Multiorgan inflammatorisk syndrom assosiert med sars-CoV-2 hos et barn

    ()

    sporsmal_grey_rgb
    Abstract

    This case report describes a child with heart failure and incipient multi-organ failure following infection with SARS-Cov-2. This is not COVID-19, but an immune-mediated reaction known as multisystem inflammatory syndrome. We have treated a number of children for this, and similar cases have been reported internationally. The patients can rapidly become seriously ill with high fever, gastrointestinal symptoms and cardiogenic shock.

    Artikkel

    Kasuistikken beskriver et barn med hjertesvikt og truende multiorgansvikt etter infeksjon med sars-CoV-2. Dette er ikke covid-19, men en immunmediert senreaksjon som kalles multiorgan inflammatorisk syndrom. Vi har behandlet flere barn for dette, og tilsvarende rapporteres internasjonalt. Pasientene kan bli alvorlig syke raskt, med høy feber, gastrointestinale symptomer og kardiogent sjokk.

    Et barn i sen barneskolealder ble innlagt ved barnekirurgisk avdeling etter fire dagers sykehistorie med magesmerter, kvalme, oppkast, frontal hodepine og nedsatt allmenntilstand. De siste tre dagene hadde hen hatt temperatur opp mot 39 °C. Pasienten hadde kjente matvareallergier, men var for øvrig frisk.

    To dager før innleggelsen fikk barnet forskrevet fenoksymetylpenicillin av fastlegen på mistanke om akutt mellomørebetennelse. Natten før innleggelsen tok familien kontakt med legevakten, da pasienten var vedvarende høyfebril. På mistanke om behandlingssvikt for akutt mellomørebetennelse byttet man til trimetoprim-sulfametoksasol. Barnet hadde ikke hatt hoste eller diaré, men lett rhinitt. Ifølge foresatte hadde barnet virket forvirret i forbindelse med feberen.

    På formiddagen innleggelsesdagen tok familien på ny kontakt med legevakten på grunn av høy feber, tungpustethet, økende magesmerter, kvalme og oppkast. Pasienten ble innlagt ved kirurgisk akuttmottak med spørsmål om blindtarmsbetennelse. Barnet hadde ikke vært sikkert eksponert for smitte med sars-CoV-2.

    Ved innleggelsen var pasienten orientert, våken og ga god kontakt. Hen var overvektig, med kroppsmasseindeks på 97-prosentilen for alder. Barnet hadde tørre, sprukne lepper og lett tørre slimhinner. Det var bilateral, ikke-purulent injeksjon av sklera og lett erytem i begge håndflater. Man kunne palpere 3–4 mm store glandler langs musculus sternocleidomastoideus bilateralt.

    Pulsen var på 137 slag/minutt og blodtrykket 111/67 mm Hg (normotensivt). Øretemperaturen var 38,9 °C. Respirasjonen var normofrekvent og ubesværet, med oksygenmetning (SpO2) 100 % på romluft. Pasienten var diffust palpasjons- og slippøm i hele abdomen, men mest uttalt i høyre nedre kvadrant. Det var upåfallende tarmlyder, ingen palpable oppfylninger eller organomegali. Øvrig klinisk undersøkelse viste normale funn.

    Vi tok nasofarynksaspirat for virusdiagnostikk, inkludert sars-CoV-2, blodprøver og blodkulturer (tabell 1). Da vi hverken kunne utelukke en alvorlig bakteriell infeksjon med mulig utgangspunkt i abdomen, blindtarmsbetennelse eller pneumoni, ble behandlingen skiftet til piperacillin/tazobaktam og intravenøs væske.

    Tabell 1

    Blodprøvesvar ved innleggelsen i sykehus og høyeste/laveste verdi. Avvikende verdier er uthevet.

    Analyse

    Innleggelsesdagen

    Høyeste/laveste verdi

    Referanseområde

    Hemoglobin (g/100 ml)

    12,4

    8,4

    11,0–15,5

    Hvite blodceller (· 109/l)

    6,0

    12,7

    4,5–14

    Differensialtelling maskinelt
    (· 109/l)

    Nøytrofile granulocytter

    5,4

    10,3

    1,5–8

    Lymfocytter

    0,3

    0,3

    1,5–6,5

    Senkningsreaksjon (mm)

    46

    46

    1–12

    Trombocytter (· 109/l)

    144

    73

    150–450

    Fibrinogen (g/l)

    3,3

    4,4

    1,9–4

    D-dimer (mg/l)

    24

    24

    < 0,5

    Albumin (g/l)

    44

    20

    36–48

    Kreatinin (µmol/l)

    114

    172

    37–63

    Karbamid (mmol/l)

    9,2

    11,2

    3,2–8,2

    ASAT (u/l)

    55

    73

    15–45

    ALAT (u/l)

    40

    64

    10–45

    Laktatdehydrogenase (u/l)

    430

    430

    111–295

    Pankreasamylase (u/l)

    11

    352

    10–65

    Prokalsitonin (µg/l)

    109,6

    115,6

    < 0,1

    CRP (mg/l)

    300

    368

    0–4

    Protrombintid-INR (N-Ratio)

    1,4

    1,4

    0,9–1,2

    Aktivert partiell tromboplastintid (s)

    27

    31

    22–30

    Troponin T (ng/l)

    453

    0–14

    Pro-BNP (ng/l)

    30 000

    0–170

    Ferritin (µg/l)

    1 700

    7–140

    Natrium (mmol/l)

    137

    134

    137–145

    Kalium (mmol/l)

    2,4

    2,4

    3,4–4,7

    Klor (mmol/l)

    101

    114

    102–110

    Ionisert kalsium (mmol/l)

    1,22

    1,02

    1,15–1,33

    Arteriell blodgass

    pH

    7,43

    7,36

    7,35–7,45

    PaCO2 (kPa)

    4,3

    5,6

    4,7–6,0

    PaO2 (kPa)

    9,6

    9,4

    10–14

    Laktat (mmol/l)

    1,2

    5,6

    0,4–0,8

    Baseoverskudd (mmol/l)

    −3

    −8

    −3–3

    Aktuell bikarbonat (mmol/l)

    21,4

    26,6

    22–26

    Det ble gjort en bred mikrobiologisk utredning, og alle bakteriologiske og øvrige virologiske undersøkelser var negative, inkludert gjentatte blodkulturer, urindyrkning, luftveisvirus- og enterovirusdiagnostikk.

    Røntgen thorax viste bilaterale sentrale radierende fortetninger som strakk seg perifert, og noe mer løsmettede fortetninger basalt på begge sider. Ultralyd av abdomen viste to markerte lymfeknuter i høyre fossa og en på bakre bukvegg med kortaksediameter opp mot 15 mm.

    Blindtarmen kunne ikke visualiseres, og vi gikk derfor videre med CT med kontrastmiddel intravenøst av abdomen, bekken og thorax. Denne viste tallrike, patologisk forstørrede mesenterielle lymfeknuter, enkelte med sentralt henfall. Det var ingen holdepunkter for blindtarmsbetennelse eller patologi i lungeparenkymet.

    Pasienten hadde testet negativt for sars-CoV-2 ved polymerasekjedereaksjonstest (PCR) i nasofarynksaspirat tatt ved innkomst, og dråpesmitteregimet ble derfor opphevet etter få timer. Dette ble imidlertid gjenopprettet etter pediatrisk tilsyn dagen etter, da både det kliniske bildet, med uttalte magesmerter og kvalme, og blodprøvene, med høye inflammasjonsmarkører, lymfopeni og trombocytopeni, ga sterk mistanke om sars-CoV-2-assosiert sykdom.

    Pasientens tilstand var klart forverret med vedvarende høy feber og uttalt slapphet. Barnet var orientert for tid og sted, men fremsto som forvirret. Hen utviklet etter hvert hypotensjon, og biokjemiske markører indikerte myokarditt og hjertesvikt, samtidig som kreatininverdien var stigende.

    Barnet ble overflyttet til barneintensivavdelingen med sjokk og truende multiorgansvikt, hypotensjon (82/45 mm Hg), oliguri, påvirket sensorium og takypné med frekvens 40–50/min, men uten behov for oksygen eller pustestøtte. Pressorbehandling (noradrenalin) ble startet opp, med overgang til inotropi (adrenalin) etter ekkokardiografi og sentralvenøs saturasjonsmåling, som var på 62 %. Det ble i tillegg gitt substitusjonsbehandling med hydrokortison 1 mg/kg × 2. Etter normalisering av blodtrykket ble det gitt diuretika for å reetablere god diurese og redusere belastningen på hjertet.

    Ekkokardiografi viste initialt redusert systolisk funksjon av venstre ventrikkel, med forkortningsfraksjon (FF) på 20 % (M-modus fra parasternal posisjon) og global longitudinell strekkbarhet (global longitudinal strain, GLS) på −12 % (fra apikal firekammerposisjon). Det var ikke tegn til dilatasjon av venstre ventrikkel og heller ikke tegn til pulmonal hypertensjon. Forkortningsfraksjon mindre enn 25 % og GLS mer enn −16 % indikerer signifikant myokardial dysfunksjon.

    Først i larynksaspirat tatt dag 3 var sars-CoV-2-PCR positiv. Funnet ble senere bekreftet med positiv sars-CoV-2-serologi i serum (1).

    Dag 3 var pasienten ikke lenger forvirret, men vedvarende uttalt slapp. Magesmertene, hodepinen og kvalmen hadde opphørt, og hen var bløt og uøm ved palpasjon av abdomen. Spinalpunksjon ga ingen holdepunkter for infeksjon eller inflammasjon i sentralnervesystemet. De mukokutane fenomenene hadde gått fint tilbake. Troponin T- og kreatininverdiene var fallende.

    CRP-, prokalsitonin- og ferritinnivåene var vedvarende kraftig forhøyet, og pasienten var fortsatt høyfebril. Pro-BNP hadde steget fra 8 000 ng/l på ettermiddagen dag 2 til 30 000 ng/l. På mistanke om multiorgan inflammatorisk syndrom ble det gitt 2 g/kg immunglobuliner.

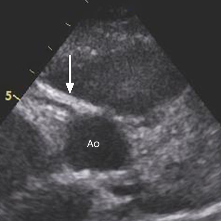
    Dag 4 viste ekkokardiografi økt ekko i koronarveggen, som kan være et tidlig tegn på koronaraffeksjon (figur 1). Inflammasjonsmarkørene hadde falt fint etter første dose immunglobuliner, men feberen vedvarte. Man startet derfor med acetylsalisylsyre 500 mg × 4 per døgn peroralt. Dag 5 ble det gitt en ny ekvivalent dose immunglobuliner, hvorpå pasienten ble afebril.

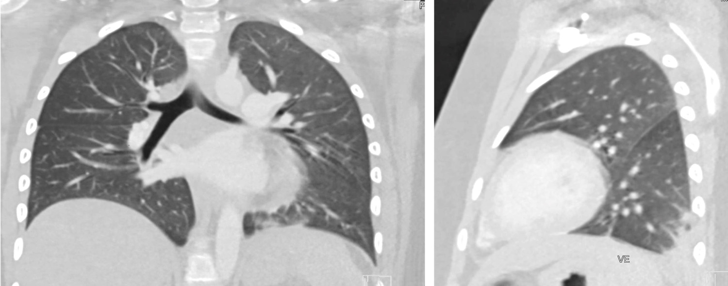
    Pasienten pustet hele tiden selv, men med tidvis takypné og kortvarig behov for ekstra oksygen. CT thorax tatt dag 4, for å utelukke lungeembolisme, viste en basal fortetning og beskjedne mattglassfortetninger i venstre lunge, klar høyre lunge og ingen lungeemboluser (figur 2).

    Piperacillin/tazobaktam ble seponert dag 4, da pasienten ikke hadde respondert og det ikke var oppvekst i blodkulturer. Siden pasienten var normotensiv og ekkokardiografi viste normalisering av venstre ventrikkel-funksjon, ble den inotrope behandlingen seponert etter fem døgn.

    Ny ekkokardiografi tatt dag 10 og etter 5 uker ga ingen holdepunkter for koronare aneurismer. Pasienten vil fortsette med lavdose acetylsalisylsyre og blir fulgt opp av barnekardiolog.

    Diskusjon

    Diskusjon

    De fleste barn smittet med sars-CoV-2 er asymptomatiske eller har milde symptomer (2). I sjeldne tilfeller kan imidlertid barn utvikle alvorlig multiorganinflammasjon med behov for intensivbehandling. 27. april 2020 kom Paediatric Intensive Care Society med en advarsel om overhyppighet av barn med alvorlig inflammasjon og multiorgansvikt knyttet til pandemien og gjennomgått asymptomatisk sars-CoV-2-infeksjon (3). Disse pasientene ble noen dager senere beskrevet i The Lancet (4). Tilstanden har likheter med Kawasakis syndrom eller toksisk sjokk-syndrom. De siste ukene har det kommet et økende antall rapporter fra flere land hvor det beskrives barn med et tilsvarende forløp (5–9).

    Tilstanden har fått ulike navn: paediatric inflammatory multisystem syndrome (PIMS) (European Center for Disease Prevention and Control) (10) og multisystem inflammatory syndrome (MIS) in children and adolescents temporally related to COVID-19 (World Health Organization) ramme 1) ((11).

    Ramme 1 Verdens helseorganisasjons (WHO) foreløpige definisjon på multiorgan inflammatorisk syndrom hos barn og ungdom assosiert med covid-19 (11). Alle de seks kriteriene må være til stede.
    1. Alder 0–19 år

    2. Feber i mer enn tre dager

    3. Kliniske tegn på multiorganaffeksjon med minst to av følgende:

      • Utslett eller bilateral ikke-purulent konjunktivitt eller mukokutane inflammatoriske forandringer (munn, hender eller føtter)

      • Hypotensjon eller sjokk

      • Holdepunkter for myokardial dysfunksjon, perikarditt, valvulitt eller koronare forandringer (inkludert forandringer på ekkokardiografi eller forhøyet troponin T/pro-BNP)

      • Bevis for koagulopati (protrombintid, partiell tromboplastintid, forhøyet D-dimer)

      • Akutte gastrointestinale symptomer (diaré, oppkast eller magesmerter)

    4. Forhøyede inflammasjonsmarkører som senkningsreaksjon, CRP eller prokalsitonin

    5. Ingen annen åpenbar mikrobiell forklaring på symptomene, inkludert bakteriell sepsis, stafylokokk- eller streptokokk-sjokksyndromer

    6. Holdepunkter for sars-CoV-2-infeksjon eller sannsynlig kontakt med pasient med covid-19

    Vår pasient ble innlagt få dager etter den første rapporten og oppfylte etter hvert alle de foreslåtte WHO-kriteriene. Rapporten bidro i stor grad til at vi opprettholdt mistanken om sars-CoV-2-relatert sykdom, isolerte og foretok ytterligere testing av barnet.

    Barna har i stor grad blitt behandlet etter retningslinjer gjeldende for Kawasakis syndrom (3–9). Kawasakis syndrom er en selvbegrensende vaskulitt, først og fremst hos barn < 5 år, som kan føre til inflammasjon i middels store arterier og utvikling av koronare aneurismer. Diagnosen stilles på bakgrunn av definerte kriterier (12). Patogenesen er uavklart, men hypotesen er at dette dreier seg om en sen immunmediert respons sekundært til et infeksiøst agens hos genetisk disponerte personer (13).

    I Frankrike er det beskrevet 35 barn med en sykehistorie og et forløp som er svært likt det vi beskriver hos vår pasient. Barna hadde en median alder på ti år og utviklet et febrilt kardiogent sjokk med venstre ventrikkel-dysfunksjon og inflammatorisk syndrom. De hadde høye inflammasjonsmarkører, inkludert svært høye nivåer av interleukin-6, som indikerte cytokinstorm. Gastrointestinale symptomer ble beskrevet hos 83 % (7).

    I England hadde 58 barn med multiorgan inflammatorisk syndrom et stort spekter av symptomer og varierende alvorlighetsgrad, fra feber og inflammasjonstegn til myokardskade, sjokk og utvikling av koronare aneurismer. 50 % av barna utviklet sjokk og hadde behov for inotropisk støtte (9).

    Multiorgan inflammatorisk syndrom og Kawasakis syndrom har mange likheter som feber, mukokutane fenomener, lymfadenopati, myokarditt og høye inflammasjonsmarkører, men skiller seg også tydelig fra hverandre (tabell 2). Multiorgan inflammatorisk syndrom har ofte et raskere og mer alvorlig forløp og ser ut til særlig å affisere eldre barn med afroamerikansk opprinnelse (heller enn asiatisk, som ved Kawasakis syndrom). Pasientene har gastrointestinale symptomer og kan utvikle venstre ventrikkel-dysfunksjon og kardiogent sjokk, noe som er uvanlig ved Kawasakis syndrom. Det er beskrevet sjokksyndrom med lavt blodtrykk og dårlig perifer sirkulasjon ved Kawasakis syndrom, men ved denne tilstanden er det uvanlig med venstre ventrikkel-dysfunksjon (14, 15). Lymfopeni, trombocytopeni og høy pro-BNP er typisk ved multiorgan inflammatorisk syndrom, men ikke ved Kawasakis syndrom (4–9).

    Tabell 2

    Karakteristiske forskjeller mellom multiorgan inflammatorisk syndrom (MIS) og Kawasakis syndrom (39, 12, 13).

    Karakteristika

    Multiorgan inflammatorisk syndrom

    Kawasakis syndrom

    Alder

    80 % > 5 år

    Oftest < 5år
    Svært sjelden > 11 år

    Etnisitet

    Oftest afroamerikansk. Det er foreløpig ikke beskrevet tilfeller i Japan eller Kina

    Oftest asiatisk

    Gastrointestinale symptomer

    Forekommer hos nesten alle

    Forekommer hos noen

    Hjerte- og karforandringer

    Venstre ventrikkel-dysfunksjon med høy pro-BNP

    Sjelden myokarditt, oftere affeksjon av koronarkar. Sjelden forhøyet pro-BNP

    Lymfopeni/trombocytopeni

    Ja

    Nei

    Feber

    Ja, rask og høy

    Ja, men kan være lavgradig

    Sars-CoV-2

    Ja, ofte antistoffpositiv
    (men ofte PCR-negativ i nasofarynks)

    Nei

    Vår pasient hadde både positiv serologi og PCR i larynksaspirat. Sars-CoV-2-PCR er ofte positiv tidlig i forløpet, men kan være positiv lenge etter smitte og indikerer ikke nødvendigvis tilstedeværelse av levende virus (16). Den serologiske testen er en totaltest, dvs. en kombinasjon av både IgM og IgG. Den kan ikke angi eksakt sykdomsvarighet, da den kan bli positiv allerede få dager etter smittetidspunkt og forbli positiv i lang tid. Sensitiviteten er oppgitt til 100 % tatt etter 14 dager, men er lavere jo tidligere den er tatt etter symptomdebut. Spesifisitet oppgis til 99,8 % (1). Ved negativ serologi og sterk mistanke om sars-CoV-2-infeksjon bør antistofftesting repeteres etter noen uker.

    De fleste pasientene med multiorgan systemisk inflammasjon har hatt negativ sars-CoV-PCR i nasofarynksaspirat, men positiv IgG i serum. Av de første 94 barna som ble beskrevet, hadde 68 % utelukkende positiv serologi, mens 26 % hadde både positiv serologi og PCR i nasofarynksaspirat (5, 7, 8). I tillegg ser det ut til at økningen i forekomsten av tilstanden kom 3–4 uker etter smittetoppen for covid-19 (3, 6). Dette støtter hypotesen om at det er en sen immunrespons og ikke primærinfeksjonen som gir dette sykdomsbildet. Vi mistenker at dette gjelder også for vår pasient.

    Pasienten hadde beskjedne og raskt forbigående symptomer fra luftveiene og sparsomme radiologiske forandringer. Generelt er det beskrevet sparsomme forandringer på røntgen og CT thorax ved covid-19 hos barn, og det anbefales kun bildediagnostikk dersom tilstanden raskt forverrer seg, barnet har kjent underliggende lungesykdom, det får konsekvenser for behandlingen eller for å evaluere behandlingsrespons (17).

    I likhet med vår pasient har barn med alvorlig inflammatorisk respons ofte magesmerter som debutsymptom og blir først henvist til kirurgisk vurdering med spørsmål om blindtarmsbetennelse (4, 6, 7, 9, 18). Det er i disse tilfellene viktig raskt å utelukke en kirurgisk tilstand, etablere samarbeid med barnelege, kontinuere smitteisolasjonen og ta gjentatte diagnostiske tester, inklusiv antistoffer i serum.

    Vår pasient ble skrevet ut og ble fulgt opp etter 5 uker uten at det var holdepunkter for koronare aneurismer. Langtidsprognosen med tanke på risikoen for å utvikle aneurismer ved multiorgan inflammatorisk syndrom er fortsatt uavklart. Av totalt 114 barn med multiorgan inflammatorisk syndrom i Frankrike og England var det 19 som fikk påvist moderat dilatasjon (Z-score > +2) av koronararteriene, åtte utviklet koronare aneurismer og ett barn døde (6, 7, 9).

    Selv om sars-CoV-2-infeksjoner i hovedsak rammer barn mildt og utvikling av multiorgan inflammatorisk syndrom forekommer sjelden, er det viktig å gjenkjenne tilstanden tidlig. Barna må henvises til en avdeling med kompetanse på multidisiplinær intensivbehandling av barn. Målet for behandlingen er å sikre adekvat sirkulasjon og hindre senkomplikasjoner ved å gi antiinflammatorisk behandling.

    Det er mye vi ikke vet om sars-CoV-2 hos barn, og kasuistikken understreker betydningen av rask deling av observasjoner og behovet for oppdatert kunnskap om denne nye tilstanden.

    Pasientens foresatte har samtykket til at artikkelen blir publisert.

    Artikkelen er fagfellevurdert.

    Kommentarer  ( 0 )
    PDF
    Skriv ut

    Anbefalte artikler