En middelaldrende mann ble innlagt på grunn av forhøyede leververdier og ikterus. Grunnet mistanke om malignitet gjennomgikk mannen omfattende leverkirurgi. Histologiske undersøkelser av operasjonsresektatet avdekket en uventet og underdiagnostisert sykdom.
En mann i 50-årene oppsøkte fastlegen etter to måneders sykehistorie med sentrale magesmerter. Han hadde urinsyregikt og brukte kolkisintabletter (0,5 mg) ved behov. Han hadde aldri røykt og hadde et ubetydelig alkoholforbruk. Orienterende blodprøver viste lett forhøyet amylase på 168 U/l (referanseområde 10–65 U/l). Verdiene av levertransaminaser, bilirubin og alkalisk fosfatase var normale. Ultralydundersøkelse og magnetisk resonanstomografisk kolangiopankreatikografi (MRCP) viste normale funn i lever og galleveier, men pankreas var atrofisk med uregelmessig pankreasgang forenelig med kronisk pankreatitt.
Fastlegen henviste pasienten til gastrokirurgisk poliklinikk for videre utredning. Ved denne konsultasjonen, som fant sted åtte uker senere, ble det tatt blodprøve som viste tilnærmet normalisert amylaseverdi på 68 U/l (10–65 U/l). Øvrige blodprøver, inkludert analyse av levertransaminaser og alkalisk fosfatase, var normale. Galleblæren lot seg ikke vurdere ved gjennomført bildediagnostikk. Ny ultralydundersøkelse av abdomen ble derfor rekvirert med spørsmål om gallesteinssykdom, men dette ble utelukket. Vår pasient hadde ikke typiske bildediagnostiske funn for autoimmun pankreatitt, der man vanligvis ser homogen oppladning i en ødematøs og forstørret pankreas. Autoimmun pankreatitt ble derfor ikke vurdert som en differensialdiagnose på dette tidspunktet.
De vanligste årsakene til kronisk pankreatitt er alkohol og røyking, og en god anamnese er derfor viktig. Obstruksjon av pankreasgangen som følge av gallestein, strikturer eller tumor må utelukkes (1). Autoimmun pankreatitt er en differensialdiagnose som er viktig å avklare på grunn av god respons på behandling med steroider. Autoimmun pankreatitt deles inn i type 1 og type 2: Type 1 har forhøyet nivå av IgG4 (immunglobulin G subklasse 4) og regnes som en manifestasjon av IgG4-relatert sykdom, mens IgG4-nivået er normalt ved type 2 (2). Hyperlipidemier, hyperkalsemi, kronisk nyresvikt og medikamenter er andre årsaker til kronisk pankreatitt. Pankreatitt kan også være genetisk betinget, og det er eventuelt viktig å avdekke dette fordi pasienter med arvelig pankreatitt har økt risiko for adenokarsinom i pankreas. Det er spesielt den autosomalt dominante PRSS1-mutasjonen som gir forhøyet risiko. Genetisk veiledning er anbefalt til pasienter under 25 år med førstegangs idiopatisk pankreatitt og til dem som har flere førstegradsslektninger med kronisk pankreatitt (1). I 2018 ble det publisert en oversiktsartikkel om kronisk pankreatitt i Tidsskriftet (1).
Pasienten oppsøkte fastlegen på nytt halvannen måned etter konsultasjonen ved gastrokirurgisk poliklinikk. Pasienten hadde hatt et gradvis vekttap på 16 kg, fra 83 til 67 kg, de siste seks månedene. De siste ukene hadde han fått diaré med opptil 10–15 tømninger i døgnet. Avføringen var grålig og fløt i doskålen, og urinen var mørk. Han hadde forstørrede glandler på halsen, og den siste uken hadde han hatt intens hudkløe som påvirket nattesøvnen. Det var ingen nattesvette, og magesmertene hadde på dette tidspunktet gått over. Fastlegen tok nye blodprøver, som nå viste utfall i leverprøver med gammaglutamyltransferase (GT) 1 170 U/l (15–115 U/l), alkalisk fosfatase 243 U/l (35–105 U/l), alaninaminotransferase (ALAT) 380 U/l (10–70 U/l) og bilirubin 28 µmol/l (< 25 µmol/l). Infeksjonsprøver viste leukocytter 4 ∙ 109/l (3,5–8,8 ∙ 109/l), senkningsreaksjon 15 mm/t (< 20 mm/t) og CRP 6 mg/l (< 5 mg/l). Grunnet mistanke om uavklart alvorlig sykdom ble pasienten henvist til indremedisinsk avdeling og pakkeforløp for kreft.
Pasienten kom til poliklinisk konsultasjon dagen etter mottatt henvisning. Det hadde nå gått åtte måneder siden symptomdebut. Ved undersøkelse var blodtrykket 150/105 mm Hg og pulsen 73 slag/min. Pasienten hadde lymfadenopati med 4 × 3 cm store glandler på begge sider av halsen og en mindre lymfeknute i venstre lyske, som ble vurdert til å sannsynligvis være patologisk. Allmenntilstanden fremstod lett redusert. Pasienten ble utredet med CT-lymfomprotokoll, som viste en stor, diffus oppfylning i leverhilum som vokste inn i ductus hepaticus communis (figur 1a). Glandlene på halsen ble beskrevet som fyldige submandibulære spyttkjertler og var ikke metastasesuspekte (figur 1b). Pankreas var atrofisk som ved tidligere MR-undersøkelse (figur 1c). Funnet ga sterk mistanke om et perihilært kolangiokarsinom.
Kolangiokarsinomer kan oppstå i alle segmenter av galletreet og er en sjelden kreftsykdom i den vestlige verden med en insidens på rundt 1–2 per 100 000 (3).
Primær skleroserende kolangitt er den viktigste risikofaktoren, men de fleste kolangiokarsinomer oppstår sporadisk. Perihilære kolangiokarsinomer er den vanligste typen og oppstår nær konfluens av høyre og venstre hovedgallegang (3). Perihilært kolangiokarsinom kalles også Klatskin-tumor etter legen Gerald Klatskin, som beskrev tilstanden for over 50 år siden (4). Diagnosen stilles som regel sent, og 90 % av pasientene debuterer med stille ikterus. Prognosen ved kolangiokarsinom er svært dårlig med femårsoverlevelse for hele gruppen på mindre enn 20 %. Den eneste kurative behandlingen er kirurgi, men bare 25–30 % av pasientene ansees som operable på diagnosetidspunktet (3). Tendensen de siste årene går mot mer aggressiv kirurgisk behandling og inkluderer levertransplantasjon for strengt utvalgte pasienter.
Pasienten utviklet ikterus og ble innlagt ved gastrokirurgisk avdeling. Blodprøver ved innkomst viste bilirubin 130 µmol/l. Utredning med MRCP-undersøkelse viste en lang okklusjon i konfluensen mellom høyre og venstre hovedgallegang med dilatasjon av intrahepatiske galleganger. Det ble ikke sett kaliberveksling som ved primær skleroserende kolangitt, og verdien av tumormarkøren karbohydratantigen 19–9 (CA19–9) var normal på 7 kU/l (< 35 kU/l). Høye serumverdier av CA19–9 kan påvises ved kreft i pankreas eller gallegangene, men sees også ved inflammasjon og gallestase av benigne årsaker. Lave nivåer av CA19–9 kan sees selv om det foreligger avansert kolangiokarsinom (3). Pasienten ble diskutert på multidisiplinære team-møter, og funnene ble vurdert å høyst sannsynlig skyldes kolangiokarsinom. Pasienten ble vurdert å ha resektabel sykdom.
På grunn av stigende bilirubinnivå på 190 µmol/l og intens hudkløe ble det utført endoskopisk retrograd kolangiopankreatikografi (ERCP) og lagt inn en dobbel pigtail-stent gjennom det trange området i leverhilum. Det ble tatt børstecytologisk prøve, og denne viste normalt gallegangsepitel. På tross av velplassert stent ble pasienten tiltagende ikterisk, og blodprøver viste stigende bilirubinverdier fra 190 µmol/l til 230 µmol/l. Det var ikke klinisk eller biokjemisk mistanke om kolangitt. Man anla perkutan drenasje via perkutan transhepatisk kolangiografi (PTC-dren) i venstre hovedgallegang, og ved ny ERCP ble pigtail-stenten erstattet med to rette plaststenter i henholdsvis høyre og venstre hovedgallegang. På tross av dette var bilirubinkonsentrasjonen vedvarende forhøyet med en verdi på 200 µmol/l.
Hos vår pasient ble det utført preoperativ drenasje av leveren for å minske risikoen for postoperativ leversvikt. I noen tilfeller er det nødvendig å kombinere endoskopisk og perkutan drenasje. Ved ERCP-undersøkelse kan det plasseres en eller flere stenter forbi tumoren som obstruerer. På grunn av komplikasjonsrisiko gjøres undersøkelsen i dag nesten utelukkende i terapeutisk sammenheng (5).
Til tross for velplasserte stenter i galleveiene holdt bilirubinverdien seg fortsatt høy. Man kan tenke seg at dette skyldes deltabilirubin, som dannes ved langvarig okklusjonsikterus og har en lang halveringstid på to–tre uker. Pasienten ble på dette tidspunktet overflyttet direkte til Rikshospitalet for operasjon.
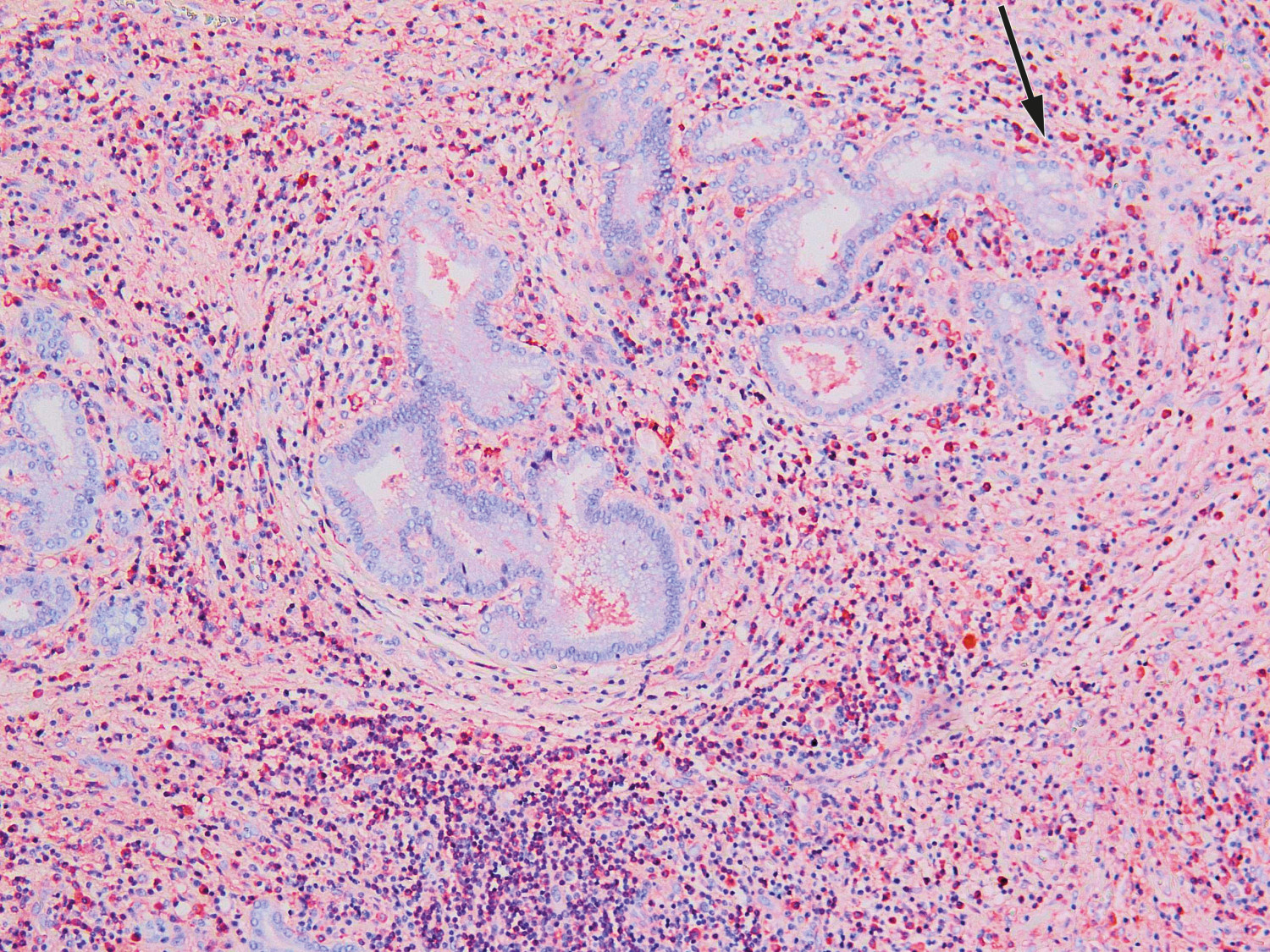
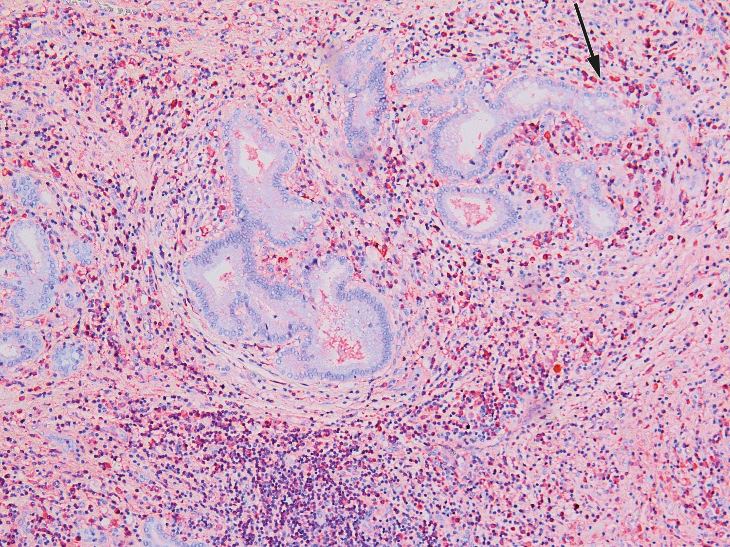
Seks dager etter overflytning ble det utført utvidet høyresidig leverreseksjon med hepatikojejunostomi. Postoperativt utviklet pasienten leversvikt med påfølgende iskemisk nekrose i gjenværende levervev. Tilstanden ble bedømt som meget alvorlig med liten sjanse for spontan bedring. Reseksjonspreparatet ble derfor undersøkt som cito-prøve i tilfelle tilstanden skulle være benign og dermed tillate transplantasjon. Histologisk prøve fra leverhilum viste ikke tegn til malignitet, men lymfoplasmacytære infiltrater og rikelig med eosinofile granulocytter. Immunhistokjemisk undersøkelse påviste overvekt av IgG4-positive plasmaceller og forhøyet IgG4/IgG-ratio på over 0,4 (figur 2). Serum-IgG4-prøve ble tatt postoperativt og var forhøyet på 6,0 g/l (0,03–2,01 g/l). Funnene var forenelige med IgG4-relatert sykdom.
Pasienten ble satt på venteliste til levertransplantasjon. I mellomtiden ble den kliniske tilstanden betydelig forverret med snøvlet tale, ordleting og latens, og 14 dager etter leverreseksjonen ble han overflyttet til intensivavdelingen for overvåkning. Det tilkom en signifikant stigning i konsentrasjonen av ammoniakk (78 μmol/l, referanseområde < 35 μmol/l), laktat (5,8 mmol/l, < 2,0 mmol/l), laktatdehydrogenase (659 U/l, 105–205 U/l), aspartataminotransferase (ASAT) (1 232 U/l, < 45 U/l) og ALAT (784 U/l). INR var 1,5 og kreatinin 48 µmol/l (60–105 µmol/l). Bilirubinverdien holdt seg stabil rundt 200 µmol/l. Det var stigende verdier for CRP og prokalsitonin på henholdsvis 135 mg/l og 1,9 µg/l (< 0,1 µg/l) på tross av pågående intravenøs behandling med piperacillin og tazobaktam. CT abdomen viste progresjon av nekrotiske områder i leveren og økende ascites med tegn til peritonitt. På grunn av klinisk forverring med encefalopati og betydelig redusert allmenntilstand ble pasientens status på ventelisten til levertransplantasjon omgjort til «urgent». 17 dager etter leverreseksjonen gjennomgikk pasienten en levertransplantasjon, og tre uker etter transplantasjonen kunne han utskrives til hjemmet.
Pasienten er nå immunsupprimert med prednisolon, mykofenolatmofetil og takrolimus. Ved kontroll ett år etter levertransplantasjonen har pasienten ingen palpable spyttkjertler, og serum-IgG4 er normalisert på 1,1 g/l (0,03–2,01 g/l). Han følges opp med tanke på residiv av IgG4-relatert sykdom.
Diskusjon
IgG4-relatert sykdom er en systemisk, immunmediert sykdom karakterisert ved inflammasjon og progredierende fibrose. Tilstanden ble første gang beskrevet i litteraturen i 2003, og i 2011 ble begrepet IgG4-relatert sykdom definert. I 2017 ble det publisert en oversiktsartikkel om IgG4-relatert sykdom i Tidsskriftet (2).
Den typiske pasienten med IgG4-relatert sykdom er en middelaldrende eller eldre mann. Autoimmun pankreatitt type 1 er den vanligste manifestasjonen og utgjør 60 % av tilfellene. Deretter kommer affeksjon av spyttkjertler, nyrer, tårekjertler og retroperitoneal fibrose. Halvparten av pasientene har affeksjon av to eller flere organer (6).
Typiske funn i vevsbiopsi med lymfoplasmacytær betennelse, storiform fibrose og et forhold mellom IgG4- og IgG-positive plasmaceller på over 0,4 ved immunhistokjemisk undersøkelse regnes som gullstandard, men diagnosen må stilles ut ifra en kombinasjon av radiologiske, patologiske og serologiske funn (6). De mest kjente diagnostiske kriteriene er HISORt-kriteriene (histology, imaging, serology, other organ involvement og response to steroid therapy), som ble utarbeidet for diagnostikk av autoimmun pankreatitt og senere modifisert for IgG4-relatert skleroserende kolangitt (7).
Serum-IgG4 er lite sensitiv og spesifikk, og etablert grenseverdi mangler (6). Forhøyet IgG4 kan sees ved malignitet og annen inflammatorisk sykdom som for eksempel hos 10–15 % av pasienter med primær skleroserende kolangitt (8). Forhøyet IgG4 i serum må derfor tolkes med varsomhet. Vurdering av IgG4/IgG1ratio (> 0,24) og IgG4/total-IgG-ratio (> 0,1) er angitt å ha høyere spesifisitet enn serum-IgG4 alene (8). IgG4/IgG-RNA-ratio har vist lovende resultater som en mer presis markør, men er ikke tilgjengelig for klinisk bruk (9).
Antall plasmablaster per milliliter er ofte forhøyet og kan ha diagnostisk nytteverdi sammen med serum-IgG4 (10). Serum-plasmablaster analyseres i dag ved Oslo universitetssykehus, Rikshospitalet. Forhøyet IgE og eosinofili er vanlig, og økt CRP og senkningsreaksjon kan sees. Ved mistanke om systemisk IgG4-relatert sykdom gjøres PET-CT-undersøkelse for å vurdere sykdomsutbredelse og behandlingsrespons (6).
Pasienter med IgG4-relatert skleroserende kolangitt debuterer ofte med ikterus, vekttap og magesmerter, slik som tilfellet var for vår pasient. Det kan være vanskelig å skille IgG4-relatert skleroserende kolangitt fra primær skleroserende kolangitt fordi funn ved MRCP- og ERCP-undersøkelse kan være helt identiske. Differensialdiagnostikken er svært viktig fordi det får konsekvenser for terapi, oppfølgning og prognose (6).
Vår pasient fikk påvist IgG4-relatert sykdom med affeksjon av pankreas, galleganger og spyttkjertler. Sykehistorien debuterte med funn av kronisk pankreatitt, og det er sannsynlig at pasienten har hatt residiverende IgG4-relatert autoimmun pankreatitt selv om bildediagnostiske funn ikke var typiske for dette på diagnosetidspunktet.
Operasjonsresektatet avdekket at pasienten hadde IgG4-relatert inflammatorisk pseudotumor i leverhilum, som trolig hadde betydning for manglende effekt av galledrenasje. IgG4-relatert pseudotumor er hyppigst beskrevet i lunge, nyre og øyehule, og er en sjelden årsak til oppfylninger i leverhilum. Biopsi av malignitetssuspekte perihilære strukturer unngås i stor grad fordi man er redd for tumordisseminering og på grunn av risiko for pankreatitt og kolangitt (3).
Pasienthistorien viser hvor viktig det er å tenke bredt differensialdiagnostisk når kart og terreng ikke stemmer. I tilfellet med vår pasient var det kombinasjonen av manglende respons på galledrenasje og affeksjon av flere organer som gjorde at man burde tenke i retning av systemsykdom. Analyse av serum-IgG4 ble ikke gjort under utredningsfasen, men det har begrenset diagnostisk nytteverdi alene fordi serum-IgG4 også kan være forhøyet ved malignitet. Normal børstecytologisk prøve og normal CA19–9-verdi kan man ikke vektlegge tatt i betraktning den lave sensitiviteten til disse undersøkelsene. Dersom man hadde vurdert IgG4-relatert sykdom tidligere i forløpet, kunne det ha vært relevant å ta vevsbiopsi fra de forstørrede spyttkjertlene og gjøre et behandlingsforsøk med steroider. Dilemmaet er at man i denne perioden ville ha risikert at pasienten utviklet et ikke-resektabelt kolangiokarsinom.
IgG4-relatert sykdom er antatt å være underdiagnostisert på grunn av manglende oppmerksomhet rundt tilstanden (6). Sykdommen må vurderes som en differensialdiagnose ved oppfylninger i pankreas og strikturer i galleveiene. I en studie fra Nederland hadde 15 % av pasientene som gjennomgikk operasjon på grunn av mistanke om perihilært kolangiokarsinom, en benign striktur, og av disse var det 42 % som hadde IgG4-relatert sykdom (11).
For å forhindre fibroseutvikling og irreversibel organskade er det viktig å komme tidlig til med behandling. I 2015 introduserte en internasjonal ekspertgruppe behandlingsanbefalinger for IgG4-relatert sykdom (12). Peroral prednisolon (30–40 mg daglig) i to–fire uker og deretter gradvis nedtrapping er førstevalget i behandlingen, og de fleste pasienter responderer godt på dette (13). Tilbakefall under nedtrapping og seponering er vanlig, og langtidsbehandling med prednisolon (5–7,5 mg daglig) reduserer risikoen for residiv (13). Praksis vedrørende andrelinjebehandling varierer internasjonalt. Prospektive studier på tradisjonelle steroidsparende medikamenter som azatioprin, metotreksat og mykofenolatmofetil finnes ikke, og det er lite data som støtter at disse medikamentene er effektive ved IgG4-relatert sykdom (12).
Rituksimab er et monoklonalt antistoff mot B-cellemarkøren CD20 og har vist lovende resultater (14). Rituksimab reduserer selektivt antallet CD20-positive B-lymfocytter, noe som sekundært reduserer antallet sirkulerende plasmaceller som produserer IgG4. Dette gjenspeiles i at antallet plasmablaster (et cellestadium mellom modne B-celler og differensierte plasmaceller) per milliliter reduseres signifikant etter behandling med rituksimab (6). Behandling med intravenøs rituksimab med to doser på 1 gram gitt med 14 dagers mellomrom har vist seg effektivt for å indusere remisjon, og medikamentet tolereres som regel svært godt (14). Klinisk erfaring tilsier at rituksimab bør tilbys pasienter som ikke tolererer eller ikke oppnår ønsket effekt av prednisolon. Dokumentasjonen for vedlikeholdsbehandling med rituksimab er sparsom (14, 15). Patogenesen ved IgG4-relatert sykdom er bare delvis kartlagt, men den gode responsen på rituksimab indikerer at B-lymfocytter spiller en sentral rolle.
Konklusjon
IgG4-relatert sykdom kan forveksles med flere maligne og inflammatoriske tilstander, og diagnostikken kan være vanskelig. Ved mistanke om malignitet i pankreas eller galleveiene er IgG4-relatert sykdom en aktuell differensialdiagnose, og man bør aktivt søke etter annen organmanifestasjon. Tilstanden kan i prinsippet affisere alle kroppens organer, og kunnskap om denne diagnosen er relevant for alle subspesialiteter.
Takk til radiolog Eystein Arnø ved Bildediagnostisk avdeling ved Akershus universitetssykehus for bilder til artikkelen.
Pasienten har gitt samtykke til at artikkelen blir publisert.
Artikkelen er fagfellevurdert.
- 1.
Engjom T, Waage A, Hoem D et al. Kronisk pankreatitt – utredning og behandling. Tidsskr Nor Legeforen 2018; 138. doi: 10.4045/tidsskr.17.0341. [PubMed][CrossRef]
- 2.
Vikse J, Håland S, Norheim KB. IgG4-relatert sykdom. Tidsskr Nor Legeforen 2017; 137. doi: 10.4045/tidsskr.16.1099. [PubMed][CrossRef]
- 3.
Razumilava N, Gores GJ. Cholangiocarcinoma. Lancet 2014; 383: 2168–79. [PubMed][CrossRef]
- 4.
Klatskin G. Adenocarcinoma of the hepatic duct at its bifurcation within the porta hepatis. An unusual tumor with distinctive clinical and pathological features. Am J Med 1965; 38: 241–56. [PubMed][CrossRef]
- 5.
Dumonceau JM, Tringali A, Blero D et al. ESGE Clinical Guideline for biliary stenting. Endoscopy 2012; 44: 277–98. [PubMed]
- 6.
Kamisawa T, Zen Y, Pillai S et al. IgG4-related disease. Lancet 2015; 385: 1460–71. [PubMed][CrossRef]
- 7.
Chari ST. Diagnosis of autoimmune pancreatitis using its five cardinal features: introducing the Mayo Clinic's HISORt criteria. J Gastroenterol 2007; 42 (suppl 18): 39–41. [PubMed][CrossRef]
- 8.
Boonstra K, Culver EL, de Buy Wenniger LM et al. Serum immunoglobulin G4 and immunoglobulin G1 for distinguishing immunoglobulin G4-associated cholangitis from primary sclerosing cholangitis. Hepatology 2014; 59: 1954–63. [PubMed][CrossRef]
- 9.
Doorenspleet ME, Hubers LM, Culver EL et al. Immunoglobulin G4(+) B-cell receptor clones distinguish immunoglobulin G 4-related disease from primary sclerosing cholangitis and biliary/pancreatic malignancies. Hepatology 2016; 64: 501–7.
- 10.
Wallace ZS, Mattoo H, Carruthers M et al. Plasmablasts as a biomarker for IgG4-related disease, independent of serum IgG4 concentrations. Ann Rheum Dis 2015; 74: 190–5. [PubMed][CrossRef]
- 11.
Roos E, Hubers LM, Coelen RJS et al. IgG4-associated cholangitis in patients resected for presumed perihilar cholangiocarcinoma: A 30-year tertiary care experience. Am J Gastroenterol 2018; 113: 765–72. [PubMed][CrossRef]
- 12.
Khosroshahi A, Wallace ZS, Crowe JL et al. International consensus guidance statement on the management and treatment of IgG4-related disease. Arthritis Rheumatol 2015; 67: 1688–99. [PubMed][CrossRef]
- 13.
Masamune A, Nishimori I, Kikuta K et al. Randomised controlled trial of long-term maintenance corticosteroid therapy in patients with autoimmune pancreatitis. Gut 2017; 66: 487–94. [PubMed][CrossRef]
- 14.
Carruthers MN, Topazian MD, Khosroshahi A et al. Rituximab for IgG4-related disease: a prospective, open-label trial. Ann Rheum Dis 2015; 74: 1171–7. [PubMed][CrossRef]
- 15.
Majumder S, Mohapatra S, Lennon RJ et al. Rituximab maintenance therapy reduces rate of relapse of pancreaticobiliary immunoglobulin G4-related disease. Clin Gastroenterol Hepatol 2018; 16: 1947–53. [PubMed][CrossRef]