Chiari-malformasjon type 1 – diagnostikk og behandling

    ()

    sporsmal_grey_rgb
    Abstract

    Chiari malformation denotes a pathological caudal ectopy of the cerebellar tonsils below the level of the foramen magnum. Several types of the condition exist, of which Type 1 is the most common. It often results in few if any symptoms, and in many cases is detected as an incidental finding when an MRI is performed. Symptoms such as headache, dizziness or nausea may be related to narrowing of the foramen magnum due to blocked circulation of spinal fluid. Surgical treatment must be considered in symptomatic cases.

    Artikkel

    Chiari-malformasjon betegner en patologisk kaudal ektopi av lillehjernetonsiller under nivå med foramen magnum. Det er flere typer av tilstanden, hvorav type 1 er den vanligste. Den gir ofte få eller ingen symptomer og påvises hos mange som bare et tilfeldig funn ved MR. Symptomer som hodepine, svimmelhet eller kvalme kan relateres til tranghet i foramen magnum pga. blokkert sirkulasjon av spinalvæske. I symptomgivende tilfeller må kirurgisk behandling vurderes.

    I 1890-årene beskrev den østerrikske patologen Hans Chiari (1851–1916) patologisk kaudal ektopi av lillehjernetonsiller under nivå med foramen magnum (1) (figur 1), siden kjent som Chiari-malformasjon. Det foreligger flere varianter av tilstanden (tabell 1): Type 1 skiller seg fra type 2–4 først og fremst ved at den ikke er forbundet med dysrafisme (ryggmargsbrokk), at den diagnostiseres i høyere alder (typisk eldre barn og unge voksne) og at ektopien gjelder kun lillehjernetonsiller. Ektopi av nervestrukturer i bakre skallegrop og eventuell syringomyeli er felles for alle typer, men ellers fremstår type 1 klinisk og radiologisk som en distinkt entitet. Såkalt type 0 benyttes om en idiopatisk syringomyeli uten bakenforliggende funn av cerebellær ektopi eller annen åpenbar forklaring (som intramedullær svulst eller ryggmargsskade). Betegnelsen type 1.5 benyttes om type 1 med enkelte anatomiske/radiologiske trekk som ellers er typiske for type 2, men uten dysrafisme.

    Tabell 1

    De viktigste forskjellene mellom de to vanligste formene av Chiari-malformasjon, type 1 og type 2 (type 3 og 4 er langt mindre vanlige, men er som type 2 medfødt som del av kraniospinal dysrafisme (hjernebrokk eller ryggmargsbrokk).

    Type 1

    Type 2

    Ektopiske strukturer

    Lillehjernetonsiller

    Vermis, hjernestammen, 4. ventrikkel

    Dysrafisme (ryggmargsbrokk)

    Unntaksvis (i så fall okkult form)

    Sjelden uten ryggmargsbrokk

    Hydrocephalus

    Uvanlig

    Vanlig

    Vanlig alder ved presentasjon

    Tenåringer/unge voksne

    Nyfødte/spedbarn

    Vanligste symptomer

    Hodepine, svimmelhet, kvalme

    Respiratorisk besvær, dysfoni, dysfagi

    Patofysiologi

    Flere mekanismer (se tekst)

    Ryggmargstjoring, hydrocephalus

    Behandling

    Dekompresjon av foramen magnum, shunt, klipping av filum terminale, ev. kraniocervikal fiksasjon

    Løsning av tjoret ryggmarg, shunt, dekompresjon av foramen magnum

    Denne artikkelen omhandler Chiari-malformasjon type 1 og gir en kort oversikt over dagens kunnskap om tilstanden, diagnostiske kriterier og behandlingsrasjonale.

    Epidemiologi

    Epidemiologi

    Chiari-malformasjon type 1 påvises ved MR-tomografi hos under 1 % av alle individer (2), hos flesteparten som et asymptomatisk funn. Kirurgisk behandling er sjelden indisert, selv blant pasienter der tilstanden er antatt symptomgivende. I vår avdeling, med et nedslagsfelt på nesten tre millioner mennesker, opereres 10–15 nye pasienter per år med denne diagnosen, tilsvarende en insidens nær 5 per 1 million innbyggere. Typisk alder for klinisk presentasjon av symptomatisk Chiari-malformasjon type 1 er i alderen fra 10 år til 20-årene. Den kan også forekomme hos yngre barn. Hos eldre pasienter blir tilstanden sjelden behandlet.

    Etiologi og patofysiologi

    Etiologi og patofysiologi

    Tradisjonelt blir tilstanden beskrevet som en malformasjon, noe som kan indikere årsaksforhold i form av genfeil eller utviklingsanomali. Imidlertid foreligger det få bevis for at det er en medfødt misdannelse. Dessuten påvises den meget sjelden hos nyfødte eller spedbarn, og familiær opphopning er uvanlig. Hans Chiari spekulerte selv om årsaken til tilstanden kunne være hydrocephalus. Senere har det vært diskutert flere mulige patofysiologiske mekanismer, som Milhorat og medarbeidere har oppsummert og som vi refererer under (3):

    Kraniosynostose eller utilstrekkelig vekst av kraniet, særlig i bakre skallegrop, kan gi kranial konstriksjon. Dette antas å gi trange forhold (overcrowding) for lillehjernen, som presses ned gjennom foramen magnum. Til tross for denne hypotesen (4) er det usikkert om redusert volum av bakre skallegrop er et reelt problem hos alle pasientene med Chiari-malformasjon type 1 (5, 6).

    Skjelettanomalier i kraniocervikalovergangen, særlig basilær invaginasjon/impresjon (cranial settling) med sekundær kompresjon av hjernestrukturer i foramen magnum (7), kan forårsake malformasjonen. I tillegg er også atlantoaksial instabilitet (8) og oksipitoatlantoaksial hypermobilitet (9) nevnt som mulig årsak. I praksis gjelder dette imidlertid kun en liten andel av pasientene.

    Ryggmargstjoring er en kjent mekanisme ved Chiari-malformasjon type 2, der denne er til stede grunnet medfødt ryggmargsbrokk, typisk lumbosakralt. Under lengdevekst av ryggraden strekkes den tjorede ryggmargen, noe som i sin tur strekker nervestrukturer i bakre skallegrop ned gjennom foramen magnum. Når denne mekanismen knyttes til Chiari-malformasjon type 1, antas det å foreligge en okkult, moderat variasjon av spinal dysrafisme (10). Dette er imidlertid meget sjelden tilfelle. Funn som eventuelt indikerer ryggmargstjoring, for eksempel et fibrolipom i filum terminale (figur 2), kan langt på vei utelukkes ved MR av columna. Teorier om ryggmargstjoring som en eksklusiv bakenforliggende årsak til type 1-malformasjon er lite berettiget, og også denne mekanismen er sannsynligvis aktuell kun hos liten andel av pasientene (10).

    Intraspinal hypotensjon kan forekomme enten spontant grunnet idiopatisk spinalvæskelekkasje eller som følge av lumboperitoneal shunting, eventuelt av annen iatrogen årsak (for eksempel spinalvæskefistel etter ryggkirurgi). I de tilfellene oppstår tonsillær ektopi som følge av lavt væsketrykk (sagging).

    Intrakranial hypertensjon, altså økt intrakranialt trykk, forekommer ved hydrocephalus eller idiopatisk intrakranial hypertensjon (også kalt pseudotumor cerebri). Det foreligger mange likhetstrekk mellom pasienter med Chiari-malformasjon type 1 og idiopatisk intrakranial hypertensjon, og mulige patofysiologiske sammenhenger har vært diskutert (6). Opp mot 70 % av pasientene med Chiari-malformasjon type 1 kan ha forhøyet pulsatilt intrakranialt trykk, en parameter som gjenspeiler den intrakraniale kapasiteten til å dempe den forbigående volumøkningen som skjer ved hvert hjerteslag (11). Spørsmålet er om økt pulsatilt intrakranialt trykk er en konsekvens av kompromittert flyt av spinalvæske gjennom et trangt foramen magnum eller snarere et uttrykk for en annen underliggende patologi i hjernen som i sin tur fører til kaudal ektopi av lillehjernetonsillene.

    Diagnostikk

    Diagnostikk

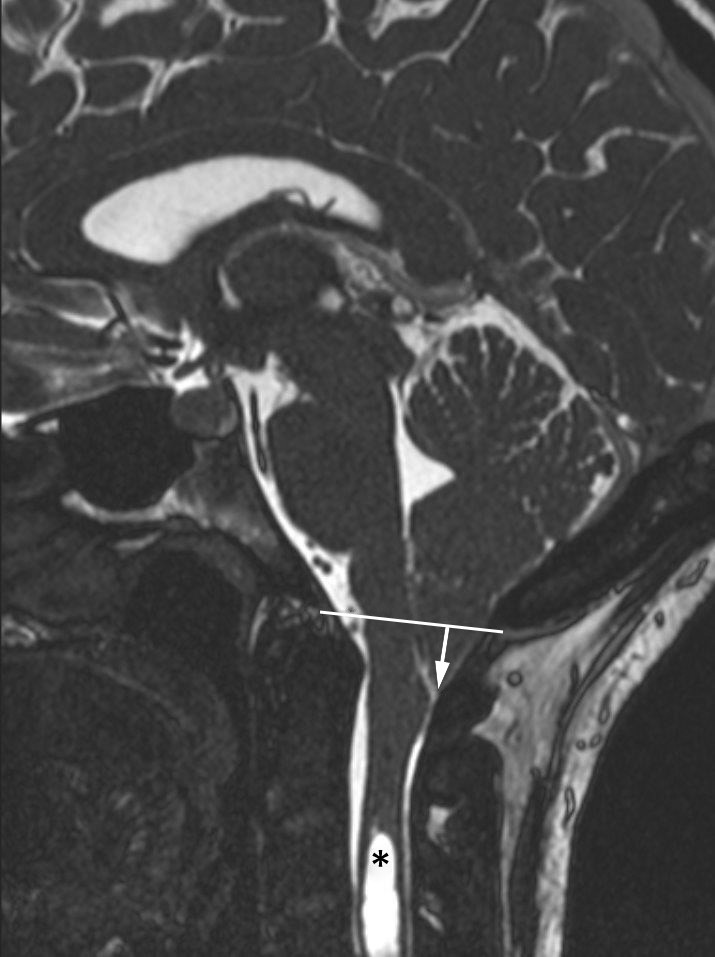
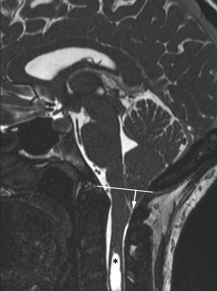
    Chiari-malformasjon type 1 diagnostiseres ofte tilfeldig hos pasienter henvist til MR av ulike årsaker. Påvisningens betydning for symptomer som kan relateres til tilstanden, bør avklares med nevrolog. Som MR-kriterium for diagnosen skal det påvises ektopi av lillehjernetonsiller > 5 mm under nivå med foramen magnum, definert av en linje mellom basion og opisthion (figur 1).

    Hos ca. 50 % av pasientene påvises syringomyeli, en cystisk utvidelse av ryggmargens sentralkanal (figur 3). Omfanget kan variere fra et lite segment av ryggmargen til en langstrakt (holocord) syringomyeli. Det finnes forskjellige teorier om hvordan syringomyeli ved Chiari-malformasjon type 1 oppstår. Likevel er ennå ikke alle aspekter av denne problemstillingen godt forklart (12).

    Andre assosierte funn kan være skjelettanomalier i kraniocervikalovergangen, skoliose eller intraspinale lipomer.

    MR er den klart foretrukne diagnostiske metoden. Dersom man vil kartlegge alle relevante anatomiske forhold, er det best å utføre MR caput med sekvenser som gir informasjon om flyt av hjernevæske i kraniocervikalovergangen (flytsensitive sekvenser), samt MR totalcolumna for å utelukke syringomyeli og/eller tegn til ryggmargstjoring. Ved vår avdeling ser vi ofte pasienter henvist kun på bakgrunn av lavtliggende lillehjernetonsiller påvist ved MR som bare omfatter hodet eller nakken. Dette er imidlertid ikke tilstrekkelig for vurdering av kirurgisk behandling. CT har liten plass i utredningen og brukes kun ved mistanke om skjelettanomalier i kraniocervikalovergangen eller der MR-undersøkelse er kontraindisert.

    Symptomer

    Symptomer

    Symptomer fra Chiari-malformasjon type 1 kan relateres til tranghet i foramen magnum på grunn av tonsillær ektopi og blokkert sirkulasjon av spinalvæske. Dette kan resultere i en såkalt mekanisk utløst hodepine som forverres enten ved fleksjon eller ekstensjon i nakken, men også ved hosting, nysing eller bruk av bukpressen. Hodepine begynner ofte i bakhodet før den sprer seg oppover og deretter endres til å bli holokranial. Andre symptomer i denne kategorien er svimmelhet og kvalme, men også kognitive vansker rapporteres av flere pasienter.

    Symptomer som kan knyttes til kompresjon eller strekk på kaudale hjernenerver, er palpitasjoner, heshet og svelgevansker. Stridor eller pustebesvær kan forekomme, men er langt mindre vanlig. Også kompresjon av lange nervebaner, enten som direkte følge av kompresjon av medulla oblongata i foramen magnum eller fra syringomyeli, kan gi sensoriske eller motoriske symptomer fra ekstremiteter. Dette er likevel sjeldent, selv ved uttalt tranghet i foramen magnum eller omfattende syringomyeli.

    Indikasjon for behandling

    Indikasjon for behandling

    Ved vurdering av behandlingsindikasjon hos en pasient med nyoppdaget Chiari-malformasjon type 1 er det viktig å merke seg at tilstanden vanligvis forekommer som et radiologisk bifunn uten klinisk korrelat. Økt tilgang til MR-undersøkelse fører til påvisning hos et økt antall pasienter, og det er derfor avgjørende med en nøye klinisk vurdering av symptomer og nevrologiske funn.

    Dersom man velger en konservativ strategi, kan man støtte seg på data som viser at pasienter med få eller ingen symptomer kun sjelden får klinisk eller radiologisk forverring (13, 14). Det er heller ikke nødvendig med radiologiske kontroller så lenge pasienten ikke opplever klinisk endring. Spontan tilbakegang av tonsillær ektopi er beskrevet hos 12 % av barn med Chiari-malformasjon type 1 i løpet av oppfølgingstiden (13).

    Behandlingen er utelukkende kirurgisk. Indikasjonskriterier for operativ behandling kan variere blant nevrokirurger, men de fleste vil nok enes om følgende hovedprinsipper:

    Pasienter med MR-funn, sykehistorie og symptomer som er karakteristiske for Chiari-malformasjon type 1 og som påvirker livskvaliteten, er vanligvis gode kandidater for kirurgi.

    Hos pasienter med atypiske symptomer kan operasjon vurderes dersom symptomene er betydelige og påvirker livskvaliteten. I så fall bør andre mulige årsaker til plagene være ekskludert gjennom nevrologisk og radiologisk utredning. Dette gjelder særlig atypisk eller sammensatt type hodepine, svimmelhet og nakkesmerter.

    Pasienter med tilfeldig påvist Chiari-malformasjon type 1 og få eller ingen symptomer bør ikke opereres, selv med påvist syringomyeli (figur 4). Syringomyeli kan likevel gi grunn til en mer aktiv tilnærming hos barn, særlig ved vesentlig progrediering ved etterfølgende MR-kontroller. Tilstanden bør også behandles hos barn med skoliose og samtidig syringomyeli.

    Kirurgisk behandling

    Kirurgisk behandling

    Ved «klassisk» Chiari-malformasjon type 1, der problemet anses å være trange forhold i foramen magnum grunnet tonsillær ektopi, er den kirurgiske behandlingen dekompresjon av foramen magnum, også kalt occipito- eller kraniocervikal dekompresjon, hvilket imidlertid antyder en mye større operasjon enn det som egentlig er tilfelle.

    Målet med inngrepet er å skape bedre plassforhold i den kraniocervikale overgangen ved å utføre en liten kraniektomi ovenfor foramen magnum, laminektomi av C1 og vanligvis også ekspanderende duraplastikk (figur 3). Kun i enkelte tilfeller må det utføres reseksjon av ektopiske lillehjernetonsiller, hvis disse er så voluminøse at de hindrer tilstrekkelig dekompresjon. Etter vellykket operasjon blir cisterna magna rekonstruert og passasje av spinalvæske gjennom foramen magnum gjenopprettet. Risikoen ved inngrepet er lav. Den vanligste komplikasjonen er submuskulær/subkutan spinalvæskeansamling (pseudomeningocele), kun unntaksvis med åpen lekkasje fra såret og som regel med spontan restitusjon.

    Hos noen pasienter blir ikke spinalvæskesirkulasjonen tilstrekkelig reetablert etter dekompresjon. Det kan da være nødvendig med innleggelse av ventrikuloperitoneal shunt, særlig når man har påvist vesentlig forhøyet intrakranialt pulsatilt trykk. Det sistnevnte er sannsynligvis en undervurdert problemstilling ved tilstanden (6). For å unngå å overse alvorlig trykkproblematikk undersøker vi ved vår avdeling alle nye pasienter med Chiari-malformasjon type 1 henvist til dekompresjon med diagnostisk intrakranial trykkmåling. De med patologisk forhøyede trykkverdier får da ventrikuloperitoneal shunt i forkant av dekompresjonen for å avlaste trykket og unngå risiko for herniering.

    Norske medier har nylig omtalt kirurgisk behandling av Chiari-malformasjon type 1 på en klinikk i utlandet, der flere norske pasienter har blitt behandlet. Etter det vi erfarer, består denne behandlingen av kirurgisk klipping av filum terminale, en tynn streng av fibrøst vev longitudinelt forløpende mellom conus medullaris og nedre del av duralsekken. Denne strukturen har ingen fysiologisk funksjon, men kan i visse tilfeller ligge såpass festet kaudalt i spinalkanalen at det forårsaker stramming av ryggmargen. Denne tjoringen er en vanlig problemstilling hos barn med medfødt ryggmargsbrokk og Chiari-malformasjon type 2 og/eller intraspinale lumbosakrale lipomer, eventuelt assosiert med et smalt fibrolipom i filum terminale (fatty filum) figur 2). I barnenevrokirurgisk praksis er klipping av filum terminale et relativt vanlig inngrep, men det er meget sjelden indisert hos voksne pasienter med Chiari-malformasjon type 1, unntatt hos en liten undergruppe med tjoring (adult tethered cord syndrome) ((10).

    Dersom bakgrunnen for Chiari-malformasjon type 1 er atlantoaksial instabilitet eller vesentlig basilær impresjon, kan det en sjelden gang være nødvendig med et stabiliserende inngrep i nakken (7), meget unntaksvis supplert med fremre dekompresjon av medulla oblongata gjennom en transoral tilgang (15).

    Det er viktig å poengtere at syringomyeli, som ved Chiari-malformasjon type 1 er konsekvens av trange forhold i foramen magnum, i de aller fleste tilfeller vil minske eller stabilisere seg spontant etter dekompresjon alene (figur 3). Det er dermed vanligvis ikke nødvendig med direkte inngrep mot syrinx. Åpning eller drenering av syrinx (syringo-subaraknoidal eller -pleural shunt) utføres kun i ytterst sjeldne situasjoner hvor syringomyeli progredierer radiologisk eller klinisk selv etter tilfredsstillende dekompresjon av foramen magnum.

    Hos pasienter med typiske symptomer og radiologiske funn er resultatene av kirurgisk behandling vanligvis gode. Nøyaktig utvalg av egnede pasienter for kirurgi er helt avgjørende. Pasienter bør informeres om at det kan ta lang tid før plagene bedres etter operasjon. Det postoperative forløpet kan være preget av vedvarende kvalme og svimmelhet, samt av muskulære smerter i nakken som følge av den kirurgiske tilgangen til foramen magnum. I vår praksis gjøres klinisk og radiologisk kontroll ca. 3 og 12 måneder etter operasjon. Oppfølgingen kan da avsluttes ved tilfredsstillende resultat.

    Oppsummering

    Oppsummering

    Chiari-malformasjon type 1 påvises ofte tilfeldig ved MR-undersøkelse. Dersom symptomene som foranlediget MR likevel antas å være assosiert med Chiari-malformasjon type 1, bør pasienten henvises til nevrolog. Etter å ha utelukket andre diagnoser og utført dedikert MR-undersøkelse, kan nevrokirurg ta stilling til operasjonsindikasjon. Hos egnede pasienter kan operasjon forventes å gi et godt resultat.

    Kommentarer  ( 0 )
    PDF
    Skriv ut

    Anbefalte artikler