En tidligere frisk mann i 20-årene ble innlagt på sitt lokalsykehus etter et kortvarig bevissthetstap. Utredningen avdekket to potensielle årsaker til bevissthetstapet, begge med mulig bakgrunn i en sjelden utviklingsforstyrrelse. Kasuistikken illustrerer viktigheten av godt tverrfaglig samarbeid.
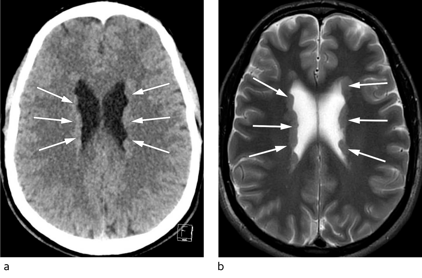
En tidligere frisk mann i starten av 20-årene ble innlagt på sitt lokalsykehus etter et plutselig bevissthetstap som oppstod i stående stilling uten prodromalsymptomer. Det ble observert en tonisk fase under anfallet, men ingen rykninger, tungebitt eller vannavgang. Pasienten var ved bevissthet igjen tre minutter etter anfallet og hadde retrograd amnesi for hendelsen. Han hadde aldri opplevd noe lignende før. Ved innleggelse var det normale funn ved somatisk og nevrologisk undersøkelse. EKG viste ingen avvik og ble vurdert som normalt. Cerebral CT ga mistanke om bilateral periventrikulær nodulær heterotopi (figur 1). Dette ble senere bekreftet med cerebral MR, som er den foretrukne modaliteten ved utredning av denne tilstanden.
I den videre utredningen ble det beskrevet normale funn ved interiktalt EEG. Langtids-EKG avdekket vekslende atrioventrikulære (AV) blokkeringer med bradykardiepisoder (AV-blokk grad 2, type II (Mobitz' type)) (figur 2). På bakgrunn av anamnese og EKG-funn ble det konkludert med at pasienten mest sannsynlig hadde hatt en kardial synkope forårsaket av AV-blokk grad 2, type II. Denne hjerterytmeforstyrrelsen har en klasse I-indikasjon for pacemaker (1), og pasienten fikk implantert en tokammerpacemaker før han ble utskrevet i god form.
Et halvt år senere ble han innlagt på nytt etter nok et plutselig bevissthetstap. Denne gangen ble det observert generelle kramper. Anfallet ble vurdert som et epileptisk anfall, av bilateralt tonisk-klonisk type. Grunnet mistanke om epileptisk genese startet man med antiepileptika, og pasienten har siden ikke hatt flere bevissthetstap.
Diskusjon
Bevissthetstap er en vanlig henvisningsårsak til akuttmottak, som i de fleste tilfeller skyldes en benign tilstand av vasovagal type (2). Grundig anamnese med komparentopplysninger, klinisk undersøkelse, ortostatisk blodtrykksmåling og vanlig EKG-undersøkelse er i de fleste tilfeller tilstrekkelig for å skille vasovagale synkoper fra øvrige former for bevissthetstap (2). Unormale EKG-funn og fravær av prodromale symptomer kan tale for kardial årsak og bør føre til videre utredning på sykehus.
Under den første innleggelsen ga AV-blokk med bradykardi på EKG samt fravær av prodromale symptomer mistanke om kardial synkope. Synkope kan være ledsaget av rykninger av noen sekunders varighet (konvulsiv synkope), men rytmiske, generaliserte rykninger av minutters varighet ved bevissthetstap bør reise mistanke om epileptisk genese. Generaliserte epileptiske anfall ledsages ofte av tonisk-kloniske kramper, tungebitt, urinavgang og en postiktal fase med konfusjon, somnolens eller hodepine. Bildeundersøkelse av hjernen er anbefalt ved bevissthetstap som ledsages av hodetraume, ved fokale nevrologiske utfall (2) og ved førstegangs krampeanfall. I praksis har de fleste avdelinger lav terskel for undersøkelse med cerebral CT hos pasienter som legges inn på sykehus med bevissthetstap.
Hos vår pasient avdekket billedundersøkelsen et funn som var avgjørende for å kunne stille riktig diagnose. Heterotopi av grå substans er en relativt sjelden utviklingsforstyrrelse med svekket nevronal migrasjon i embryogenesen (3). Tilstanden kan deles inn i nodulær og diffus type. Nodulær heterotopi kan videre klassifiseres som subkortikal eller periventrikulær. Tilstanden er forbundet med andre malformasjoner i sentralnervesystemet, blant annet i hippocampus. Pasientene har som regel normal intelligens. Den vanligste kliniske presentasjonen er fokal og multifokal epilepsi, som i de fleste tilfeller debuterer i ungdomsårene. De periventrikulære nodulære heterotopiene opptrer som foci for unormal nevronal aktivitet. EEG-registrering med dybdeelektroder har vist epileptisk aktivitet utgående fra disse nodulene, og anfallslidelsen antas å stamme fra heterotopien hos de fleste rammede (3). Vanlig årsak er mutasjoner i filamin 1 (FLNA)-genet som er lokalisert på X-kromosomet, men tilstanden forekommer også sporadisk og ved andre genmutasjoner (4). De fleste med X-kromosombunden sykdom er kvinner. Da FLNA-mutasjoner er assosiert med hjerte- og karlidelser (5), bør supplerende kardiologisk utredning vurderes. Vanlige manifestasjoner er defekter i hjerteklaffapparatet og proksimale aorta (6).
Hos vår pasient var den mest sannsynlige årsaken til bevissthetstapene epilepsi forårsaket av periventrikulær nodulær heterotopi. Han har foreløpig ikke blitt undersøkt med genetisk testing med tanke på mutasjon i FLNA-genet og man vet derfor ikke hvorvidt hjerterytmeforstyrrelsen er assosiert med en slik mutasjon eller er av sporadisk karakter. Kasuistikken illustrerer allikevel at funn av periventrikulær nodulær heterotopi krever enn bred flerfaglig tilnærming og godt samarbeid på tvers av avdelinger.
Pasienten har gitt samtykke til at artikkelen blir publisert.
Artikkelen er fagfellevurdert.
- 1.
Brignole M, Auricchio A, Baron-Esquivias G et al. 2013 ESC Guidelines on cardiac pacing and cardiac resynchronization therapy: the Task Force on cardiac pacing and resynchronization therapy of the European Society of Cardiology (ESC). Developed in collaboration with the European Heart Rhythm Association (EHRA). Eur Heart J 2013; 34: 2281–329. [PubMed][CrossRef]
- 2.
Brignole M, Moya A, de Lange FJ et al. 2018 ESC Guidelines for the diagnosis and management of syncope. Eur Heart J 2018; 39: 1883–948. [PubMed][CrossRef]
- 3.
Chen MH, Walsh CA. FLNA-related periventricular nodular heterotopia. I: Adam MP, Ardinger HH, Pagon RA et al., red. GeneReviews® [Internet]. Seattle (WA): University of Washington, Seattle: 1993–2019.
- 4.
Leventer RJ, Guerrini R, Dobyns WB. Malformations of cortical development and epilepsy. Dialogues Clin Neurosci 2008; 10: 47–62. [PubMed]
- 5.
Liu W, Yan B, An D et al. Sporadic periventricular nodular heterotopia: Classification, phenotype and correlation with Filamin A mutations. Epilepsy Res 2017; 133: 33–40. [PubMed][CrossRef]
- 6.
Fox JW, Lamperti ED, Ekşioğlu YZ et al. Mutations in filamin 1 prevent migration of cerebral cortical neurons in human periventricular heterotopia. Neuron 1998; 21: 1315–25. [PubMed][CrossRef]
I sin kasuistikk presenterer Ihle-Hansen et.al en lite kjent årsak til kortvarig bevissthetstap. Pasienten hadde initialt fått implantert en tokammerpacemaker på grunnlag av AV-blokk grad 2, type II (Mobitz). EKG-registreringen i figur 2 viser imidlertid AV-blokk grad 2, type I (Wenckebach) med gradvis økende PQ-tid før bortfall av AV-overledningen og kortere PQ-tid på første kompleks etterpå. AV-blokk grad 2, type I (Wenckebach) er ikke unormalt hos friske 20-åringer og gir vanligvis ikke indikasjon til implantasjon av pacemaker. Det i kasuistikken beskrevne videre pasientforløp med nytt bevissthetstap og funn av ikke-kardial årsak (periventrikulær nodulær heterotopi) gir retrospektivt ytterligere støtte for mistanken om ikke indisert pacemakerimplantasjon.
Ihle-Hansen og medarbeidere beskriver en ung mann som hadde hatt et bevissthetstap og fikk påvist epilepsi pga. strukturelle forandringer i hjernen (1). Til tross for funn ved cerebral CT og epilepsisuspekt klinikk, implanterte man pacemaker. Grunnlaget var at EKG-monitorering skal ha vist AV-blokk grad 2 type 2, hvilket forfatterne hevder er en kl. I-indikasjon for pacemaker.
Dette krever noen kommentarer:
Den korte EKG-stripen som er publisert viser at én enkelt P ikke følges av QRS. Første PQ-tid etter er kortere enn de foregående. Med et så kort utsnitt skal jeg ikke være skråsikker. Men man må mistenke at «blokket» ikke var type 2, men type 1 (Wenckebach). Om det er variasjoner i PQ-tid ellers i registreringen, før eller etter den P som mangler QRS, taler dette for blokk med mekanisme av type 1. Likeledes om det er oppbremsing av sinusaktiviteten samtidig. Slike funn skyldes som regel vaguspåvirkning, ikke sykdom i ledningssystemet. Det er dessuten den langt vanligste årsaken til «AV-blokk» hos en ung person. Slike «blokk» skal ikke behandles (2). Om man legger til grunn at «blokket» var type 2, er det heller ikke indikasjon, dersom årsaken bør antas å være vagal påvirkning (2). Når forfatterne hevder det påviste «blokket» er kl. I-indikasjon for pacemaker, tolker de etter min oppfatning retningslinjen feil. Pacemakerindikasjon forutsetter antatt eller påvist sykdom i ledningssystemet. I så fall skal det utredes, før man gir pacemaker, når pasienten er ung (4).
Om man mente bevissthetstapet var reflekssynkope, med påvist AV-blokkering under symptomer, skal man heller ikke uten videre implantere pacemaker. Hos personer under 40 år har dette en kl. III-indikasjon (2,3). Pacemaker velges bare i spesielle tilfelle, etter gjentatte, alvorlige synkoper, der salt og hydrering ikke virker.
Komplikasjoner til permanent pacemaker øker med tiden pasienten har den. En 20-åring vil med normal livslengde gjennomgå en rekke bytter av pacemaker og ledninger, med tilhørende risiko. Vi får ikke sjelden henvist pasienter med pacemakerkomplikasjoner, som har fått sin pacemaker i ung alder. Om implantasjons-indikasjonen var svak, er slikt ekstra uheldig.
Hos unge må man tenke seg godt om før man gir permanent pacemaker. Oppdager man etterpå at grunnlaget var svakt, bør man vurdere å ta ut pacemakeren før fjerning blir unødig risikofylt.
Litteratur:
1. Ihle-Hansen H, Lohne SMH, Dahl-Hansen E. Periventrikulær nodulær heterotopi. Tidsskr Nor Legeforen 2019; 16: 1572-3
2. Brignole M, Auricchio A, Baron-Esquivias G et al. 2013 ESC Guidelines on cardiac pacing and cardiac resynchronization therapy, Eur Heart J (2013). doi:10.1093/eurheartj/eht150
3. Brignole M, Moya A, de Lange FJ et al. 2018 ESC Guidelines for the diagnosis and management of syncope. Eur Heart J (2018) 00, 1–69, doi:10.1093/eurheartj/ehy037
4. Birnie DH, Sauer WH, Bogun F et al. HRS Expert Consensus Statement on the Diagnosis and Management of Arrhythmias Associated With Cardiac Sarcoidosis. Heart Rhythm 2014, http://dx.doi.org/10.1016/j.hrthm.2014.03.043