Akutt glomerulonefritt utløst av parvovirus B19

    ()

    sporsmal_grey_rgb
    Artikkel

    En ung kvinne ble rammet av feber, generelle ødemer, leddsmerter og tungpust. En i utgangspunktet forbigående, harmløs infeksjon viste seg her gjennom et alvorligere forløp med akutt glomerulonefritt.

    En tidligere frisk kvinne i 30-årene ble innlagt på sykehus etter en fire uker lang sykehistorie med flankesmerter, feber og gradvis økende generelle ødemer. Siste uke før innleggelse ble hun tiltagende tungpustet og slapp. Hun hadde smerter i hodet, nakken, øvre del av magen og flere ledd. Ved innkomst fant man at pasienten hadde generelle ødemer, blodtrykk 124/68 mm Hg, pulsfrekvens 65 slag/min, respirasjonsfrekvens 14 pust/min, temperatur 36,8 °C, palpasjonsømhet i epigastriet og dempning bilateralt over nedre del av thorax. Røntgen thorax viste sparsom bilateral pleuravæske uten behov for tapping. Blodprøver viste kreatinin 110 µmol/l (referanseområde 45–90 µmol/l), hemoglobin 9,0 g/dl (11,7–15,3 g/dl), trombocytter 139 ∙ 109/l (145–390 ∙ 109/l), albumin 27 g/l (36–48 g/l) og alaninaminotransferase 80 U/l (10–45 U/l). Urinstiks viste protein 2+, erytrocytter 1+, leukocytter negativ og nitritt negativ.

    Urin-albumin-kreatinin-ratio var lett forhøyet på 8,7 mg/mmol (< 3 mg/mmol). Urinmikroskopi viste enkelte dysmorfe erytrocytter og kornede sylindre, men få nøytrofile og ingen eosinofile granulocytter eller cellesylindre.

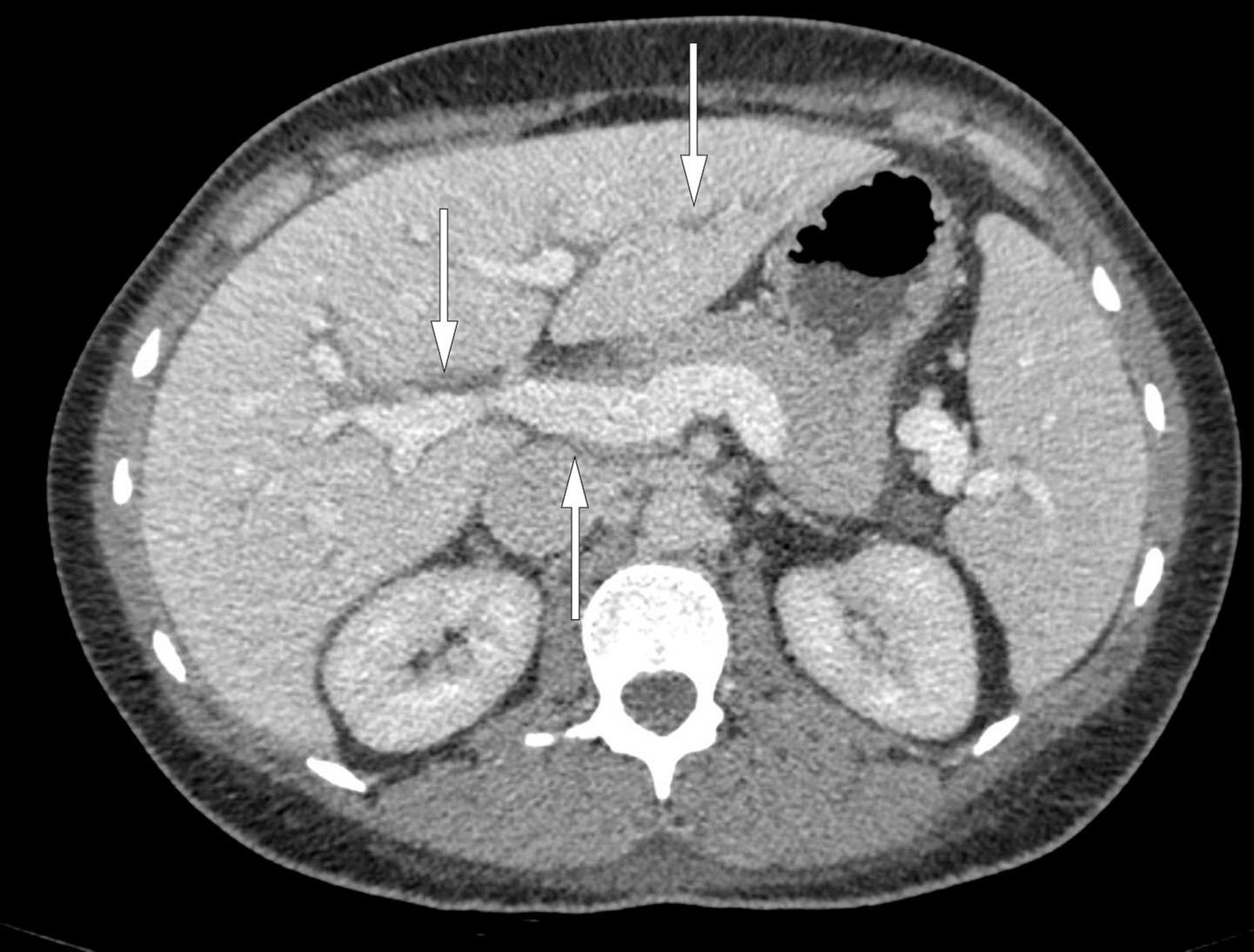
    Pasienten hadde altså nyreaffeksjon presentert klinisk med hematuri, proteinuri og kreatininstigning. Ultralyd abdomen og senere CT thorax/abdomen viste flere funn: multiple forstørrede lymfeknuter i armhule, mediastinum, lysker og paraaortalt, hvor største lymfeknute i venstre lyske målte 0,5 × 2 cm. Videre viste CT ødem i mediastinalt fettvev, periportalt ødem i lever og galleblærevegg (figur 1), bilateral pleuravæske og små mengder ascitesvæske. Hun hadde anemi og trombocytopeni, men ikke mangel på jern, vitamin B12 eller folat. Det var ingen hemolyse. Hemofec var negativ. Pasienten hadde ikke hatt menstruasjon på lenge grunnet hormonspiral. Senkningsreaksjon, C-reaktivt protein, leukocytter og laktatdehydrogenase var normale. Blodprøver viste lavt nivå av C3 (komplementfaktor) på 0,57 g/l (0,90–1,8 g/l) og normal C4 forenelig med akutt, postinfeksiøs glomerulonefritt. Prøver for antinukleære antistoffer, antinøytrofile cytoplasmiske antistoffer (ANCA), antistoffer mot glomerulus basalmembran, anti-cykliske citrullinerte peptider og revmatoid faktor var negative. Følgelig var systemsykdommer som systemisk lupus erythematosus, ANCA-positiv vaskulitt og Goodpastures syndrom lite sannsynlige årsaker til dette kliniske bildet.

    Pasientens virusserologi var positiv for både immunglobulin G og M for humant parvovirus B19. Dette taler for en aktuell eller nylig gjennomgått infeksjon. Konklusjonen ble at pasienten hadde akutt glomerulonefritt utløst av parvovirus B19. Dette støttes av at pasienten nylig hadde hatt kontakt med et parvovirus B19-infisert barn. Andre virusprøver var forenelige med tidligere gjennomgått primærinfeksjon med cytomegalovirus og Epstein-Barr-virus. Pasientens symptomer gikk tilbake uten behandling, og hun hadde få måneder senere normalisert nyrefunksjon. Nyrebiopsi ble derfor ikke tatt.

    Diskusjon

    Diskusjon

    Nefrittisk og nefrotisk syndrom er mulige presentasjonsformer ved glomerulonefritt. Ved nefrittisk syndrom er vanlige funn hematuri, mild til moderat proteinuri, hypertensjon og ødemer. Mange med nefrittisk syndrom vil ha nedsatt nyrefunksjon (1). Nefrotisk syndrom er en noe mindre vanlig presentasjonsform ved glomerulonefritt og kjennetegnes av proteinuri (> 3 g/døgn), hypoalbuminemi (< 30 g/l), ødemer og lipidforstyrrelser (2). Vanlige skademekanismer ved glomerulonefritt er nedslag av sirkulerende immunkomplekser eller dannelse av immunkomplekser i glomeruli. Disse ses ved både primære glomerulonefritter og systemiske sykdommer med glomerulær affeksjon. Både nefrittisk syndrom og noe sjeldnere nefrotisk syndrom kan ses i forløpet av eller etter infeksjoner (1).

    Para- og postinfeksiøs glomerulonefritt kan forårsakes av ulike agens (1). Historisk og i ikke-vestlige deler av verden har infeksjon med streptokokker vært hyppigste årsak. Grunnet økt antibiotikabehandling utgjør virussykdommer en stigende andel av årsakene til glomerulonefritt. Eksempler er sykdommer forårsaket av cytomegalovirus, Epstein-Barr-virus, hepatittvirus og humant parvovirus B19 (2). Kliniske funn passet i vårt tilfelle godt med en virusinfeksjon. Vår pasient hadde en pågående infeksjon med parvovirus B19, som vanligvis rammer barn og ungdommer. Viruset gir som oftest et mildt, forkjølelseslignende sykdomsbilde eller ingen plager. Enkelte får feber og et karakteristisk utslett som betegnes erythema infectiosum, også kalt femte barnesykdom (2). Leddsmerter kan være et dominerende symptom og rammer over halvparten av affiserte voksne, og kvinner dobbelt så hyppig som menn (2).

    Parvovirus B19 kan gi akutt glomerulonefritt (2). Litteraturen presenterer ulike kliniske og histologiske presentasjonsformer, hvorav det vanligste kliniske bildet er akutt nefrittisk syndrom med hypokomplementemi, feber, utslett og leddaffeksjon. Det er også sett tilfeller av nefrotisk syndrom (3). Histologisk kan man ved infeksjonsrelatert glomerulonefritt se økt mengde celler rundt kapillarer i glomeruli eller i mesangiet (støttevev mellom kapillarslynger i glomeruli) med avleiringer av C3 og immunoglobulin G. Stort nedslag av C3 i glomeruli kan forklare lavt nivå i blod (1).

    Parvovirus B19-infeksjoner kan en sjelden gang gi leveraffeksjon med alt fra mild stigning i transaminaser til fulminant leversvikt (4). Vår pasient hadde beskjeden økning av transaminaser, portalt ødem og ascites.

    Det finnes ingen antiviral terapi mot parvovirus B19-infeksjon. I alvorlige tilfeller kan det gis 0,4 g intravenøse immunglobuliner per kg kroppsvekt i fem til ti døgn (5). Det ble ikke nødvendig her grunnet spontan bedring.

    Kasuistikken illustrerer viktigheten av mikrobiologiske prøver ved akutt nyresvikt med uklar årsak.

    Forfatterne takker radiologisk avdeling ved Akershus universitetssykehus for hjelp med valg av CT-bilde.

    Pasienten har gitt samtykke til at artikkelen med bilde blir publisert.

    Kommentarer  ( 0 )
    PDF
    Skriv ut

    Anbefalte artikler