En mann i slutten av 40-årene ble innlagt med akutt innsettende slagsymptomer. Utredningen avslørte en sykdom som ofte glemmes, men som forekommer i økende grad og er behandlingstrengende.
En mann av norsk opprinnelse i slutten av 40-årene ble fraktet med ambulanse til lokalsykehus og innlagt på grunn av akutt innsettende ordleting, høyresidig ansiktsskjevhet og parese, styringsvansker og nedsatt sensibilitet i høyre arm og ben. Pasienten hadde frontal hodepine, men var afebril og ikke nakkestiv. Ved undersøkelse ble det bemerket sidelike pupiller med noe treg lysreaksjon bilateralt. CT caput med perfusjon og angiografi av pre- og intracerebrale kar var normal. Trombolysebehandling ble gitt to timer og tre minutter etter iktus. Ved undersøkelse dagen etter hadde pasienten normal tale, men fremdeles lette sensomotoriske utfall i høyre side.
CT-kontroll 24 timer etter trombolyse var normal. Pasienten hadde risikofaktorer for cerebrovaskulær sykdom i form av MODY type 2 (maturity-onset diabetes of the young) og overvekt. Han hadde stillesittende arbeid, hadde aldri røkt og brukte ikke alkohol eller rusmidler. Pasienten fremstod ved innkomst generelt utmattet med redusert stemningsleie, latens og gråtelabilitet. Siste halvåret var han blitt sykemeldt grunnet depressive symptomer.
Pasienten gjennomgikk standard basal etiologisk slagutredning. Orienterende blodprøver var normale med unntak av lett forhøyet SR på 22 mm (referanseområde < 20 mm) og CRP 6 mg/l (< 5 mg/l). Kolesterolverdiene var normale, men HbA1C var noe forhøyet på 69 mmol/mol (28–42 mmol/mol). Det ble registrert normalt blodtrykk, og standard EKG og 24-timers EKG var upåfallende. Ultralydundersøkelse viste normale halskar. Grunnet pasientens relativt lave alder ble diagnostikken supplert med utredning av protrombotiske tilstander, som gav normale funn. Det ble ikke påvist antinukleære antistoffer (ANA) eller anti-nøytrofilt cytoplasma-antistoff (ANCA).
Det finnes mange årsaker til hjerneinfarkt (1). De fleste hjerneinfarkter skyldes storkarsykdom (ca. 50 %) med arterie-til-arterie-embolisering eller trombe i store kar, småkarsykdom (20–25 %) og kardioembolisme (25 %). I tillegg finnes det en rekke uvanlige tilstander som til sammen utgjør sjeldne årsaker til hjerneinfarkt. Pasientens symptomer med dysfasi og sensomotoriske utfall i høyre side gav mistanke om kortikalt infarkt i venstre hemisfære.
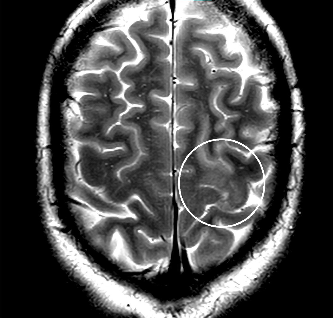
Dagen etter innleggelse i slagavdeling fikk pasienten på ny talevansker, beskrevet som dysartri med stakkatokarakter, samt lette sensomotoriske utfall i høyre overekstremitet med varighet på omtrent fem minutter. CT caput var fortsatt normal. MR caput uten kontrast med time-of-flight-angiografi tatt to dager etter innleggelsen viste antydning til diffusjonsinnskrenkning kortikalt og subkortikalt i primærmotoriske cortex i venstre frontallapp med beskjeden T2-høysignal-forandring samme sted (figur 1). Lesjonen var diffust avgrenset og derfor noe atypisk for hjerneinfarkt.
MR-funnet ble tolket av nevroradiolog. Det var ikke helt typisk for et kortikalt infarkt, men kunne være et resultat av tidlig trombolytisk intervensjon. Forandringer etter et epileptisk anfall kunne heller ikke utelukkes.
Neste morgen fikk pasienten på ny anfall med ordleting og nummenhet distalt i høyre overekstremitet med mulig stivhet i samme ekstremitet. Pasienten angav også vansker med å få med seg alt som ble sagt. Varigheten av symptomene var på opptil flere minutter. Det ble også rapportert om lignende anfall neste dag. Standard EEG to dager etter innleggelsen var normal. Enkel kognitiv testing med mini mental status-evaluering (MMSE), klokketest og trail making test A og B (TMT-A og TMT-B, tester for psykomotorisk tempo, delt oppmerksomhet og simultankapasitet) viste noe nedsatt psykomotorisk tempo, konsentrasjon og oppmerksomhet.
Grunnet vedvarende sensomotoriske utfall i høyre overekstremitet ble diagnosen kortikalt hjerneinfarkt i venstre hemisfære ansett som mest sannsynlig. Anfallsvise symptomforverringer ga imidlertid mistanke om fokale, postapoplektiske epileptiske anfall med bevissthetspåvirkning. Hypoglykemi ble også vurdert som en mulighet, da pasienten under ett av anfallene hadde blodsukkerkonsentrasjon på 3 mmol/l (4–6 mmol/l).
Pasienten ble satt på sekundærforebyggende medikasjon med tromboseprofylakse i form av dipyridamol/acetylsalisylsyre og kolesterolsenkende simvastatin. I tillegg ble orale og subkutane antidiabetika kontinuert, men med noe redusert kveldsdose for å unngå for lave blodsukkerverdier på morgenen. Pasienten ble utskrevet i god bedring etter ti dagers innleggelse med lett taleflytproblematikk.
Søvndeprivert EEG to uker etter utskrivelse viste under innsovning ved noen få anledninger korte løp med polymorf thetaaktivitet på venstre side forenlig med funksjonsforstyrrelse uten epileptiform aktivitet. MR caput uten kontrast etter en måneds tid viste normalisering av beskrevne signalforandringer, men tilkommet subtilt T2-høysignal kortikalt og subkortikalt lateralt for området som hadde patologisk signal sist uten masseeffekt eller diffusjonsinnskrenkning. MR-undersøkelse etter ytterligere en måned viste tilbakegang av tidligere påvist høysignalforandring.
Både ved telefonisk kontakt etter en måneds tid og poliklinisk kontroll etter tre måneders tid kom det frem at pasienten fremdeles slet med hodepine, redusert hukommelse og intermitterende ordleting, spesielt når han ble sliten. Han hadde redusert finmotorikk i høyre hånd, men også svikttendens i høyre ben ved gange over lengre distanser. Pasienten fortalte at han måtte avbryte et rehabiliteringsopphold, da det ble for psykisk belastende. Videre angav han nattesvette og vekttap siste uker.
På bakgrunn av foranderlige, atypiske funn på MR caput og vedvarende kognitive, psykiatriske og fokalnevrologiske symptomer ble pasienten utredet poliklinisk med lumbalpunksjon fem måneders tid etter utskrivelsen. Dette ble gjort for å utelukke inflammatoriske, infeksiøse og maligne tilstander. Funn i cerebrospinalvæsken førte til at pasienten raskt ble reinnlagt på nevrologisk avdeling.
Analyse av cerebrospinalvæske viste forhøyet leukocyttall med 127 leukocytter per mm3 (< 5 per mm3) med 98 % mononukleære celler, forhøyet protein 1,7 g/l (0,15–0,50 g/l), IgG 4,2 g/l (< 0,7 g/l) og serumulike oligoklonale bånd. Det var negativ PCR for nevrotrope virus (herpes simplex, varicella zoster og enterovirus), og tester for Borrelia burgdorferi-IgG og -IgM var negative. Det var ingen vekst ved bakteriologisk dyrkning. Nevronantistoff- og encefalittantistoffprøver i serum og cerebrospinalvæske var negative. Cytologi og flowcytometri av cerebrospinalvæske viste reaktiv leukocytose uten fenotypiske avvik og uten atypiske celler. MR caput og MR totalmedulla med kontrast viste intet patologisk. Syfilisscreening viste imidlertid positiv test for Treponema pallidum-totalantistoff i serum. T. pallidum-hemagglutinasjonstest (TPHA, 4+) og syfilis-reagintest med titer 64 (< 8) var begge positive, mens test for T. pallidum-IgM var negativ. Ved undersøkelse av cerebrospinalvæske ble det påvist T. pallidum-totalantistoff og -DNA.
Syfilisdiagnosen stilles hovedsakelig ved antistoffpåvisning i serum. Dersom screeningtest for T. pallidum-totalantistoff i serum er positiv, undersøker man videre med supplerende serologiske tester. Serologiske tester består av spesifikke Treponema-antistofftester (T. pallidum-totalantistoff, -IgM og -hemagglutinasjonstest) med høy sensitivitet og spesifisitet og non-treponematester med høy sensitivitet, men lav spesifisitet (syfilis-reagintest – antistoff mot cardiolipin). Syfilis-reagintest kan korrelere med aktivitet av infeksjon, men kan også være positiv blant annet ved tuberkulose, hiv og immunologisk sykdom. T. pallidum-IgM og -hemagglutinasjonstest benyttes for å bekrefte diagnosen, og syfilis-reagintest benyttes for å vurdere sykdomsaktivitet og følge behandlingseffekt. Påvisning av T. pallidum-DNA utføres fra primærlesjon eller i annet prøvemateriale ved PCR. I cerebrospinalvæske kan treponematester (T. pallidum-totalantistoff og -IgM) og PCR utføres, men det er ikke aktuelt med undersøkelse av cerebrospinalvæske dersom serologiske prøver er negative. Ved positive serologiske prøver og klinisk mistanke om nevrosyfilis tas prøve fra serum og cerebrospinalvæske samtidig (2).
Pasienten hadde ikke tidligere fått påvist syfilis, og han hadde aldri observert sjanker eller utslett. Han var gift med samme kvinne i flere tiår og hadde ikke tidligere blitt behandlet for seksuelt overførbar sykdom. Serologiske prøver for hiv og hepatitt B og C var negative. Det ble ikke påvist andre kjønnssykdommer. Pasienten ble overflyttet til infeksjonsmedisinsk avdeling for 14 dagers intravenøs behandling med penicillin 5 mill. IE × 4 mot nevrosyfilis. Det ble sendt melding til MSIS (Meldingssystem for smittsomme sykdommer), og smitteoppsporing ble utført i henhold til gjeldende anbefalinger (3).
Etter endt behandling rapporterte pasienten om bedring. Hodepinen hadde forsvunnet, og han følte seg mindre deprimert. Han angav fremdeles redusert energinivå og hukommelses- og konsentrasjonsvansker, noe som også ble bekreftet ved nevropsykologisk testing. Kontroll av blodprøver og cerebrospinalvæske fire måneder etter antibiotikabehandling viste tilfredsstillende respons med reduksjon både i syfilis-reagintest (titer 16) og leukocyttall (8 per mm3), samt at T. pallidum-PCR i cerebrospinalvæske nå var negativ.
Diskusjon
Syfilis er forårsaket av bakterien Treponema pallidum og overføres via direkte kontaktsmitte gjennom slimhinner ved seksuell kontakt samt perinatalt fra mor til foster (4). Inkubasjonstid fra inokulasjon til utvikling av sjankre er 3–90 dager, avhengig av inokulasjonsdose (5). Sykdomsforløpet deles tradisjonelt inn i tre stadier: primær, sekundær og tertiær syfilis (6), men ikke alle smittede gjennomgår alle fasene (4). I tillegg forekommer en symptomfri periode med latent syfilis forut for det tertiære stadiet (6). Diagnostisering av syfilis er utfordrende på grunn av sykdommens atypiske presentasjonsformer og dens likhet med andre sykdommer (7). Syfilis kalles derfor ofte den store imitator (4, 8).
Nevrosyfilis oppstår når T. pallidum infiserer sentralnervesystemet på hvilket som helst stadium av sykdommen (9). Det antas at ca. 5 % av ikke-behandlede syfilispasienter med invasjon av sentralnervesystemet utvikler symptomatisk nevrosyfilis, vanligvis innen de første måneder eller år etter smitte, men pasienten kan være asymptomatisk i årevis (10). Syfilis kan affisere nervesystemet på mange måter, og dette kan resultere i fokale nevrologiske utfall eller global dysfunksjon i sentralnervesystemet (7). Nevrosyfilis inndeles derfor i fem ofte overlappende kategorier: Asymptomatisk, meningeal, meningovaskulær, parenkymatøs og gummatøs (11). Meningovaskulær syfilis oppstår vanligvis fem–ti år etter smitte og er en inflammatorisk prosess hvor arteritt kan føre til innsnevring og okklusjon av blodårene, som igjen resulterer i iskemi og infarkt. Dette kan medføre fokale nevrologiske utfall samt fokale eller generaliserte anfall (8). Rundt 10 % av pasientene med nevrosyfilis presenterer seg med hjerneinfarkt (7). Hjerneinfarkt forårsaket av nevrosyfilis kan ha prodromer i månedsvis i form av for eksempel hodepine, vertigo, insomni, emosjonell labilitet og personlighetsforandringer (9).
Diagnosen nevrosyfilis stilles på bakgrunn av kliniske symptomer, økt celletall og proteininnhold i cerebrospinalvæske samt positiv syfilisserologi (12). MR-funn ved nevrosyfilis er ikke spesifikke. De vanligste avvikene ved MR er funn av cerebral vaskulitt, kontrastopptak, atrofi, lesjoner i hvit substans, cerebrale infarkter og ødem. Helt normale funn er også vanlig (13).
Vår pasient fikk påvist nevrosyfilis ved lumbalpunksjon etter en lengre utredningsperiode. Det var ukjent når sykdommen oppstod, da pasienten ikke kjente til smittetidspunktet og ikke hadde observert sjanker. Han hadde fått tidlig trombolytisk behandling, noe som kunne forklare det sparsomme funnet på den første MR caput. I ettertid ser vi imidlertid at pasienten hadde en tydelig prodromal fase med hodepine, kognitive endringer og psykiatriske symptomer. De vanligste presentasjonsformene for nevrosyfilis er nettopp psykiatriske symptomer og kognitive endringer (14). Lett forhøyede infeksjonsparametre i serum, tregt lysreagerende pupiller, diffuse MR-funn og gjentatte slagliknende tilfeller som kunne minne om transitorisk iskemisk attakk eller fokale epileptiske anfall, passet godt med nevrosyfilis. Pasientens prodromale fase var sannsynlig hans første symptom på syfilis og burde vært tillagt større vekt ved første innleggelse, og han skulle vært utredet med lumbalpunksjon allerede da. Den diagnostiske forsinkelsen understreker viktigheten av lav terskel for rask cerebrospinalvæskeundersøkelse hos pasienter med nevrologiske symptomer.
Syfilis var tidligere en velkjent differensialdiagnose til nevropsykiatriske lidelser, men har i løpet av den antibiotiske æra blitt en sjeldenhet i industrialiserte land (15). Man ser imidlertid nå en oppblomstring av syfilis i Europa (16). Ifølge Folkehelseinstituttet har antall syfilistilfeller i Norge økt betydelig fra slutten av 1990-årene. I 2017 fikk MSIS melding om 223 tilfeller av syfilis mot 188 tilfeller i 2016. Man må 40 år tilbake for å finne like høye årsinsidenser av syfilis i Norge. Økningen sees særlig i den hyppigst rammede gruppen – menn som har sex med menn – hvor sykdommen nå kan betraktes som endemisk, men det er også en økning blant heteroseksuelle menn og kvinner. Det er imidlertid spesielt hiv-positive menn som har sex med menn, som er utsatt for syfilissmitte. Det oppfordres derfor til økt årvåkenhet i helsetjenesten (17).
Man har tidligere ikke anbefalt rutinemessig screeningundersøkelse av uselekterte pasienter med nevrologiske symptomer for å avdekke syfilis på grunn av den lave insidensen i Norge (18). Insidensen av syfilis er imidlertid økende (17), og det er påvist at bakenforliggende syfilis ofte oversees hos hjerneinfarktpasienter (11). Det er derfor foreslått at det bør utføres screening for syfilis hos disse pasientene (7, 11, 12, 19, 20). Screeningtest gjøres i dag relativt enkelt og rimelig med helautomatisert undersøkelse av T. pallium-totalantistoff i serum (2). Meningovaskulær syfilis bør mistenkes hos unge hjerneinfarktpasienter med kryptogene slag, prodromal fase og økt risiko for syfilissmitte samt fravær av risikofaktorer for cerebrovaskulær lidelse (9). Syfilis bør også mistenkes dersom pasienten har bakgrunn fra eller har oppholdt seg i endemiske områder (8).
Konklusjon
Sykehistorien illustrerer hvor utfordrende utredning av hjerneinfarkt kan være. Syfilis er en sjelden sykdom i Norge, og diagnostiseringen er ofte vanskelig og krever spesifikk mistanke. Økende forekomst og sykdommens behandlingsmessige konsekvenser gjør det viktig med årvåkenhet rundt tilstanden.
Pasienten har gitt samtykke til at artikkelen blir publisert.
Vi takker infeksjonsmedisinsk avdeling ved Akershus universitetssykehus for behandling og videre oppfølging av denne pasienten og Avdeling for mikrobiologi ved Oslo universitetssykehus, Ullevål, for konfirmasjonstesting.
Artikkelen er fagfellevurdert.
- 1.
Lund C, Wallace S, Russel D. Cerebrovaskulære sykdommer. I: Gjerstad L, Helseth E, Rootweelt T, red. Nevrologi og nevrokirurgi fra barn til voksen. Forlaget Vett og Viten, 2014: 325–47.
- 2.
Hanlon M, Samdal HH, Ormaasen V. Prosedyre Syfilis – diagnostikk og behandling. Kirurgi, inflammasjonsmedisin og transplantasjon / Avd. revmatologi, hud og infeksjonssykdommer/ Olafiaklinikken. Oslo: Oslo Universitetssykehus, 2015. https://oslo-universitetssykehus.no/seksjon/nasjonal-kompetansetjeneste-for-seksuelt-overforte-infeksjoner/Documents/Syfilis%20-%20diagnostikk%20og%20behandling.pdf Lest 7.10.2019.
- 3.
Folkehelseinstituttet. Smittevernveilederen. Smitteoppsporing ved seksuelt overførbare infeksjoner – veileder for helsepersonell. https://www.fhi.no/nettpub/smittevernveilederen/temakapitler/16.-smitteoppsporing-ved-seksuelt-o/ Lest 7.10.2019.
- 4.
Folkehelseinstituttet. Smittevernveilederen. Syfilis – veileder for helsepersonell. https://www.fhi.no/nettpub/smittevernveilederen/sykdommer-a-a/syfilis---veileder-for-helsepersone/ Lest 7.10.2019.
- 5.
Kampmeier RH. Essentials of syphilology. 3. utg. Philadelphia, PA: JB Lippincott, 1943.
- 6.
Berger JR, Dean D. Neurosyphilis. Handb Clin Neurol 2014; 121: 1461–72. [PubMed][CrossRef]
- 7.
Abkur TM, Ahmed GS, Alfaki NO et al. Neurosyphilis presenting with a stroke-like syndrome. BMJ Case Rep 2015; 2015: bcr2014206988. [PubMed][CrossRef]
- 8.
Gilad R, Lampl Y, Blumstein G et al. Neurosyphilis: the reemergence of an historical disease. Isr Med Assoc J 2007; 9: 117–8. [PubMed]
- 9.
Chahine LM, Khoriaty RN, Tomford WJ et al. The changing face of neurosyphilis. Int J Stroke 2011; 6: 136–43. [PubMed][CrossRef]
- 10.
Golden MR, Marra CM, Holmes KK. Update on syphilis: resurgence of an old problem. JAMA 2003; 290: 1510–4. [PubMed][CrossRef]
- 11.
Liu LL, Zheng WH, Tong ML et al. Ischemic stroke as a primary symptom of neurosyphilis among HIV-negative emergency patients. J Neurol Sci 2012; 317: 35–9. [PubMed][CrossRef]
- 12.
Vaitkus A, Krasauskaite E, Urbonaviciūte I. Meningovascular neurosyphilis: a report of stroke in a young adult. Medicina (Kaunas) 2010; 46: 282–5. [PubMed][CrossRef]
- 13.
Czarnowska-Cubała M, Wiglusz MS, Cubała WJ et al. MR findings in neurosyphilis–a literature review with a focus on a practical approach to neuroimaging. Psychiatr Danub 2013; 25: S153–7. [PubMed]
- 14.
Mitsonis CH, Kararizou E, Dimopoulos N et al. Incidence and clinical presentation of neurosyphilis: a retrospective study of 81 cases. Int J Neurosci 2008; 118: 1251–7. [PubMed][CrossRef]
- 15.
Singh AE, Romanowski B. Syphilis: review with emphasis on clinical, epidemiologic, and some biologic features. Clin Microbiol Rev 1999; 12: 187–209. [PubMed][CrossRef]
- 16.
European Centre for Disease Prevention and Control. Syphilis. I: ECDC. Annual epidemiological report for 2016. Stockholm: ECDC, 2018.
- 17.
Barlinn R, Blystad H, Kløvstad H et al. Årsrapport 2017. Overvåkning av seksuelt overførbare infeksjoner og blodbårne hepatitter. Oslo: Folkehelseinstituttet, 2018. https://www.fhi.no/globalassets/dokumenterfiler/rapporter/2018/arsrapport_2017_blod_seksuellsmitte_til-publisering_forogbakside.pdf Lest 7.10.2019.
- 18.
Bekkelund SI, Grønli O, Johnsen SH. Syfilisscreening av nevrologiske pasienter. Tidsskr Nor Lægeforen 2001; 121: 786–8. [PubMed]
- 19.
Ahamed S, Varghese M, El Agib N et al. Case of neurosyphilis presented as recurrent stroke. Oman Med J 2009; 24: 134–6. [PubMed]
- 20.
Katelaris AL, Janson S, Ramachandran P et al. Medial medullary stroke due to neurosyphilis in a newly diagnosed HIV-positive man. Intern Med J 2018; 48: 992–5. [PubMed][CrossRef]