Morel-Lavallées lesjon

    ()

    sporsmal_grey_rgb
    Artikkel

    En kvinne i 60-årene fikk symptomgivende bløtdelshevelse og væskeansamling seks måneder etter stumpt traume mot høyre hofte. Hevelsen residiverte tross gjentatte aspirasjoner og kirurgisk eksisjon. Etter hvert ga MR korrekt diagnose.

    En kvinne i 60-årene ble tatt imot av traumeteam på sykehus etter at et tre hadde falt mot høyre side av kroppen hennes. Ved primær gjennomgang ble det konstatert feilstilling av høyre overarm og smerter i høyre side av kroppen. Røntgen viste komplisert fraktur i humerus. Frakturen ble stabilisert med gipslaske, og pasienten overflyttet til ortopedisk avdeling på et universitetssykehus. Der ble hun operert med osteosyntese med godt resultat. Radiologisk var frakturen tilhelet etter tre måneder.

    Ved seksmånederskontroll klaget pasienten over smerter og hevelse ved høyre hofte. MR av bekkenområdet viste et subkutant, velavgrenset, kapselkledt væskelokulament. Dette ble beskrevet som mulig hematom av eldre dato uten behov for videre tiltak.

    Én måned senere ble pasienten undersøkt på nytt på poliklinikk på grunn av vedvarende ubehag og hevelse ved høyre hofte. Man palperte da en bløtdelshevelse over trochanter major, og under sterile forhold aspirerte man 60 ml blodtilblandet serøs væske fra hevelsen. Grunnet residiv aspirerte man åtte dager senere ytterligere 30 ml. Man injiserte 1 ml kortikosteroid.

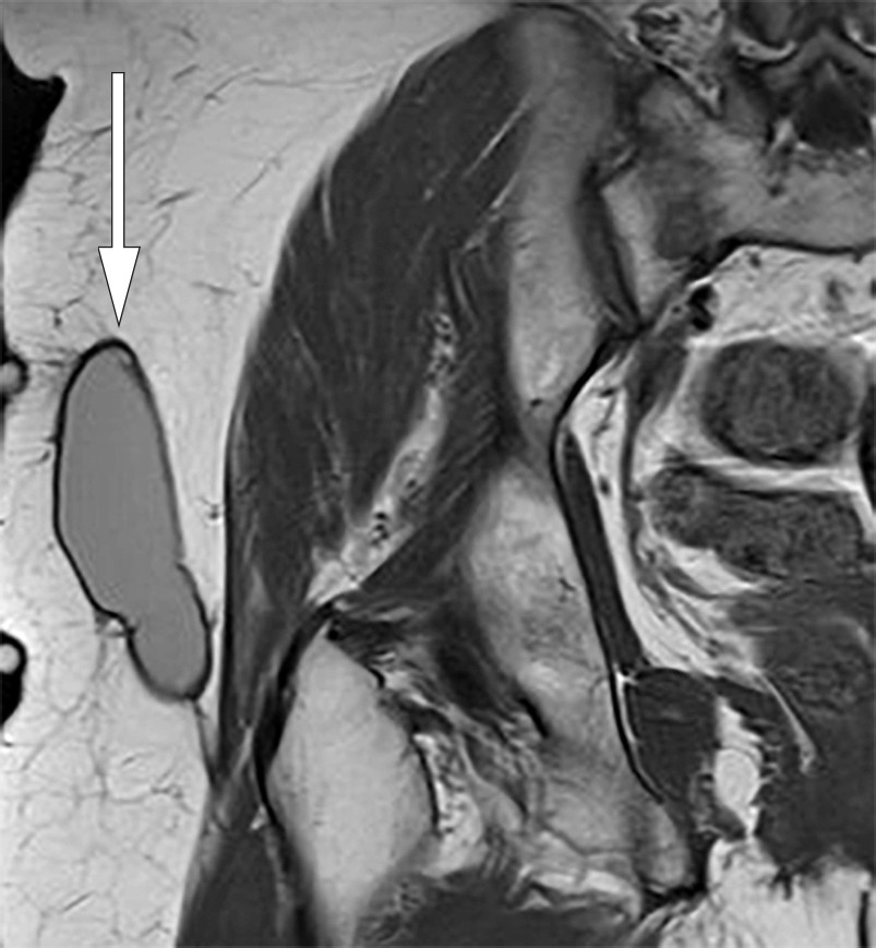
    Elleve måneder etter traumet fikk pasienten nytt residiv, og ny MR av bekkenområdet viste uendret subkutant lokulament. Vurderende radiolog mistenkte Morel-Lavallées lesjon (figur 1). Man bestemte seg for å foreta en planlagt åpen eksisjon av lokulamentet inklusiv kapsel med primær suturering på operasjonsstue. En uke etter eksisjonen fikk pasienten igjen residiv. På poliklinikk ble det gjort ny aspirasjon og forsøkt med kompresjon, men uten suksess.

    Diagnosen kronisk Morel-Lavallées lesjon ble stilt, og man valgte skleroserende behandling med doksysyklin (1). På poliklinikk ble det gamle hematomet under sterile forhold tømt via to kanyler, og 25 ml doksysyklin 20 mg/ml ble instillert. Pasienten ble rotert hvert tiende minutt, i alt tre ganger, for å fordele antibiotikavæsken, som deretter ble aspirert. Man anla midlertidig kompresjon med bandasjer inntil pasienten anskaffet seg kompresjonsbukser i form av stramme sykkelbukser med ekstra innlegg over lesjonen. Disse ble benyttet kontinuerlig i fire uker.

    Ved fireukerskontroll var det intet residiv. Pasienten kjente bare et lett ubehag i området, og hun kunne slutte med kompresjonsbehandling. Ved tolvukerskontroll viste MR av høyre hofte tilnærmet full regress av lesjonen (figur 2). Ved ettårskontroll var pasienten residivfri klinisk og radiologisk. Hun hadde sekvele i form av lett inndragning av huden.

    Diskusjon

    Diskusjon

    Morel-Lavallées lesjon ble første gang beskrevet av den franske kirurgen François Morel-Lavallée i 1863 (2). Lesjonen ses ofte hos traumepasienter og skyldes som regel stump skade, der store tangentielle krefter gir en forskyvning av det subkutane fettvevet og den superfisielle fascien fra den underliggende, dype fascien. Dette fører til skade på de perforerende arterier, vener og lymfekar, som igjen fører til en blodtilblandet væskeansamling i det interfascielle planet (3). Skaden blir ofte oversett ved primær kontakt i traumemottak på grunn av større og mer fremtredende skader. Morel-Lavallées lesjon er hyppigst lokalisert til området rundt trochanter major på grunn av prominens, stort overflateareal, hudens mobilitet og et rikt kapillarnettverk i bløtdelene (4). Diagnosen stilles ved anamnese, klinisk undersøkelse og MR.

    MR er gullstandard for beskrivelse og diagnostikk av Morel-Lavallées lesjon, og tilstanden klassifiseres i seks ulike typer ut fra utseende på MR-bilder (5). Ultralyd kan benyttes i den akutte fasen og ved manglende tilgang til MR. Akutt sees ikke-spesifikke væskeansamlinger med heterogen ekkogenisitet. Lesjonen er oftest komprimerbar og uten strømning ved dopplerteknikk. Kroniske lesjoner er ofte mer homogene med kapseldannelse (3, 6, 7).

    Morel-Lavallées lesjon blir ofte oversett initialt, noe som kan føre til et komplisert forløp. Hadde man hos vår pasient stilt den korrekte diagnosen etter første MR, kunne pasienten kanskje ha unngått fire aspirasjoner og en kirurgisk eksisjon. Derfor er det viktig å ha denne typen skade i tankene ved tertiær gjennomgang av traumepasienter.

    Det er foreslått følgende behandlingsalgoritmer for tilstanden (8): Først skiller man mellom akutte og kroniske lesjoner, og mellom tilstander med eller uten infeksjon og/eller fraktur. Akutte lesjoner kan behandles med kompresjon. Ved manglende suksess er perkutan drenasje med eller uten sklerosering, kombinert med kompresjon, anbefalt behandling. Ved infeksjon eller fraktur anbefales åpent debridement, vakuumassistert sårbehandling (9) og sekundær suturering. Kroniske lesjoner bør primærbehandles med perkutan drenasje, sklerosering og kompresjon. Ved sklerosering synes tetrasykliner å være førstevalg grunnet en rekke fordeler: Det er billig og lett å skaffe, og det har få bivirkninger og dessuten antibakteriell virkning som kan forebygge infeksjon (10). Ved manglende bedring anbefales debridement, primærsuturering og kompresjon, eventuelt fornyet skleroterapi. Ved fortsatt behandlingssvikt bør det gjøres åpent debridement, vakuumassistert sårbehandling og sekundær suturering.

    Vi ønsker å understreke at kompresjon er viktig for å oppnå et godt resultat. Dette kan illustreres med vår pasient, hvor manglende kompresjon i forbindelse med de første behandlingene antas å ha medvirket til hurtig residiv.

    Pasienten har samtykket til at artikkelen blir publisert.

    Forfatterne takker radiograf Bjørn Erik Hauglum for teknisk bistand med MR-bilder.

    Kommentarer  ( 0 )
    PDF
    Skriv ut

    Anbefalte artikler