologisk undersøkelse ga normale funn, men hun var hypotensiv med blodtrykk på 87/60 mm Hg. Hun hadde symptomer på øvre luftveisinfeksjon, men var afebril. CRP var 30 mg/l og SR 50 mm/t.
CT av hodet inkludert angiografi og perfusjon samt MR av hodet viste ingen tilkommet patologi. De forbigående symptomene ble tilskrevet hypotensjon og interkurrent sykdom som ga residiv av symptomer fra nylig gjennomgått lillehjerneinfarkt.
En måned senere ble kvinnen igjen innlagt, nå på grunn av en episode med tyngdefølelse i høyre arm og ledsagende taleforstyrrelse. Hun var symptomfri ved innkomst og hadde normalt blodtrykk, og nevrologisk undersøkelse ga normale resultater. Inflammasjonsparametre var nå normale. MR av hodet og CT-angiografi var uendrete. EEG var normalt.
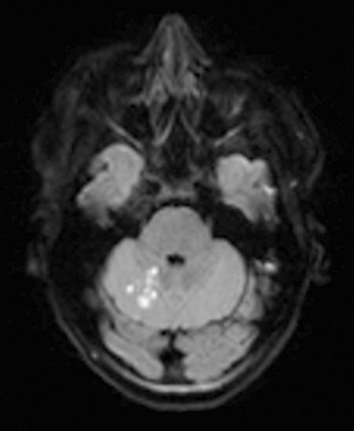
De påfølgende dagene opplevde pasienten gjentatte episoder med taleforstyrrelser og tyngdefølelse i høyre arm, i tillegg til varierende svimmelhet, ustøhet og hodepine. Nevrologisk undersøkelse viste redusert finmotorikk i høyre hånd. Ny MR-undersøkelse (seks dager etter den forrige) viste ferske infarktforandringer i høyre lillehjernehemisfære (figur 1).
De fleste hjerneinfarkter skyldes storkarsykdom med arterie-til-arterie-embolisering eller trombosering, kardioemboli der atrieflimmer er vanligste årsak, eller småkarsykdom, ofte relatert til hypertensjon. Ofte kan enkel standardutredning påvise den sannsynlige årsaken (CT av hodet med pre- og intracerebral angiografi, ultralyd av halskar, MR av hodet, langtids-EKG, blodprøver). Det finnes imidlertid en rekke sjeldne årsaker til hjerneinfarkt, herunder vaskulitter, ikke-inflammatoriske karsykdommer og protrombotiske tilstander (7).
Til tross for behandling med dobbel platehemming og statiner fikk pasienten et nytt hjerneinfarkt to måneder etter det initiale infarktet. Dette, og de residiverende symptomene, gjorde at årsaken til hjerneinfarktene ble ytterligere utredet.
Ekkokardiografi og ytterligere telemetriovervåkning ga normale funn. Trombofiliprøver var normale unntatt forhøyet antikardiolipin-IgM på 45,3 U/ml (< 20,0 U/ml). Dette ble kontrollert med uendret funn. Prøver for ANA og ANCA samt Treponema- og hiv-antistoffer var negative. CT av brystkassen, buken og bekkenet var uten tegn til malignitet.
Det er usikkert om isolert forhøyet antikardiolipin-IgM indikerer økt tromboserisiko (8). Funnet ble vurdert som ikke relevant. Lumbalpunksjon ble tidlig vurdert, men ble avventet til svar på ytterligere undersøkelser forelå ettersom man var usikker på risikoen for residivinfarkt ved seponering av antitrombotisk behandling.
Det ble derfor utført en PET-CT av halvkropp med hode, som vaskulittutredning. Denne viste overraskende økt opptak av 18F-fluorodeoksyglukose (FDG) i hele cervikale og øvre deler av torakale medulla spinalis, men ikke tegn til vaskulitt.
Man gjorde derfor kontrastforsterket MR-undersøkelse av medulla, som viste nytilkomne intramedullære forandringer forenlige med myelitt og meningitt (figur 2 og 3). På dette tidspunktet hadde det tilkommet diskrete trunkale sensoriske forstyrrelser og lett hyperrefleksi i underekstremitetene.
Cerebrospinalvæskeundersøkelse ble gjennomført, tre måneder etter første innleggelse, med funn av leukocyttkonsentrasjon på 230 · 106/l (0–4 · 106/l) hvorav 98 % var mononukleære, glukose på 2,6 mmol/l med cerebrospinalvæske–serum-ratio 0,35 (> 0,6) og totalprotein på 3,12 g/l (0,00–0,45 g/l). Tester for Borrelia-IgG og -IgM var positive både i serum og cerebrospinalvæske, og resultat av IgG-ratioundersøkelse (ad modum Reiber med antistoffindeks >> 1,5) var forenlig med intratekal Borrelia-IgG-produksjon og svikt i blod–hjerne-barrieren.
Ved ny gjennomgang av sykehistorien kom det frem at pasienten tidligere hadde hatt flere flåttbitt. Hun hadde ikke hatt sikkert erythema migrans eller annet utslett.
Pasienten ble behandlet med ceftriakson 2 g × 1 intravenøst i 14 dager, i tråd med de nyeste anbefalingene på NevroNEL.
På kontroll et halvt år senere var pasienten plaget med fatigue, men ikke lenger nakkesmerter eller hodepine.
MR av hodet og medulla viste normalisering av de tidligere påviste inflammatoriske forandringene i medulla, og cerebrospinalvæskeundersøkelse viste leukocytter 7 · 106/l (0–4 · 106/l), protein 0,50 g/l (0,00–0,45 g/l) og glukose 3,2 mmol/l. Det var fortsatt en økt antistoffindeks som indikerte intratekal Borrelia-IgG-produksjon, men det er kjent at selv etter vellykket behandling kan antistoffproduksjonen vedvare i flere år (9).
Billedfunn av myelitt og meningitt kombinert med cerebrospinalvæskefunnene gjorde at man konkluderte med nevroborreliose. Cerebral vaskulitt i mindre kar i bakre kretsløp sekundært til nevroborreliose ble vurdert som årsak til hjerneinfarktene.
Vaskulær billeddiagnostikk viste ikke sikre vaskulittforandringer, men sensitiviteten ved undersøkelsen er lav (10). Vi valgte å ikke henvise pasienten til konvensjonell angiografi da nevroborreliosediagnosen var stilt, da undersøkelsen ikke ville ha fått terapeutisk konsekvens. God klinisk og billedmessig respons og fravær av nye cerebrovaskulære hendelser samt tilnærmet normalisert cerebrospinalvæske etter et halvt år støtter vår diagnose.
Diskusjon
Cerebral vaskulitt er en sjelden årsak til hjerneslag og defineres som inflammasjon i cerebrale arterier eller vener, ofte ledsaget av inflammasjon i meninger og medulla spinalis. Inflammasjonen kan føre til stenose, okklusjon eller ruptur av arterier, kapillarer eller vener (11).
Cerebral vaskulitt kan være primær (isolert) eller sekundær til systemiske vaskulittsykdommer, infeksjoner og andre tilstander. Infeksiøse årsaker inkluderer blant annet varicella-zoster-infeksjon, nevroborreliose, hiv-infeksjon, syfilis og tuberkulose.
Det kliniske bildet ved cerebral vaskulitt varierer med de bakenforliggende årsakene. Symptomene kan være uspesifikke og diagnostikken utfordrende. Ved hjerneinfarkt i ulike kargebeter og på ulike tidspunkt, hos pasienter med subakutt hodepine ledsaget av kognitiv dysfunksjon og hos unge med hjerneinfarkt uten risikofaktorer (12), bør cerebral vaskulitt være en differensialdiagnose. Sentralt i utredningen er cerebrospinalvæskeundersøkelser. I tillegg bør utredning av systemsykdom inkludert mikrobiologiske og immunologiske prøver utføres. Vaskulær billeddiagnostikk bør gjennomføres. Konvensjonell angiografi er mest sensitiv (10), men denne invasive undersøkelsen er kun tilgjengelig på større sykehus. Sensitiviteten er dessuten lav ved isolert affeksjon av mindre kar (13).
Borreliose, forårsaket av spiroketen Borrelia burgdorferi, er den vanligste flåttbårne sykdommen i Europa. Opptil 12 % av pasientene med borreliainfeksjon utvikler nevroborreliose (14). De vanligste manifestasjonene ved nevroborreliose er lymfocytær meningitt, kranial nevritt og smertefull radikulitt. Diagnostikken baseres på kliniske undersøkelser og cerebrospinalvæskefunn, og bekreftes av intratekal produksjon av borreliaantistoffer (ramme 1).
-
Nevrologiske symptomer forenlige med nevroborreliose uten annen åpenbar forklaring
-
Cerebrospinalvæske-pleocytose (> 5 celler)
-
Intratekal borreliaantistoffproduksjon
Ved nevroborreliose kan MR-undersøkelser av hjerne og ryggmarg vise normale forhold, men de kan også vise nevritt, myelitt, meningitt, encefalitt eller vaskulitt (15).
Cerebrovaskulære manifestasjoner ved nevroborreliose forekommer sjelden, og kunnskapen er begrenset (16). Det er tidligere publisert kasuistikker fra Norge, første gang i 1987 (17). En oversiktsartikkel fra 2017 identifiserte 88 publiserte kasusrapporter. De fleste av manifestasjonene var hjerneinfarkter, og bakre kretsløp ble trolig rammet noe oftere enn fremre. Over halvparten av pasientene rapporterte hodepine, rundt en tredjedel hadde kranial nevritt, og kun en fjerdedel erythema migrans (16). De fleste beskrevne pasientene er unge, noe som kan skyldes at yngre pasienter med hjerneslag ofte utredes mer omfattende (9, 16).
Sykehistorien illustrerer flere utfordringer i utredningen av hjerneslag. Pasientens uspesifikke symptomer med intermitterende nakkesmerter, hodepine og svimmelhet ble først tolket til å ikke ha sammenheng med årsaken til hjerneslaget.
Utvidet slagutredning er ressurskrevende og ikke alltid tilgjengelig. Samtidig øker den risikoen for tilfeldige funn. Lumbalpunksjon, som er en enkel undersøkelse, kunne i dette tilfellet ha vært gjort på et tidligere stadium, sikret diagnosen og forhindret videre utredning. Lang tid fra symptomdebut til behandling er i tillegg assosiert med dårligere langtidsprognose (18).
Sjeldne årsaker til hjerneslag, f.eks. nevroborreliose, bør vurderes hos pasienter uten risikofaktorer for cerebrovaskulær sykdom med negativ primærutredning, og ved uforklarte residiv av hjerneinfarkt til tross for adekvat sekundærprofylaktisk behandling. Ved mistanke om nevroborreliose og andre årsaker til cerebral vaskulitt understreker vi at cerebrospinalvæskeundersøkelser bør gjennomføres.
Pasienten har gitt samtykke til at artikkelen blir publisert.
Takk til Randi Eikeland for innspill til og vurdering av teksten.
Artikkelen er fagfellevurdert.
- 1.
Venhovens J, Meulstee J, Verhagen WI. Acute vestibular syndrome: a critical review and diagnostic algorithm concerning the clinical differentiation of peripheral versus central aetiologies in the emergency department. J Neurol 2016; 263: 2151–7. [PubMed][CrossRef]
- 2.
Ljøstad U, Eldøen G, Goplen FK et al. Assessment in cases of acute dizziness. Tidsskr Nor Legeforen 2019; 139. doi: 10.4045/tidsskr.18.0958. [PubMed][CrossRef]
- 3.
Krishnan K, Bassilious K, Eriksen E et al. Posterior circulation stroke diagnosis using HINTS in patients presenting with acute vestibular syndrome: A systematic review. Eur Stroke J 2019; 4: 233–9. [PubMed][CrossRef]
- 4.
Saber Tehrani AS, Kattah JC, Kerber KA et al. Diagnosing Stroke in Acute Dizziness and Vertigo: Pitfalls and Pearls. Stroke 2018; 49: 788–95. [PubMed][CrossRef]
- 5.
Wasay M, Dubey N, Bakshi R. Dizziness and yield of emergency head CT scan: is it cost effective? Emerg Med J 2005; 22: 312. [PubMed][CrossRef]
- 6.
Fric R, Ringstad G, Eide PK. Chiari malformation type 1 – diagnosis and treatment. Tidsskr Nor Legeforen 2019; 139. doi: 10.4045/tidsskr.18.0455. [PubMed][CrossRef]
- 7.
Fonseca AC, Ferro JM. Cryptogenic stroke. Eur J Neurol 2015; 22: 618–23. [PubMed][CrossRef]
- 8.
Kelchtermans H, Pelkmans L, de Laat B et al. IgG/IgM antiphospholipid antibodies present in the classification criteria for the antiphospholipid syndrome: a critical review of their association with thrombosis. J Thromb Haemost 2016; 14: 1530–48. [PubMed][CrossRef]
- 9.
Topakian R, Stieglbauer K, Nussbaumer K et al. Cerebral vasculitis and stroke in Lyme neuroborreliosis. Two case reports and review of current knowledge. Cerebrovasc Dis 2008; 26: 455–61. [PubMed][CrossRef]
- 10.
Abdel Razek AA, Alvarez H, Bagg S et al. Imaging spectrum of CNS vasculitis. Radiographics 2014; 34: 873–94. [PubMed][CrossRef]
- 11.
Lie JT. Classification and histopathologic spectrum of central nervous system vasculitis. Neurol Clin 1997; 15: 805–19. [PubMed][CrossRef]
- 12.
Byram K, Hajj-Ali RA, Calabrese L. CNS Vasculitis: an Approach to Differential Diagnosis and Management. Curr Rheumatol Rep 2018; 20: 37. [PubMed][CrossRef]
- 13.
Alba MA, Espígol-Frigolé G, Prieto-González S et al. Central nervous system vasculitis: still more questions than answers. Curr Neuropharmacol 2011; 9: 437–48. [PubMed][CrossRef]
- 14.
Koedel U, Fingerle V, Pfister HW. Lyme neuroborreliosis-epidemiology, diagnosis and management. Nat Rev Neurol 2015; 11: 446–56. [PubMed][CrossRef]
- 15.
Lindland ES, Solheim AM, Andreassen S et al. Imaging in Lyme neuroborreliosis. Insights Imaging 2018; 9: 833–44. [PubMed][CrossRef]
- 16.
Garkowski A, Zajkowska J, Zajkowska A et al. Cerebrovascular Manifestations of Lyme Neuroborreliosis-A Systematic Review of Published Cases. Front Neurol 2017; 8: 146. [PubMed][CrossRef]
- 17.
Midgard R, Hofstad H. Unusual manifestations of nervous system Borrelia burgdorferi infection. Arch Neurol 1987; 44: 781–3. [PubMed][CrossRef]
- 18.
Ljøstad U, Mygland Å. Remaining complaints 1 year after treatment for acute Lyme neuroborreliosis; frequency, pattern and risk factors. Eur J Neurol 2010; 17: 118–23. [PubMed][CrossRef]